Cookie Consent byPrivacyPolicies.comtechnique de Summers - Eugenol

technique de Summers

Pébé.

04/09/2006 à 14h20

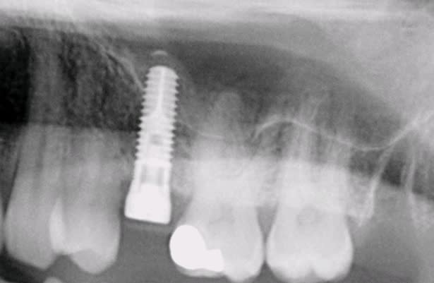
c'est la 2ème fois que fais une élévation de sinus par voie alvéolaire. La technique est rapide et non invasive et surtout simple (pour un débutant comme moi). Le petit dôme radio-opaque à l'apex de l'implant fait plaisir à voir.
7mm de hauteur d'os disponible
Implant 10mm x 5 (Seven de M.I.S)

004 k1ubot - Eugenol
012 qfw4ig - Eugenol

Blason dql7mj - Eugenol
growler

04/09/2006 à 14h42

impeccable,
tu as utilisé leur matériel (la série d'expanseurs vissants)? ou des ostéotomes à percution avec maillet?




carole

04/09/2006 à 15h40

bravo!


Image 4 lrchtq - Eugenol
Alain

04/09/2006 à 21h20

et en plus les radios sont belles, bravo aussi!


Img 1744 z0evts - Eugenol
dumaille

04/09/2006 à 22h11

sympas!
materiaux utilisé? os de forage? et comme growler te le demande as tu utilisé leur expanseur vis de chez eux?


pepe54

04/09/2006 à 22h49

les expanseurs de MIS, c'est pour une expansion laterale . Non ?


Pébé.

04/09/2006 à 23h01

Foret de 3,8mm. Profondeur 6mmm, puis counterink pour pouvoir passer l'ostéotome à frapper (de 4mm de diamètre) au niveau de la corticale.
Mise en place de l'os de forage (j'en ai récupéré assez peu) + un peu de Bio-oss pour amortir.
Utilisation de l'ostéotome à frapper (butée réglée à 10mm). Passage du plancher du sinus.
Contrôle en faisant souffler le patient par le nez pour s'asurer qu'il n'y a pas de perforation.
Puis à nouveau comblement avec Bio-oss (flacon de 0,25g : j'ai mis presque tout) poussé dans l'alvéole avec une jauge de 3,8mm de diamètre.
Puis mise en place de l'implant.

J'ai essayé (lors du cas précédent) l'ostéotome manuel à vis. Mais je n'ai pas réussi à passer la paroi sinusale : l'instrument ne progressait pas, il faisait du sur-place. Je n'ai peut-être pas su l'utiliser correctement.


Blason dql7mj - Eugenol
growler

05/09/2006 à 00h39

pepe54 Ecrivait:
-------------------------------------------------------
> les expanseurs de MIS, c'est pour une expansion
> laterale . Non ?
>


pas uniquement, ils ont un système d'osteotomes à vis comme le dit pébé mais l'os doit être assez dense et avoir un minimum d'épaisseur afin que le filetage prenne bien pour éviter de faire du "surplace".

@+


Avatar jt8tlq - Eugenol
bogenom

06/09/2006 à 21h44

bravo
au niveau des suites opératoires quelles sont elles avec cette technique ??
la question s'adresse à tous les pratiquants meme les extremistes


carole

06/09/2006 à 23h11

demandes à ma patiente de demain matin pour les uistes op;)

suite op: en règle générale, très peu de douleur, tech non invasive... à favoriser dès que plus de 4 mm d' os, si non, un beau lift, mais les suites n'ont rien à voir...


pfeiffer

22/10/2006 à 23h25

bonsoir je n ai pas encore pratique cette technique mais avant de commencer j aimerais que vous m indiquiez quelques livres recents traitant du sujet merci chris P


Twitter bird 2 mtzzh7 - Eugenol
jules

23/10/2006 à 00h02

A force de petits coups de maillet, les patients ont tendance à contracter longuement leurs cervicales...
Ils ont souvent un bon torticolis les jours qui suivent.
Une astuce consiste à faire tenir la tête du patient par l'assistante; çà décontracte!
Sinon les suites locales sont identiques à une chir. classique.


Blason dql7mj - Eugenol
growler

24/02/2007 à 17h31

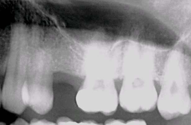
un p'tit Summers du samedi matin: sur le cliché post op on distingue le fragment de corticale qui a sauté avec le premier ostéotome.

(implant tekka progress 4.5 13, os autogène récupéré lors du forage)

Avant summers gvlswa - Eugenol
Summers24022007 elsrxg - Eugenol

Avatar ow44t3 - Eugenol
Chicot

24/02/2007 à 20h53

Impec, mais pourquoi mettre un implant aussi long ?


Pébé.

24/02/2007 à 21h21

Beau travail!!


