Cookie Consent byPrivacyPolicies.comAppareil photo numérique - Eugenol

Appareil photo numérique

mahry

30/10/2004 à 01h19

Après de nombreux essais + ou - réussis, je viens d'acheter le Nikon D70 avec l'objectif 18-70 nikkor;
C'est une petite merveille. impossible de rater ses photos en utilisant tout simplement le mode macro automatique avec le zoom maxi pour effectivement ne pas être trop près du patient; de ce fait je n'ai pas besoin de flash annulaire, ni le flash intégré la plupart du temps.


bjc

31/10/2004 à 15h18

Bonjour Growler,

J'ai été sur le site Fuji, cet appareil m'a l'air tout à fait séduisant. 2 positions macro, sensibilité jusqu'à 1 600 Asa.

Je te remerçie de nous avoir donné l'information. je vais aller l'éssayer, mais je crois que je vais l'acheter.

@+


excedzel

06/11/2004 à 02h14

exact BX tu as bien raison
de toute façon je vais le garder de toute façon c'est un cadeau et l'offre proposée n'est pas à la hauteur!!!

je vais ptetre meme m'acheter le flash de fou pour la macro ;-)
j'ai fait de trés belles photos avec cet appareil


bert

11/12/2004 à 18h06

Un professionnel de la photo m'a conseillé le Konica Minolta A200 .Quelqu'un a-t-il un avis sur ce choix?


bert

12/12/2004 à 14h43

Andréas, peux tu me donner des conseils , je viens d'acheter un Konica Minolta Dimage A200 et je n'arrive à rien de bon.Du moins dans la configuration de base (malgré la position macro les dents sont trop petites sur la photo, il faudrait que je me rapproche plus mais alors la mise au point ne se fait pas). Une bonnette macro est-elle nécessaire?


bjc"

13/12/2004 à 12h43

Bonjour growler,

Je n'ai pas réeussi a travailler en 1 600 ASA. avec le Finepix S 7000. Bien que 800 ASA. me suffisent, je voudrais essayer par curiosité.
Sais comment faire?

@+


Blason dql7mj - Eugenol
growler

13/12/2004 à 20h32

salut BJC,

jusqu a present j'ai bossé aussi au max à 800 Asa, j'essaye de voir demain pour les 1600 et je te tiens au courant

A+


Blason dql7mj - Eugenol
growler

13/12/2004 à 21h55

a propos pour les amateurs de tests :

http://www.megapixel.net/reviews/fuji-s7000/s7000-reviewf.html

@+


Marc Apap

13/12/2004 à 23h30

Pour Bert,
j'ai un dimage A1, je pense que c'est pareil;
1/ quel genre de photo veux tu faire (bouche entière, trois dents ...)?
2/ Je préfère la position macro à 200 mm de focale. On est assez loin, c'est plus confortable. Ca ne vaut pas un objectif macro sur un réflex pour la mise au point, mais il y a d'autres avantages.
3/ Pour avoir une image plus grande, j'ai acheté une bonnette +4. Mais la qualité des résultats (profondeur de champ réduite) n'est pas exceptionnelle.


bjc"

14/12/2004 à 02h26

Bonjour Marc,

Fais toi preter un Fuji S 7000.

@+


cyberquenottes

14/12/2004 à 11h41

comme appareil assez extraordinaire j'ai repéré celui ci

le lumix ou panasonic fz20

zoom incroyable objectif Leica , stabilisateur d'image

pix raisonnable

seul inconvenient , du bruit sur les images en sensibilité basse


Andrea

14/12/2004 à 21h48

Pour BERT /
Andréas, peux tu me donner des conseils , je viens d'acheter un Konica Minolta Dimage A200 et je n'arrive à rien de bon.Du moins dans la configuration de base (malgré la position macro les dents sont trop petites sur la photo, il faudrait que je me rapproche plus mais alors la mise au point ne se fait pas). Une bonnette macro est-elle nécessaire?

J ai prends les photos en Macro, reglage sur P, eclairage avec la lampe du fauteil. iso: 64
definition: 2080x1560, qualite: fin. Stabilisateur optique sur ON. Avec ou sans flash. Si la mise au pt ne se fait pas en macro, il faut changer certains parametres de reglage. Prendre les photos en hautes resolutions et il suffit ensuite de le agrandir à la taille voulue,sans perte de netteté.

pour Marc Apap;
J avais un dimage A1, le A2 est mieux adapter au macro, surtout grace à son stabilisateur optique.
Les photos st mieux reussis , + nettes et + facilement. C est un +++ indebiable.
C est un 8sMegapixels, d'ou + grande resolution et meilleur agrandissement sans perte de netteté.

