Cookie Consent byPrivacyPolicies.comOTP - Eugenol

OTP

colza

24/03/2007 à 17h35

pour l'ortho il y a déjà un point d'ancrage dans le nez............


Dr - Eugenol
JeRis

24/03/2007 à 20h19

... et dans les oreilles :)


Dr - Eugenol
JeRis

05/04/2007 à 21h41

... 81 ans, un souvenir de guerre.
C'est un éclat d'obus; il en a d'autres dans les jambes.

F - Eugenol

003 penrd2 - Eugenol
Cingulum

07/04/2007 à 12h03

obus en... titane ? :)


Photo pluton1b h9n4ea - Eugenol
pluton

22/04/2007 à 02h42

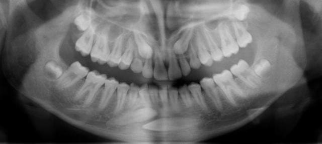
2 ptites rhisalyses...pour les 2 centrales sup, consécutif à un trauma dans l'enfance, l'ODF n'y est pour rien...
Pour l'autre cliché, ce sont les prémolaires qui ont bouffés les racines en évoluant...maintenant, y a un terrain parce que des rhisalyses y en a sur toutes les autres dents...


Photo pluton1b h9n4ea - Eugenol
pluton

22/04/2007 à 02h44

je recommence pour les clichés

Rhisalyse iomvob - Eugenol
Dep ir5umh - Eugenol

1 eugenol dmj5np - Eugenol
Dancha

23/04/2007 à 23h03

14 ans. C'est moi qui m'y colle mi-mai (dégagement chirurgical des couronnes et traction orthodontique).

Canines 14 ans a  qrvcnb - Eugenol
Canines 14 ans b  emt7bb - Eugenol

200106 10150128247663588 709988587 6466236 5598391 n d7mksb - Eugenol
hallboy

23/04/2007 à 23h26

Bon courage! Et je suis sincere. Pas de 2° degré, rien.


1 eugenol dmj5np - Eugenol
Dancha

23/04/2007 à 23h42

Merci, j'apprécie à sa juste valeur.
Le haut, c'est banal.
Par contre pour le bas, c'est une autre histoire... Je ne vois pas d'autre solution que des ancrages osseux latéraux pour y arriver sans télescoper les racines des incisives. Haut les coeurs ! On y arrivera !

Daniel


S8ysxdzhdqgw00w4q6m07a5d47q2 - Eugenol
gai-luron

23/04/2007 à 23h47

tu pourras nous faire suivre le cas?


1 eugenol dmj5np - Eugenol
Dancha

23/04/2007 à 23h58

OK. Je mettrai des photos per-op et post-op. On en discutera si vous voulez. Cette fois, je pars pour de bon (une petite semaine).


S8ysxdzhdqgw00w4q6m07a5d47q2 - Eugenol
gai-luron

24/04/2007 à 00h05

bonne vacances


200106 10150128247663588 709988587 6466236 5598391 n d7mksb - Eugenol
hallboy

24/04/2007 à 02h16

Dancha Ecrivait:
-------------------------------------------------------
> Merci, j'apprécie à sa juste valeur.
> Le haut, c'est banal.
> Par contre pour le bas, c'est une autre
> histoire... Je ne vois pas d'autre solution que
> des ancrages osseux latéraux pour y arriver sans
> télescoper les racines des incisives. Haut les
> coeurs ! On y arrivera !
>
> Daniel


Comme Gai-Luron, je serais curieux de voir les photos.


1 eugenol dmj5np - Eugenol
Dancha

11/05/2007 à 16h10

Tu es ahurissante, Surdouée !
C'était bel et bien ce matin que je les ai dégagées.
Comment as-tu bien pu deviner que je terminais juste lorsque tu as posté ce message ?

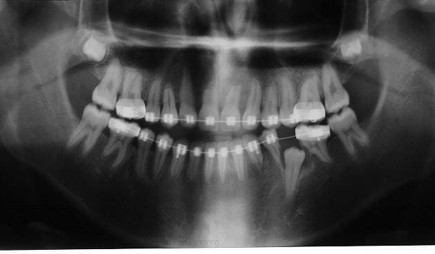
En pièces jointes, les radios de contrôle faites à 11h45. Je n’ai pas encore eu le temps de traiter les photos.

4 canines otp da6shp - Eugenol
4 canines tele pjw3hq - Eugenol

aterman

11/05/2007 à 18h38

Chapeau!!
Pour les ancrages osseux, tu as utilisé quel système?
Les 4 en 1 scéance?
Combien de temps à peu près pour une traction définitive sur l'arcade?
Merci d'éclairer le fond du puit de ma connaissance de ta lanterne...


