Cookie Consent byPrivacyPolicies.comEt vous, que feriez-vous maintenant ? - Eugenol

Et vous, que feriez-vous maintenant ?

val

28/10/2006 à 13h23

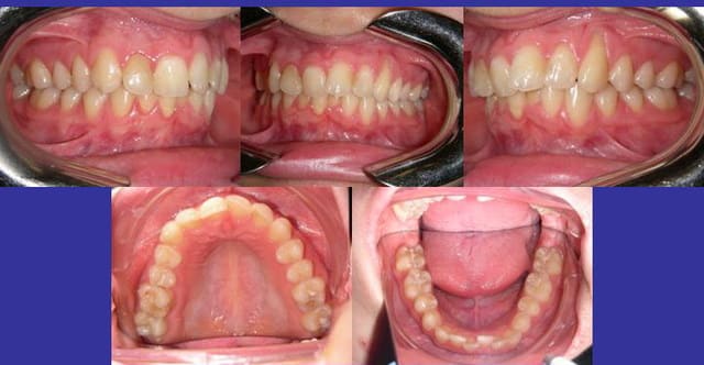
patient de 17 ans
tt odf vers 10 ans (plaque palatine puis MB H+B)
avulsions des 8 vers 15 ans.
souhaite des dents alignées.

Quelle attitude thérapeutique adopter ?

Photos1 hh7neh - Eugenol
Photos1 c5l4gs - Eugenol
Photos1 wrthfa - Eugenol

val

28/10/2006 à 13h29

suite


val

28/10/2006 à 13h30

.

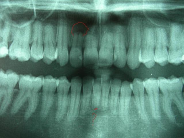
Radios2 xkcqei - Eugenol

val

28/10/2006 à 13h34

et encore

Radios3 oiwhej - Eugenol

HichamBenchekroun

28/10/2006 à 14h06

Bonjour Val, est ce bien des rhizalyses qu'on apercoit sur les incisives supérieures??


Icon poker h4nm2d - Eugenol
jeff

28/10/2006 à 14h46

val Ecrivait:

> Quelle attitude thérapeutique adopter ?

Le traitement canalaire de la 12, en premier.

Sinon, si tu ne veux pas remettre du MB basse friction a cause des rhisalyses, il te reste les plaques à piste pour redonner de l'expansion, puis un activateur SB. traitement long, sans garantie de résultat, les patients lachant souvent en cours de route.



bjc

28/10/2006 à 15h00

Intéressant, je laisse d’autres répondre en premier.
Je dois aller au boulot.

@+ Bjc.


limlim

28/10/2006 à 17h36

Ce qui serait tres interessant,ce serait d'avoir le dossier clinique initial a 10 ans avant de prendre une decision.


catrose

28/10/2006 à 20h53


rhizalyses aux incisives sup et inf,14-24-25 touchees aussi,cela fait beaucoup et freine pour reprendre sereinement un traitement MB
rotations a corriger(encore un risque de rhizalyse)
plus un angle interincisif ferme
et la 23? mauvais souvenir d'une chirurgie de canine incluse? lateralites en cause?

j'aurais envie de dire:traiter la 12 en urgence et c'est tout,convaincre le patient de ne rien faire
irrecevable?
alors comme jeff,un activateur plurifonctionnel qui va creer de l'expansion tout en douceur et aligner TRES lentement
d'accord avec limlim,la doc du ttt anterieur sera certainement instructive
val,quand tu parles de plaque,c'etait pour corriger une supra?









bjc

28/10/2006 à 23h10

J’ai terminé,
Pour la 12, ce qui vous inquiète est sa coloration. J’ai lu 3 ou 4 articles ou il était montré que les rhizalyses Sup. se stabilisaient souvent.
Par contre, et par expérience personnelle, les inférieures sont plus fragiles.
Et il me semble soupçonner un début de commencement, d’introduction au préliminaire d’un préambule de granulome inférieur.
Je dirais à surveiller attentivement.
Il n’est pas utile de se renseigner sur ce qui a été fait avant.
Le résultat suffit amplement à lui-même.
Seule la date de dépose du matématériel ODF. nous est utile, si on décide de reprendre un traitement.
Dans la littérature, il est conseillé d’attendre environ 1 an.

@+ Bjc.



Icon poker h4nm2d - Eugenol
jeff

29/10/2006 à 09h46

pour la 41 , image à verifier, mais pour la 12, je ne serais pas inquiet que de la coloration. Mais à verifier aussi. Il faut se méfier des pano.

Radios odf ftobkv - Eugenol

val

29/10/2006 à 10h33

quelques éléments de réponse aux questions posée :

- il s'agit bien évidemment de rhizalyses dont la cause iatrogène orthodontique est plus que fortement suspectée : d'abord avec la plaque palatine dont je suppose qu'elle avait un rôle pour favoriser l'éruption de 23 (par désinclusion ? je l'ignore)dont le manque de place et l'éruption haute ont laissé une dénudation radiculaire importante ainsi que l'occlusion non fonctionnelle venant ajouter la sanction finale.
De plus il s'agit (s'agissait) d'une CL II.2 dont lors du TT Mb , la demande en torque incisif de par la pression labio-jugale est intense et accroit le risque de rhizalyse.
- Je n'ai aucun documents avant ceux-ci car vous l'aurez compris, l'objet de la consultation est un 2e avis ..après avoir eu celui du praticien qui a réalisé le TT. Avoir le dossier clinique initial serait intéressant pour savoir d'où l'on est parti, bien sûr, mais il y a une décision à prendre maintenant qui selon moi ne dépend pas de la situation initiale.
- La coloration de 12 est un due à un composite de collet dont je vous laisse apprécier le mimétisme avec la teinte naturelle ! 12 est asymptomatique : pourquoi une endo ?
- la mobilité des incisives < et > est de stade 1 (0.2 à 1 mm horizontal)


bjc

29/10/2006 à 10h38

Bonjour,

Puisque que jeff est d’accord, que faire maintenant ?

