Cookie Consent byPrivacyPolicies.comage minimum pour multi bagues - Eugenol

age minimum pour multi bagues

panicard3

28/06/2006 à 01h34

bonsoir,
je suis omnipraticien et je voudrais savoir quel est l'age minimum pour le port d'un multi bagues?
y a t il plus de risques de rhyzalyses si le port est précoce?
merci de vos réponses


lakme

28/06/2006 à 02h43

Comme l'indique son nom, multi-bagues implique au minimum 2 dents...


panicard3

29/06/2006 à 00h59

lakme Ecrivait:
-------------------------------------------------------
> Comme l'indique son nom, multi-bagues implique au
> minimum 2 dents...


Je te remercie pour cette réponse très pertinente et confraternelle.


lakme

29/06/2006 à 03h02

Le prend pas comme ça. Bon et bien, récemment j'ai soigné une adulte CMU (un cas chirurgical) et j'ai été surprise un jour de la voir venir avec son fils de 4 ans porteur d'un multibagues, j'ajoute bimaxillaire. Cette patiente venait de Nantes se faire soigner en région parisienne et son fils, lui était soigné sur Nantes. J'ai peur que ta question ne fasse resurgir les vieilles querelles d'Ecoles sur l'âge de début de trt. C'est tout.


bjc

29/06/2006 à 05h02

Cher panicard3,

Comme lacamée te l’a gentiment dit, avec son bon sens mécanistique, il faut au moins 2 dents.
Ceci dit : dents lactéales ou permanentes ; et ou les prendre ? Dans la cavité buccale, dégager le gencive pour les coller, ou mieux encore coller sur les germes, et pourquoi pas in-utéro.

Devant ce manque de précision, je vais respectueusement, avec toute la considération due à vos titres, oser être plus concret.
Rien n’interdit de poser des attaches sur les dents lactéales
Encore faut il que l’objectif de traitement le justifie.
Les vieilles, très vieilles, querelles d’école sur l’age de début du traitement portent sur avant ou après 12 ans. Actuellement on pourrait se quereller sur avant ou après 6 ans.
Ce sont les techniques dites d’interception.
Cela ne dépend plus que de la maturité de l’enfant et de l’approche du praticien, toujours en fonction de l’objectif de traitement, pourquoi pas avec des attaches si on ne peut pas faire plus simple.

@+ BJc.


panicard3

29/06/2006 à 10h18

bjc Ecrivait:
-------------------------------------------------------
> Cher panicard3,
>
> Comme lacamée te l’a gentiment dit, avec son bon
> sens mécanistique, il faut au moins 2 dents.
> Ceci dit : dents lactéales ou permanentes ; et ou
> les prendre ? Dans la cavité buccale, dégager le
> gencive pour les coller, ou mieux encore coller
> sur les germes, et pourquoi pas in-utéro.
>
> Devant ce manque de précision, je vais
> respectueusement, avec toute la considération due
> à vos titres, oser être plus concret.
> Rien n’interdit de poser des attaches sur les
> dents lactéales
> Encore faut il que l’objectif de traitement le
> justifie.
> Les vieilles, très vieilles, querelles d’école sur
> l’age de début du traitement portent sur avant ou
> après 12 ans. Actuellement on pourrait se
> quereller sur avant ou après 6 ans.
> Ce sont les techniques dites d’interception.
> Cela ne dépend plus que de la maturité de l’enfant
> et de l’approche du praticien, toujours en
> fonction de l’objectif de traitement, pourquoi pas
> avec des attaches si on ne peut pas faire plus
> simple.
>
> @+ BJc.
>
>
salut Bjc
merci de ta réponse.
La question que j'ai posé venait du fait que j'ai vu un petit patient de 7,5 ans avec des brackets de 12 à 22 et bagues sur les 6(les dents de lait étant laissées).
Je me posai juste la question par rapport à d'éventuelles rhyzalyses sur un sujet aussi jeune. Y a t il ,d'après vous, un risque particulier?


bjc

29/06/2006 à 11h20

Cher panicard3

Il ne faut pas oublier le principe qui est :
Nous voyons les échecs des autres, et selon le même principe, les nôtres vont en face.
D’autre part, rhyzalyse et récidives sont des sujets tabous.

Maintenant si l’arc qui relie les molaires aux incisives est un arc droit, je compléterai ma réponse

@+ Bjc.


panicard3

29/06/2006 à 23h29

bjc Ecrivait:
-------------------------------------------------------
> Cher panicard3
>
> Il ne faut pas oublier le principe qui est :
> Nous voyons les échecs des autres, et selon le
> même principe, les nôtres vont en face.
> D’autre part, rhyzalyse et récidives sont des
> sujets tabous.


Je vois bien que cela semble tabou mais franchement je ne comprend pas pourquoi.
en omni, on a aussi nos emmer... et moi j'en parle sans pb


> Maintenant si l’arc qui relie les molaires aux
> incisives est un arc droit, je compléterai ma
> réponse
>

Il semble de mémoire à l'omnipraticien que je suis que l'arc est droit des inc aux 6 (sans prendre les dents lactéales) mais avec au niveau du palais un arc complémentaire
Je dois revoir le jeune patient samedi.Je regarderai plus attentivement


Théus

30/06/2006 à 01h34

Bonsoir,
Pour répondre à l'interrogation sur les rhizalyses:
Le risque croît avec l'âge. Des études démontrent qu'il y a moins de rhyzalyse chez le sujet en croissance. Logique: plus on vieillit, plus les possibilités de cicatrisation, y compris radiculaires, diminuent.
Cela vaut également pour la régénération osseuse qui est un problème connexe.
Encore un argument supplémentaire en fonction des traitements précoces.


