Tous les forums
hum
19/12/2006 à 10h51
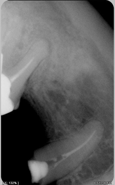
on a pété le nerf dentaire inférieur de cette patiente il y a 15 ans.donc un sensibilité très bizzare.en do faite par mes soins pour cause de couronnes.l'embetant, c'est qu'elle a super mal en effleurant cette dent.causes?
traitement?
19/12/2006 à 13h47
quelle dent la molaire ou la PM?
Pour la PM, le traitement aurait mérité d'être un poil plus long. Peut être reste t'il un bout de viande dans le dernier mm qui entraine la sensibilité.
Pour la molaire, tu as un début de LPA, stade 2 voire 3 selon le PAI (péri apical index) sur la racine mésiale. Il me semble que ce soit plus cette dent qui soit en cause. Pas de bol, il semble que cette dent soit protégée par un IC. galére pour la dépose... :-(
19/12/2006 à 16h46
mac Ecrivait:
-------------------------------------------------------
> attendre l'avis d'annie.
mac,tu deviens lourd!!
pour la prémolaire même avis que Tonio,obturation insuffisante
pour les sensibilités tests dent par dent
19/12/2006 à 18h13
DENTS super douleureuses lors des tailles et que cela(relation avec la lesion) ce qui a expliqué mon abstention sur la molaire.
pour la pm, ok pour la reprise mais pas persuadé du tout que cela vienne de la.
19/12/2006 à 18h44
abstention sur la molaire pour quoi? pour la RTE????
tu vas poser un bridge sur une dent qui présente une lésion potentiellement en évolution???
Pour la PM, je pesne que tu peux facilement faire mieux, non?
Fais gaffe, tu as peut être une 2éme canal sur ta PM, ce qui explique peut être cette sensibilité.
19/12/2006 à 19h32
douleurs d'origine endo ???
tu dis on lui péter le nerf y'a 15 ans mais comment, à quelle occasion ? quelles sont les conséquences ?? Anesthésie totale ou bien paresthésie ou bien hyperalgésie ??
19/12/2006 à 23h28
extraction de dent de sagesse. hyperestesie le fait de tailler la molaire n'a pas été une partie de plaisir,vibrations.dans cecas, je préfère appliquer " le mieux est l'ennemi du bien
la lesoin potetiellement evolutive est stable depuis 4 ans.
19/12/2006 à 23h38
Azerty,
- as tu une radio excentrée?
- quelle était la symptomatologie initiale?
- quand as tu réalisé le ttt endo? > 6 mois ? Auquel cas une lésion serait apparue en principe.
Surprenant tout de même qu'un "simple canal non traité" entraine des douleurs si intenses...et qu'on retrouve le même type de douleur au niveau de la molaire également (malgré la PA).
Qu'est il arrivé exactement au dentaire inf : section totale? ou bien...?
19/12/2006 à 23h48
Les posts se sont croisés...
Si tu penses réaliser une réhabilitation prothétique, il serait préférable de reprendre le ttt endo de la molaire. En effet, la modification de l'environnement occlusal risque très probablement de rompre l'équilibre existant précaire et donc de réveiller la lésion.
Faux moignons afin d'étanchéifier au niveau coronaire. Puis brige pro afin d'objectiver la disparition effective de la douleur et la cicatrisation...
20/12/2006 à 20h47
n'empéche que je ne m'amuserai pas à prendre cette molaire comme pilier de bridge sans avoir fait la RTE.
Là où on ne peut te jeter la pierre c'est que ta dent est considérée en "bonne santé périapicale" si on fait référence à l'article concernant l'étanchéité coronaire dans le dernier ROS de la SOP. Les auteurs estimaient la bonne santé du périapex pour les indices 1 (aucune image), 2 ou 3; 4 et 5 étant considérés comme en mauvaise santé. Dans un post d'OCE, j'avais contesté cette définition, stéphane était de mon avis. La bonne santé périapicale, c'est l'indice 1 où il y a peanuts à l'apex, même pas un élargissement apical.
La racine mésiale de la molaire est à mon avis "malade". En tout cas, elle n'est pas en voie de guérison. Donc j'aurai fait la RTE, au pire, j'aurai perdu une heure de mon temps. Mais en cas de souci, au moins j'aurai la preuve que j'ai essayé de faire le maximum.
Bon maintenant que tu as collé l'IC, je comprends que ça te casse les pieds de vouloir le virer, en plus, une RTE, ce n'est pas toujours une sinécure.
Même si la lésion est stable depuis 4 ans, elle peut très bien se réveiller 6 mois après la pose du bridge, ce que je ne te souhaite pas.
Mais si tu ne fais pas le nécessaire, faut pas s'étonner d'avoir des soucis après.
Après pour la PM, 2ème canal or not??? en allant un peu plus + big désinfection + bonne obtu, tu auras résolu 90% du probléme, enfin je l'espère. Reste à savoir si la lésion du nerf mandibulaire peut occasionner des douleurs rémanentes incompréhensibles??? très difficile d'être affirmatif sur le sujet.
voilou, je t'ai donné mon avis en toute franchise.
bon courage et bonne fin d'année.
20/12/2006 à 20h52
tiens, le post où je parlais des LPA:
http://www.eugenol.com/eugenol/read.php?8,219398
21/12/2006 à 14h30
ok pour rte sur pm. mais des douleurs pareil... cela me laisse pantois. il n'y a rein au chaud froid.
si tu avais vu la douleur de la patiente en taillant , elle se tenai la machoire, et pour tout te dire, de ce coté, un simple coup de turbine la ou c'st sain, cad, que tu effleures une dent,lui provoque des sensations ultra désagréable a se tenir la machoire. bizzare,non?
21/12/2006 à 17h02
oui, bizarre comme douleurs. origine???
Ce n'est pas tellement le traitement de la PM qui m'interpelle mais celui de la molaire...
fracture de la PM? j'en doute.
22/12/2006 à 14h30
bonjour
de telles douleurs je crois d'origine ligamentaire?
mais de toute façon je prefere RTE!
24/12/2006 à 12h04
s'il y avait douleur lors de la preparation de la molaire et de la prémolaire avecune turbine, il faudrait vérifier les dents au maxillaire.
il m'est deja arrivé un pb similaire doleur lors des prep. d'un bridge à la mandibule et pourtant les endos étaient nickels. En vérifiant au maxillaire, il y avait une molaire aevc une fracture mesio distale dont la patiente ne se plaignait absolument pas...
Ca vaut la peine de vérifier attentivement. Car meme si tes endos ne sont pas optimales... une douleurs aussi intense sans signes à la percussion... c'est un peu bizarre
16/01/2007 à 13h25
reprise de ttmt fait: bilan: pas + loin, douleurs+lentulo pté= meme douleurs.
il a fallu 15 jours pour une atténuation la première fois. je tablereai plutot sur une allergie a la pate.
16/01/2007 à 21h14
azerty Ecrivait:
-------------------------------------------------------
je tablereai plutot sur une
> allergie a la pate.
hummm... intolérance plutôt qu'allergie.
Et même, comment la patiente aurait-elle pu développer une intolérance à la pâte alors qu'il n'y a pas de perméabilité apicale??? Il aurait eu un dépassement de pâte, hypothèse probable mais on n'est pas tout près de l'apex. alors???
17/01/2007 à 00h05
la radio complète de la molaire pourrait donner un éclairage supplémentaire axe du pivot distal?