1 eugenol dmj5np - Eugenol
Dancha

12/05/2007 à 11h40

aterman Ecrivait:
-------------------------------------------------------
..
> Pour les ancrages osseux, tu as utilisé quel
> système?

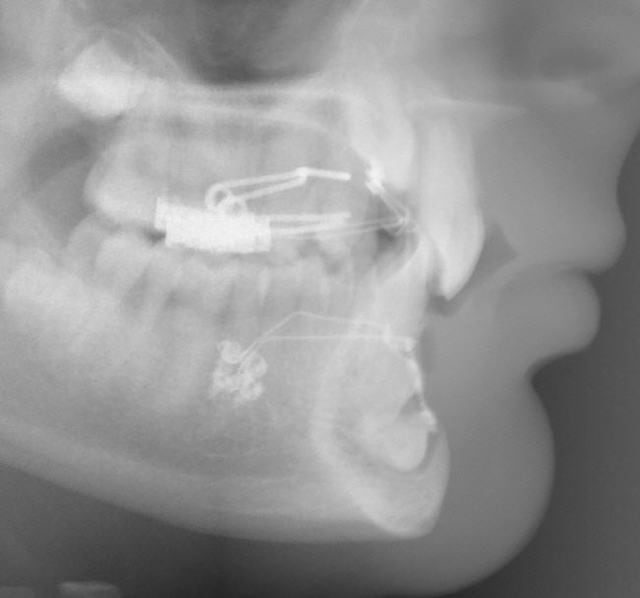
Un système que je développe moi-même depuis quelques années et qui a des possibilités d’évolution qui semblent infinies (Rev Orthop Dento Faciale 2006;40:63-90). Ici, j’ai utilisé deux vis de chirurgie maxillo-faciale en tandem sous muqueuses. Y est accroché un fil en TMA .018 qui émerge en latéral le long du vestibule et vient tracter, comme une « canne à pêche » la ligature qui est collée directement aux couronnes des canines incluses.
En haut, système plus banal (si j’ose dire).

> Les 4 en 1 séance?

Oui, au cabinet sous anesthésie locale. D’abord le haut, puis le bas.

> Combien de temps à peu près pour une traction
> définitive sur l'arcade?

Difficile à dire, cela m’étonnerait quand même que cela puisse être inférieur à 18 mois compte tenu de la position de la 33. Dès que les incisives inférieures seront dégagées, j’attaquerai le traitement orthodontique proprement dit.

Daniel


4 canines chir qjsr4u - Eugenol

1 eugenol dmj5np - Eugenol
Dancha

12/05/2007 à 12h59

C’est moi qui te remercie !!!

J’ai l’impression d’avoir une « Ministre chargée des relations avec les Eugénoliens » qui connaît mes dossiers mieux que moi-même et qui est capable de répondre à ma place avec une précision et une justesse qui m’épate. Je ne me souvenais plus de ce message. Chapeau !

Seules différences : dans ce cas-ci j’ai quand même donné en final une couverture antibio, il y avait deux vis en tandem au lieu d’une et la canne à pêche ressemblait plutôt à cela (voir photo).

Daniel

Dsc07131bis fksyxo - Eugenol

aterman

15/05/2007 à 22h37

Merci pour ces réponses...
Je pourrai être un peu moins désemparé la prochaine fois que je verrai 2 canines incluses de la sorte!!!


3f3boxni50k58rq7e9ce9ddqrxgk - Eugenol
dentiste57

17/05/2007 à 01h42

he bien moi je ne vous remercie pas ...

c'est vrai quoi, j'ai encore plus que d'habitude l'impression de ne rien savoir et de n'être qu'un tout petit dentiste , tout petit, tout petit, petit..


Amibien

22/05/2007 à 03h30

C'est impressionnant et beau à la fois...


1 eugenol dmj5np - Eugenol
Dancha

22/05/2007 à 17h59

Voici des photos prises 8 jours après l'intervention. RAS de particulier. A suivre !

4 canines 8jours ewocp6 - Eugenol

tourteau

01/06/2007 à 17h26

Bonjour
Que peuvent etre ces images de calcification ?
Cela me semble un peu bas pour la parotide et un peu haut pour la sous-max

Calcifi ia5hkz - Eugenol

Dr - Eugenol
JeRis

01/06/2007 à 21h28

... artério-sclérose carotidienne?


tourteau

02/06/2007 à 12h33

JeRis Ecrivait:
-------------------------------------------------------
> ... artério-sclérose carotidienne?


Je pensais aussi à ca : faut il l'adresser a son cardio ?


Dr - Eugenol
JeRis

03/06/2007 à 09h28

tourteau Ecrivait:
-------------------------------------------------------
faut il l'adresser a son
> cardio ?


... oui, plutôt qu'a son pédicure ;)