Cookie Consent byPrivacyPolicies.comAppareil photo numérique - Eugenol

Appareil photo numérique

Ali

17/10/2004 à 21h39

Je souhaite compléter la caméra endo-buccale avec un appareil photo numérique pouvant prendre des photos buccales en macro de bonnes qualités. Il ya 2 à 3 ans le CoolPix ( je ne me souviens plus du numéro) était très prisée ; Avez-vous des expériences et des informations à faire partager: qualité, coût, garantie etc...
Merci pour vos réponses


nadia

18/10/2004 à 19h29

j'ai achete le coolpix 4500 il y 3 ans environ
en ce temps la il coutait 850 euros mais il a diminue
il fait de belles images quand on sait s'en servir mais j'ai eu un probleme il y a un an (il etait garantie deux ans) et la j'ai attendue 2 mois pour qu'on me le rende (apres un coup de gueulante) et en realite ils m'ont donne un nouveau coolpix


Blason dql7mj - Eugenol
growler

18/10/2004 à 20h30

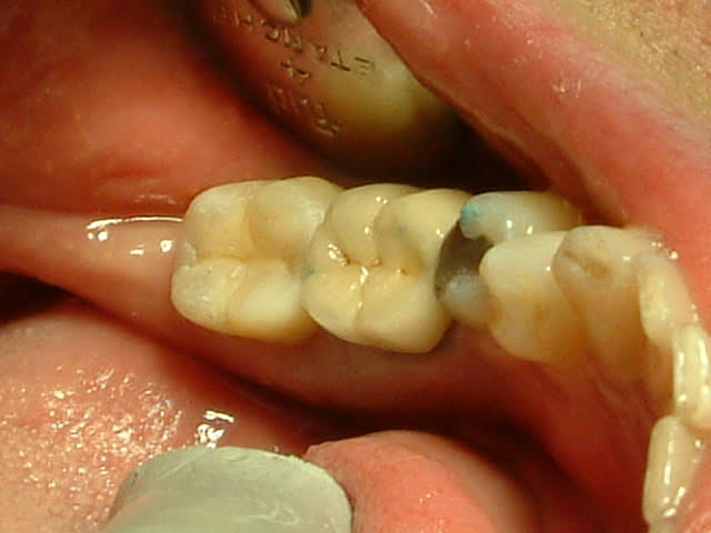
je possede le fuji finepix 7000, avec son mode super macro tu peux etre a 1 cm du sujet si tu le souhaite, vraiment un excellent matos
http://www.pixmania.com/fr/fr/59480/art/fuji/finepix-s7000.html

ci joint une photo prise avec cet appareil et sans flash.

04090713 cfbstt - Eugenol
04090714 ykd2av - Eugenol

Marc Apap

18/10/2004 à 21h16

Quel intérêt y a-t-il à être à un centimètre du sujet ? Il faut au contraire être le plus loin possible en macro pour maîtriser la mise au point et l'éclairage, non ?
Ceci étant, les photos sont super !


Blason dql7mj - Eugenol
growler

18/10/2004 à 21h29

Oui Marc, je parlais des possibilités extremes de cet appareil, mais dans les faits je ne m'approche guere au maximum qu'a une dizaine de cm et bien souvent à 15 - 20 cm

j ai eu l occasion d'utiliser un coolpix vendredi dernier , ce qui m'a conforté dans l'excellente opinion que j'ai du fuji (meilleure eergonomie et sensibilité en basse lumiere stupefiante)

A+


BX

19/10/2004 à 10h30

Pour growler

très belles photos !

Si tu n'utilises jamais de flash, c'est vraiment l'appareil idéal.

As-tu d' autres clichés ( tout un sourire ou segment prémolaire-molaire)à nous montrer.

Merci d'avance.


pseudo

19/10/2004 à 10h58

Les photos sont très bonnes.
Tu éclaires avec le scialytique seul ou avec des led?

Merci.


