Cookie Consent byPrivacyPolicies.comquel type de faux moignon sous une CCC ? - Eugenol

quel type de faux moignon sous une CCC ?

003 penrd2 - Eugenol
Cingulum

09/12/2006 à 22h21

pour apporter ma pierre à l'edifice ma foi déjà bien avancé...

1. les notions de parois concernant les reconstructions coronoradiculaires sont purement empirique... Citer moi un article bien fait qui démontre que c'est moins bon avec 0 parois qu'avec 3! Je dis pas que ce n'est pas vrai, je dis juste qu'on a pas de preuve. j'ai meme un article qui montre le contraire (bras de levier des parois ?)

2. Les CVI bien que facile d'emploi ne devraient etre reservés qu'au cas ou une faible quantité de materiau doit etre employé (cad avec 3 parois dentinaire par exemple...) en effet l'adhésion des CVI est au moins 3 fois moindre que celle des compo (5MPa au lieu de 15MPa, en moyenne et condition reelle). Et leur resistance mecanique est insuffisante pour constituer un moignon "entier" de maniere durable. resistance CVI environ 7MPa, composite 50MPa...en traction

3. Tenon fibré, ou tenon titane au choix. L'impact esthétique est a mon avis négligeable. Tout deux on un module d'elasticité interessant (20Gpa fibré 90GPa pour le titane et 10-15 GPa pour la dentine), en tout cas plus en adequation avec la dent que les aciers..(200GPA)

4. Le collage est délicat a l'interieur de la racine. Utiliser de préférence des ciments sans eugenol pour le traitement endo. Faire attention a l'acidité des adhésifs self etching, qui inhibe la polymérisation des colles chemopolymérisables....

5. On peut aussi dans certain cas de canaux large faire une "endo" couronne, en réalisant un avant trou et en faisant une sorte de richmemont (avec une sorte de gros tenon court) en tout ceram...


003 penrd2 - Eugenol
Cingulum

09/12/2006 à 22h27

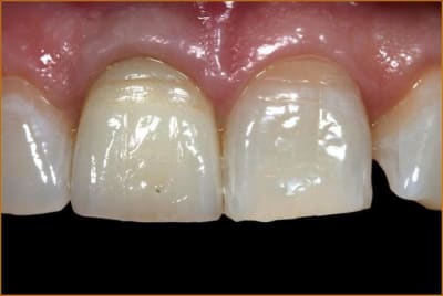
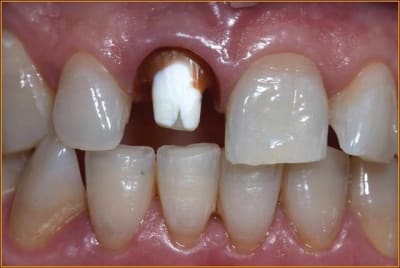
et en image :

Image1 vtye2m - Eugenol
Image2 xk1z02 - Eugenol
Image3 a1dufr - Eugenol

003 penrd2 - Eugenol
Cingulum

09/12/2006 à 22h28

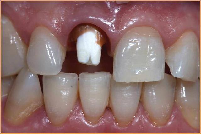
et

Image5 agcdsj - Eugenol
Image6 whb3j7 - Eugenol
Image9 fglzfx - Eugenol
Image7 ofrmac - Eugenol

Pepsi tmi4vp - Eugenol
kartman

10/12/2006 à 12h30

tres beau boulot cingulum

juste une question qui se rapproche de ma question d'avant mais peut on sceller un tenon en titane au fuji+? et y a t il une reference de marque de ces tenons recommadables?

merci d'etre comprehensif pour ces questions de novice


Coccinelle mgl0qv - Eugenol
murielle

11/12/2006 à 17h24

tonio Ecrivait:
-------------------------------------------------------
> ???
>
> Le conditionneur s'applique sur les parois
> dentaires pour renforcer la liaison dentine/CVI,
> la liaison entre le CVI et le métal ne posant pas
> de problèmes.
>
> Je ne pense pas qu'il soit efficace sur le
> métal???
> Je n'en vois pas trop l'intérêt.
>
> Un IC, ça se désinfecte, ça se dégraisse, ça se
> sable mais quid de l'efficacité du conditionneur
> le métal? aucun à mon avis.


D'après un représentant de GC, le conditionneur de fuji+ contient des ions métalliques qui au passage sur l'ic par exemple iraient se lier avec le métal de l'élément, restant après rinçage et améliorant l'adhésion du fuji+ également sur le métal. Là-dessus, cependant, j'ai des doutes mais il est à mon goût beaucoup plus facile de placer le conditionneur sur tout le moignon (dent + IC déjà scellé) que de manière distinctive seulement sur la partie dentaire. Et je ne pense pas qu'on puisse ainsi nuire à l'adhésion sur le métal...

Par contre, avant scellement d'une couronne à intrados métallique, j'y place une couche de conditionneur de fuji classique (acide polyacrylique) que je ne rince pas et que je sèche. C'est ainsi, dixit Michel Degrange lors d'un bataille des colles il y a un an de cela, que l'adhésion des CVI sur le métal serait la meilleure.


Images eb1m5g - Eugenol
tonio

12/12/2006 à 00h35

ok merci, mumu. comme quoi on en apprend tous les jours.

Autant j'étais persuadé de l'effet bénéfique du conditionneur sur la surface dentinaire, autant il ne m'était pas paru judicieux d'en appliquer sur l'intrados de la couronne. Le simple fait de laisser ce produit sans rinçage me laissait penser à la persistance d'un dépot, acide de surcroît, qui pouvait nuire au collage.

Bon on pinaille, je te le concède. Quand tu vois un patient pour un rescellement, il a souvent l'IC + CCM dans la main et rarement la CCM toute seule (avec l'IC encore en place). C'est l'adhésion a la dentine radiculaire qui peut poser le plus de soucis.

Pour ceux qui n'ont pas de conditionneur mais qui utilisent les CVI en version liquide + poudre, le liquide (acide polyacrylique) peut servir de conditionneur. Par contre, je ne sais pas s'il est aussi efficace que le vrai conditionneur.

au fait, fille ou garçon??? ;-)))

biz.


Coccinelle mgl0qv - Eugenol
murielle

12/12/2006 à 10h24

:-) :-) :-)
Surprise...
... mais je vous tiendrai au courant. ;-)

Au fait, même si ce n'est pas vraiment le lieu pour, je recherche toujours un/une remplaçant/e pendant 3 mois au printemps. (mp pour les potentiels intéressés)


Image odged8 - Eugenol
ploc

12/12/2006 à 14h10

murielle Ecrivait:
-------------------------------------------------------
> :-) :-) :-)
> Surprise...
> ... mais je vous tiendrai au courant. ;-)
>
> Au fait, même si ce n'est pas vraiment le lieu
> pour, je recherche toujours un/une remplaçant/e
> pendant 3 mois au printemps. (mp pour les
> potentiels intéressés)


3 mois????????????????
muriel enfin!arrêt la veille,reprise 4 jours après!
c'est ce qu'a fait une consoeur lors de mon premier rempla mais sympa elle m'a gardé les 2 jours prévus et a repris le boulot sur les autres...

>
>



12