Cookie Consent byPrivacyPolicies.comUn cas peu banal - Eugenol

Un cas peu banal

solene

28/06/2006 à 22h29

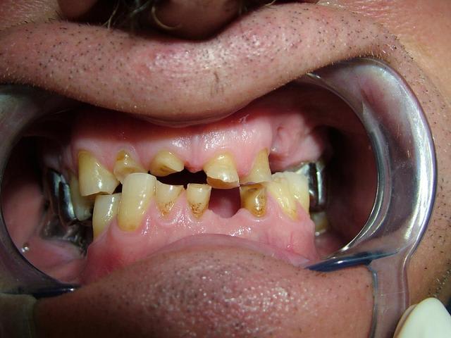
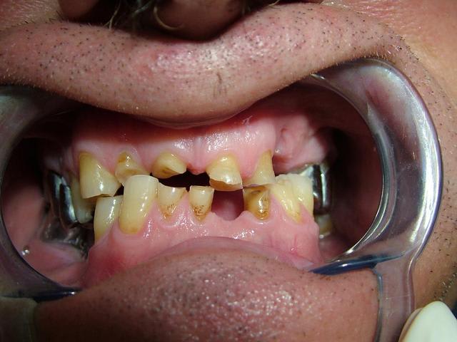
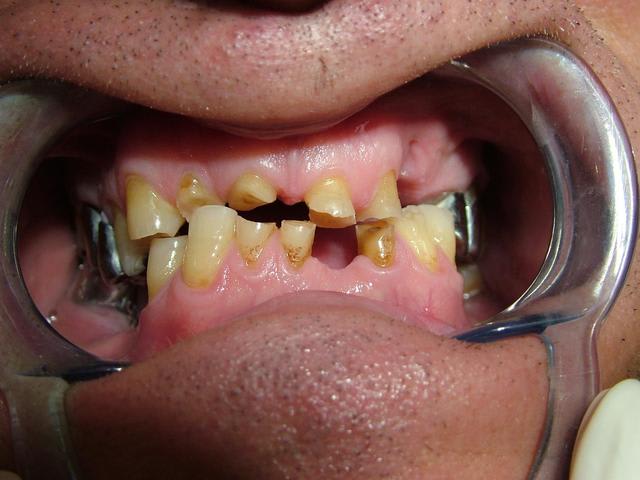
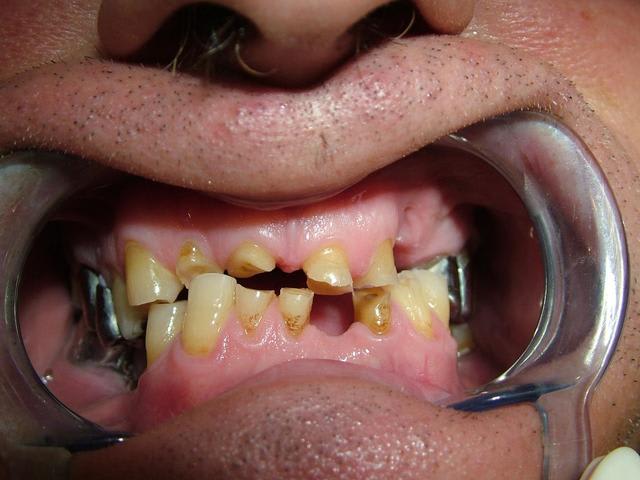
Homme de 57 ans avec DV effondrée.
Le patient n'a jamais porté de PAP.
Je ne sais pas par quel bout commencer ;
Il me semble que le plus important serait de lui faire une plaque de surélévation pour remonter la DV. De combien de mm peut-on remonter une DV ?

Help; donnez moi des idées.

001 otvs7l - Eugenol
Ant vtlhgh - Eugenol
Côté d 1 o5f414 - Eugenol
Côté d 2  za1mgt - Eugenol
Côté g 1 unnh0r - Eugenol
Côté g 2 prrkf3 - Eugenol
Côté g 1 fhjyrh - Eugenol
Côté d 2  whwdod - Eugenol
Côté d 1 mtxgq5 - Eugenol
Ant gl0hh1 - Eugenol
Ant eoi2q7 - Eugenol
001 j1jbcc - Eugenol
Ant wios7l - Eugenol

solene

28/06/2006 à 22h48

J'essaie d'envoyer plus de renseignements photos

001 kobyck - Eugenol
Côté d 1 nsan2k - Eugenol
Côté d 2  qf5ldv - Eugenol
Côté g 1 wpfxmq - Eugenol

solene

28/06/2006 à 22h52

la dernière

Côté g 2 yen4td - Eugenol

Richard

29/06/2006 à 00h02

quelle mouche l'a piqué pour qu'il vienne consulter?


Logo vuaztn - Eugenol
mac

29/06/2006 à 00h03

la mouche tsé tsé...