Blason dql7mj - Eugenol
growler

19/10/2004 à 21h40

je vous prepare un panel de photos prises avec cet appareil ,et toujours sans flash (le scialytique uniquement ou avec la seule lumiere du jour), je vous prepare çà jeudi

A+


Blason dql7mj - Eugenol
growler

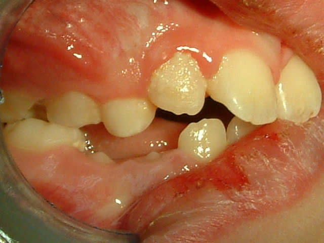
20/10/2004 à 22h07

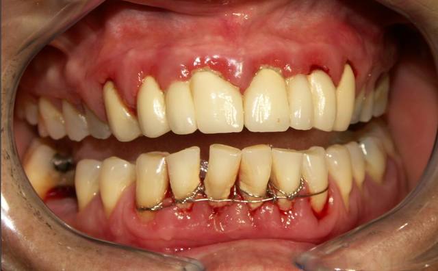
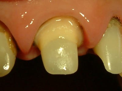
ci joint des photos toutes prises au format VGA (résolution la plus faible de l'appareil)et sans flash (scialytique ou lumiere du jour)

04101408 fqdqz4 - Eugenol
04101409 wmuraz - Eugenol
Dscf0001 lmv3hw - Eugenol
Dscf0003 qhwphj - Eugenol

Blason dql7mj - Eugenol
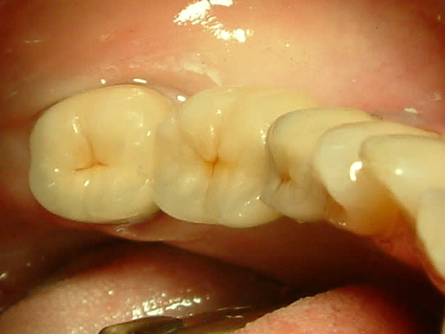
growler

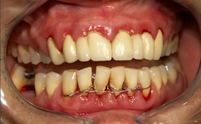
20/10/2004 à 22h13

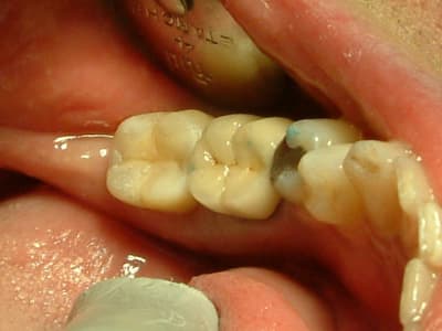
suite

Dscf0011 ei1vh8 - Eugenol
Dscf0012 n0ctfn - Eugenol
Dscf0023 fzef2z - Eugenol
Dscf0020 vj6cfx - Eugenol

Blason dql7mj - Eugenol
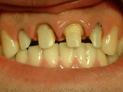
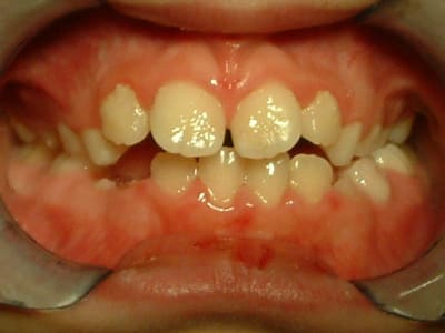
growler

20/10/2004 à 22h17

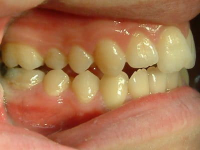
suite

Dscf0030 rtmfzp - Eugenol
Dscf0088 fko9bl - Eugenol
Dscf0090 opetcn - Eugenol
Dscf0008 efkwm2 - Eugenol

