Cookie Consent byPrivacyPolicies.comQuelle définition donnez-vous à la santé périapicale? - Eugenol

Quelle définition donnez-vous à la santé périapicale?

Images eb1m5g - Eugenol
tonio

03/12/2006 à 18h40

Suite à la lecture d’un article dans le dernier ROS de la SOP sur « l’étude de l’influence de la qualité des restaurations coronaires sur la santé périapicale », je me suis posé la question suivante :

Quand peut-on dire qu’une dent (traitée ou pas) puisse être considéré en bonne santé péri-apicale ?

Il est primordial de savoir répondre à cette question car de cette réponse découlera la suite de notre intervention thérapeutique :

Est-ce que je m’abstiens ? Est-ce que je retraite ?

Pour nous aiguiller sur la santé périapicale, nous avons des signes cliniques (sensibilités thermiques, douleur à la mastication…) et des signes radiologiques (présence d’une LPA = signe pathognomonique). Cette dernière donnée étant souvent le moyen qui nous permette de détecter le plus tôt possible l’apparition de la LPA.

La santé du périapex est évaluée selon le PAI (Péri Apical Index) d’Orstavik et s’échelonne de 1 à 5 :
1 : structures périapicales normales.
2 : changement osseux minimes.
3 : légers changements osseux avec perte minimale.
4 : zone radioclaire bien définie.
5 : lésion périapicale bien marquée et volumineuse.

Sont considérées en bonne santé apicale, les dents présentant un indice de 1 à 3 (???????) et en mauvaise santé les dents avec des indices de 4 et 5.

Qui a définit ce « seuil » entre santé et maladie ? les auteurs ou Orstavik ?

Parce que je vous avoue ne pas être d’accord du tout avec cette définition. Une dent en bonne santé périapicale correspond pour ma part uniquement à l’indice 1. Il peut subsister à la rigueur un doute pour l’indice 2 car une légère modification du périapex peut correspondre à une lésion en voie de guérison ou à une bride cicatricielle d’une LPA suite au retraitement. De même, il n’est pas toujours facile de détecter à la radio l’indice 2.

Dans l’exemple que nous donne les auteurs correspondant à l’indice 3, la lésion est quand même bien visible et nécessite pour ma part un retraitement. Qui nous dit que cette dent ne va pas passer au stade 4 ou 5 ???

J’ai recherché dans le bouquin de Willy et Stéphane mais je n’ai pas trouvé la réponse. La question est de savoir si on peut donner une réponse fiable à cette question ??? car une lésion d’indice 4 ou 5 a forcément débuté par une lésion d’indice 2 puis 3…

Quel est votre avis sur le sujet ?


Images eb1m5g - Eugenol
tonio

03/12/2006 à 18h42

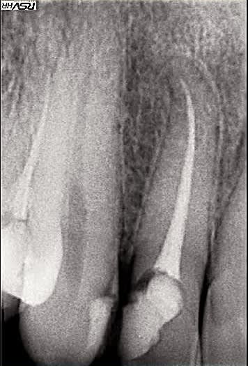
Ci-joint des radios d'une 12 qui présente d'abord un indice 1 puis qui est passé en indice 2 en l'espace de 2 mois. Je vous rassure, je n'avais pas fait le traitement initial (pas si horrible que ça), ni le compo. J'ai donc opté à l'époque pour le retraitement.

12initial dmqdnw - Eugenol
12initial2 sxyubc - Eugenol
12pic b0bojh - Eugenol

Images eb1m5g - Eugenol
tonio

03/12/2006 à 18h45

suite de la démo avec le passage d'une lésion que l'on pourrait qualifier de 4 (voire 3 si on compare avec ce que nous donne comme exemple les auteurs dans leur article) sur la radio initiale en une lésion de type 2 (en cours de cicatrisation) 3 mois après le retraitement.

Pict0105 z0kakl - Eugenol
Pict0107 cpxiwf - Eugenol

Stéphane

03/12/2006 à 19h22

Tu as entierement raison en ce qui concerne l'intepretation des auteurs de cet article.

