Cookie Consent byPrivacyPolicies.comUn cas peu banal - Eugenol

Un cas peu banal

solene

09/07/2006 à 18h16

la suite!!

Antérieur 1 zuqhhn - Eugenol
Antérieur 2 qljvtj - Eugenol
Côté gauche 1 zxl4gr - Eugenol
Côté droit 1 zytfar - Eugenol

solene

09/07/2006 à 18h19

la fin!!

Côté droit 2 x9suad - Eugenol
Bas faces occlusales 1 cdbbud - Eugenol
Haut faces occlusales 1 e7tnt3 - Eugenol
Pano hkkktg - Eugenol

024 vownvo - Eugenol
annie

09/07/2006 à 19h04

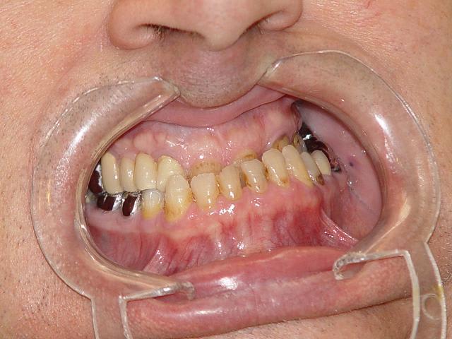
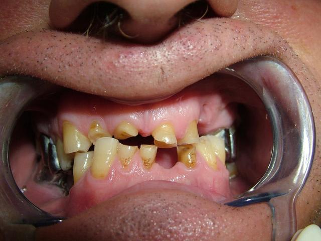
C'est quoi cette tache rouge sur le palais?
Ma première idée de dire que l'occlusion était faussée par des contacts prématurés,des déviations des egressions,et qu'il fallait en premier lieu essayer de la retrouver dans une position plus conforme à la normale
L'usure des dents antérieures en est peut-être le résultat


Zoe   son arriv e whwqpj - Eugenol
emma

11/07/2006 à 21h05

Solène, voici un cas semblable au tien, les images parlent plus qu'un long discours, j'ai commencé la surélévation en réalignant au maximum les milieux (freins incisifs) et en confiant à mon patient un Soulet-Besombes pour classe III, pour l'instant malgré quelques difficultés pour manger, il se trouve bien dans sa nouvelle occlusion, la suite en septembre.

Tout d'abord les photos avant traitement

001 rkfwim - Eugenol
004 skjtga - Eugenol
Dsc03753 jefqfh - Eugenol

Zoe   son arriv e whwqpj - Eugenol
emma

11/07/2006 à 21h08

Et les photos en cours de réalisation

005 rgkcp4 - Eugenol
006 hlm6bk - Eugenol
Dsc03752 voajwd - Eugenol

1 eugenol dmj5np - Eugenol
Dancha

12/07/2006 à 17h59

solene Ecrivait:
-------------------------------------------------------
….
> L'ingression me paraît être la solution la plus
> intéressante ..
> Quelqu'un peut-il m'expliquer comment ingresser le
> bloc antérieur ( inf ou sup).
...

Comme on manque d’ancrage dentaire pour ingresser, il faut prendre des appuis directs osseux, et mettre des vis dans la symphyse mandibulaire. Je réalise cela depuis plusieurs années, c’est très efficace, facile à faire et très bien toléré par les adultes. Suites opératoires simples avec uniquement du paracétamol pendant 2 jours.

Le système pourrait être relativement discret, sur des systèmes collés style http://www.eugenol.com/eugenol/read.php?4,142157
Voici en gros la mécanique :
Deux vis de chirurgie maxillo-faciales en parasymphysaire avec des ligatures émergentes sur lesquelles sont accrochées des chaînettes élastomériques attachées aux couronnes des dents à ingresser.
Comme l’appui est vestibulaire, cela entraîne un mouvement parasite des dents vers l’avant qu’il faut neutraliser, voire inverser. D’où traction distale supplémentaire grâce à deux fois deux vis en tandem avec une potence verticale dans les zones édentées latérales.

Photos jointes : un schéma à partir de la pano et des exemples clinique (pas exactement ton cas, mais pour te donner une idée du système).

