Cookie Consent byPrivacyPolicies.comImage radio curieuse. - Eugenol

Image radio curieuse.

Image19 iebot6 - Eugenol
athos

07/10/2006 à 11h04

joli!


catrose

07/10/2006 à 15h05

merci athos,j'ai toujours pense que tu etais doue en pedo ;)


Avatar transparent iqadnc - Eugenol
adhoc

07/10/2006 à 15h44

C'était ma pemière hypothèse, jazz, voir plus haut mais sur la rubrique ortho (meme sujet!)! Comment faire le diagnostic différentiel? Lambeau, radios avec plusieurs incidences ?
Ca serait choucard pour Lacand si c'était cela.


LACAND

10/10/2006 à 00h03

Suite à des problèmes de connections maintenant résolus je vais ressayer d'envoyer la pano de mon cas. J'aurai mercredi la télé de profil je tenterai de l'envoyer également.Encore raté. Je suis découragé.


Avatar transparent iqadnc - Eugenol
adhoc

10/10/2006 à 15h07

Lacand, je t'ai ouvert mon serveur en ftp.
Tres tres simple.Illimité pour le poids de tes images.MP.


Avatar transparent iqadnc - Eugenol
adhoc

12/10/2006 à 01h38

Ok, lacand, voir emails.


Image odged8 - Eugenol
ploc

12/10/2006 à 02h54

alors? ces rx?


Avatar transparent iqadnc - Eugenol
adhoc

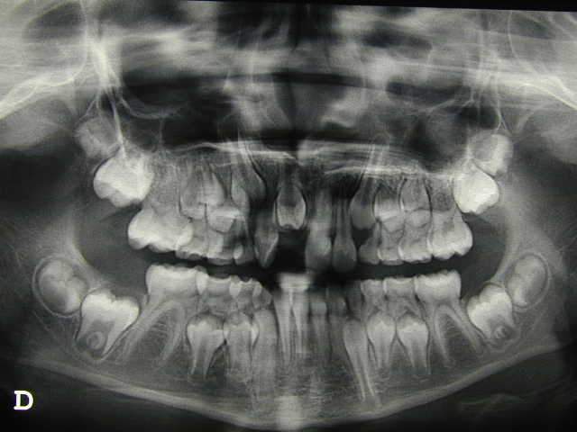
13/10/2006 à 23h15

Lacand ayant des petits problemes de connexion internet, il m'a permis en son nom de diffuser les 3 images, qu'il vous commentera par la suite.

Pano mooqu3 - Eugenol
Teleprofil u4yt4c - Eugenol
Teleprofil normane qqqccs - Eugenol

t45

14/10/2006 à 00h06

...


12