Ils ont deliberement decide qu'une dent porteuse d'une lésion d'indice 3 etait considérée en bonne sante.
Il est donc facile de tirer leur conculusions.

peut etre que s'ils avaient pris les memes criteres que tout lemonde, ils auraient eu les memes conclusions que tout le monde.

Ca montre les limites de telles etudes. Mieux vaut ne mas trop chercehr a savoir pourquoi elles ont ete conduites, et publiees si vite.

Moi, ca me laisse perplexe et ca me rend triste pour ne pas etre vulgaire.
Mais c'est comme ca !

Ton interpretation sur la notion d'evolution de la maladie apicale est tout a fait juste.

Pour information, le dernier chapitre de notre bouquin traite du sujet, a savoir considerer la pathologie apicale par la notion de Guerison/maladie, plutot que succes/echec.
Tu trouveras egalement un chapitre dans le nouveau numero des guides publies par l'ADF; Je suis coupable des chapitres epidemiologies (1) et pronostic (6), ou je me suis permis d'ecrire des choses qui risquent de deranger, mais que j'assume pleinement.




Images eb1m5g - Eugenol
tonio

03/12/2006 à 21h07

Stéphane Ecrivait:
-------------------------------------------------------

> Ils ont deliberement decide qu'une dent porteuse
> d'une lésion d'indice 3 etait considérée en bonne
> sante.
> Il est donc facile de tirer leur conculusions.

oui, d'autant plus comme tu le dis si bien dans ton livre que la LIPOE traduit la présence de bactéries intra-canalaires.
Je trouve aberrant de considérer qu'une dent avec une infection intra-canalaire même aussi minime soit-elle puisse être considérée comme étant en bonne santé!


> Ca montre les limites de telles etudes. Mieux vaut
> ne mas trop chercehr a savoir pourquoi elles ont
> ete conduites, et publiees si vite.

oui et cela ne va pas encourager les praticiens à retraiter les dents qui présentent les indices 2 ou 3... et laisser "pourrir" la situation.

>
> Moi, ca me laisse perplexe et ca me rend triste
> pour ne pas etre vulgaire.
> Mais c'est comme ca !
>
Je n'en pense pas moi que toi à ce sujet.


> Pour information, le dernier chapitre de notre
> bouquin traite du sujet, a savoir considerer la
> pathologie apicale par la notion de
> Guerison/maladie, plutot que succes/echec.

Si on voulait établir une étude valable concernant ce sujet, surement faudrait-il prendre en compte cette notion de guérison/maladie pour qu'elle soit vraiment pertinente.

Mais cela impliquerait 2 problèmes:

- cela prendrait énormément de temps (avec le risque de perdre dans la nature des sujets d'étude), à savoir qu'il faudra attendre la cicatrisation (éventuelle) de la LIPOE pour juger de la guérison ou de la persistance de la maladie.

- cela poserait également un problème éthique à savoir de laisser délibérement des sujets témoins avec des dents présentant des indices de 2 ou 3 avec les conséquences de pertes de chance de guérir la maladie.


Dans ton livre, peut-être aurait-il fallu simplement préciser qu'une dent avec un indice 1 de PAI pouvait être considérée comme "radiologiquement en bonne santé" mais pas forcément "en bonne santé biologique"; et que les autres indices devraient être considérés comme des "dents malades".


> Tu trouveras egalement un chapitre dans le nouveau
> numero des guides publies par l'ADF; Je suis
> coupable des chapitres epidemiologies (1) et
> pronostic (6), ou je me suis permis d'ecrire des
> choses qui risquent de deranger, mais que j'assume
> pleinement.
>
Je n'en doute pas... :-)))
Je vais essayer de me le procurer.

Merci de ta réponse. Ouf! je me sens moins seul maintenant!

