Cookie Consent byPrivacyPolicies.comSCREW POST CASSE - Eugenol

SCREW POST CASSE

PHICAL

29/06/2006 à 01h55

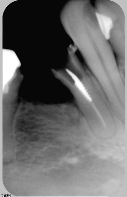
Un patient s'est présenté avec un énorme morceau de screw post cassé dans la racine de la 35 j'ai essayé de le dévisser aux ultra sons mais ça ne marche pas, quelqu'un m'a parlé de la trousse de masserand est ce la bonne solution?


Marque a3 orange fyvhyq - Eugenol
Marc Apap

29/06/2006 à 02h02

non. Mais il y a ce qu'il faut pour retirer les screw posts chez Thomas.


Marque a3 orange fyvhyq - Eugenol
Marc Apap

29/06/2006 à 02h05

F.F.D.M Pneumat
18020 Bourges Cedex Tél : 02 48 23 27 37


PHICAL

29/06/2006 à 02h10

je suis nouveau sur le site et je tente en vain de joindre la radio


Blue eye thumb medium dx1i0w - Eugenol
bill

29/06/2006 à 02h24

Est ce que tu as un morceau qui dépasse ?


PHICAL

29/06/2006 à 02h38

non, il est cassé à ras et en plus il a un diametre et une longueur conséquents


Coeur n9py1g - Eugenol
patvat

29/06/2006 à 11h07

FINE fraise en v et ling et ultrasons LONG mais souvent efficace car US fait devisser


Image19 iebot6 - Eugenol
athos

29/06/2006 à 12h14

si la fraise est assez longue pour que la tete de turbine ne bloque pas sur 34-36, et si on reste bien dans l'axe....

pour masseran c'est cela, sur une 35 en plus, avoue qu'on te gate!!!!

1 gwaost - Eugenol
2 usyfea - Eugenol

radi

29/06/2006 à 13h30

tu laisse comme ca une semaine tu explique a la patiente la salive va dissoudre un peu le ciment et puis ca devra bien finir par sortir avec le detartreur ke tu met en puissance maximum


Bouddha 2 wmj1zk - Eugenol
HAIG

29/06/2006 à 16h24

A prt les instrument de chez Thomas , tu peux aussi utiliser l'extracteur de Gonon qui est moins delabrant . Mais je pense que tu devrais le sortir aux ultrasons par contre mefiance avec la puissance . J'ai eu le deplaisir et le patient encore plus de voir une dent s'ouvrir en deux ds sa longueur apres deux cessions ds une lutte avec un tenon .

Cordialement .


Marque a3 orange fyvhyq - Eugenol
Marc Apap

29/06/2006 à 17h03

Si je ne me trompe pas, aujourd'hui la société Pneumat commercialise dans le même coffret à la fois l'extracteur de gonon et celui à screw post. Originellement, la différence entre les tubes qui se vissent autour des tenons était le sens du pas de vis. Maintenant, c'est le même : inversé pour pouvoir dévisser le screw post du canal.
L'extracteur de Gonon fait appel à un dispositif utilisable uniquement sur des tenons lisses, et en principe, impossible à employer sur des tenons filetés.
Bon, j'ai été un peu vite : pas le temps de faire une dissertation.
Si tu ne comprends pas, téléphone à la société. De toutes façons, même si l'investissement peut paraître élevé, ça sert toute une carrière et c'est indispensable dans tout cabinet (bien que l'on ne s'en serve pas très souvent).


Image odged8 - Eugenol
ploc

29/06/2006 à 17h13

athos Ecrivait:
-------------------------------------------------------
> si la fraise est assez longue pour que la tete de
> turbine ne bloque pas sur 34-36, et si on reste
> bien dans l'axe....
>
> pour masseran c'est cela, sur une 35 en plus,
> avoue qu'on te gate!!!!


c'était juste pr la photo et la beauté du geste, hein?
parce que la dent... elle est tjours là?


tu quoque, filia



Image19 iebot6 - Eugenol
athos

29/06/2006 à 17h15

bin , c'etait juste pour rendre service a phical que j'ai desobturé la dent et cassé puis aleser un peu le screw post, suis serviable moi madame...

oui la dent est toujours là, inlaycore et coiffe, classique et sans rien de special


Monkey

30/06/2006 à 19h27

J'ai vu dans la confèrence de Bertrand Khayat sur ZEDENTAL :

- ultrasons dans l'axe du canal avec un
insert à bout plat.

-pas d'US perpendiculairement

-fraise ROTOPRO de chez ellman ( c'est un fraise conique non travaillante a 6 faces sur turbine),on tourne avec autour de la dent, et ç'a marche très bien.

Regardez la conférence de zedental, c'est vraiment tip top comme disent les jeunes.


Pa050055 igyagy - Eugenol
mark

01/07/2006 à 21h35

chez Denteco, l'intégralité des produits de Thomas: extracteurs de pivot et extracteurs de screw post, avec réassort de filières, trépans, bagues (page 291 de leur catalogue)

Les derniers sont inoxydables, bien mieux par rapport aux originaux qui avaient tendance à noircir à la stérilisation.

Je recommande de commencer par la boîte pour screw post (165€), qui comprend des trépans pour creuser autour du screw-post et le calibrer s'il est en laiton.
Il n'y a plus ensuite qu'a visser (pas inversé donc visser à gauche) jusqu'à ce que la filière butte sur la fin de la partie calibrée, en évitant qu'en absence d'arrêt l'instrument ne vienne forcer sur les parois de la racine.
Une fois la filière arrivée en butée c'est le screw-post qu se dévisse avec facilité dans 95% des cas.

Saisir ensuite le tenon avec une pince pour dévisser en vissant à droite et récuperer ainsi la filière.

