Cookie Consent byPrivacyPolicies.comrire et sourire d'un enfant - Eugenol

rire et sourire d'un enfant

Image odged8 - Eugenol
ploc

02/04/2008 à 00h56

tiens j'ai bien fait de remonter ce fil:un compliment:)
mme ancien et plus d'actualité, ça fait tjours plaisir

un cas en cours que je vais tâcher de vs faire suivre jusqu'à la fin(pr ceux qui ne dorment pas près du radiateur)

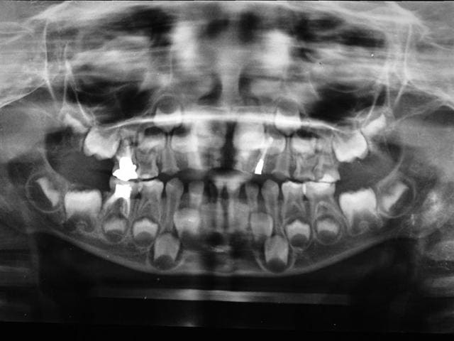
antoine 4 ans1/2
vu en Mars 2007 :traitement 55 -85-51-61
disparu

revu en mars 2008 (le printemps?)

prévu:
et commencé
- couronnes pedo(54-64-65-75) sur dts vivantes: trop délabrées pr pouvoir reconstituer correctement en retrouvant une DV correcte mais de la dentine réactionnelle,pas d'infection
-compos sur 53 et 63
-les anterieures je ne sais pas encore...

vs pouvez contester:)

et les photos vt suivre,fausse manip


Image odged8 - Eugenol
ploc

02/04/2008 à 01h04

photos...peutêtre...

Dscf0643  medium  qgvryj - Eugenol
Img 0916  medium  xuevjw - Eugenol
Img 0918  medium  fzvxmp - Eugenol

Father ted 280 422484a zg0rur - Eugenol
Oméga

02/04/2008 à 18h01

Travail magnifique : je suis plus ébahi par le travail des pedos que des implanto (c'est pour cela que je vais en faire un de ces 4).

Le désintérêt des prats pour la pédo est un ensemble de difficulté qui ne te paraissent peut être pas importante mais qui le sont, d'aléas thérapeutique (les endos des dents de lait sont en passe de remplacer les cocotiers dans mes rêves nocturnes) et de rémunération proche du gag.

De mon coté j'essaye de faire de mon mieux (jamais assez) et SURTOUT de ne jamais passer en force afin de laisser au moins le champ libre à un confrère qui peut être réussira là j'ai échoué.

Mais le MEOPA dans les cab, franchement, pour les soins de pédo et les soins sur handicapés (ma soeur est handicapée, mon père, ancien dentiste, fait partie d'handident), je ne comprends pas les résistances sur ce point.


Image odged8 - Eugenol
ploc

02/04/2008 à 18h55

l'AMM qui devait passer fin 2006 a été bloquée pr des raisons de sécurité parait il...
et si les bonbonnes explosaient ds un cab situé ds un immeuble bourgeois d'habitation?
+ les monter sans les coucher ds les escaliers si pas d'ascenceur,etc...

peutêtre aussi par la querelle avec les anesthesistes....:
le DU demandé pr utiliser le MEOPA te donnant une competence qui t'autorise à utiliser des Benzodiazepines pr obtenir une sedation consciente modérée par voie orale,IR ou IV
ds les pays anglo-saxons et scandinaves les liberaux le ft au cab
en Fce ce n'est pas du goût des instances de santé

le dossier est dc tjours en attente(en haut ou en bas de la pile??)

à lire si tu ne l'as déjà fait:

"LE TRAITEMENT DE LA DOULEUR ET DE L ANXIETE"

(QUINTESSENCE COLLECTION REUSSIR)

A. BERTHET,D.DROZ, MC.MANIERE, C.NAULIN IFI, C.TARDIEU





Father ted 280 422484a zg0rur - Eugenol
Oméga

02/04/2008 à 19h05

Je l'ai lu (je crois), mais difficile de nous opposer des résistances quand une grande majorité de nos confrères voisins pratiquent cet acte sans aucun problème.

Et le fait de passer un DU, avec l'investissement énorme de temps et d'argent qu'il représente est un frein supplémentaire.


Sig

16/04/2008 à 20h18

ploc Ecrivait:
> prévu:
> et commencé
> - couronnes pedo(54-64-65-75) sur dts vivantes:
> trop délabrées pr pouvoir reconstituer
> correctement en retrouvant une DV correcte mais de
> la dentine réactionnelle,pas d'infection
> -compos sur 53 et 63
> -les anterieures je ne sais pas encore...
>

Alors finalement qu'as-tu prévu pour les dents antérieures? Ca m'intéresse! (cf mon mp :p)


Image odged8 - Eugenol
ploc

16/04/2008 à 20h55

je le vois demain :prévu les canines en compos photos suivront


Image odged8 - Eugenol
ploc

29/04/2008 à 01h00

traitement global: ns aussi,en pedo,on peut!
à court terme,d'accord mais c'est mieux que rien(des dents de lait:les soigner? pourquoi faire?)

antoine: bientôt 5 ans
fin

pr les anterieures sup on verra en rentrant,radios à l'appui,et en fonction de la rhizalyse si ça vaut le coup de les remplacer

pr le moment:
VACANCES!!!!!!!!!!!!!!!!!!!!!!!!!!!!!!

Debut 1 akftnu - Eugenol
Fin 1 yocx2b - Eugenol

Sig

04/05/2008 à 15h15

Ca en fait du boulot! Bravo!

