Cookie Consent byPrivacyPolicies.comrire et sourire d'un enfant - Eugenol

rire et sourire d'un enfant

Image odged8 - Eugenol
ploc

18/06/2006 à 04h19

pour caty qui "préfère le rire des enfants" et ns tous qui aussi aimont leur sourire, qqes cas de réabilitation des caries du biberon(d'accord moin spectaculaire et plus éphémère que prothése et implants mais si cela peut motiver parents et enfants...)

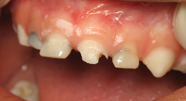
1er cas: Jack 4ans,
les latérales st faites en compo, IRM S/51 61

Dscn1842 1 qnk59l - Eugenol

Image odged8 - Eugenol
ploc

18/06/2006 à 04h27

suite Jack


Image odged8 - Eugenol
ploc

18/06/2006 à 04h28

ouf, réussi

1 an de recul

vive le PQ1 DE bisico: collage pur, aucun tenon

Dscn1843 1 st8q7s - Eugenol

Image odged8 - Eugenol
ploc

18/06/2006 à 04h31

2ème cas: Leila: 3ans1/2(cas a 2 mois)

incisives compo aussi
52 était la première faite, bc de pleurs donc pas très bien gérér l'opaquer

61 xdf8g4 - Eugenol

Image odged8 - Eugenol
ploc

18/06/2006 à 04h34

toujours Leila

Incisives compo unb83i - Eugenol

Image odged8 - Eugenol
ploc

18/06/2006 à 04h38

Sharon: 4ANs1/2


75 a du etre extraite ainsi que 65
mainteneurs d'espace(photo maint pr 75 prise qqes jours après l'extraction et la pose)

en espérant vs avoir interssé qqes mn à la pédo...et vs prouver que n'importe que praticien lambda peut en faire autant

c'est un peu comme un chateau de sable: durée de vie entre 2 à 3 ans selon l'age de l'enfant(mais avant 3 ans pas évident : on verra avec le MEOPA pr reculer les limites d'age...)

 espace nmdbwv - Eugenol

catrose

18/06/2006 à 15h39

bravo ploc
d'abord pour les photos
et ensuite pour les soins a cet age reccord,pas facile
le secret est dans la rapidite du geste

mais je ne me pose jamais la question de la duree de vie de la dent traitee
ca me rappelle trop les parents qui arrivent avec le
"mais c'est une dent de lait,pourquoi la soigner?"
tout traitement est justifie,ne serait ce que par l'observation des degats suite a une migration dentaire,une mauvaise habitude masticatoire,une perturbation de la deglutition et de la phonation


le MEOPA va t'aider mais tu as toujours le probleme de l'enfant qui pleure et qui ne respire alors pas par le nez,impossible de lui faire inhaler le melange

utilises tu des petits moules pour les compos?
un avantage des dents de lait ant:elles sont tres souvent espacees,pas de probleme de point de contact!


Image odged8 - Eugenol
ploc

18/06/2006 à 15h53

catrose Ecrivait:
----------------------------------------------------
>
> utilises tu des petits moules pour les compos?
> un avantage des dents de lait ant:elles sont tres
> souvent espacees,pas de probleme de point de
> contact!

---------------------------------------------------------
Merci

cela dépend: pr jack pas de moules, ce qui m'a permis de suivre la version des centrales et je trouve que c'est plus naturel esthetiqt

Leila : moules transparents pr dts de lait3M car dif à soigner, donc plus rapide

cela dit impossible à faire sans AD AU FAUTEUIL car tu as raison; faut aller vite!(encore un cas montré ou elle st INDISPENSABLES : que qqun fasse lire à AZERTY )


Imagescanx9uel x9b7id - Eugenol
newone'

19/06/2006 à 01h18

Eh bien Ploc je crois que le temps que tu ne passes plus a lire mais sur Eugénol t'apportera au moins la considération de tes confrères.
Bravo pour ces cas, les endos, ta prise en charge des patients, ton humanité...

Tu es en passes de devenir une nouvelle émulation pour au moins moi,et sans doute beaucoup d'autres jeunes dentistes.

Merci, ca rassure face certains thèmes plus contestataires.