Blason dql7mj - Eugenol
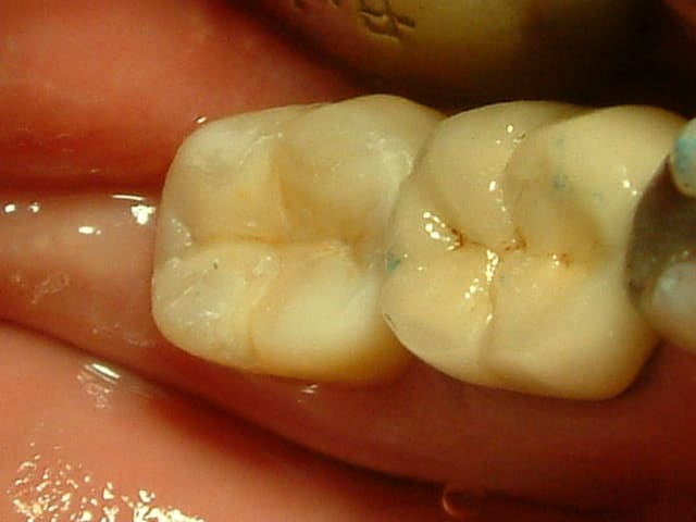
growler

20/10/2004 à 22h19

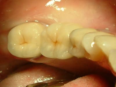
encore

Dscf0010 ewoel2 - Eugenol
04051303 mpzuoq - Eugenol
04051305 k4l2r9 - Eugenol
04051409 fdequ2 - Eugenol

Blason dql7mj - Eugenol
growler

20/10/2004 à 22h25

et encore 4 et apres j'arrete la pour aujourd'hui (veux pas devenir saoulant:-)))

04051410 bbllwk - Eugenol
04051512 ugeolt - Eugenol
04051513 z7tjeb - Eugenol
04051514 grkvu2 - Eugenol

alhoun

21/10/2004 à 00h23

belles images.


excedzel

21/10/2004 à 04h51

il tabasse un max ton fuji
j'ai eu le 4500 (coolpix) a noel , eh ben pas si cool que ça car beaucoup trop de photo floues!!!

t'en as bien des floues , allez , avoue!!!!
en tout cas trés belles photo

sinon je suis preneur de conseils pour ameliorer mon utilisation du 4500 (faites simples svp)

à la mémoire du grand helmut newton....


Bx

21/10/2004 à 15h24

Merci encore pour tous ces clichés.( il manque juste un coucher de soleil sur l'océan)

Tu as trouvé l'oiseau rare, au prix raisonnable.

Je vais le noter sur ma liste au Père Noël.

PS : "growler" c'est américain ?


Blason dql7mj - Eugenol
growler

21/10/2004 à 20h27

définition de growler: nom donné aux petits fragments d'iceberg
quand je me suis inscrit sur le forum je voulais prendre comme pseudo "iceberg" mais c´'était apparemment déjà pris alors j'ai choisi growler qui fait somme toute plus modeste.
http://www.genex2.dri.edu/gallery/ice/growler.jpg

http://www.fairview.nl/images/large/Growler.jpg

mais c'est aussi une marque de bière et ça va bien aussi avec moi....
http://homepage.ntlworld.com/john.pressly/growler.gif

sinon pratiquement jamais de photos floues, un vrai bonheur..

A+


Bjc"

22/10/2004 à 04h19

Je crois que je vais remplacer mon Nikon!


Andreas

22/10/2004 à 17h47

Photos avec Minolta Dimage A2

Patient1 jbod4y - Eugenol
Patient2 qrdz3j - Eugenol

alhoun

22/10/2004 à 18h54

il est mignon le deuxième.


BX

22/10/2004 à 19h14

Mignon mais plus cher (756 euros).

Quelqu'un a-t'il mieux et moins cher que Finepix 7000 ?


alhoun

22/10/2004 à 19h27

756 € pour des ligatures? eh ben bonté.


excedzel

26/10/2004 à 19h35

qui nen veut de mon coolpix 4500 entre 350 et 400 euros comme neuf???????


BX

26/10/2004 à 20h40

Garde le pour tes photos de vacances. Avec son boîtier pivotable, tu peux prendre des photos sans que la personne photographiée s'en aperçoive car tu n'as pas à porter le boîtier "à l'oeil". On obtient ainsi des photos très naturelles, prises sur le vif.Par contre si c'est un fauve en liberté qui s'approche de toi, l'avantage de la photo incognito n'est pas aussi évident.


cyberquenottes

26/10/2004 à 22h38

excedzel ! je t'ai envoyé un mail privé

j'aimerais des images issues de ton APN

a joindre a ta réponse


12...