P.S: on attend une date pour le champ... ;-)))



WillyPertot

03/12/2006 à 22h29

Nous avons eu de longues discussions au sujet du pronostic lorsque nous avons fait le bouquin. C'est probablement le chapitre sur lequel nous avons d'ailleurs le plus discuté et le plus "fritté".
En fait, pour ma part, je pense qu'il y a une notion de santé / guérison qui ne peut pas être dissociée du succès / échec... c'est essayé de rendre simple quelque chose qui est beaucoup plus complexe.
On voit des tonnes de dents où le traitement endodontique est totalement inadéquat, avec de mauvaises restaurations coronaires, et sans lésions et sans signe clinique. Ce qui laisse parfois les confrères perplexe sur la necessité de faire tout ce qu'on leur dit qu'il faut faire pour que l'endo "fonctionne"...
Sur des dents comme ça : il y a une bonne santé périapicale à l'instant t mais cela reste un échec potentiel... dans la mesure où les bactéries sont surement dans le canal mais pas assez "aggressive" encore pour déclencher une rupture de l'équilibre...
Et de plus, le PAI c'est certainement pas mal, parce qu'on fait avec ce qu'on a, mais il y a déjà plus de 20 ans qu'on avait déjà montré que de nombreuses lésions n'étaient pas visibles à la radio... Actuellement, tous ceux qui ont regardé des scanners se rendent compte de l'imprécision des radios rétroalvéolaire...
En réalité, lorsque la radio montre une lésion, elle est souvent plus grande en réalité que ce qu'elle apparait. Et quand la radio n'en montre pas, cela ne veut pas dire que la lésion n'existe pas, surtout si le traitement n'est pas bon...



Stéphane

03/12/2006 à 23h25

Le fait que l'on ait eu des difficultes a se mettre d'accord avec le sujet epineux du pronostic, c'ets justement parce que c'est pas simple, et que comme tout etre humain, on veut absolument des criteres objectifs pour donner une réponse blanc ou noir.

Ca me fait penser au probleme des instruments fractures. J'ai redige recemment un article en Francais qui a fait debat et qui finalement ne sera pas publie; il le sera par contre dans une revue anglo saxone ou les esprits sont beaucoup plus ouverts. Pour etre succint, je disais dans ce papier qu'un etude de grande envergure a été faite en Australie montrant que si un instrument etait fracturé au cours d'un traitement, mais que le traitement etait fait dans de bonnes conditions d'aspetie et que la dent etait obturée dans la seance, le fragment n'interferait pas sur le proostic.
Ce a quoi je poursuivais l'argument concernant l'information du patient Doit on lui dire ou non?
En conclusion, pour la faire simple, je disais qu'il fallait le dire pour etre en accord avec les regles, mais que depuis 2002 la loi Kouchner ne nous obligeait plus a prvenir le patient des risques exceptionnels. Les auteurs de l'article précédent concleuait à une influence inférieur à 1%, ce que l'on peut consiédérer comme exceptionnel. Pour une fois, on s'asoit sur l'evidence based, parce que ca ne nous arrange pas.
Dans ce cas, ne devrait on pas avertir le patient à chaque fois qu'un traitement est incomplet ou ne respecte pas les recommandations (au fait, quelles recommandations ???); et pourtant, vu ce que montrent les étude quant a la qualité des traitements endodontiques et le nombre de patients avertis d'un evenuel probleme,... c'est pas souvent fait !
En fait le probleme est plus complexe; car un instrument dans un canal, ca se voit à la radio; une mauvaise desinfection au Dakin, non. Donc dans un cas, on se sent oblige de le dire, des fois que quelqu'un d'aures le fassent pour nous, ou qu'un juge considere ce bout de metal comme l'objet du délit, alors que finalement, il n'y est pour rien.

Tu vois, tonio, c'est aps simple la vie d'endodontiste.
Tiens pour conclure; l'ESE vient de sortir dans le dernier IEJ les recommandations consensulles pour les traitements endodontiques. On y trouve des éléments intéressants ; l'indication de coiffage direct et de cosnervation de la vitalité pulpaire entre autres.
Sinon, un facteur interessant : Si une lésion persite, au bout de combien de temps doit on considerer le traitemet commeun echec;

reponse: au bout d'un an, les premiers signes de guerison sont suffisant pour considerer que la lésion va guerir compleement.(reprend les travaux d'Orstavik)
Si a un an pas de signes de guerison, NI d'aggravation; il faut attendre le stade des 4 ans pour considerer l'echec.