Image odged8 - Eugenol
ploc

19/06/2006 à 02h15

newone' Ecrivait:
-------------------------------------------------------
> Eh bien Ploc je crois que le temps que tu ne
> passes plus a lire mais sur Eugénol t'apportera au
> moins la considération de tes confrères.
> Bravo pour ces cas, les endos, ta prise en charge
> des patients, ton humanité...
>
> Tu es en passes de devenir une nouvelle émulation
> pour au moins moi,et sans doute beaucoup d'autres
> jeunes dentistes.
>
> Merci, ca rassure face certains thèmes plus
> contestataires.
--------------------------------------------------

Merci, mais pr l'émulation des confrères, je demande à voir:

parce que l'Odontologie Pédiatrique n'interesse vraiment pas gd monde il n 'y qu'à voir le nbre de visites sur ce site(alors qu'on a ts des enfants
que l'on souhaite bien soignés si besoin)

les actes en eux mme ne st pas compliqués donc peu valorisants... dif de jouer les MAC GYVER de la pédo pr ceux qui aiment briller:
juste l'abord de l'enfant , une AD et les bons matériaux
quant à la prise en charge SS, mieux vaut en rire(encore que si on se donne la peine et le tps d'expliquer, aucun pb pr le HN)

A ce que j'ai constaté les sealant qui st le B.A. BA de la prévention ne st pas systématiqt faits et nbre de confrères refusent encore de soigner les moins de 6/8 ans (ce que je peux comprendre mais surtout ne les adressent pas! or svces de fac existent par ex
en fait la Pédo c'est avant tout de la prévention et surtout travailler en corrélation avec un ODF qui pratique traitement d'interception


si besoin de tuyaux, n'hésites pas sur eugénol ou MP



Avatar transparent iqadnc - Eugenol
adhoc

19/06/2006 à 13h53

Je suis impressionné, ploc, par les compos de jack sur 51 et 61. Sans tenons, ouaouh! Et ca tient !!!! Merci pour tes beaux cas, ploc.


Imagescanx9uel x9b7id - Eugenol
newone'

19/06/2006 à 20h16

Certes la valorisation n'est pas dans l'acte en lui même.

Mais la satisfaction des enfants, leur soulagement, la confiance qu'ils finissent par nous accorder valent quand même de l'or. (Et c'est aussi s'assurer la fidélisation de la famille)

Je dirai que la plupart d'entre nous ne font pas de pédo car certes ce n'est pas "rentable" mais aussi (et surtout) car la prise en charge du patient est extraordinairement plus complexe (quand c'est mal passé et au départ) et que le risque d'échec (relationnel) est grand.
Et pour nos égos démesurés difficile a accepter.

Pour les cas présentés, j'avoue ne pas avoir très bien compris ton mainteneur d'espace.


Image odged8 - Eugenol
ploc

19/06/2006 à 22h22

newone' Ecrivait:
-------------------------------------------------------
> Certes la valorisation n'est pas dans l'acte en
> lui même.
>
>
> Pour les cas présentés, j'avoue ne pas avoir très
> bien compris ton mainteneur d'espace.
-----------------------------------------------------
extraction de 75 en l'absence de 36 pas évoluée: donc bague s/74 avec mainteneur distal avec petite languette de métal perpendiculaire sous gingivale(pour cela qu'il faut sceller au moment de l'extraction et sous anesth et la 36 va migrer le long sans pouvoir se mésialer)
une fois 36 sur l'arcade, il vaut mieux remettre un mainteneur avec bague s/36 et s'appuyant s/74
celui la n'est la que comme guide d'eruption de 36( regarde ds la Bible Pédo de Fortier" ou le dernier de MM LANDRU qui est plus agréable car plus récent et photos couleurs


NB: je viens de regarder le dossier de Jack
les collages ant ont été faits en 07/2004
revu ts les 6 mois , encore en bouche en 01/2006, il ne devrait pas tarder ou avoir perdu les centrales : je le reconvoque et vs tient au courant-


S8ysxdzhdqgw00w4q6m07a5d47q2 - Eugenol
gai-luron

19/06/2006 à 23h34

tu le convoques?


