Cookie Consent byPrivacyPolicies.comImage radio curieuse. - Eugenol

Image radio curieuse.

LACAND

27/09/2006 à 22h15

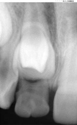
Patiente 9ans, retard de l'évolution de la 11 par chute prématurée de la 51. Aquoi correspond cette image radio? J'ai prévu de mettre un sectionnel 21-12-22 et un UA afin de garder la position de mes incisives dans le sens antéro- postérieur. Que feriez- vous dans ce cas.
Merci de m'éclairer.

Images sop ezubxy - Eugenol

LACAND

27/09/2006 à 22h29

-- moved topic --


angus

27/09/2006 à 22h38

peut être une "dens in dente"?

c'est loin les cours de pédo....d'ailleurs je n'y suis jamais allé...

bon A 1 2 C 4


Image odged8 - Eugenol
ploc

27/09/2006 à 22h43

pas tout compris
la 51 me semble là soudée avec 52 d'ailleurs à voir la forme coronaire?
je prendrais autre angulation, ou télé de profil voir si pas le mme pb sur la définitive avant d'établir un diag
aurais tu pano à poster ds un 1er tps?


Coccinelle mgl0qv - Eugenol
murielle

27/09/2006 à 22h49

Moi aussi, j'aurais pensé à une dens in dente.


LACAND

28/09/2006 à 02h12

J'ai une pano et une télé de profil au cabinet je vais essayer de vous les envoyer demain.


catrose

30/09/2006 à 20h43

dens in dente d'apres moi aussi
retard d'eruption du a la forme elargie de la 11
je ferais extraction de la 51(geminee) et surveillance particuliere de la 11
ces dents sont plus sujettes aux caries de par leur forme et les traitements canalaires compliques (communication des pulpes au niveau du cingulum)
envoie quand meme la pano,cas interessant :)


Pa050055 igyagy - Eugenol
mark

30/09/2006 à 21h18

Je souscris et soussigne, mais suggère un scellement préventif des sillons dès éruption.

Une carie, et une contamnation pulpaire rendrait une pulpectomie in-fer-na-le!

Ultérieurement, si anatomie inesthétique, pourquoi ne pas envisager facette ou CCC, si taille possible sans effraction?


LACAND

30/09/2006 à 21h29

J'ai la pano mais je n'arrive pas à réduire sa taille malgré les explications données par un de nos cofrères dans la rubrique Ortho de ce forum au sujet " que pensez-vous de ce cas". Si vous pouvez me donner la solution je vous en remercie.


Avatar transparent iqadnc - Eugenol
adhoc

01/10/2006 à 13h24

lacand, va sur mon site
http://arcachon.org
tu réduiras facilement ta pano en 3 clics de souris, sans installer de logiciel.
Ca sera en format photo, mais ca devrait aller.


LACAND

01/10/2006 à 23h32

J'ai déjà essayé et je viens de reessayer, la page du site bdenligne.free est introuvable.Y a-t-il un autre moyen?


Avatar transparent iqadnc - Eugenol
adhoc

02/10/2006 à 01h30

A cette heure , ca marche, lacand, tu n'as pas eu de chance!!!!


Avatar transparent iqadnc - Eugenol
adhoc

02/10/2006 à 02h18

Il est vrai que free refuse sur ses pages d'hebergement des fichiers de plus de 1 giga par ftp.Ce qui est déjà énorme!!!! Par msn ou icq, tu seras limité aussi a ce poids. De meme que sur sendpace.com

Quelle est le poids de ton image, lacand?

Disposes tu de logiciels graphiques sur ton ordi? (paint shop pro, photoshop -payants).
Dans le monde du logiciel gratuit, tu as l'excellent GIMP, du monde linux, desormais utilisable sous windows.

En dessous de 1 giga, la réduction en ligne sur http://arcachon.org marche tres bien mais pas pour les fichiers bmp (ce n'est pas un forrmat "internet"!!!!)



Image19 iebot6 - Eugenol
athos

02/10/2006 à 10h48


lacand,

tu devrais pouvoir passer par ce site là qui permet avec de la patience de joindre le lien de n'importe quel format

http://www.sendspace.com/

suis simplement les directives, ensuite tu passes le lien sur le forum et chacun pourra profiter de ta piece jointe


Dos02 qpcfgi - Eugenol
Rick

02/10/2006 à 13h45

Athos,
Je crois qu'on tape à l'aveuglette sur le clavier.
Une bonne habitude à prendre par les questionneurs, quel format et quelle taille a le cliché? On ne peut pas raisonnablement dépanner une voiture à distance sans savoir marque et modèle, 4L et BM c'est pas pareil.

