Cookie Consent byPrivacyPolicies.comImage radio curieuse - Eugenol

Image radio curieuse

LACAND

27/09/2006 à 22h31

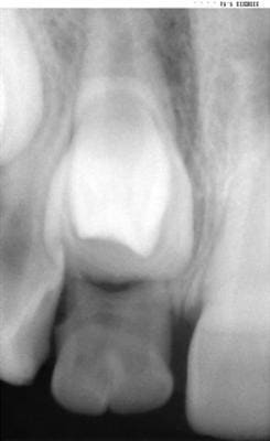
Patiente de 9ans, retard de l'évolution de la 11 par chute prématurée de la 51. J'ai prévu de mettre un sectionnel 21-12-22 et un UA afin de garder la position des incisives dans le sens antéro- postérieur.A quoi correspond cette image radio et que feriez- vous dans ce cas. Merci de m'éclairer.

Images sop ftak6n - Eugenol

damdam

27/09/2006 à 23h03

"dens in dente" ??? pas d'autre explication à l'horizon?


Avatar transparent iqadnc - Eugenol
adhoc

27/09/2006 à 23h12

Odontome qui serait dans le plan frontal de ta prise radiographique de 11 et qui bloque l'erruption.
Si tu peux , essaye des incidences plus obliques et meme une incidence verticale venant du bas pour voir si une "soudure "existe. En gros, savoir si on a une ou deux pièces dentaires.


Avatar transparent iqadnc - Eugenol
adhoc

27/09/2006 à 23h18

Oui, dam-dam, tu as raison, il ya plus de chances en effet d'une dens in dente qu'un odontome qui est en général "entre" 2 dents.


orthomaské

28/09/2006 à 01h30

Bonsoir Lacand,
Je n'arrive pas à comprendre la "chute prématurée de la 51".Elle est encore là non?
En regardant bien la dent lactéale il semblerait qu'elle soit géminée??????


LACAND

28/09/2006 à 02h05

Je vous remercie pour votre aide mais pensez- vous qu'en lui libérant la place elle a une chance de descendre.


Avatar transparent iqadnc - Eugenol
adhoc

28/09/2006 à 11h56

En lisant sur le net (google: orthodontics, "dens invaginatus"), il existe tres souvent des problemes de resorption radiculaire. En plus, j'ai lu qque cette dent a de fortes chances d'etyre "bosselée", c a dire pas belle.
Donc, chirurgie, risque de blocage, risque de resorbtion. Et tous ces obstacles passés, dent affreuse.

Lève quand meme a coup sur la probabilité d'odontome ou d'une dent surnuméraire, meme s'il y a peu de chances. Avoue qu'il est dur de porter un diagnostic infaillible.

Peut etre un lambeau pour vérifier "in situ".
Po facile.

Mais je pense qu'il va falloir préparer la famille.....


Avatar transparent iqadnc - Eugenol
adhoc

13/10/2006 à 23h17

Lacand ayant des petits problemes de connexion internet, il m'a permis en son nom de diffuser les 3 images, qu'il vous commentera par la suite.

Pano hegjak - Eugenol
Teleprofil ljhnso - Eugenol
Teleprofil normane duh339 - Eugenol

t45

13/10/2006 à 23h47

bonjour,
si je peux me permetre

dens in dente(odontome invaginé)
le pertuis palatin=la dent invaginée

dès que la dent sera sur l'arcade,obturer au composite ou autre mais étanche(!!!) le pertuis palatin qui est une porte d'entrée jusqu'à la pulpe
et le traitement canalaire d'une telle dent est quasi infaisable avec de bons résultats à long terme

compte tenu de l'age,faire de la place et tracter(avis odf)

au revoir,
merci de l'attention ke vs avez bien voulu me preter


Avatar transparent iqadnc - Eugenol
adhoc

14/10/2006 à 00h00

Mon t45, je ne peux rien dire car la primeur en revient à lacand qui a super bien fait de choisir une autre incidence (profil). Et je suis vachement content pour sa petite patiente. Regardez bien!


t45

14/10/2006 à 00h15

surnuméraire en superposition?