Avatar transparent iqadnc - Eugenol
adhoc

30/06/2006 à 02h16

Certes, théus, mais nous ne disposons que de 6 semestres. Et le spectre de la canine incluse est toujours là, difficilement prévisible à cet age (quand age dentaire normal voire retardé), et peut remettre en cause un traitement multiA précoce, car à 13 ans le multiA sera toujours là.
On rentre dans des pensée louables (et parfois tres efficaces) d'interception en fixe mais on a toujours l'autre école (louable aussi) qui nous dit qu'il faut rammasser le maximum d'efficacité dans un minimum de temps de traitement. Multifactoriel, l'age idéal de début de traitement , age dentaire, age osseux, age psy. , volonté parentale, motivation, po facile.


hordeotech

30/06/2006 à 13h14

Avec moins de risque (pour des petites patients)
http://www.i-ortho.net


panicard3

02/07/2006 à 01h24

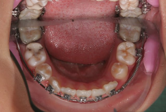
j'ai revu le jeune patient(7,5 ans) aujourd'hui.
En fait, il porte un multi bagues sur les 4inc associé à un quadhélix.
Je ne connais pas comme technique
qui en as l'habitude? risques particuliers?


panicard3

02/07/2006 à 01h49

lapadoué Ecrivait:
-------------------------------------------------------
> Vu d’ici, et par une omni qui aime bien mettre son
> grain de sel, j’imagine qu’il ne s’agit que d’une
> traitement d’interception d’une endo maxillaire :
> après rétablissement d’un engrainement adéquat ,
> rien n’empêche d’arrêter le traitement et de le
> reprendre en denture définitive. Tu crains des
> rhyzalyses sur quelles dents ? J’imagine que le
> patient est en avance d’âge dentaire et que les
> racines des 6 sont déjà formées ?? ( les ortho
> sont pas tous des sauvages !)


Oui il s'agit d'un traitement interceptif.
C'est un peu léger de ma part mais j'avoue ne pas avoir pris de radios.Je vais y remédier au prochain r d v
Ma crainte se situe surtout pour les incisives car si je vous ai parlé du cas,c'est que le patient se plaignait de celles ci
Je sais que tous les orthos ne sont pas des sauvages mais comme je l'ai dit,c'est la 1ère fois que je voyai ce type de trt


bjc

02/07/2006 à 13h26

Bonjour,

C’est la technique segmentée de Ricketts.
Technique utilisée en interception, elle a pour but de corriger très tôt les axes des incisives.
Et par le Q.H. de déroter les 6 (canines postérieures) pour déverrouiller la croissance, ainsi que de verser les dents lactéales qui vont entraîner les germes des dents permanentes et ainsi faire une expansion avec de l’os.
C’est une excellente technique d’interception, bien que pas toute jeune. C’est dommage que tu n’en ais pas vu plus souvent.

Les douleurs viennent souvent du Q.H. qui en travaillant peut appuyer sur le palais, ou des crochets extérieurs sur les bagues.
Tu peux passer un coup de fil à l’Ortho.

@+ Bjc.



panicard3

02/07/2006 à 14h33

bjc Ecrivait:
-------------------------------------------------------
> Bonjour,
>
> C’est la technique segmentée de Ricketts.
> Technique utilisée en interception, elle a pour
> but de corriger très tôt les axes des incisives.
> Et par le Q.H. de déroter les 6 (canines
> postérieures) pour déverrouiller la croissance,
> ainsi que de verser les dents lactéales qui vont
> entraîner les germes des dents permanentes et
> ainsi faire une expansion avec de l’os.
> C’est une excellente technique d’interception,
> bien que pas toute jeune. C’est dommage que tu
> n’en ais pas vu plus souvent.
>
> Les douleurs viennent souvent du Q.H. qui en
> travaillant peut appuyer sur le palais, ou des
> crochets extérieurs sur les bagues.
> Tu peux passer un coup de fil à l’Ortho.
>
> @+ Bjc.
>
>
>
>
> @+ Bjc.
>
>
merci pour ta réponse:concise et très claire;
j'avais toute confiance en cet ortho(sinon je n'y aurai pas envoyé mes patients) mais je ne connaissais pas cette méthode.
Bon dimanche
@+ Panicard3


bjc

02/07/2006 à 15h25

Bonjour,

C’est un cas que j’aurais pu traiter plus rapidement si je l’avais vu plus tôt, heureusement il me reste encore de la croissance.

Plus on attend 12 ans plus le ttt. est long

@+ Bjc.

Img 5286 fgg0ox - Eugenol
Img 5287 mtdybs - Eugenol

hordeotech

02/07/2006 à 19h11

é è á é è á


hordeotech

02/07/2006 à 19h14

>Ma crainte se situe surtout pour les incisives car si je vous ai parlé du cas,c'est que le patient se plaignait de celles ci
>Les douleurs viennent souvent du Q.H. qui en travaillant peut appuyer sur le palais, ou des crochets extérieurs sur les bagues.

> j'avais toute confiance en cet ortho(sinon je n'y
> aurai pas envoyé mes patients) mais je ne
> connaissais pas cette méthode.

Cher panicard3
que vous vous souciez et que votre jeune patiente a des douleurs, alors pourquoi pas envoyer vos patients aussi jeunes et tendres aux pratiquants des méthodes épreuvées qui évitent ça?
Trouvez-les par ex. dans le déjà dit
http://www.i-ortho.net
(je sais des autres sources plus petites, et pas tous disponibles sur réseau)