Cookie Consent byPrivacyPolicies.comObservations? - Eugenol

Observations?

bjc

06/07/2006 à 15h33

Bonjour,

Observations, Réclamations, Discussions, Contestations ?

@+ Bjc.

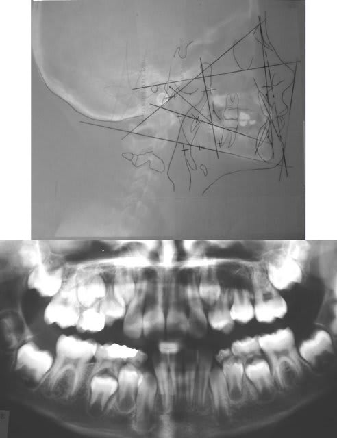
Image1 ruxbwp - Eugenol

bjc

06/07/2006 à 15h34

Complement.
(toutes les dents sont présentes, pas d'agénésies)

Image2 zvxmiz - Eugenol

jpr

06/07/2006 à 15h56

Oui, Bjc?
Quelle est la question au juste??
Je ne vois pas trop l'interêt de ces ressorts en compression...A part créer un encombrement en mesial et en distal...Où sont les canines? Incluses? Vestibulaires? Palatines?
Ce cas m'évoque une CL. III par brachygnathie maxillaire, et dans ce cas je tenterais plutôt une étape fonctionelle (masque de Delaire), puis une correction de la mésioposition des secteurs latéraux par pendulum, qui aurait une répercussion favorable sur le prémaxillaire. Après recul des 6, distalisation dent par dent pour la mise en place des canines...
On aimerait quand même voir d'autres documents (radios, photos, moulages,...)
Merci, et @+
JPR


bjc

06/07/2006 à 16h38

Bonjour jpr,

Eh bien dis donc, tu n’y vas pas de main morte. Tu sors les bombardes!

Ceci dit, Mac Namara a publié une étude en mai 2003, je crois, dans A.J.O. ou il expérimente 4 systèmes pour reculer les 6, dont le pendulum.
Sa conclusion est: il gagne au mieux 0.3 mm. !

@+ Bjc.


jpr

06/07/2006 à 17h11

bjc,

on peut trouver beaucoup d'inconvénients au pendulum (comme pour tout système d'ailleurs): répercussions alvéolaires antériures, hygiène difficile à maintenir, distoversion des 6, etc...
Mais en ce qui concerne, la quantité de recul des 6 (ou des 7 ), mon experience ne rejoint pas les conclusions de McNamara. Au contraire, au fil du temps, j'ai dy y aller "mollo" sur l'activation des bras postérieurs, car la distalisation était trop forte. Celà dit, il faut ensuite un ancrage costaud, car la tendance à la récidive est plus forte qu'avec un recul par FEO. Mais les résultats sont plus constants car l'appreil n'est pas amovible.
Je ne vois pas bien où sont les bombardes dans tout ca? l'appareil fonctionnel? ah, ca! ca ne plait pas aux ricains, c'est sur mais c'est tres efficace pourtant!
Tu pourrais nous en dire un peu plus sur ton cas? cl.III squelettique, non?
Merci, @+


bjc

06/07/2006 à 18h09

Cher jpr,

Bonjour,

Il n’y a pas de piéges, pas de Cl. III. ni même de Cl. XI.
"Simple" D.D.M., 10 ans, fin de denture mixte, tous les germes présents.

Il s’agit d’un simple Pb. de Biomécanique et de rattrapage de croissance.
Peux-t-on traiter ces cas sans chirurgie, sans disjoncteurs,
sans masques ou casques; sans artillerie lourde !
Si oui, pourquoi, grâce à quoi et comment ?

@+ Bjc.


P.S. : Mac Namara dit dans son article, que tout ce qu’il a gagné (2 à 4 mm.) est perdu à la fin du traitement, et que tout ce qui lui reste est dans le meilleur des cas 0.3 mmm.
Preuves à l’appui.



jpr

06/07/2006 à 23h41

Dont acte, cher Bjc...
Je ne savais pas que les appareils orthopédiques faisaient partie, pour toi, de l'artillerie lourde...
J'attends donc les réponse à tes questions avec impatience. Et qu'entends-tu obtenir avec ces ressorts?
Je serais tout de même assez curieux de jeter un oeil à la cephalo de ce cas, si tu as...
Amitiés,
@+


bjc

07/07/2006 à 01h45

Bonsoir jpr,

"Je ne savais pas que les appareils orthopédiques faisaient partie, pour toi, de l'artillerie lourde..."

Artillerie lourde ! (on ne savait faire que cela il y a 20 ans)
Chirurgie !!!
Disjoncteurs (déchirement des cellules osseuses !!!)
Casques péricraniens. Il a été conseillé jusqu’à 500 gr. (et plus) par élastique= 1Kg. !!! pour ankyloser la molaire et ainsi reculer, relativement, du fait de la croissance, la molaire !!!
Masque de Delaire. Même Topo !!!
Les deux derniers à porter la nuit, en dormant sur le dos.
Louis XI n’aurait pas fait mieux !!!

