Cookie Consent byPrivacyPolicies.comQue conseillez-vous ? - Eugenol

Que conseillez-vous ?

Avatar transparent iqadnc - Eugenol
adhoc

01/09/2006 à 11h32

Dancha a du ...inspirer, aspîrer sans douleur en douceur, on le connait! AG?, je ne sais pas ,ma grande, je ne lui ai pas demandé son age.:-))


Avatar transparent iqadnc - Eugenol
adhoc

01/09/2006 à 11h57

On prendra du gros fil métal ortho d’environ 0.36 plié à 45° (celui qu'utilisait Hemingway quand il pêchait au thon, et tontaine) environ qui pénétrera dans le pertuis et un peu dans la poche pour empêcher que le pertuis ne se bouche. Le chef occlusal (chef, oui, chef) sera collé dans une rainure taillée dans la face occlusale de la 85 avec un composite ou de la résine pinceau.
Dancha aime tant le composite....


Avatar transparent iqadnc - Eugenol
adhoc

01/09/2006 à 12h19

On demande au patient de faire sa propre aspiration par dépression-aspiration buccale, régulièrement, et on lui montre par l’exemple.
Faut bien qu'il gagne un peu sa croute, celui la!
Comme s’il aspirait dans un dent creuse.
Sympatoche pour le voisinage, mais le lieu commun 'aide toi, le ciel t'aidera' est la pour excuser ce qui apparaitrait comme du gatisme tres précoce.
Le patient sera vu régulièrement pour vérifier que le pertuis ne s’est pas bouché, et un complément de drainage par aspiration sera réalisé.
Aspirez,relachez, mademoiselle, notre 45 va sortir.
Le kyste va ainsi se résorber, la dent se redresser, reprendre son axe naturel, et l’os se reminéraliser.
Il ne nous restera plus qu’à choisir le moment opportun pour l’extraction de la 85 après contrôle radiologique.


Avatar transparent iqadnc - Eugenol
adhoc

01/09/2006 à 12h37

Avec cet ange, on n'est jamais déchu.


Imagescanx9uel x9b7id - Eugenol
newone'

01/09/2006 à 12h45

Nous sommes d'accord, tu as donc triché...

Mais joliment rapporté.

Je crois que je vais bien m'amuser...


Avatar transparent iqadnc - Eugenol
adhoc

01/09/2006 à 12h50

Tricher est peut etre un peu fort, newone! J'ai parlé d'Inspiration, comme Mahomet ou le père Jojo smith.
Otan en emporte l'évent.


1 eugenol dmj5np - Eugenol
Dancha

01/09/2006 à 14h40

Je reprends ma lunette à l’instant pour vous observer, vous me semblez légèrement encalminés...

Je constate que tu as modifié ton équipage, mon cher Adhoc. Il semble que tu ais perdu ton meilleur plongeur. Aurait-il eu peur ? Mais je vois aussi que as réussi à récupérer trois excellents coéquipiers, Annie, Jeff et Newone’. Bravo.

Continuez les recherches, vous tournez autour et n’êtes pas loin…

Si tu réussis à le contacter au fond se sa piscine, dis de ma part à Bjc qu’il se trompe et qu’il n’y a rien, strictement rien de caché.

Daniel

P.S. : il faut que je te dise, Adhoc : tu as vraiment fait très fort, mais tu n'y es pas encore. Ce que j'ai fait, en réalité, même Bjc aurait pu le faire lui-même !!


Imagescanx9uel x9b7id - Eugenol
newone'

01/09/2006 à 15h37


En solution non chirurugicale, il reste la marsupialisation en choissisant l'abord de facon a ce que la cicathrisation osseuse replace la dent?


024 vownvo - Eugenol
annie

01/09/2006 à 16h31

Adhoc,quelle forme!!
ça a tout l'air d'être de l'inspiration venue d'une autre galaxie
Bravo d'avoir tout capté et tout bien retranscrit! même si ce n'est pas la bonne solution (sacrés extra-terrestres!) ce fut un grand moment de bonheur que de te lire


1 eugenol dmj5np - Eugenol
Dancha

01/09/2006 à 16h39

newone' Ecrivait:
-------------------------------------------------------
> > En solution non chirurugicale, il reste la
> marsupialisation en choissisant l'abord de facon a
> ce que la cicathrisation osseuse replace la dent?

Cela semble très intéressant, mais j'aime bien tout comprendre : pourrais-tu expliquer exactement comment tu procèderais (d'une manière suffisamment simple pour que notre bon Bjc comprenne aussi !) ?


024 vownvo - Eugenol
annie

01/09/2006 à 16h44

La marsupialisation,non chirurgicale?


Avatar transparent iqadnc - Eugenol
adhoc

01/09/2006 à 16h50



C'est fou ce que l'on peut faire du fond d'une piscine.!!!


catrose

01/09/2006 à 18h05

ca devient ambiance water-polo ici...
je suis retournee me plonger un peu dans la pano pour essayer d'emettre un avis
alors on dirait l'histoire d'une 45 incluse(traces de son alveole repoussee sous l'apex de la 46?)remontee en surface par un kyste genre keratogene ou autre,enorme,plein a craquer et qu'un drainage a la adhoc ou une petite marsupialisation(c'est de la chir!) a la new-one soulagerait bien

maintenant que vous avez bien deblaye le terrain:on peut imaginer un drain(catheter silicone?) coince entre la 85 et la 44
la 45 serait maintenue par la 85 jusqu'a redressement et le temps necessaire a l'apposition osseuse(qq mois quand meme)
puis extraction de 85
donc pas de bracket,pas d'ortho,tout est bien qui finit bien?