024 vownvo - Eugenol
annie

29/06/2006 à 05h49

S'il a economise toute sa vie pour ses dents et qu'il a du fric,peut être un bridge complet en haut et en attendant les implants une plaque en bas
personnellement,je commencerai par faire une plaque en bas et des provisoires en haut ,jusqu'a trouver la bonne hauteur de confort et apres tu décides soit fixe en haut ou mixte
faut voir comment sont ses dents residuelles,mobiles ou pas,il y a un grand manque osseux d'un (coté droit écran,je ne sais dans quel sens tu as mis la pano )extraction recente?
quelle est sa demande? il ne devrait pas être tres exigeant en plus!!,mais ils oublient souvent au cours des travaux leur état initial
en tout cas bon courage
pour la hauteur il faut surrelever suffisamment pour faire tes provisoires,et voir au fur et a mesure comment c'est supporté


Ylfwcw979cz1jnx9gfqeaxndiuzk - Eugenol
Algi

29/06/2006 à 11h24

Soit tu disposes d'une technique de montage sur articulateur fiable soit va falloir bosser au pif, à l'instinct....

Dans un premier temps: redonnes une dimension idéale aux anterieures (provisoires ou plaque avec bourrelet de niveau qui se place par dessus les dents existantes....). cela te donnera une idée de la DV à obtenir.

Ensuite: verifies que cette DV est acceptée (tests des petits papiers pour determiner l'occlusion que j'ai remis sur le forum y'a environ 3 semaines).

Tu fais alors réaliser des coiffes provisoires et deux PPA resine facilement modifiables si besoin est.

Tu le laisse ainsi quelques mois, le temps de reprendre tes endos et le temps de refaire les soins de restauratrice et tu verras si cette hauteur est la bonne.

Ensuite si ça colle (méfie toi de sa tendance à bruxer) tu pourra passer à ce que tu veux pour la réhabilitation definitive, fixe, mobile, implants....


?

29/06/2006 à 13h29

Pano correspond aux modèles ????


!

29/06/2006 à 14h30

C'est le jeux des 7 erreurs ? ou je te prends pour un Mickey ?


Dr+

29/06/2006 à 14h36

Pano inversée


003 penrd2 - Eugenol
Cingulum

29/06/2006 à 22h52

Contrairement à ce qui a été dit...Il n'y a pas de perte de Dimension verticale. Les secteurs posterieurs sont plus ou moins preservés
(couronne métallique..)

Par contre dans le secteur anterieur l'usure des dents à été compensé par une egression qui donne l'illusion de perte de DV...


Le traitement est complexe car on peut pas vraiment augmenter la DV...il y pas ou peu de perte. Si on surevalue la DV, ça peut etre super mal toléré.

1. Faire faire un wax up en conservant peu ou prou la meme DV. En réduisant les couronnes cliniques dans les secteurs posterieurs, et en allongeant devant au détriment du parodonte (Elongation...)

2. En fonction du resultat proposer la restauration complete conjointe ou adjointe mais ce sera toute l'arcade ou rien...


024 vownvo - Eugenol
annie

29/06/2006 à 23h16

Cingulum Ecrivait:
-------------------------------------------------------
> Contrairement à ce qui a été dit...Il n'y a pas de
> perte de Dimension verticale. Les secteurs
> posterieurs sont plus ou moins preservés
> (couronne métallique..)
>
> Par contre dans le secteur anterieur l'usure des
> dents à été compensé par une egression qui donne
> l'illusion de perte de DV...
>
>
> Le traitement est complexe car on peut pas
> vraiment augmenter la DV...il y pas ou peu de
> perte. Si on surevalue la DV, ça peut etre super
> mal toléré.
>
> 1. Faire faire un wax up en conservant peu ou prou
> la meme DV. En réduisant les couronnes cliniques
> dans les secteurs posterieurs, et en allongeant
> devant au détriment du parodonte (Elongation...)
>
> 2. En fonction du resultat proposer la
> restauration complete conjointe ou adjointe mais
> ce sera toute l'arcade ou rien...

tu les trouves égressées toi les incisives inférieures?


003 penrd2 - Eugenol
Cingulum

29/06/2006 à 23h25

Oui...egressé et usée. Regarde l'os alveolaire de la pano.

Regarde aussi le collet de la 43 et 46...

De toute façon il n'y a pas perte de DV si il n'y a pas perte de calage posterieur...


solene

30/06/2006 à 00h30

L'idée de cingulum me semble la plus acceptable car il y a néanmoins un calage postérieur qui a sans doute permis de conserver la DV d'origine ou du moins éviter qu'il y ait un effondrement important. La remarque de cingulum me semble particulièrement pertinente.