D'ou sortent ils ca ? j'en sais rien. Mais maintentant c'est ecrit. Donc ca devient un élement de base, e venant de l'ESE c'est du costaud. Je te le livre en direct, car demain tout le monde va te dire qu'ils ont tous lu le papier... en tout cas, c'est un papier intéressant.

En conclusion, concernant la publication citée plus haut. Si tu es consensuel avec tes copains, tu as le droit de dire que le PAI a 3 est un succes et que la qualité de l'obturation d'un canal n'intervient pas sur le potentiel périapical. Par contre si tu dis des choses fondées, mais que ca risque de faire desordre, bah tu le publies ou tu veux, mais pas en France. Dans un autre temps, on aurait parle de république bananaière...


Pa050055 igyagy - Eugenol
mark

03/12/2006 à 23h26

Permettez moi d'ajouter que l'examen radiographique est loin d'être un critère suffisant de jugement du "silence" d'un traitement endodontique.

Ainsi, non content de constater l'apparition ou la persistance d'images apendiculaires de traitements radiologiquement parfaits, ce qui ne veut strictement rien dire, il me paraît plus important de se poser la question de l'herméticité coronaire de ce traitement.

En effet le constat visuel direct de l'état du matériau d'obturation après la dépose d'une obturation ou prothèse ancienne vaut toutes les conjectures radiologiques.

Je n'en remettrai pas sur l'anatomie canalaire dont le scellement imparfait se livrera à la percolation bactérienne coronaire, mais m'interroge sérieusement sur certaines images de traitement "radiologiquement parfaits" surmontés d'un grand vide, par dessous une obturation provisoire pour le moins suspecte quant à son étanchéité.

Je me pose donc à fortiori la question du devenir de l'endodontie exclusive, si celle-ci n'a pas compris l'intérêt d'un scellement corono-radiculaire immédiat, ou tout au moins le néglige, et par conséquent je fonde de grands espoirs sur une complète compatibilité des matériaux d'obturation canalaire, ciment ET maître matériau avec ceux, collés également et parfaitement homogènes, entrant dans la phase immédiatement suivante de reconstitution corono-radiculaire.


Stéphane

03/12/2006 à 23h54

mark Wrote:
-------------------------------------------------------

> Je me pose donc à fortiori la question du devenir
> de l'endodontie exclusive, si celle-ci n'a pas
> compris l'intérêt d'un scellement
> corono-radiculaire immédiat, ou tout au moins le
> néglige, et par conséquent je fonde de grands
> espoirs sur une complète compatibilité des
> matériaux d'obturation canalaire, ciment ET maître
> matériau avec ceux, collés également et
> parfaitement homogènes, entrant dans la phase
> immédiatement suivante de reconstitution
> corono-radiculaire.


Rasurez vous mark, l'endodontie a depuis tres longtemps pris en considération le probleme de l'étancheite coronaire; c'est pas un phénomene nouveau.
Maintenant, le probleme de vouloir colelr absolument quelque chose dans un canal sous pretxte que l'on veut obtenir une continuite entre la couronne et le canal, tout le monde est d'accord. Mais beaucoup de monde est egalement d'accord pour montrer que coller avec le meme protocole un matériau dans un canal, dont le controle est impossible de facon reproductible, et surtout où la dentine est completment differente sur le plan histologique (fibrodentine au tiers apical entre autre) est aujourd'hui une vue de l'esprit.
Maintenant, on peut prendre pour argent comptant tout ce qui est dit, mettre de cote les etudes qui ne nous interessent pas, et s'appliquer la méthode couet.
Le tout est de savoir ce que l'on veut faire, ce que l'on fait, et ou l'on va.

Pour en revenir à l'endodontie exclusive; a mon avis, ses beaux jours n'existeront que dans le retraitement, et une approche biologique de la conservation de la vitalité pulpaire est une science d'avenir. Force est de constater que je m'intéressse a ce sujet depuis plus de 5 ans, et que c'est beaucoup plus complexe que de parler de NiTi, d'IRS et désinfection canalaire, mais au demeurant finalement plus intéressant à mes yeux. nénmoins, aujourdéhui, je contineu à depulper, et je le ferai tant que les autres technqieus n'auront aps fait leur preuves, et que l'on ne sera pas en mesure de proposer un protocole simple reproductible et applicable dans tous les cabients dentiares.