@+ Bjc.

P.S. : Ta curiosité sera satisfaite ce week-end


catrose

07/07/2006 à 03h16

bjc Ecrivait:
-------------------------------------------------------

> Observations,

de mieux en mieux les photos



>Réclamations,

une pano
une ceph




>Discussions,
et questions:
trop tard pour un arc de base?
ancrage posterieur minimal?
pure translation grace a l'arc rectangulaire?




> Contestations ?

pas mieux en autoligaturant?


Avatar transparent iqadnc - Eugenol
adhoc

07/07/2006 à 11h04

Peut etre l'heure des bilans milllimétrés. Moi qui pensais (!) qu'avec l'autoligaturant et des appreils a machouiller, on s'affranchissait des dysharmonies. Finallement, peut etre pas? Comme a l'ancienne, on aurait fait la comptabilité millimétriques, la colonne + et la conlonne -.
Bon , colonne+: mesiorotation 25, LSpace de 55, ap&aremment palatoversion dugroupe incisif (augmentation du périmètre d'arc par vestibuversion)
colonne-: axes canins a voir, prévoire ancrages maximum.

Mais pffff...., on ne raisonne plus comme ca, maintenant, non? Y'a des appareils magiques. Faudra que j'essaie. Ah oui, ya les non extractionistes absolus. Donc dans ton cas , bjc, on n'extraiera pas les 4 , meme si le bilan estnégatif, parceque il ne faut pas, c'est po bien!!!!!!!!!(humour)


KL

07/07/2006 à 18h45

Je ne vois pas où est le problème...
Je récupère toujours les canines retenues de cette façon là.
Quand à la distalisation molaire, je vois que peu de monde utilise la fabuleuse technique DAC de G. AKNIN.
Je ne travaille plus que comme ça!!!
Je n'extrait plus, ne mets plus de FEO et corrige des full classe 2 en 4-5 mois.


Avatar transparent iqadnc - Eugenol
adhoc

07/07/2006 à 19h25

Tu peux nous faire un petit topo sur cette distalation active, kl?


1 eugenol dmj5np - Eugenol
Dancha

07/07/2006 à 19h40

KL Ecrivait:
-------------------------------------------------------
> Quand à la distalisation molaire, je vois que peu
> de monde utilise la fabuleuse technique DAC de G.
> AKNIN.

.. Il s'appelle Jean-Jacques et non pas Georges ou Gudule..


KL

07/07/2006 à 19h55

Mille excuses pour l'erreur dans l'initiale du prénom...


KL

07/07/2006 à 20h00

Avec plaisir!
Il s'agit d'un recul des molaires > par association d'un ressort en compression entre un guring lock clippé sur l'arc > en distal des 4 (les 5 ne sont pas collées)et le tube des 6, avec des tim de classeII.
L'arcade< doit être préparée et avoir un arc full size acier.
On active le guring toutes les 6 semaines+port tim 2 24h/24.
Le recul est spectaculaire.
Qd la clII est légèrement hypercorrigée, tu colles tes 5, et tu mets un arc de fermeture classique en haut en continuant les tim 12h/24.
C'est tout.


Avatar transparent iqadnc - Eugenol
adhoc

07/07/2006 à 20h23

C'est gentil a toi, kl.

Une question qui m'a toujours interpelé:
- quand on met des tim , admettons avec des petits crochets clipsés apres 12 et 22 , reliées par exemple aux extremités de l arc inf, on a en théorie, un recul en masse du tiroir supérieur, ceci avec une force que l'on quantifiera par X, qui décroit évidemment entre le début et la fin par raccourcissement de l'elastic.

- Dans le cas de cette force active dédiée aux 6, cette force X est partagée entre majoritairement un recul des 6, bé oui, c'est ce qu'on recherche et dans une moindre mesure par un recul squelettique.
Mais cette force X EST TOUJOURS LA MEME a un moment t dans les 2 techniques a visée quelque peu différente.
Ma conclusion est: ce qu'on gagne plus d'un coté, on le gagne moins de l'autre.
Donc dans le cas d'une ddm sévère (cas de bjc, quand meme pas de la gnognote!!!:-)) )associée à un décalage squelettique, une technique de pur recul des 6 , associée a un léger recul squelettique est il suffisant?
Oui, l'importance du diagnostic et des priorités est donc capitale dans ce cas la.


bjc

09/07/2006 à 01h56

Cher Adhoc,

Chaque époque a eu ses techniques en fonction des technologies de son temps.

On sait, depuis Schwartz (1935 environ) que si on dépasse une pression de 20 à 25 gr. par cm2 sur le ligament alvéolo-dentaire, on n’a plus de reconstruction osseuse. Je simplifie.

De nos jours, la grande révolution est l’alliage à courbe de décharge (force) constante.
Newton doit se retourner dans sa tombe !
Mais pour utiliser les propriétés de ces nouveaux alliages, (forces faibles et constantes), il faut ramener les forces de friction passives à des valeurs extrêmement faibles,
de l’ordre de 01 à 0.2 gr.
C’est pourquoi on a ressorti des oubliettes les Bk. auto-ligaturants.