Pour les formats BMP et JPEG pas de souci particulier.
Si autre format, genre natif au logiciel et non reconnu, copie de d'écran et enregistrement en JPEG.
Si pano scanner ou photo.

Trop gros supérieur à 200Ko
Pour redimensionner une image:


------------------------------Sur PAINT : ------------------------

Importer l’image du fichier de stockage, en suivant les commandes cités ci-dessous.

1 - Edition > Coller à partir de. "Suppose connaître ou se trouve l'image que l'on veut traiter".

2 - Image > Etirer/Incliner > donner la valeur en % H. V. Donner par expl H 50% V 50%

3 - Fichier enregistrer sous>

4 – Sélectionner le répertoire de destination de stockage, peut être différent du fichier source.

5 – Taper le nom du fichier genre "Me. PIPOCA",

6 -Type > sélectionner JPEG

7 - Enregistrer.
-----------------------------

Et pis je n'aime pas l'anglo, le parapluie tout le temps à la main bof.


LACAND

03/10/2006 à 00h12

voilà un essai pour la pano.Format jpeg, taille 374 Ko


Coccinelle mgl0qv - Eugenol
murielle

03/10/2006 à 00h33

Rick Ecrivait:
-------------------------------------------------------
>
> Trop gros supérieur à 200Ko


Avatar transparent iqadnc - Eugenol
adhoc

03/10/2006 à 17h35

Avec cette taille, tu peux l'heberger dans http://sendspace.com
sans probleme. (max:1.2 giga)


LACAND

03/10/2006 à 22h08

Un nouvel essai.


Image odged8 - Eugenol
ploc

04/10/2006 à 00h06

faites qqe chose !!!!
sinon on arrivera jamais à poser un diagnostic!


Image odged8 - Eugenol
ploc

04/10/2006 à 00h10

catrose Ecrivait:
-------------------------------------------------------
> dens in dente d'apres moi aussi
> retard d'eruption du a la forme elargie de la 11
> je ferais extraction de la 51(geminee) et
> surveillance particuliere de la 11
> ces dents sont plus sujettes aux caries de par
> leur forme et les traitements canalaires
> compliques (communication des pulpes au niveau du
> cingulum)
> envoie quand meme la pano,cas interessant :)

d'aacc avec toi sur le plan de ttt(quelle surprise!) pas sur le diagnostic

attends pano et pr bien faire scan!

pr l'avoir vu :apex jamais fermé ,d'où infection à répétition car difficile voire impossible(pr moi) de gérer ttt à long terme correct



catrose

04/10/2006 à 19h36

ploc Ecrivait:
--------------------------------------------
> attends pano


j'attends,j'attends...



>
> pr l'avoir vu :apex jamais fermé ,d'où infection
> à répétition car difficile voire impossible(pr
> moi) de gérer ttt à long terme correct

% des cas qui se terminent par une extraction?
cela remet en cause le traitement:extraction suivi d'odf en periode de croissance ou surveillance prophylactique ?







Image odged8 - Eugenol
ploc

04/10/2006 à 23h58

catrose Ecrivait:
-------------------------------------------------------
> > % des cas qui se terminent par une extraction?
> cela remet en cause le traitement:extraction suivi> d'odf en periode de croissance ou surveillance> prophylactique ?

2cas:
l' un envoyé à nantes(fac) car partait : ext 12 et odf:patient 15 ans

2è cas:patiente 12 ans :canine extraite ds un autre départemenrt car pas sur l'acarde....
suivie en ODF (rien vu.....),arrivée au cab,12 avec cellulite,envoyée en chir pour tenter endo chirurgicale après ma propre endo vu l'importance de l'image : rien à faire
ext!
100% d'echec!!!! pour répondre à ta question mais 2 cas ce n'est pas non plus significatif!
>
>
>
>
>
>
>



jazz

06/10/2006 à 21h10

Bonsoir
Je viens de me joindre à cette liste de discussion après avoir vu le cas de Lacand.Permettez moi d'émettre mon avis sur ce cas.
Il y a de grandes chances qu'il ne s'agisse pas pas d'une dens in dente mais d'un élement surnuméraire (odontoîde)qui bloque la rhyzalyse de 51 et l'éruption de la 11 .Vu l'age de l'enfant et le développement radiculaire de la 11 il y a urgence à agir: extraction de la 51 géminée et de l'odontoîde.Puis srveillance pendant 6 à 9 mois .Si la dent n'évolue pas de façon naturelle il faudra la tracter orthodontiquement.


catrose

06/10/2006 à 21h35

bon alors lacand,tu le fais ton transfert?


12