Image odged8 - Eugenol
ploc

20/06/2006 à 00h46

gai-luron Ecrivait:
-------------------------------------------------------
> tu le convoques?

oui!!!
"le dernier RV date de 6 mois et j'aimerais comme ns en avions parlé revoir votre enfant" :par tel et par l'assistante: en pcpe très content qu'on les rappelle et sinon st pas obligés de prendre RV: RV glissé entre 2 et si RAS= gratuit, sinon autre RV pr gérer ce qu'il faut faire(cela évite les urgences!!!)

mais le contrat est clair au départ : où il y a un suivi et si urgence je prends ou je m'en foutisme et moi aussi(explications à la fin de la 1ère série de soins)

les enfants, tu as interet à les revoir ts les 6 mois car caries à evolution rapide et entre 6 et 11 ans, paysage dentaire change et c'est le moment de faire faire de l'interception si besoin


et avec explications au départ,les parents st très contents qu'on s'occupe de leurs petits chéris


Blue eye thumb medium dx1i0w - Eugenol
bill

20/06/2006 à 01h44

Bravo ploc très jolis cas.
Je t'en envoie un charter un de ces jours... ;-)


Image odged8 - Eugenol
ploc

20/06/2006 à 02h07

bill Ecrivait:
-------------------------------------------------------
> Bravo ploc très jolis cas.
> Je t'en envoie un charter un de ces jours... ;-)

Euh, j'aimerais mieux un vol pr moi (moins cher et cela me fera des vacances :tu pourrais intituler cela " frais pr consutant" pr les impots..)
sinon je suis en FCE (DU pédo MEOPA) à partir du 15/09 , donc à ton svce mais cela dépend ou tu es



024 vownvo - Eugenol
annie

20/06/2006 à 03h43

oui bravo Ploc,moi j'ai de moins en moins d'enfants,heureusement car j'ai de moins en moins de patience,il en faut beaucoup pour que tout se passe bien sans les traumatiser


débutante

12/11/2006 à 02h26

juste un petit mot pour dire que j'aimerais me permettre, ploc, d'utiliser tes photos de leila et de la reconstitution de ses incisives pour ma thèse... j'attends ton accord pour finaliser!


200106 10150128247663588 709988587 6466236 5598391 n d7mksb - Eugenol
hallboy

12/11/2006 à 02h33

t'as un bouquin, ou des articles sur ces histoires d'interception?


Image odged8 - Eugenol
ploc

12/11/2006 à 11h54

débutante Ecrivait:
-------------------------------------------------------
> juste un petit mot pour dire que j'aimerais me
> permettre, ploc, d'utiliser tes photos de leila et
> de la reconstitution de ses incisives pour ma
> thèse... j'attends ton accord pour finaliser!


très flattée et pas de pb en dehors du fait que je viens de les utiliser en septembre pr présenter un mémoire sur le Meopa
donc cela peut il poser un pb?à mon avis non,sauf si c'est sur nancy et mme comme cela ....du moment que tu les présentes comme un travail fait par qq'un d'autre,je pense qu'il n'y a pas de raison de te les refuser...

il a bien fait de remonter ce fil
cela me fait penser qu'il faut que je reconvoque mon guide d'eruption
eh oui,gai luron,je reconvoque!!!
sinon le tps passe si vite...et les parents st si occupés et distraits


Image odged8 - Eugenol
ploc

12/11/2006 à 12h03

hallboy Ecrivait:
-------------------------------------------------------
> t'as un bouquin, ou des articles sur ces histoires
> d'interception?

P. Fellus
l'orthodontie en denture temporaire

sinon un tiré à part de l'ID je crois déjà ancien
sur ODF,interception et omnipratique
je regarde lundi ,photocopie et envoie

adresse cab par mail ou mp svp

je crois qu'il y a qqe chose aussi sur le JOSP auquel je vous conseille de vs abonner pr ceux qui s'interessent à la pédo(que des articles,pas de pub...)
en fait il faut payer sa cotis à la SFOP et vs le recevrez automatiqut(trimestriel)

idem je te photocopie si cela peut apporter des connaissances




débutante

12/11/2006 à 12h18

juste un détail... si tu veux que je cite ton nom, tu peux me le passer en MP. pasque PLOC dans une thèse je suis pas sure que ça fasse très crédible!
et merci beaucoup. je ne suis pas sur Nancy je ne pense pas que ça pose de problème


Image odged8 - Eugenol
ploc

12/11/2006 à 12h35

bof!
pas la peine
mets:
fais par praticienne lambda :):)
ce sera plus drole et vrai


t45

13/11/2006 à 11h33

bonsoir,

ploc est genereuse et desintéressée


12