Mais il nous faut tout repenser en forces faibles et à friction passive presque nulle !!!
Le DAC. dont le mécanisme est très bien décrit par KL, aura un tout autre fonctionnement avec des alliages Ni.Ti. thermiques, et une friction passive extrêmement faible.
C’est une autre biomécanique qui tient compte des forces physiologiques, faibles elles aussi, que l’on négligeait dans les anciens systèmes à forte friction.

C’est une énorme remise en question de tout ce qu’on nous a appris !

Bon, je vais aller photographier les Rx. Pour jpr.

@+ Bjc.

P.S.:Cela fait 3 ans que je perds peu à peu mes certitudes. Tant pis pour mon amour propre car les résultats me satisfont de plus en plus.






bjc

09/07/2006 à 13h39

Rx.


bjc

09/07/2006 à 13h40

Rx.!!!

Sans titre 1 qpy6nl - Eugenol

bjc

10/07/2006 à 02h14

"comment faites vous de la place aux C sans extractions (schématiquement et en français) ?? "

La grosse différence de l’ODF. avec les autres disciplines dentaires est LA CROISSANCE.
Donc l’age. Les forces, et leur point d’application différent. Le vocabulaire n’est pas important.
C’est comme de la poésie. On peut toujours faire des alexandrins, mais :

De la musique avant toute chose,
Et pour cela préfère l’impair,
Plus vague et plus soluble dans l’air,
Sans rien en lui qui pèse où qui pose.

@+ Bjc.



KL

12/07/2006 à 19h35

Les tim sont les tractions intermaxillaires, les guring lock sont simplement de petits stop vissés sur les arcs.
Je n'ai jamais eu personnellement de pb sur les 7, mais j'exclue toujours de mes indications DAC les forts encombrements post, avec des risques d'inclusion des 7.
Il me sempble (mais cela très modestement, et avec ma toute petite expérience) que l'espace gagné est essentiellement lié au recul des 6 > si le patients coopère, mais j'ai l'impression (encore une fois très modestement) que la croissance alvéolaire postérieure est stimulée, en mésial du trigone.
Je pense cela, car malgré des reculs molaires parfois spectaculaire(7 ou 8 mm par côté, promis juré) je ne crée pas d'encombrement postérieur préoccupant.
Je m'émerveille tous les jours.
Si quelqu'un de plus compétent que moi peut m'apporter des explications, j'en serai ravie.
Sinon essayez, vous serez surpris...


Reboutix

17/07/2006 à 02h48

KL a écrit : "Il me sempble (...) que l'espace gagné est essentiellement lié au recul des 6 "


Faut-il comprendre qu'il y a en même temps avancée de 7-8 mm du centrage des ATM en fin de traitement?


isaïe

17/07/2006 à 15h03

????????????


jpr

18/07/2006 à 22h04

Grand merci pour les radios Bjc...
Et mille excuses pour cette réponse tardive et pour mon erreur de diagnostic. Ca m'apprendra: je me suis fié à des apparences trompeuses, car il s'agit bien d'une cl.I squelettique , avec mésioposition des secteurs latéraux. Comme quoi, avoir toutes les données du problème, ça peut aider..
Je jette donc aux orties mon masque de Delaire et mon artillerie lourde...
Mais pour le pendulum, je garde!! Grâce a des sectionnels de recul, cela peut m'éviter d'avoir à baguer toute l'arcade, ce qui n'est pas plus mal..Mais au fait, comment gères-tu l'encombrement à la mandibule? Tu as des photos de l'arcade inf?
Merci!
@+


bjc

20/07/2006 à 12h02

Bonjour jpr,

Le Pb. est le même à l’arcade Inf. Je vais l’appareiller bientôt et te montrerait la photo.
Tu gardes le pendulum et des sectionnels de recul, pour avoir à éviter de baguer toute l’arcade. Pourquoi pas.

Nous avons actuellement le choix entre deux types de mécaniques, quelques soient nos objectifs de traitement :

Les mécaniques à forces importantes, directives,
et les mécaniques à forces faibles, déclenchantes.

Dans une mécanique à forces importantes, directives, nous avons une séquence thérapeutique qui passe par l’étape N°1, N°2, N°3, N°4, Etc…
C’est comme ça et pas autrement. Ca passe ou ça casse !!!
On fait du karaté avec les dents, je dirais même du full-contact.

Dans le cas que le présenté, quand, après alignement nivellement grossier par un 0.014
on met un système mécanique à forces faibles composé d’un ressort faible et
d’un arc .014 x 0.025 thermique, on met EN MEME TEMPS des forces d’expansion d’arcades, des forces de rattrapage d’espace et des forces de version antérieures.
On sollicite les 3 directions de l’espace avec des forces faibles
On fait de l’aïkido avec les dents.
Mais avec des verrous passifs 0.022 x 0.028, on n’a aucun contrôle.
Quels peuvent être les inconvénients d’un tel système ?

@+ Bjc.




12