Cookie Consent byPrivacyPolicies.comMésiodens - Eugenol

Mésiodens

Antoine

02/10/2004 à 20h10

Bonjour,

Voici deux cas de double mésiodens observés à quelques mois d'intervalle .

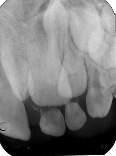
Premier cas , radiographies 11a et 21a ,
chez un garçon de 12 ans .
La 11 est retenue en rotation avec une mésiodens en position palatine .
La 21 est en normoposition avec également une mésiodens en position palatine .
TRT : exerèse des deux dents surnuméraires puis repositionnement orthodontique de 11 .

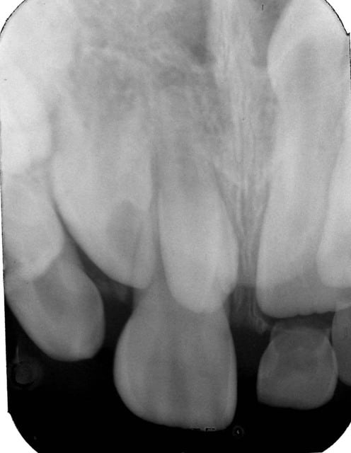
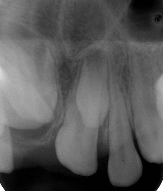
Deuxième cas , radiographies 11b et 21b ,
chez un garçon de 7 ans .
La 11 est sur l'arcade nettement vestibulée avec une mésiodens superposée .
La 21 est en normoposition, on distingue (?) en position haute une mésiodens orientée vers les fosses nasales .
TRT à voir .

A 1 2 C 4


Mésiodens 11a  x8ogku - Eugenol
Mésiodens 21a  so3uuw - Eugenol
Mésiodens 11 b  hf5ffh - Eugenol
Mésiodens 21 b  scxd1n - Eugenol