Cookie Consent byPrivacyPolicies.comendo trop difficile pour moi - Eugenol

endo trop difficile pour moi

squatter

20/11/2006 à 18h52

Bonjour je cherche un endo qui travaille sous microscope dans la région de Lille ou Paris pour traiter cette dent qui a besoin d'être couronner

Guil arkmvw - Eugenol
Guil rl13li - Eugenol

Avatar transparent iqadnc - Eugenol
adhoc

20/11/2006 à 19h38

Tu as eu du mal à trouver l(es) entré(es) canalaire(s)?


carole

20/11/2006 à 19h50

et why not une couronne sur dent vivante...?


Avatar transparent iqadnc - Eugenol
adhoc

20/11/2006 à 20h19

Oui, c'est vrai, carole,why not? mais si pas bobo à la dent:-)))


200106 10150128247663588 709988587 6466236 5598391 n d7mksb - Eugenol
hallboy

20/11/2006 à 20h22

les Rx, c'est l'etat actuel de la dent? ou c'est avant que tu ouvres et cherche à trouver les canaux?


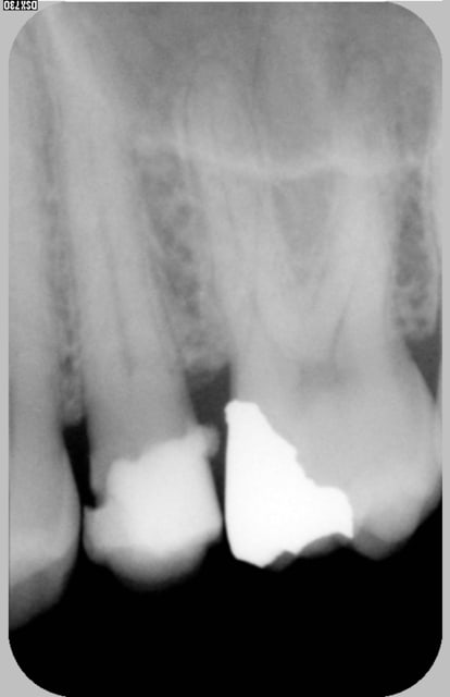
squatter

20/11/2006 à 20h25

pas possible il ne reste plus qu'une coquille d'émail car cette dent a eu un composite pendant longtemps et je ne suis pas sûre qu'elle soit vivante .(changement de teinte, aucune sensibilité au froid)
D'autre part je préfère confier un cas en première intention c'est plus simple pour celui ou celle qui va se charger du cas.
Je suis en outre mer et il n'y personne sur place ,mon patient va reguliérement à Paris et à Lille pour formation ...


manu22

20/11/2006 à 20h50

sur paris, t'as le choix
sur lille je connais un collègue Hyper serieux, donc recommandable.
donnes ton e mail je te donnes les coordonnées

ciao

Manuel


squatter

21/11/2006 à 19h19

merci tu peux m'envoyer un MP