Daniel


Solene   pano   ingression vnhv91 - Eugenol
Solene   vis en tandem alb3ia - Eugenol
Solene   vis symphysaires athwrn - Eugenol

solene

12/07/2006 à 18h16

Emma Bravo pour tes photos et l'évolution de ton cas. Peux-tu quantifier l'augmentation de DV du patient ?
J'ai néanmoins le sentiment, en regardant les photos de début de traitement, que le patient a un maintient de la DV postérieurement ( au moins à droite car il a des CCM faces à des CC. Est-ce que l'augmentation de DV a été bien supportée par le patient et sur combien de temps as-tu réalisé la 1ère phase du traitement? Enfin qu'est-ce qu'un Soulet-Besombes ?

Dans mon cas j'envisage de remonter très modérément la DV avec une PAP ( de préférence stellite) ;
en prenant les modèles en main, je m'aperçois que le patient excerce un bruxisme important entre face distale de 34 et face mésiale de 25. Autre bruxisme important ezntre 41 et 21 et aussi entre 32 et 22. Pour ma part malgré ce sentiment d'absence de perte de DV, je ne pourrai pas reconstruire une courbe et plan correct. Qu'en penses-tu ?
Je joins les photos des modèles avec l'occlusion que le patient semble donner.

Antérieur ebx818 - Eugenol
Côté droit hzhelg - Eugenol
Côté droit rlu6he - Eugenol
Côté gauche hvjxyj - Eugenol

solene

12/07/2006 à 18h20

Voilà la suite

Antérieur v4bbqp - Eugenol
Côté droit fac9tb - Eugenol

solene

12/07/2006 à 18h21

peut-être la fin ; il en reste deux !

Antérieur qrykzz - Eugenol
Pano xxztry - Eugenol
Antérieur vpje6p - Eugenol

Amibien

13/07/2006 à 03h16

Je rejoins Algi, une gouttière "à la Posselt" en revoyant ton patient chaque jour pour meuler la résine à la demande jusqu'à ce que ton patient "l'oublie" quand il mange, quand il dort, etc...

Pour savoir quelle surélévation donner a priori, un test phonétique, "siiiiix" par exemple te donne presque la bonne hauteur...

Quand tu seras là donne de tes nouvelles...


fresh

18/07/2006 à 21h21

il y a des methodes pour evaluer la DVO
par exemple dvr -1 mm
on peut pas augmenter la dv comme ca sans repere le patient aura une sensation de bouche pleine. au debut g cru que la mise sur articulateur été fausse apres avce les image de bouche du patient bfff il y a un contact posterieur il y a pas d'abrasion en principe la dvo est conservée mais le plan d'occlusion est tres perturbé. au niveau posterieur ou on peut observer des egressions mais surtout au niveau anterieur je me demande meme s'il y a pas un defaut des bases osseuses.
a mon humble avis:
enregistrement de l'occlusion => ppa en surelevation => egression des molaires sup.
non je la retire cette solution
verifier si la dvo est conservée avec le test de la gorgé d'eau et rapportez nous le resultat plz


Zoe   son arriv e whwqpj - Eugenol
emma

20/07/2006 à 21h23

solene Ecrivait:
-------------------------------------------------------
> Emma peux-tu quantifier l'augmentation de DV du
> patient ?
> J'ai néanmoins le sentiment, en regardant les
> photos de début de traitement, que le patient a un
> maintient de la DV postérieurement ( au moins à
> droite car il a des CCM faces à des CC. Est-ce
> que l'augmentation de DV a été bien supportée par
> le patient et sur combien de temps as-tu réalisé
> la 1ère phase du traitement? Enfin qu'est-ce qu'un
> Soulet-Besombes ?

Le patient m'a donné lui même la DVO a obtenir avec une cire de déglutition, trop long à expliquer, cf dentosophie.

je me suis efforcée à rétablir une position d'équilibre en alignant tant faire se peut les milieux incisifs et en remontant le plus possible la DVO complètement effondrée.

Le cas a débuté le mois dernier et voici la suite en sachant que tout ce qui est fait actuellement est en temporaire.

Classe iii avant traitement uasubx - Eugenol
Classe iii avant traitement vue endo bucale myikgy - Eugenol
Suite du cas dentosophie classe iii whkbzy - Eugenol
Suite du cas dentosophie classe iii tout en temporaires axign4 - Eugenol

12