Blason dql7mj - Eugenol
growler

26/02/2007 à 09h22

pas fait gaffe à mon stock, en 4.5 mm je n'avais pas de 11.5 de long.

@+


Avatar ow44t3 - Eugenol
Chicot

26/02/2007 à 14h36

growler Ecrivait:
-------------------------------------------------------
> pas fait gaffe à mon stock, en 4.5 mm je n'avais
> pas de 11.5 de long.
>
> @+


hi hi j'ai posé un 3,75*13 mm il y a une semaine pour la même raison......


henri

26/02/2007 à 15h39

growler Ecrivait:
-------------------------------------------------------
> un p'tit Summers du samedi matin: sur le cliché
> post op on distingue le fragment de corticale qui
> a sauté avec le premier ostéotome.
>
> (implant tekka progress 4.5 13, os autogène
> récupéré lors du forage)


peux tu detailler la technique svp ?


024 vownvo - Eugenol
annie

26/02/2007 à 21h00

je ne veux pas être pessimiste,mais dans le cas d'une dépose,pas trop d'inconvénients?


Blason dql7mj - Eugenol
growler

26/02/2007 à 22h45

at first, foret de 2 mm je m'arrete à 8 mm puis ostéotome à bout rond je fais sauter la corticale. Ensuite forage diamètre 3 sur 8 mm (je récupère l'os de forage sur mes forets). je replace l'os de forage dans le puit et avec l'ostéotome à bout plat diamètre 3 je refoule le tout à 13 mm. Enfin idem avec foret terminal. Puis mise en place de l'implant.

@+


Avatar ow44t3 - Eugenol
Chicot

26/02/2007 à 23h52

annie Ecrivait:
-------------------------------------------------------
> je ne veux pas être pessimiste,mais dans le cas
> d'une dépose,pas trop d'inconvénients?


Tu y penses aussi à la dépose quand tu scelles une couronne ou un inlay core ?

Quand tu vois une racine qui plonge dans le sinus (sinus procident) et que tu dois l'enlever, y'a parfois une CBS, tu sais la traiter non ?
Ben l'implant c'est pareil, sauf que l'apex il péte pas et comme y'a pas de ligament, tu prends la tréphine à L - 3 mm et un coup d'élévateur pour le retirer. Ensuite tu remets vite un autre implant un peu plus large, dans la même séance c'est possible.
S'il n'est pas ostéointégré, encore plus facile.....


024 vownvo - Eugenol
annie

27/02/2007 à 00h51

Chicot Ecrivait:
------------------------------------------------------
>
>
> Tu y penses aussi à la dépose quand tu scelles une
> couronne ou un inlay core ?

cela ne pose pas vraiment de problèmes
>
> Quand tu vois une racine qui plonge dans le sinus
> (sinus procident) et que tu dois l'enlever, y'a
> parfois une CBS, tu sais la traiter non ?
> Ben l'implant c'est pareil, sauf que l'apex il
> péte pas et comme y'a pas de ligament, tu prends
> la tréphine à L - 3 mm et un coup d'élévateur pour
> le retirer. Ensuite tu remets vite un autre
> implant un peu plus large, dans la même séance
> c'est possible.
> S'il n'est pas ostéointégré, encore plus
> facile.....

te fache pas c'est juste une question!sauf que justement comme il n'y a pas de ligament ,en retirant l'implant tu ramènes pas mal de paroi osseuse avec,non ?



Avatar ow44t3 - Eugenol
Chicot

27/02/2007 à 14h51

annie Ecrivait:
------------------------------------------------------>
> te fache pas c'est juste une question!sauf que
> justement comme il n'y a pas de ligament ,en
> retirant l'implant tu ramènes pas mal de paroi
> osseuse avec,non ?
>
>
>


wouai cool.....

si t'as un implant de 4, tu prend une tréphine qui à un diam INTERNE à peine plus grand (4,1 par exemple).
Tu mets autour de l'implant en question la tréphine (parfois en fraisant un peu avant pour dégager un peu l'implant)
tu fais tourner la tréphine sous irrigation abondante
et tu arretes à 2-3 mm de bout de l'implant en te servant des repères sur la tréphine.
tu glisse un élévateur et tu essaie de désostéointégrer les 2-3 dernier mm. Si ça marche, ca permet de gagner en stabilité pour le futur implant.
Sinon tu tréphine un peu plus et tu recommences
Tu recupères ton implant avec un peu d'os autour et tu as un puit osseux du diamétre EXTERNE de la tréphine.
Et là soit tu pose un implant de 5 par exemple soit tu fermes et tu attends un peu que l'os repousse pour poser le même.
Sauf que si l'implant à cassé, c'est p'être parcequ'il était de trop petit diamétre......


024 vownvo - Eugenol
annie

27/02/2007 à 15h15

mais dans un cas comme celui ci,le risque de l'effraction de la paroi sinusienne,serait il controlable?


alhoun

27/02/2007 à 15h17

hé les mecs, venez vite, y a un type qui discute avec annie...