Je vais explorer du côté de l'idée de cingulum : à savoir remettre le patient avec une courbe d'occlusion correcte dans les secteurs postérieurs en lui remplaçant les dents absentes avec une PAP; augmenter très légèrement la DV ( 1 à 2mm) ; si la nouvelle position est bien, toléré, faire des élongations coronaires des dents antérieures , puis dents provisoires antérieures . A partir de là laisser le patient quelques mois sous provisoires puis faire la prothèse définitive avec prothèses conjointes et adjointes.

Je ne vois pas quel problème il y a avec la pano?


Images eb1m5g - Eugenol
tonio

30/06/2006 à 01h02

je suis d'accord avec ce que propose cingulum.

Augmenter la DV dans ce cas serait la solution de facilité mais on perdra le seul calage qui parait correct du côté droit, à moins de faire des inlays de surélévation.

je suis d'accord avec le principe de l'élongation coronaire qui permettra de gagner de précieux millimétres pour la reconstotution définitive et d'harmoniser le sourire.

dommage que l'on ne voit pas plus souvent de cas comme celui là sur nonol, ce sont ceux là qui nous font progresser...


Images eb1m5g - Eugenol
tonio

30/06/2006 à 01h16

avant de faire le wax up, j'aurai fait une prise d'arc facial, montage sur articulateur et une technique du drapeau pour me donner une idée plus précise du plan d'occlusion "idéal".

Peut être faudrait-il virer certaines dents mandibulaires, peu intéressantes d'un point de vue prothétique pour être plus en conformité avec ce plan d'occlusion idéal. Je pense en particulier aux 3 incisives mandibulaires.

La fonte osseuse liée à ces extractions + une éventuelle plastie permettrait de gagner encore un peu de place; mais aussi permettrait d'harmoniser le sourire (avec 4 incisives prothétiques) et de rétablir une occlusion antérieure conventionnelle et non pas en bout à bout (en plus la résorption osseuse mandibulaire antérieure s'effectue de façon centripéte).

Peut être faudra t'il rectifier aussi un peu les 2 canines du bas???

Enfin, je dis ça... c'est juste une idée.

ce serait sympa de voir une photo en bouche qui sera plus parlante.

bon et si tu ne t'en sors pas, tu l'envoies chez ton pire ennemi... ;)


024 vownvo - Eugenol
annie

30/06/2006 à 02h40

oui il y a un calage postérieur avec des dents dans tous les sens et des molaires complétement déviées
est ce la bonne occlusion?
comme dit al,dur de soigner une pano!
mais je pense qu'il faudrait liberer les contacts qui faussent l'occlusion,essayer de la retablir ou de la controler et voir ensuite


024 vownvo - Eugenol
annie

30/06/2006 à 03h42

personnellement je prefererais surelever que de faire des elongations coronaires aux resultats esthétiques aléatoires et risquer de faire un bras de levier prothèse racine mal équilibré
chacun son opinion!!


1 eugenol dmj5np - Eugenol
Dancha

30/06/2006 à 14h30

Est-ce que l'ingression de ce dents te rendraient service dans ton traitement, Solene ?

Ingression izguxr - Eugenol

003 penrd2 - Eugenol
Cingulum

30/06/2006 à 15h18

Je confirme il y a un calage posterieur...presque pas de perte de DV. Donc la distance "maxillo-mandibulaire" n'a pas diminuée.

Il y a qu'a regarder la dimension verticale de repos...on saura si il y a variation de DV.

C'est sur qu'a mon avis l'ingression des Inc mandibulaire serait le meilleure choix.

Calages tsbyyu - Eugenol
Courbes eu2yz4 - Eugenol

Images eb1m5g - Eugenol
tonio

30/06/2006 à 15h33

Wahouuuu! trop fort cingulum pour tracer virtuellement la courbe d'occlusion... ;)

sûr qu'ingresser le bloc antérieur serait la solution la plus conservatrice. Mais honnétement, pensez-vous qu'un patient qui arrive dans un tel état soit assez motivé pour se taper un traitement ortho??? je ne parle même pas du temps que ça prendrait et de la difficulté à ingresser des dents...

ceci dit c'est une piste trés intéressante à étudier.


024 vownvo - Eugenol
annie

30/06/2006 à 16h32

Tu ne connais pas les tours de mains de Dancha! en trois petits tours,une petite vis,un ou deux elastiques,ethop,egression,ingression,deplacements
spectaculaires,la classe quoi!
VU comme cela Cingulum tu dois avoir raison
Petite question,pourquoi s'il y a egression,ce sont les incisives mandibulaires (ou l'os est plus compact et defiant la loi de la pesanteur) plutot que les incisives maxillaires?