:))


Marc Apap

14/12/2004 à 23h01

Merci Andrea, mais le A1 a aussi un stabilisateur optique. Ce ne serait-ce pas du modèle précédent que tu parles ? je crois qu'il s'appelait A i (mais je ne m'en souviens plus très bien).
D'après la lecture de magazines l'année dernière, ils disaient que les 8 megapixels n'apportaient pas un plus significatif par rapport au 5 de l'A1.
Pour ce qui me concerne, je suis très satifait de l'A1 : je m'en sers pour mes articles, donc photos d'objets et pas pour les photos de bouche.


bert

15/12/2004 à 02h27

Merci à marc et à andréa pour leurs conseils ; je vais faire des essais pour prendre l'appareil bien en mains; cela commence à aller un peu mieux . Mon but est de réaliser des photos correctes de 3 dents.Un flash annulaire vaut-il le coup?


aNDREA

15/12/2004 à 05h28

A priori NON. Tres cher.
Au debut j ai pensé en acheter. ¨Plus maintenant.
L avantage de la numerique, c est de pouvoir faire des photos par milliers sans cout supplementaires.
N hesite pas , c est ainsi que l on se familiarise + rapidement avec cette appareil. Lis bien le livret d emploi. Tout est tres bien expliqué.
:))


Andreas

15/12/2004 à 10h32

Une photo de circonstance :))

Fruits de saison ej4oco - Eugenol

Blason dql7mj - Eugenol
growler

15/12/2004 à 12h14

hummmmm Andreas, çà me rappelle mes vacances à la Réunion il y a tout juste un an....nostalgie!


merci
A+


bert

19/12/2004 à 12h15

j'ai acheté une bonnette macro, cela me semble intéressant (20 euros) .Qu'en pensez vous?


carole

19/12/2004 à 19h33

le dimage A2 est à mon avis le meilleur bridge du moment...si non, comme je l' ai dit dans l' autre post, ça vaut pas un reflex+optique à focale fixe+flash annulaire...

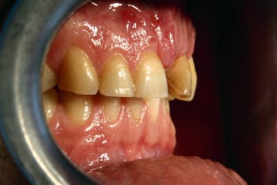
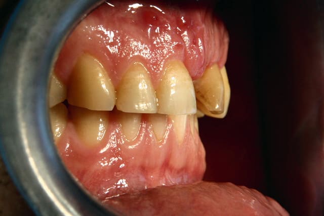
Img 5830 sx42wd - Eugenol
Img 1173 tih5r1 - Eugenol

Cmoi

20/12/2004 à 12h15

tres belle photos.....avec ou sans flash annulaire??


carole

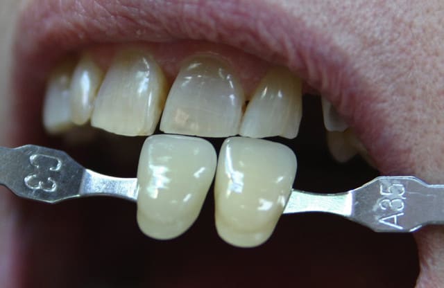
20/12/2004 à 12h27

merci!
la premiere etant une prise de teinte, je l' ai faite en lumière naturele, la seconde a ete faite sous scialytique. je dois recevoir mon flash annulaire dans 10 jours (le sigma...360 euro "seulement") pour ce qui est du reste, c' est un 10D avec un tamron 28/75....donc, pour ceux qui prendront un 20D avec une focale fixe et le flash annulaire d' emblée, le résultat sera plus piqué. (en fait, je n' avais pas assez d' argent pour acheter tout d' emblee il y a 15 mois...) ...mais j' apprecie mon choix un peu plus chanque jour!


Blason dql7mj - Eugenol
growler

20/12/2004 à 22h32

Hello,

En cas d'hésitation, voici un super site pour comparer les performances des appareils numériques.
http://www.imaging-resource.com/IMCOMP/COMPS01.HTM

A+


alhoun

20/12/2004 à 22h43

1.68m, 80 kg, il doit être japonais, actionnaire principal chez Fuji.


Blason dql7mj - Eugenol
growler

21/12/2004 à 00h22

et le détail des divers appareils sur:
http://www.megapixel.net/html/issueindex.php?lang=fr

A+


bjc"

21/12/2004 à 13h04

Bonjour growler,

Quand je pense que j'étais pret à mettre 3 000€ dans un appareil! Je fais tout avec le Fuji 7 000. Photos de visage, photos de bouche, photos de mes Rx. Et il est bien moins encombrant, et moins lourd qu'un Réflex avec une optique de 100 et des leed au bout de l'objectif.

Je cherchais un appareil pratique et polyvalent, je vais peut etre m'en acheter un 2° pour le laisser en fixe sur mon statif Rx. Mème comme ça, j'aurais économisé 1 800€ !

Il va falloir que je te fasse des photos de mon statif bricolé pour de faire sourire.

@+

P.S. Le tube (bague accessoire) vissé, monté sur l'objectif est bien pratique pour protéger celui-ci lorqu'il sort de son logement. Cet objectif télescopique me parait ètre le seul point fragil à proteger.









123...