jabandone!
ke suis je venu fer dans la cour des enfants?

mais ravi d'avoir fait votre connaissance


024 vownvo - Eugenol
annie

14/10/2006 à 20h22

je ne vois que trois raisons possibles
ectopie,blocage,projection,


catrose

15/10/2006 à 02h08


on s'oriente vers l'odontome?
il me semble voir comme adhoc,une racine separee et une petite couronne en arriere de la 11
mais pas tres sure
je n'ose pas demander une autre radio a incidence verticale(celle qu'on fait pour situer les rapports des canines incluses) ou meme un scanner dentaire

et puis lacand a deja mis des bK et prevoit une traction de la 11
on aura bientot la cle de l'enigme


LACAND

15/10/2006 à 03h27

En fait je viens de mettre les BK avec un sectionnel en attente de la pose d'un coil spring.Car avant de faire ma télé de profil je pensais préparer une place suffisante pour laisser évoluer spontanément la 11 et dans le cas où le manque de place ne serait pas l'obstacle je l'adresserai chez un ORL avec qui je travaille afin de m'extraire ce qui pourrait être un odontome ou une dent de lait surnuméraire( ou tout autre,on ne vas pas épiloguer sur le terme).En dernier recours je tenterai la traction et en dernier recours seulement car d'une part celà n'est pas sans risque et d'autre part il faut tenir compte de l'âge de la patiente( 8 ans) et de la position des parents face à tout cet arsenal thérapeutique qui nous paraît, à nous praticiens, simple parceque dans nos cabinets ces pratiques sont courantes mais pour l'enfant et pour les parents le ressenti n'est pas le même.


Avatar transparent iqadnc - Eugenol
adhoc

15/10/2006 à 22h23

Je ferais pareil que toi, lacand, une fois maintenant notre diagnostic différentiel tres heureusement résolu. Peut etre que ca a changé, mais on m'avait appris qu'il ne fallait "s'affoler" (ici dans le sens d'une traction) que 2 ans et demi à 3 ans apres la date normale d'erruption. Et 8 ans, ca te laisse peinardos 1 an et demi.
Et comme les intervenants ont cité aussi tres justement le bloquage , je pense que la manoeuvre chirurgicale d'extraction de la dent surnuméraire va ...bé... débloquer la situation. Le chirurgien pourra meme dégager un peu plus d'os pour accompagner une erruption qu'on espère tous spontanée.
Et le ressort est tres bien.



jazz

17/10/2006 à 00h20

je pense vu l'age de l'enfant que si tu veux avoir une chance que la 11 fasse une éruption normale tu ne dois pas tergiverser et pratiquer l'avulsion chirurgicale de la surnuméraire sans plus attendre.


catrose

17/10/2006 à 11h05

LACAND Ecrivait:
---------------------------------------------
> pensais préparer une place suffisante pour laisser évoluer spontanément la 11

c'est du temps perdu,elle ne va pas evoluer spontanement,d'accord avec jazz pour intervenir le plus tot possible avec extraction de l'odontome
puis suivi aide ou pas d'un MB segmente
mais n'attends pas





> il fauttenir compte de l'âge de la patiente( 8 ans)


tiens compte surtout de l'age dentaire


> la position des parents face à tout cet arsenal thérapeutique qui nous paraît, à nous praticiens, simple parceque dans nos cabinets ces pratiques sont courantes mais pour l'enfant et pour les parents le ressenti n'est pas le même.


d'accord,mais c'est a toi d'expliquer l'urgence et l'importance de l'acte,c'est toi le professionnel,les parents sont loin de se douter des consequences d'une non-intervention




LACAND

17/10/2006 à 22h09

L'extraction de la dent surnuméraire rapidement oui, mais la traction immédiate certainement pas car si tu avais bien observé la télé de profil, tu aurais remarqué que la 11 n'a pas fini la formation de sa racine.Je pense que le plus sage c'est d'attendre trois ou quatre mois avant de refaire une autre télé et prendre une décision définitive.


