Forums
Événements
Recherche
Connexion
Inscription
Créer un nouveau sujet
Recherche
Forums
Événements
Connexion
Inscription
Créer un nouveau sujet
Nouveau sujet
Voir tous les sujets
Voir tous
Tous les forums
A propos d'Eugenol
Assistants(es) et équipes de soins
Cas cliniques
Chirurgie buccale
Dentisterie restauratrice et esthétique
Eugénologie
Endodontie
Exercice professionnel
Fournitures dentaires et équipement
Gestion patrimoniale
Implantologie
Informatique, imagerie et télétransmission
La formation continue
Occlusodontie
Odontologie pédiatrique
Orthopédie dento-faciale
Parodontologie
Prothèse
Stérilisation
Syndicalisme
Odontologie gériatrique (nouveau)
CCAM
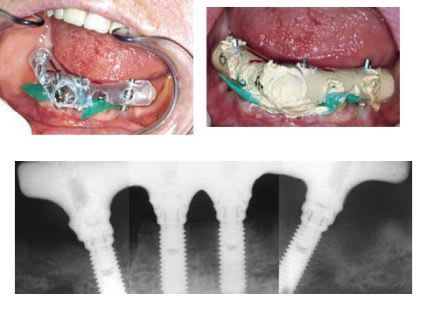
pick-up ou repositionnement
6 763
26
Implantologie
Répondre
Dernier message
1
2
jfb
30/09/2006 à 21h06
photo emp platre pour pib complet
Sans_titre_ssfcma.jpg
Répondre
Citer
Score : 0
1
2