Le patient souhaite des dents alignées.
Attendre 6 mois et faire des Rx. de contrôle tous les 2 mois.
Si la situation se stabilise, j’utiliserai une mécanique à friction nulle, qui permettrai de remettre les dent dans le couloir physiologique de CHATEAU. Type Damon ou autre.
L’autre problème, et non des moindres, est celui de la responsabilisation possible si tu y touche.
Je demanderai donc, avant un avis universitaire.

Bon courage.

@+ Bjc.





catrose

29/10/2006 à 23h55

val Ecrivait:
-------------------------------------------------
> - La coloration de 12 est due à un composite de
> collet dont je vous laisse apprécier le mimétisme avec la teinte naturelle ! 12 est asymptomatique :
> pourquoi une endo ?


ce n'est pas la coloration qui m'alerte mais plutot l'image apicale
qui est floue
pour se debarrasser de ce doute(d'autant plus que la dent a subi 2 obturations au compo:une cervicale et une mesiale),je ferais d'abord une retroalvolaire
idem pour les autres dents concernees par le phenomene de rhizalyse




1 eugenol dmj5np - Eugenol
Dancha

30/10/2006 à 13h29

C’est amusant, j’ai un cas identique après traitement.

La différence, c’est que c’est moi qui l’ai réalisé, ce traitement, avec avulsion de 14 et 24 !
Mais dans mon cas, les quatre rhizalyses étaient préexistantes et les déplacements ne les ont pas augmentées.
Je n’ai plus la panoramique de départ, juste la télé (c’est le confrère pédodontiste qui s’occupe de lui qui a tout le suivi radios), mais on voit quand même bien sur cette télé que les quatre incisives supérieures étaient plus courtes. On peut comparer avec la dernière télé. Pas de différence.
A méditer avant de crier haro sur un traitement orthodontique…

Daniel

Rhisalyses ognjgd - Eugenol

blonco

01/11/2006 à 01h35

bonsoir .
on peut se demander' si les causes de ses rizhalyses sont toujours iatrogenes orthodontiques(les plus causales les torques et les ingressions) exp?
car j'ai lu dans un article " qu'il y a une maladie cellulaire qui peut egalement etre responsable de ses rizhalyses chez certaines personnes".et je me demande si c'est vrai ??.


val

02/11/2006 à 20h40

Je vous livre la réflexion que j'ai eue sur ce cas et l'attitude thérapeutique:

- on objective au moins 6 incisives rhizalysées soit un peu moins de 1/4 de la denture
- contexte CL II,2, hypodivergent, hypertonicité musculaire labio-jugale.
- nécessité d'ingression et d'hypertorque incisif qui est un facteur aggravant dans les rhizalyses.
- nous voyons que la récidive est rapide et sévère après un 1er TT.
- la notion de bénéfice / risque doit impérativement être évaluée dans ce contexte.

C'est ce dernier point qui pour moi pése dans la conduite à tenir.
J'ai décidé de ne pas (re)traiter ce patient car j'ai estimé que malgré l'utilisation de la technique non ligaturante (force et frottement faible) le risque de nouvelles rhizalyses est important vu des antécédents et de la demande en torque sur les incives.

Un traitement n'est pas interdit mais le jeu en vaut il la chandelle? Ce n'est pas mon sentiment.


bjc

03/11/2006 à 04h24

Bonsoir,
Choix respectable et sage.

@+ Bjc.


catrose

03/11/2006 à 18h36

val Ecrivait:
---------------------------------------
> J'ai décidé de ne pas (re)traiter ce patient
> Un traitement n'est pas interdit mais le jeu en
> vaut il la chandelle? Ce n'est pas mon sentiment.


c'etait aussi ma premiere reaction mais que penses tu de l'option activateur plurifonctionnel(SB) qui respecterait les limites physiologiques des rhizalyses et donnerait de l'expansion(et alignement)

par curiosite:quelle a ete la reaction de ton patient?



val

04/11/2006 à 22h37

catrose Ecrivait:
-------------------------------------------------------
que penses tu de l'option activateur plurifonctionnel(SB) qui respecterait les limites physiologiques des rhizalyses et donnerait de l'expansion (et alignement)

---> Si quelqu'un me présente un cas similaire traité en 12-15 mois par SB avec un résultat équivalent au MB, je suis interessé.

> par curiosite : quelle a ete la réaction de ton patient?

---> compréhensif



catrose

06/11/2006 à 20h05

val Ecrivait:
-------------
>
> ---> si quelqu'un me presente un cas similaire
> traité en 12-15 mois par SB avec un résultat
> équivalent au MB, je suis interessé.


est ce qu'ici la limite et le challenge sont le temps de traitement?
on a le choix entre ne rien faire pour ne pas risquer de rhizalyses et un activateur
qui fera expansion-alignement
le temps de traitement ne me semble pas un argument pour rejeter cette possibilite

a moins que tu ne parles d'un cas similaire sans rhizalyse


Ylfwcw979cz1jnx9gfqeaxndiuzk - Eugenol
Algi

13/11/2006 à 19h07

En SB, pour aligner plus correctement ça peut ne pas prendre trop de temps, 6 à 18 mois, tout dependra de la réponse et de l'assiduité du patient. Bien evidemment que 6 à 18 mois ne suffiront pas à terminer le cas, en general il faut plutot compter 3 à 4 ans, mais en 2 à 6 mois on devrait déjà voir des choses bouger et se faire une idée sur la reponse.