Cookie Consent byPrivacyPolicies.comque feriez vous ? - Eugenol

que feriez vous ?

francis

09/11/2006 à 14h49

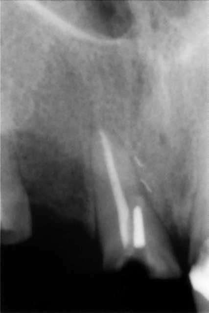
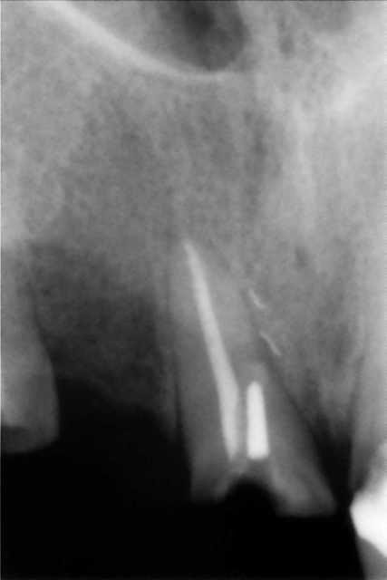
devant cette fracture de tenon desaxé sur 11;absence de signe clinique;supraclusion +++:
essai de conservation de la dent en tentant de retirer le tenon ou en passant à coté ?
extraction ?
merci pour vos avis

Beril alain 000 mgu65a - Eugenol
Beril alain 000 mhurm5 - Eugenol

Image odged8 - Eugenol
ploc

09/11/2006 à 15h06

extract ,implant(tu as déjà des poches infra osseuses au sondage à mon avis alors la pérennité de la future couronne.....)
sinon surtout rien enlever et repasser ds le bon axe
IC + COUR
comme pilier de bridge,je dirais exclu
mais c'est du court terme
et 12? remplacée comment?


avis lambda


francis

09/11/2006 à 15h29

en fait il a deja un bridge 3 elements 13.12.11 remplaçant 12


al

09/11/2006 à 17h13

tu te poses vraiment la question de savoir s'il faut garder cette dent ? oui, bon, d'accord, peut-être car voilà...


Tilc

09/11/2006 à 18h25

La guerre des chicots II , l incisive contre attaque .
Si tu arrives a garder ca plus de 2 ans jme la (re )coupe


024 vownvo - Eugenol
annie

09/11/2006 à 22h16

Tilc Ecrivait:
-------------------------------------------------------
> La guerre des chicots II , l incisive contre
> attaque .
> Si tu arrives a garder ca plus de 2 ans jme la (re
> )coupe

tu prends quand même beaucoup de risques en disant cela,pour tenir,elle tiendra peut-être mais dans quel état!


panicard3

13/11/2006 à 22h30

dc 16!!!


Coeur n9py1g - Eugenol
patvat

14/11/2006 à 07h53

Exo implant


francis

17/11/2006 à 13h16

merci pour vos reponses .cela me conforte dans ma position