Dos02 qpcfgi - Eugenol
Rick

03/07/2006 à 23h05

Super tes photos solene,
la mise en occluseur me parait erronée avec ce type d'abrasions les incisives devraient être en contact, mais pas grave l'essentiel c'est l'aperçu. ,
Anomalies à vérifier:
malposition articulaire,
bout à bout de convenance.
Condyle D photo
Axe pano/ modèles Photo.
---)))----)))---

Bonne analyse cingulum,

"secteurs posterieurs sont plus ou moins preservés"
Le ratio longueur racine/couronne, comparés au standard (Tallec) semble conforme.

" l'usure des dents à été compensé par une égression"
Je risquerais un autre facteur complémentaire, l'hyper sollicitation des secteurs ant. favoriserai une génération ou stimulation de développement osseux, le calage post. empêchant la perte de la dv, l'usure des dents suivie aussi partiellement par cette tonicité compensatrice!
---)))---)))---

Annie,
"la loi de la pesanteur"
Ne s'applique pas dans ces cas, crêtes inactives résorbés, actives stimulation et tonicité.
Une fois encore, la non-fonction crée la dis fonction.
http://www.eugenol.com/eugenol/file.php?11,file=3865
---)))---)))---

Tonio,
" Je pense en particulier aux 3 incisives mandibulaires."
La préservation des racines résiduelles est capitale pour le maintien de l'intégrité osseuse et possible implantation postérieure d'une part, garder un maximum de proprioception d'autre part, bien entendu si dites racines son intègres.

" c'est une piste très intéressante à étudier"
L'ingression préconisée par Dancha est intéressante, si le patient peu suivre.

" rétablir une occlusion antérieure conventionnelle"
Cela me paraît risqué si tu parles de recouvrement incisif. Sur la photo ANT, l'abrasion est propulsive côté D et latérale côté G.
---)))---)))---

Au max, rétablissement des plans d'occlusion avec coiffes transitoires.

A la Mand, PPAM, en plus du tracé conventionnel, contre coiffes métalliques sur incisives, (taille de préférence, option C) (voir photo), pour ménager un maximum pour la dent prothétique. FOS > faces occl. de surélévation sur molaires, incluses dans PPAM 1 à 2 m/m pour la petite surélévation souhaité. Il va sans dire que tu peux à tout moment rectifier dessus.
Je ne vois pas bien un grand relief dans l'engrènement, l'habitude de l'utilisation des incisives comme éléments de broyage sera difficile à faire perdre.> neuro et propriocéption.

Tr03 dt3awi - Eugenol
Tr04 k1ni7n - Eugenol
D42b pjgrrk - Eugenol

solene

09/07/2006 à 18h09

Merci pour toutes les réponses qui m'ont aidé à réfléchir au cas et surtout ne pas me précipiter sur mon plan de traitement stupidement. J'ai revu le patient il y a qq jours et je devais ce jour là lui faire la présentation du plan de traitement. Je lui ai expliqué que son cas était tellment complexe que je n'avais pas pour le moment de solution thérapeutique valable car je n'avais pas encore traité ce type de cas. Le patient a fort bien compris et j'en ai profité pour prendre des radios buccales ; en effet la mise sur occluseur que j'avais sur les précédentes photos était fausse. Le patient "occluse" différement. Voir les nouvelles photos jointes. Il y a très peu de contact antérieur ; j'ai bien demandé une dizaine de fois au patient de se mettre en occlusion pour arriver au même résultat que l'on voit sur les photos. Le patient a bien sur du mal à avoir un occlusion stable.
Ce qui m'interroge le plus c'est comment ce patient est arriver à user le bloc antérieur et arriver à cette situation. Il n'a pas d'habitudes nocives ( ex fumeur de pipes ou autres tics).

Il est vrai que la DV me semble conservé car il y a un calage postérieur côté droit et côté gauche.
Je mettrai la semaine prochaine les photos des modèles avec la nouvelle occlusion.
L'ingression me paraît être la solution la plus intéressante cependant je n'imagine pas que le patient puisse adhérer à ce type de traitement. Quelqu'un peut-il m'expliquer comment ingresser le bloc antérieur ( inf ou sup).

Pour l'instant je serai plutôt d'avis de lui remonter de 1 à 2 mm la DV avec une plaque de surélévation ( plaque pendant 2 à 3 mois) pour voir si les ATM supportent et faire des élongations coronaires sur les dents antérieures que l'on conservera.

Pano q2rbry - Eugenol
Antérieur 1 kzfihy - Eugenol
Antérieur 2 zrefo3 - Eugenol
Antérieur 3 eev2gm - Eugenol
Côté droit 1 o1btoi - Eugenol
Côté droit 2 nyzilf - Eugenol
Côté gauche 1 esefed - Eugenol
Côtégauche 2 ry4qsu - Eugenol

solene

09/07/2006 à 18h14

Voilà la suite

Antérieur 1 jd4ifa - Eugenol
Antérieur 2 ivp5pg - Eugenol
Antérieur 3 fuueax - Eugenol

12