Pa050055 igyagy - Eugenol
mark

04/12/2006 à 00h03

Que de perspectives passionnantes! merci Stéphane.


Images eb1m5g - Eugenol
tonio

04/12/2006 à 00h50

mark Ecrivait:
-------------------------------------------------------

> Je me pose donc à fortiori la question du devenir
> de l'endodontie exclusive, si celle-ci n'a pas
> compris l'intérêt d'un scellement
> corono-radiculaire immédiat, ou tout au moins le
> néglige,

Mark, c'est bien pour cela que j'avais précisé dans un autre thread que ma définition de l'endodontiste ne se limitait pas qu'au traitement de canal.
Si un endodontiste veut "garantir" ses traitements, il doit lui-même réaliser la RCR (Cp à tenon ou IC). L'un ne va pas sans l'autre.
C'est mon avis et je le partage avec ceux qui seront d'accords avec cette définition... :-)


Grueavatar nptrc9 - Eugenol
Le Choixpeau magique

04/12/2006 à 01h05

Tonio, tu devrais également demander leur avis à certains praticiens qui, lors du retour de leur patient après visite chez leur correspondant endo, sont obligés de déposer l'inlay-core pour en faire un nouveau, la pièce réalisée ne satisfaisant pas aux conditions permettant une réhabilitation prothétique correcte !


Images eb1m5g - Eugenol
tonio

04/12/2006 à 02h23

C'est un deal à faire avec le correspondant.

Pour une couronne simple, l'endo exclusif (à moins d'être une bille en prothèse fixée) doit savoir réaliser un IC ou un Cp à tenon. En plus, le patient a tout à y gagner, cela réduit sérieusement les possibilités de contanmination inter-séances. Cette possibilité est même nulle en cas de Cp à tenon si l'indication se pose, le système canalaire étant de ce fait "verrouillé" par le compo. Cela implique également l'emploi d'un ciment de scellement canalaire sans eugénol comme le top seal.
S'il veut être sûr de son coup, il fait un IC via une empreinte en technique indirecte + un bon protho.

En cas de bridge de grande étendue, c'est plus discutable il est vrai et cela demande une réelle coordination entre les 2 parties pour que les RCR soient réalisées dans les meilleurs délais. Le praticien réalisera alors ces RCR pour mieux gérer tout ce qui concerne parallélisme, gestion de la DV...

Choixp, tu vois un peu le mal partout, non?

Un coup c'est le praticien lambda qui lentule dans la salive; de l'autre, c'est l'endo exclusif qui ne connaît pas ses bases de PF.
J'avoue que ton attitude sur ce point en devient un peu agaçante car peu consensuelle et peu confraternelle, même si tu n'as pas tord sur toute la ligne. Autant, j'apprécie la pertinence et la précision de certaines de tes interventions, autant là tu me déçois... parce qu'avec des "on m'a dit que..." on peut refaire le monde!
Désolé, mais il fallait le dire aussi!


Pa050055 igyagy - Eugenol
mark

04/12/2006 à 03h40

Cette terrible inter-séance après une empreinte pour IC me fait le plus souvent préférer une RC à tenons collés, quelquefois à la limite de l'indication.
Il suffit d'un descellement de provisoire, d'un RDV reporté pour se sentir mal...
J'étais plus tranquille lorsque j'étais moins sensibilisé à ce problème et que l'on pouvait encore faire couler le ciment Dentoria, qui passait de liquide à hyper dur et adhérent, et semblait assurer une bonne étanchéité.


Grueavatar nptrc9 - Eugenol
Le Choixpeau magique

04/12/2006 à 09h25

Attend Tonio, ton histoire d'endo qui doit faire la reconstitution lui même, qu'est-ce que ça veut dire exactement, si ce n'est que celui qui va faire la prothèse risque d'être un gros cochon qui va tout contaminer ? Sous prétexte qu'il y a un canal en jeu, un praticien non endo ne serait tout d'un coup pas capable de respecter quelques règles d'asepsie élémentaires ?