Tu as passé combien de séances pour faire tout ça? Et Antoine il s'est bien laissé faire à chaque fois?

bonnes vacances!


Image odged8 - Eugenol
ploc

04/06/2008 à 19h02

Sig Ecrivait:
-------------------------------------------------------
> >
> Tu as passé combien de séances pour faire tout ça?>

5 RV

Et Antoine il s'est bien laissé faire à chaque
> fois?

on peut dire ça comme ça.....:)

>
>


Image odged8 - Eugenol
ploc

04/06/2008 à 19h05

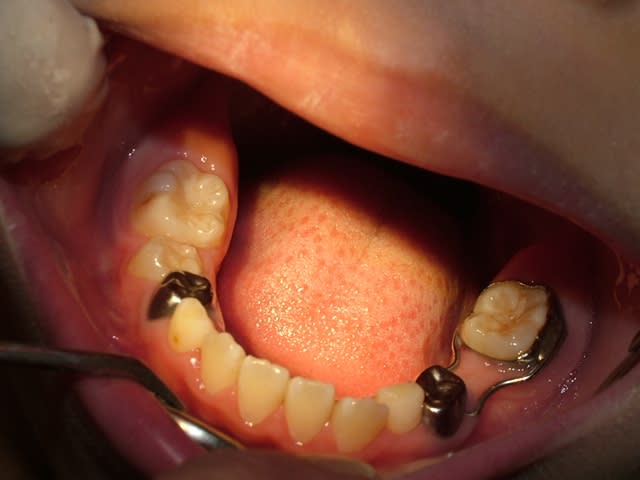
ds la mme,je récupère le frère
kelly:3 ans et 4 mois

Img 0965  small  ew2zyp - Eugenol
Img 0967  small  dahzlx - Eugenol

Sig

12/06/2008 à 13h51

Wahou O_o

Enfin, comme on dit mieux vaut tard que jamais!! J'ai vu un petit comme ça en vac de pédo au centre de soins, 3 ans et demi, le père a laissé tomber au bout de 2 séances... C'est tellement égoïste je trouve de la part des parents de laisser leur gamin comme ça! Ceci dit je suppose que comme ça s'est bien passé avec antoine, ils vont faire la totalité des soins avec le petit, c'est déjà ça :)

Bon, vu la photo, je suppose que t'as des extractions et une petite prtohèse amovible prévues?


Image odged8 - Eugenol
ploc

14/01/2009 à 23h31

pr sig,les extractions st faites,les soins aussi,une couronne pedo est prévue en fevrier et la prothèse amovible pas faite: je n'ai pas de prothesiste pedo sur place et je ne suis pas persuadée qu'il va la porter

mais le but du post était de vous mettre la suite de jack(l'nstigateur de ce fil) qui a maintenant 9 ans et vient à peu près regulièrement( = en termes pro, une motivation parentale réussie:)
en 2006 ext de 75 et pose d'un mainteneur
en 2007 ext de 85 secteur où j'ai fait 2 erreurs:
1)ne pas mettre de couronne pedo en 2004 et me contenter d'un CVI(d'ou reprise de carie)
2)lors de l'extraction ne pas avoir mis de mainteneur d'espace au vu de la radio qui montrait 45 pas si loin...

et il manque de la place ,pas gd chose mais il manque!(photo en octobre et photo en janvier: pas de changement:c'est bloqué!)
direction odf(il faut bien qu'ils vivent les pauvres... si que les omni allaient leur enlever un cas de leurs pinces...)

mais comme quoi un mainteneur n'est pas inutile

85 en 2007 umqpaf - Eugenol
Z - Eugenol
Dscf0061 rrmmjr - Eugenol
Radio75 s16u0c - Eugenol

Image odged8 - Eugenol
ploc

15/04/2010 à 00h59

antoine, vs vs souvenez?(photo1)

le voilà 2 ans plus tard à 6 ans, tjours avec ses CP (comme quoi ça tient ces petites choses là)qqes dents en plus,tjours ses racines traitées qui lui servent de mainteneurs en anterieur
et mme... il se brosse bien les dents!

on peut gérer un enfant polycarié et motiver ses parents à venir ts les 6 mois et enfoncer et réenfoncer le clou de l'hygiène et prophylaxie et prevention tout comme je le fais auprès des eugenoliens:)

Img 0916  medium  v839we - Eugenol
14 avril2010 003  small  tegarv - Eugenol
14 avril2010 001  small  l0qiyt - Eugenol
14 avril2010 002  small  lpj7sf - Eugenol

Sig

15/04/2010 à 01h50

Génial :) Bravo!


Smile beach jgh0a1 - Eugenol
Céramik

15/04/2010 à 04h59

ploc écrivait:
--------------
> ds la mme,je récupère le frère
> kelly:3 ans et 4 mois

Tu vois bien que la carie, c'est génétique...
pareil que fréro...

--
Céramik


Image odged8 - Eugenol
ploc

16/04/2010 à 03h39

genetique...si j'étais vulgaire je rajouterais bien qqe chose!

c'est culturel,familial ds les habitudes alimentaires et d'hygiène,genetique aussi c'est certain mais c'est un des domaines où l'acquis peut dominer l'inné si on lui donne les moyens de le faire


Smile beach jgh0a1 - Eugenol
Céramik

16/04/2010 à 04h45

Ben les 2 fréro sont atteints...
donc génétique, c'est scientifique !
(Comme dit le type de Borst...)


:-)


--
Céramik


12