024 vownvo - Eugenol
annie

17/10/2006 à 23h15

je ne sais pas comment vous arrivez à voir quelque chose dans ces radios de profil toutes floues,bravo!


catrose

18/10/2006 à 03h03

LACAND Ecrivait:
-------------------------------------------------------
> L'extraction de la dent surnuméraire rapidement
> oui

bon,alors on est tous d'accord!
(mais que vient faire un ORL dans l'histoire?)


>la traction immédiate certainement pas
> car si tu avais bien observé la télé de profil, tu> aurais remarqué que la 11 n'a pas fini la> formation de sa racine.

ni les 12 et 22 d'ailleurs,et c'est la raison pour laquelle j'ai parle d'age dentaire
maintenant une remarque ,une pano ou une retroalveolaire sont quand meme plus fiables pour ce genre d'observation(tu es rassuree annie?)




>Je pense que le plus sage> c'est d'attendre trois ou quatre mois avant de refaire une autre télé et prendre une décision définitive.


alors pourquoi avoir deja bague les 12-21-22?la rotation de la 12 peut attendre et il me semble aux vues de la pano que la 11 a suffisemment d'espace mesiodistal pour descendre
mais la clinique est peut-etre differente?
ce qui me gene dans ton cas,c'est qu'on aurait pu dans le temps d'extraction de la 51,se debarrasser aussi de la surnumeraire et evaluer du meme coup les chances d'evolution naturelle de la 11(mesures tres precises)
moi aussi justement je pense au petit bout de chou de 9 ans




blonco

18/10/2006 à 04h10

bonsoir .
pour plus d'eclaircissement une incidence verticale (mordu occlusale)!!!!


024 vownvo - Eugenol
annie

18/10/2006 à 05h19

catrose écrivait

maintenant une remarque ,une pano ou une retroalveolaire sont quand meme plus fiables pour ce genre d'observation(tu es rassuree annie?)

merci,catrose,oui un peu rassurée si je ne suis pas la seule à trouver l'image peu lisible


Image odged8 - Eugenol
ploc

18/10/2006 à 05h33

catrose Ecrivait:
-------------------------------------------------------
>
> > L'extraction de la dent surnuméraire rapidement> > oui>
> bon,alors on est tous d'accord!
> (mais que vient faire un ORL dans l'histoire?)

plus facile à faire passer et plus valorisant qu'un confrère comme correspondant extractionniste?
ou personne n'extrait ds son coin?
>
>
> >> ni les 12 et 22 d'ailleurs,et c'est la raison pour> laquelle j'ai parle d'age dentaire
> maintenant une remarque ,une pano ou une
> retroalveolaire sont quand meme plus fiables pour> ce genre d'observation(tu es rassuree annie?)

mitou
>
>
>
> alors pourquoi avoir deja bague les 12-21-22?la
> rotation de la 12 peut attendre et il me semble
> aux vues de la pano que la 11 a suffisemment
> d'espace mesiodistal pour descendre

semestre 1 en odf............


>
> ce qui me gene dans ton cas,c'est qu'on aurait pu> dans le temps d'extraction de la 51,se debarrasser> aussi de la surnumeraire et evaluer du meme coup> les chances d'evolution naturelle de la 11(mesures> tres precises)

fallait y penser
ou y revenir si pas pensé de prime abord
et..........le temps est compté

> moi aussi justement je pense au petit bout de chou> de 9 ans

oui,mais t'es blonde:):)
et moi c'est juste pr causer parce que je n'arrive pas à dormir
d'ailleurs à votre avis:
seules les femmes st insomniaques sur eugénol?
ou seules les les femmes de pédo/odf st insomniaques?
>
>
>
>



024 vownvo - Eugenol
annie

18/10/2006 à 12h06

Console toi Ploc,moi aussi j'ai eu une insomnie,mais matinale,je me suis réveillée aux aurores,journée compromise!


Image odged8 - Eugenol
ploc

18/10/2006 à 12h27

annie Ecrivait:
-------------------------------------------------------
> moi aussi j'ai eu une
> insomnie,mais matinale,je me suis réveillée aux
> aurores,journée compromise!

mais tu étais comptabilisée ds les femmes pédo/odf puisque tu viens ds les rubriques,donc fais partie des stats



12