L'oeil, la paille, la poutre, tout ça tout ça...


Stéphane

04/12/2006 à 10h15

Le Choixpeau magique Wrote:
-------------------------------------------------------
> Attend Tonio, ton histoire d'endo qui doit faire
> la reconstitution lui même, qu'est-ce que ça veut
> dire exactement, si ce n'est que celui qui va
> faire la prothèse risque d'être un gros cochon qui
> va tout contaminer ?
>


On peut aussi imaginer qu'il n'y a pas que des mauvais dentistes; il y en a aussi qui font les choses bien, et franchement j'en connais un paquet.

La plupart des endodontistes sont issus de l'omnipratique; personnellement j'en ai fait dix ans avant de limiter mon exercice.
Alors aujourd'ui je ne me sens pas du tout de faire un brisge complexe, mais je me sens encore capable de faire un inlay core unitaire; et puis la reconstitution n'est pas limitée à l'inlay core que je sache.... c'est pas compliqué de remplir une cavité en mettant un tenon; je pênse que même un endodontiste peut y arriver (je pense). Et puis le praticien taille la dent comme il le souhaite.

A force de croire que tout lem onde il fait mal, on se prend pour une elite; mais des elites, il y en a veaucoup plus qu'on ne le croit, et les meilleurs que je connaisse sont souvent ceux qui en disent le moins.



Grueavatar nptrc9 - Eugenol
Le Choixpeau magique

04/12/2006 à 11h08

Il y a méprise mon cher confrère.
Je me permet de reposer ma question en d'autres termes: en quoi l'endodontiste est-il plus qualifié que l'omnipraticien pour faire une reconstitution corono-radiculaire ?
Vous me parlez d'élitisme, là où je n'en ai nullement fait mention. Mettre une digue (puisqu'on m'a attaqué sur ce sujet), mettre un coup de gates pour désobturer après avoir réglé un stop, prendre une p... d'empreinte, je ne vois pas où est l'élitisme là dedans.
J'ai l'impression qu'il y a un léger problème de communication sur ce coup, problème que je n'attribuerais pas à l'un ou l'autre, toutes les parties ayant toujours leur part de responsabilité dans ce genre d'affaire, mais faudrait voir à se calmer, et à ne pas sauter tout de suite sur les Colts à la moindre question vaguement polémique.


Stéphane

04/12/2006 à 11h33

Le Choixpeau magique Wrote:
-------------------------------------------------------
> Il y a méprise mon cher confrère.
> Je me permet de reposer ma question en d'autres
> termes: en quoi l'endodontiste est-il plus
> qualifié que l'omnipraticien pour faire une
> reconstitution corono-radiculaire ?


On n'a jamais dit que l'un ou l'autre etait plus qulifie pour mettre en place un inlay core. Il a simplement ete dit que si l'on considere que le traitement endodontique prend en compte l'etancheite coronaire, n'est il pas envisageable d'effectuer la reconstitution coronaire immediatement apres l'obturation canalaire.
A moins de laisser le pateint repartir avec la digue chez son praticien traitant pour qu'il le fasse luui meme, on peut envisager plus simple, non ?

Maintenant, je ne le pratiquais pas ainsi dans mon exercice prive et je ne le pratique toujours pas ici en Grande bretagne; donc je pars du principe que le probleme ne se joue paa a la minute. Mais j'avoue avoir ete quelque fois frustre de revoir des patients en controle avec l'obturation provisoire en place. C'est tout.

maintenant prenez le comme vous voulez, mais il n'y a pas d'attaque la dedans; je ne sais pas ou vous en avez vu une.


Avatar transparent iqadnc - Eugenol
adhoc

04/12/2006 à 12h08

Cette études des stades d'atteinte périapicaux est tres intéressante. Et de tres jolis retraitements nous sont proposés.
On part de l'hypothèse (c'est un cas d'école!) qu'il faudrait retraiter toutes les dents françaises en stade 3 a partir de ce moment t=0.
Combien d'années de travail de 40000 dentistes seraient nécessaires? Serait ce ce réalisable en terme de santé publique? Doit on faire un tri? Comment va se faire ce tri? (et c'est là ou ca va faire mal!)


