Cookie Consent byPrivacyPolicies.comZAVEZ pas une idee...moi pas... - Eugenol

ZAVEZ pas une idee...moi pas...

carole

28/08/2006 à 19h12

alors là.... rep endo pas simple mais sans soucis... sf que entre la radio pre et post reprise, il y a comme qui dirait un passage de pate par une perfo du plancher....mais j'ai pas vu de perf du plancher....

bref...vous pensez que c' est quoi? une perf obturée? un ttt endo du desmodonte? ...

Eliane1 ktsoov - Eugenol
Eliane xuhg3j - Eugenol

manolo

28/08/2006 à 19h18

bonjour Carole!
moi qui n'ai jamais osé lancer le debat du petit dépassement de pâte en cas de lésion apicale (peut être déjà traité d'ailleurs?), je suis totalement rassurée...pour ce qui est du desmodonte, ça ressemble quand même bien à une perfo, le plancher avait l'air très fin sur la radio préop..?


Image19 iebot6 - Eugenol
athos

28/08/2006 à 19h35

une remontée de pate peut etre....attends une radio a distance et tu verras la pate se dissocier et t'eclairer un peu...



S8ysxdzhdqgw00w4q6m07a5d47q2 - Eugenol
gai-luron

28/08/2006 à 19h38

si tu es sûre qu'il n'y a pas de perfo, ne serait-ce pas une "remontée" de pâte par l'apex? C'est certes volumineux mais on ne sait jamais


alhoun

28/08/2006 à 19h39

bien joué gai-luron, merci pour ta participation!!

:)


S8ysxdzhdqgw00w4q6m07a5d47q2 - Eugenol
gai-luron

28/08/2006 à 19h45

eh oh, athos a supposé la même chose, et j'avais même pas vu sa réponse avant...


200106 10150128247663588 709988587 6466236 5598391 n d7mksb - Eugenol
hallboy

28/08/2006 à 20h06

Je crois pas trop a la perf, tu aurais pas un tracé comme ça. De toute façon c'est RX a 3 semaines puis à 1 mois puis a 3 mois et soit les peches se barrent soit, de toute façon..


Images 1 qtgoxf - Eugenol
ciwil

28/08/2006 à 20h27

n'aurais-tu pas trop secoué le capteur, ce qui pourrait, je dis bien pourrait, avoir pu déplacer la pâte ?


Image odged8 - Eugenol
ploc

28/08/2006 à 21h21

ce qui m'interpelle,n'est finalt pas la cause mais les conéquences
si pareille remontée de pâte cela signifie que au niveau osseux l'espace interadiculaire est lésé,non?
tu a sondé?
c'est un cas ou je serai tenté d'aller voir en faisant un lambeau(à 3 semaines ,1 mois si pas mieux) et eventuellement de faire séparation de racines et 2 couronnes soudées avec embrasure haute pr passer brossetteinterdentaire?


pepe54

28/08/2006 à 21h26

Il peut y avoir de tres petites communications au niveau du plancher. Alors pourquoi pas un de ces "canaux" qui donnent passage a la pate lors de l'obturation.


Img 1392 s73srk - Eugenol
Guttaman

28/08/2006 à 21h37

En effet, d'accord avec ce qui a été dit : si tu avais eu une perf du plancher, la pâte serait resté très localisée sous celui-ci. Là, la pâte a sans doute suivi un trajet de fistulisation.
Par contre, je ne ferais pas de lambeau d'exploration (pourquoi faire ?), j'attendrai simplement avec un inlay core + prov pendant 6 mois voir, 1 an.


Coccinelle mgl0qv - Eugenol
murielle

28/08/2006 à 21h38

Comme Athos ou Gai-luron, ça me fait aussi penser à une remontée de pâte dans une voie de fistulisation.
Dans l'immédiat, wait and see...



Et donc comme Guttaman aussi. ;-)


carole

28/08/2006 à 21h56

merci mille fois à tous! c' est bon de vous avoir!

j' ai fait cette endo en fin juin 06...et j' avais oublié cette image que je voulais vous poster...
et là...ma patiente avait rdv pour le ctrl aujourd'hui! d'où ma panique quand ma blondeur m'a fait oublier de solliciter vos avis...

bref...depuis, Mme X est revenu, elle avait eu un peu mal après la reprise d'endo faite sans anesth locale, et voici la rx du jour....

2moisap mexy9e - Eugenol

Audi tt 2007 jzsdts - Eugenol
sbire

28/08/2006 à 22h22

ben voilà!

merci la blonde ;)


Image19 iebot6 - Eugenol
athos

28/08/2006 à 23h05

elle est joueuse hein mon sbire? moqueuse meme...