Avec un peu d'habitude, en dégageant et formant le screw-post en mouvement circulaire d'une fraise diamantée fine, on pourra se dispenser des trépans dans la plupart des cas (69€ les deux filières avec pas à gauche, pour un numéro sur 4 )

Il m'arrive ainsi d'utiliser ce système pour extraire des tenons d'inlay-core si ceux-ci sont bien circulaires, sans avoir à recourir à l'extracteur de Gonon, qui est lui aussi très efficace mais plus long à mettre en oeuvre (bagues de protection, pince volumineuse un peu stressante pour le patient.

Les articles sont toujours disponibles pour des réassort, chez Denteco.


024 vownvo - Eugenol
annie

01/07/2006 à 22h28

un petit coup d'US avec l'embout pour desceller,le ciment est pulvérisé et le screw bouge ds les 3/4 des cas
sinon continuer au US tout autour en tournant dans le sens inverse du vissage,et il bouge,apres facile de le retirer


Pa050055 igyagy - Eugenol
mark

02/07/2006 à 14h27


PHILCAL Ecrivait:

>j'ai
> essayé de le dévisser aux ultra sons mais ça ne
> marche pas,

annie Ecrivait:

> un petit coup d'US avec l'embout pour desceller,le
> ciment est pulvérisé et le screw bouge ds les 3/4
> des cas
> sinon continuer au US tout autour en tournant dans
> le sens inverse du vissage,et il bouge,apres
> facile de le retirer


Les ultra-sons ne suffisent pas toujours, à moins de dégager très profond, donc au risque de fragiliser la racine par augmentation du diamètre de la lumière interne.


Image 4 lrchtq - Eugenol
Alain

02/07/2006 à 21h05

Merci du tuyau pour le réassort, mark. ce sont toujours les filières "tourne à gauche" n°1 ou 2 qui se flinguent à la sté. C'est cool de ne pas avoir à racheter le coffret complet!


kay

05/07/2006 à 21h08

c'est une saloperie ces screw post en laiton, celui qui a inventé ça je ne lui dit pas merci
la plupart se devisse facilement , mais pour peu que celui qui la posé l'ai bien visse !
j'en ai aussi un qui me resiste

au bout d'1/2 heure j'en ai eu marre, le l'ai laisse 1 semaine voir si il se devissait tout seul !
on se retrouve vendredi avec une fraise LN
il ne va pas me resister longtemps !!


Pa050055 igyagy - Eugenol
mark

05/07/2006 à 23h21

Un screw post ne se visse (ou plutôt vissait) pas!
Par contre ça se dévisse se dévisse le plus souvent facilement si on prend la précaution de bien dégager amalgame et ciment au plus profond de la racine avec un insert à ultra-sons (même pas diamanté quelquefois! pour ne pas trop entamer le tissu de la racine), puis en utilisant le système cité plus haut.
C'est un excellent investisement pour le gain de temps que cela procure!


Margaux motin 01 vv0jbs - Eugenol
Chafia*

09/02/2017 à 22h01

Bonsoir,
je déterre le sujet pour avoir des conseils svp.
La trousse de Gonon modifiée par Machtou:
Pour un screw post qui m'a l'air bien vissé dans la canal palatin d'une 27 bien dégagé pour sa partie coronaire .J'ai testé les ultra sons , habituellement ça fonctionne plutôt bien mais là c'est du béton , il n'y a rien qui bouge.
Donc j'ai un peu peur d'utiliser le système de Gonon modifié , en plus c'est la première fois que je vais m'en servir.
Donc ma première question est : est ce que je dois tarauder la tête du screw post avec un trépan ?
Il doit bien être monté sur contre angle , mais a quelle vitesse de rotation?
et enfin , et pas la moindre crainte est pour la filière :- une fois vissée ( en tournant à gauche) , je dois continuer à tourner à gauche ( donc pour dévisser l'ensemble screw post et filière) , j'ai peur que étant donné le degré de rétention du tenon en ''apical'' que l'ensemble reste figé dans la racine....
merci de m'éclairer , ça me permettra de moins stresser
merci beaucoup


Img 9301 q0yyqn - Eugenol
Art-dent

09/02/2017 à 22h39

Elle est justement modifiée pour les screw-post (car sinon ça vissait au lieu de dévisser)

Tu continues de tourner toujours dans le même sens
(ça va visser sur le tenon et l'ensemble va tourner dans le sens du dévissage)

essaye déjà sans passer le trépan
Sinon sur contre angle bleu sous spray pour les trépans

tu pourras toujours dévisser la filière ne t'inquiète pas

--


Margaux motin 01 vv0jbs - Eugenol
Chafia*

09/02/2017 à 22h53

Art-dent écrivait:
------------------
>
>
> tu pourras toujours dévisser la filière ne t'inquiète pas
>
> --
> 
OK ça me rassures
Art-dent merci pour tes conseils
Si vraiment je dois passer le contre angle est ce qu'il y a une vitesse de rotation recommandée? Dans la notice je n'ai rien trouvé.


dcs

09/02/2017 à 23h27

Encore un abruti qui a cru qu il fallait visser les screw post!!!!!!.

us sans irrigation ,ou transmetal usée avec la vibration ca bouge tout seul !


Img 9301 q0yyqn - Eugenol
Art-dent

10/02/2017 à 00h50

Les trépans c'est juste pour calibrer selon la filière, mais parfois tu n'en as pas besoin car ça accroche déjà suffisamment.
la vitesse aucune idée précise je mets sur le contre angle bleu (le vert est trop lent)

Au préalable, US en alternant spray et sans spray pour déliter au maximum le ciment

En général je vibre 30s, si ça bouge pas, je sors direct la trousse de gonon, c'est redoutable d'efficacité et sûr dans l'utilisation, ça devrait être un incontournable dans tous les cabinets

--


12