Dancha,un petit mot apres la solution sur le cas :enucleation?biopsie?recidive?kyste en preparation ou en reparation entre 34 et 35?


Avatar transparent iqadnc - Eugenol
adhoc

01/09/2006 à 18h16

Chere catrose, je ne suis que l'éxécutant d'une tres belle solution imaginée du fond d'une piscine. Mes yeux ne sont pas bleu-marine , et mes connaissances ne sont pas celles de bjc, qui m'a prété sa gouache pour illustrer cette belle oeuvre.


catrose

01/09/2006 à 18h27

donc lui c'est le fond et toi la forme?
beau succes,belle association,continuez...


1 eugenol dmj5np - Eugenol
Dancha

01/09/2006 à 21h35

catrose Ecrivait:
-------------------------------------------------------
> ..
> terrain:on peut imaginer un drain(catheter
> silicone?) coince entre la 85 et la 44
> la 45 serait maintenue par la 85 jusqu'a
> redressement et le temps necessaire a l'apposition
> ...

Et bien non, Catrose, ce n’est pas cela. C'est un peu plus simple.

Je me suis peut-être un peu trop avancé en écrivant « ce que j'ai fait, en réalité, même Bjc aurait pu le faire lui-même !! ». Je sais qu’il manie à merveille les forces légères, mais je ne sais pas ce qu’il sait faire d’autre. Il a toujours dit « moi, je ferais différemment » mais sans dire comment, et ici « je pense avoir une solution, …, elle est très soft ». Laquelle ? Et à la fin, il nous dira, « c’est à cela que je pensais, mais je n’ai pas voulu vous le dire ».
Alors, comment savoir si la vraie solution est assez simple pour lui ?


Avatar transparent iqadnc - Eugenol
adhoc

01/09/2006 à 22h56

lLe simple redressement a été éliminé par dancha quand je l'ai mentionné , angel fait femme (toi aussi, tu vois!).(post sur reimplantation vs redressement)


bjc

02/09/2006 à 03h12

Bonsoir,

"Je n'arrive pas à imaginer comment la 45 va se redresser seule après drainage du kyste... "



L’imagination n’a rien à voir ici.
La 45 ne va pas se redresser après, mais PENDANT et A CAUSE de la suppression de la pression.

C’est la pression du kyste qui a déplacé la dent.
Supprimer cette pression c’est comme créer un courant qui va entraîner la 45 vers sa position initiale. Plus les aspirations buccales du patient.
Un peu comme le courant d’une rivière entraînerait un tronc d’arbre.

N’oublions pas que le paquet vasculo-nerveux de la dent, élastique, est toujours relié au nerf dentaire. C’est l’apex qui se redressera en premier et le mieux.
Et la couronne, elle, sera entraînée par le courant vers l’orifice de sortie.
C’est pourquoi, il est important que celui-ci soit situé occlusalement.
C’est évident Watson !

Ce ne sera pas parfait.
Aussi la suite, à venir, est déposée chez Mt. Capello pour éviter toute contestations, suspicions, réclamations, etc...

@+ Bjc. et Coll.




1 eugenol dmj5np - Eugenol
Dancha

02/09/2006 à 10h37

Merci d’avoir réagi, mon bon Bjc. Je croyais être le seul à être susceptible et un peu « soupe au lait ». Il y a de l'idée, mais c’est malheureusement un peu court, jeune homme !

Daniel


bjc

02/09/2006 à 12h41

Si mon explication vous a semblé dictée par une quelconque réaction épidermique, croyez bien que ce n’est pas le cas.
Comme quoi, c’est mieux quand c’est athos qui explique.

En tout cas merci pour le "jeune homme"

@+ Bjc.



Image19 iebot6 - Eugenol
athos

02/09/2006 à 12h48

bin? suis une banane en odf moi!

me permettrais pas d'ecrire ici entre bjc, mon nadhoc,dancha,cat, ploc, lapadoué,jeff, annie,newone and co!!!!

comme beaucoup je lis avec gourmandise vos debats, meme des fois je prends des notes! pis la rubrique devient passionnante avec vous tous! anciens et nouveaux si bien melangés


bjc

02/09/2006 à 13h01

Bonjour athos ,

Mélanges, mélangés, c’est beaucoup dire.
Je sais bien que dancha va me devoir une bise, mais quand même !
De toute manière, je vais choisir ou !

@+ Bjc.



1 eugenol dmj5np - Eugenol
Dancha

02/09/2006 à 13h43

bjc Ecrivait:
-------------------------------------------------------
> Si mon explication vous a semblé dictée par une
> quelconque réaction épidermique, croyez bien que
> ce n’est pas le cas.
> ..

Allons allons, il a bien fallu que je te chatouille pour tu sortes de ton bain.


1 eugenol dmj5np - Eugenol
Dancha

02/09/2006 à 14h29

lapadoué Ecrivait:
-------------------------------------------------------
> ..
> Toujours l'image de cette alvéole, ..

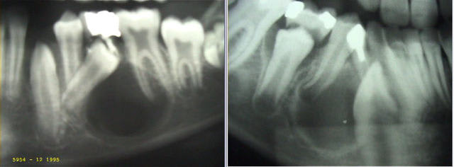
Désolé, ma bonne Douée, ce n’est qu’un artefact.

Mais puisqu’il faut que je vous aide… voici deux autres cas que j’ai traité en son temps de la même façon. Sur le second cliché, la 43 est carrément déplacée en mésial. En observant bien, vous devriez trouver comment j'ai procédé !

Daniel


1 eugenol dmj5np - Eugenol
Dancha

02/09/2006 à 14h30

L'image n'avait pas suivi...

Image3 vvscpj - Eugenol