Coccinelle mgl0qv - Eugenol
murielle

28/08/2006 à 23h06

Comme quoi, du moment que c'est "propre", un dépassement n'empêche pas la cicatrisation...


carole

28/08/2006 à 23h41

meme pas fait exprès..... j'avoue avoir eu un bon pincement à l' estomac au moment de la radio...et un gros youpppi est sorti de ma bouche juste après ;)

c' est bien d' avoir speedé avant le rdv de ctrl, si non, j' aurais jamais posté mon endo pas glop avec son image de l' espace... n' empèche que ça me fait trèèèèèèèèèèèèès plaisir car derrière cette quenotte, il y a une patiente en or, et ça me fait bien plaisir pour elle....


Au fait... je vote OUI au référendum pour le dépassement "raisonné" ds les reprises d' endo.....

Et au fait aussi, je ne suis pas sure que sans laser, j' eu aussi une bonne decontamination canalaire et une cicat aussi rapide....z'en pensez quoi????


Squash u44zd8 - Eugenol
steph

29/08/2006 à 01h49

Pourquoi cela?
Les lumières canalaires sont visibles sur la radio préop, une provisoire en place (donc digue possible a priori).
La seule difficulté, mais qui n'en est pas une en endo, c'est l'hypercémentose.
Peut-être plus rapide avec le laser mais résultat sans doute équivalent à terme.
Non?


Pa050055 igyagy - Eugenol
mark

31/08/2006 à 15h11

... mais maintenant je fais quoi?
J'attends encore?

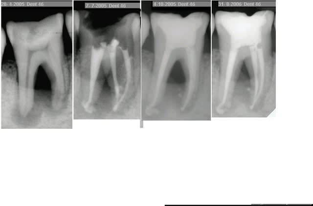
Serge endo paro 46 dm7qlb - Eugenol

Grueavatar nptrc9 - Eugenol
Le Choixpeau magique

31/08/2006 à 15h32

Mark la dent est-elle encore symptomatique (je suppose que oui) ?
Perso je ne me serais pas lancé à faire l'endo, avec une dent comme ça et un sondage circonférentiel (c'était bien le cas ?) tes chances de guérison étaient quasi-inexistantes.


Utilisateur banni

31/08/2006 à 15h33

mark Ecrivait:
-------------------------------------------------------
> ... mais maintenant je fais quoi?
> J'attends encore?


Jusqu'au 25 décembre pour moi...


Image19 iebot6 - Eugenol
athos

31/08/2006 à 16h22

mark Ecrivait:
-------------------------------------------------------
> ... mais maintenant je fais quoi?
> J'attends encore?


joli diag, fallait oser!
tu savais ou tu tentais?
t'as pas peur qu'en attendant encore l'os ne finisse par recouvrir la dent?

quel delai deja?


Image19 iebot6 - Eugenol
athos

31/08/2006 à 16h23

un an et quatre mois, pfff...tu peux pas lire sur les radios pov thos!?!


carole

31/08/2006 à 19h19

je suis sctochée mark... yes, il y en a un qui ose! ;)

quitte à oser... fais une attelle en fibre avec les dents adjascentes, puis un bon gros lambeau, un mega curetage, h2o2 laser, micro perf des l' os périphérique, bio oss 0.25 (prévoir une deuxième dose au cas où), 2 bio gides 25x25, des sutures matelassier...une grosse prière...

non??????


Pa050055 igyagy - Eugenol
mark

31/08/2006 à 21h38

Ah... bon! J'aurais bien attendu encore un peu (un an et demi de plus? :)))...
Donc je résume, Carole, j'achète un laser, j'apprends à m'en servir, je me forme et me lance à mes premières RTG avec comblement, membranes, lambeau et tout le tremblement.
Ouais... ça laisse le temps d'une nouvelle radio comparative ;)

Pour répondre à Choipeau, le mec (brave type avec juste un cervelet, et une gentille femme qui le pousse chez le dentiste, fumeur invétéré, fraîchement converti à l'usage de la brosse à dent, et enfin convaincu de la nécessité d'un détartrage semestriel), il est venu donc en 2005 contraint et forcé par bobonne (mais bonne!) et ne se plaignait de rien! La dent n'a jamais été mobile.

Cette tabagie forcenée me fait même hésiter à tenter quoi que ce soit avant une image radiologique complètement rassurante.

Au sondage on ne pénètre nulle part.

Bon je vais scruter les formations et ateliers, donc...

A oui, pour le diagnostic, l'absence de mobilité m'a beaucoup aidé à me lancer. Et puis le garçon a par ailleurs une denture de béton... alors...


12