Tous les forums
La rubrique immonde
10/09/2006 à 11h19
Tornade , si tu vomis tu peux venir aussi ... C'est pour faire l'amorce :)
10/09/2006 à 11h24
ca me rapelle un film avec Harisson ford
tu te calles la tête, un bon bouillon brulant parfumé , tu verses dessus, et à la petite cuillère....;
10/09/2006 à 11h42
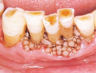
mais où ils trouvent tous ces cas ???? à la soupe populaire, je n'ai jamais vu ça et tant mieux!!! beurk beurk beurk!!!!!!
10/09/2006 à 11h52
HHHuuuuuummmmm !!! sympa dès le matin !!! mettez m'en une tartine !!
11/09/2006 à 00h30
Tornade Ecrivait:
-------------------------------------------------------
> mais où ils trouvent tous ces cas ???? à la soupe
> populaire, je n'ai jamais vu ça et tant mieux!!!
> beurk beurk beurk!!!!!!
Tornade, sois pas inquiète: les asticots sont utilisés depuis des lustres pour bouffer les chairs nécrosées, en putréfaction, etc...
Ca parait dégueu mais ca marche vâchement bien, quand il n'y a plus de tissus pourris, ils se font la malle. Pis ca fait pas mal, ca chatouille pas, à peine une petite sensation. (par contre, dans les mirettes, je sais pas comment ils font!!!)
11/09/2006 à 08h10
... non, les trois cas sont des cas de parasitose, et non une utilisation thérapeutique de larves; elle ne sont dans ces cas pas directement en contact avec les tissus nécrosés, mais ensachées et agissent par digestion enzymatique externe.
11/09/2006 à 12h48
JeRis Ecrivait:
-------------------------------------------------------
> ... non, les trois cas sont des cas de parasitose,
> et non une utilisation thérapeutique de larves;
> elle ne sont dans ces cas pas directement en
> contact avec les tissus nécrosés, mais ensachées
> et agissent par digestion enzymatique externe.
Parasitose? même sur l'oeil? le gars a laissé poussé une larve sans se frotter les yeux, alors? ou bien il est mort? bref, dans les cas que j'ai vu, rien n'était ensaché.
11/09/2006 à 13h11
rockblues Ecrivait:
--------------------------------------------------> Parasitose? même sur l'oeil? le gars a laissé
> poussé une larve sans se frotter les yeux, alors?
... la larve est DANS la paupière.
Quand on fouille un peu le sujet parasitoses, qu'elles soient humaines ou animales ... c'est proprement effrayant.
Je m'y suis intéressé un temps, parce que je voyageais beaucoup.
> ou bien il est mort? bref, dans les cas que j'ai
> vu, rien n'était ensaché.
... les larves utilisée chirurgicalement pour nettoyer une plaie nécrosée ne sont pas directement en contact avec la plaie, mais ensachées.
11/09/2006 à 13h19
>
> ... les larves utilisée chirurgicalement pour
> nettoyer une plaie nécrosée ne sont pas
> directement en contact avec la plaie, mais
> ensachées.
>
Ok, dans un service de CHU!! c'est pas dans ce cadre que j'en ai vu, moi. C'est en pleine brousse! et je peux te jurer qu'il n'y avait pas l'ombre du moindre asticot ensaché.
On s'est donc mal compris, de plus je ne doute pas un seul instant des photos présentées. Moi je parlais juste des moyens du bord utilisés dans certaines tribues.
11/10/2006 à 14h37
On a beau être ingénieur et ne pas savoir que les bébés, ça peut se congeler avant la naissance, pas après...
Tout ça pour faire l'économie de deux billets d'avions... pf!
11/10/2006 à 22h11
OK, je n'ouvrirais plus les photos ! je suis un peu sensible...
Forcément, la dame, elle va pas bien...
11/10/2006 à 23h07
mark Ecrivait:
-------------------------------------------------------
> Musique, s'il vous plait:
>
> Rieeen qu'uuune laaarve dans tes yeeeeuux!
C'est celui qui pilotait l'avion au dessus des Etats unis ce soir?
12/10/2006 à 18h21
tout est immonde, les asticots, les bébés, je vais gerber... je ne reviens plus sur ce post.
tout à l'heure sur arte j'ai vu une opération pour une fissure anale, j'ai pas réussi à voir la fin, c'est dégueu.
en plus je suis sure que certain d'entre vous se régalent dans cette rubrique. berk berk
12/10/2006 à 19h00
Pour continuer dans la rubrique de l'immonde, âmes sensibles s'abstenir, ça dépote un max, faudra pas venir vous plaindre aprés, je vous aurai prévenu...
12/10/2006 à 19h55
Les vla les bésicles.
Le regard dans le néant, les pages qui tournent comme pour passer le temps. Non, non, monalisa, mais c'est à l'envers, comprends rien moi.
12/10/2006 à 21h08
te laisses pas impressionner par ce qu'ils disent, mais si tu veux dormir ce soir, regardes demain. (et encore)
12/10/2006 à 21h08
La pire chose qui nous ai arrivée et qui pourrait se reproduire dans un an...
Non?