Grueavatar nptrc9 - Eugenol
Le Choixpeau magique

04/12/2006 à 13h51

Stéphane Ecrivait:
-------------------------------------------------------
> maintenant prenez le comme vous voulez, mais il
> n'y a pas d'attaque la dedans; je ne sais pas ou
> vous en avez vu une.

Je dois sans doute trop me prendre pour une élite (et si tu voyais les conditions dans lesquelles je bosse, tu verrais à quelle point cette accusation est ridicule).


Stéphane

04/12/2006 à 14h10

Le Choixpeau magique Wrote:
-------------------------------------------------------
> Stéphane Ecrivait:
> --------------------------------------------------
> -----
> > maintenant prenez le comme vous voulez, mais il
> > n'y a pas d'attaque la dedans; je ne sais pas
> ou
> > vous en avez vu une.
>
> Je dois sans doute trop me prendre pour une élite
> (et si tu voyais les conditions dans lesquelles je
> bosse, tu verrais à quelle point cette accusation
> est ridicule).
>
A quel moment je t'ai dit que tu te prenais pour une elite ?

A propos de se calmer... et d'eviter de sortir les colts...




Pa050055 igyagy - Eugenol
mark

04/12/2006 à 15h31

J'aime bien ce débat, parce qu'au-delà des susceptibilités, compréhensibles, des uns et des autres, la discussion progresse.

Le terme d'élitisme, récurent au fil des débats, procède le plus souvent de la confusion entre ambition et prétention.

Mon ambition c'est de progresser dans la sécurité et la pérénité de mes actions. Je ne prétends pas pour autant y parvenir autant que je le souhaite, et cette instatisfaction permanente me motive à rechercher des solutions plutôt que de me contenter de celle de mes maîtres... ou des vôtres.

Alors oui, dans ce débat, l'endodontiste, qu'il soit omnipraticien ou exclusif, endosse la responsabilité de la préservation immédiate du résultat de son acte.
Je me répète, une endo apparement parfaite, d'abord peut ne pas l'être, il n'y a donc pas lieu d'en tirer gloire mais d'espérer qu'on a fait tout comme il faut pour que la réalité corresponde à l'image.
Ensuite elle restera parfaite si l'on ne se contente pas d'un cavit pour couvrir le chef-d'oeuvre.

Donc, l'endodontiste, dans l'intérêt du patient, et le sien à long terme, doit s'enquérir de cette étanchéité post-opératoire:
- soit en la réalisant soi-même (exclusif ou pas),
- soit en coordonnant la reconstitution, au cabinet ou dans un délai quasi nul, avec un correspondant voire l'omnipraticien si l'endo est l'oeuvre d'un exclusif.

C'est pas plus simple que de se tirer les nattes,les filles?

Enfin, je souscris entièrement à l'appréhension d'Adhoc:
Il s'agirait d'anticiper les conséquences d'une nécessaire rigueur d'évaluation et de traitement, ou plutôt de retraitement.
J'avoue ne pas avoir été satisfait de reprises de traitement, et de regretter ensuite de n'avoir pas mis en place un protocole de correspondance avec un endodontiste confirmé qui aurait soit mieux négocié cette reprise, soit confirmé la difficulté du cas, voire ses limites...
Or, fixer des règles faisant autorité en matière de décision de réintervention, c'est s'exposer au risque de poser, par prudence médicale, des indications sur une population plutôt large...
Cela risque de poser problème à notre trésorier-payeur-radin-général (CPCAM),
- soit que les patients seront plus nombreux à être confrontés à la distorsion comptable, eut égard aux conditions nécessaires pour un traitement endodontique efficace réalisé par un endodontiste spécialisé,
- soit, revalorisant encore ces actes, en s'exposant à une ruée des omnipraticiens sur des reprises de traitement aux fortunes diverses et aux résultats probablement très variables, d'où une nouvelle gabegie en perspective...