Cookie Consent byPrivacyPolicies.com3 mm de DDM - Eugenol

3 mm de DDM

bjc

20/12/2006 à 10h35

Cher saïd,

Extraits :
"tandis que dans d'autre cas pour 3 mm de DDM je suis oblige d'extraire car l'incisive a deja un axe defavorable ou la gencive ne permet pas d'avancer etc.
voila mon poit de vue et voila comment je raisonne."

Aurais tu un cas de 3 mm. de D.D.M. ou tu as été obligé d’éxtraire, sur lequel tu accepterai de discuter ?

Amicalement.


Picture1111 zburnd - Eugenol
saidkholoki

20/12/2006 à 12h19

Salut bjc,
Ce que j'ai dit c'etait dans un sens figure et ne s'agit pas vraiment d'un cas particulier. Mais puisque tu le demande laiise moi un peu de temps pour retrouver un cas similaire a presenter
donc a+


bjc

20/12/2006 à 13h39

Ce sera avec plaisir.

@+++ bernard


kri

22/12/2006 à 22h38

j'ai recue un gamin avec une petite cl 2.1, et une ddm de 1 a 2mm, un ortho spe me demande d'extraire, il precise fort judicieusement(il ne savait pas que ct moi le praticien du gamin) que sinon ca risque d'agraver la bipro!!si vous aviez vu le gamin, des levres pulpeuses mais surement pas bipro inesthetique bien au contraire.
Je vous laisse deviner la suite.


bjc

23/12/2006 à 00h13

La suite, c’est la croissance.


Picture1111 zburnd - Eugenol
saidkholoki

23/12/2006 à 08h06

La suite, extractions faites avec un resultat catastrophique et des espaces incompletement fermes. Cela arrive mais il ne faut generaliser. Le cas promis est en preparation, peut etre ce soir ou demain. La question est toujours, il y a la DDM oui, mais qu'est ce qu'il y a a-cote ?


bjc

23/12/2006 à 11h08

"La question est toujours, il y a la DDM oui, mais qu'est ce qu'il y a a-cote ?"

C’est ça la vraie question !


Picture1111 zburnd - Eugenol
saidkholoki

24/12/2006 à 09h25

Mes photos font plus d'un mega chacun meme apres compression, plusieurs fois, cela ne passe pas, car on demande mois de 2oo kb. Qq'un a un conseil ou un astuce pour que ca marche?


Picture1111 zburnd - Eugenol
saidkholoki

24/12/2006 à 09h53

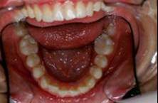
Je crois cette fois ca va marcher. Il s'agit d'une jeune fille de 12 ans, origine franco-libanaise, deja reglee depuis qqs mois. Classe II1 dentaire. Une demande majeure pour la patiente et sa maman: Les dents du haut sont trop en avant, il ne faut surtout pas les avancer ou les garder comme ca!!!

1 aswyzj - Eugenol
2 yzorem - Eugenol
3 uk1wzr - Eugenol
4 nsnllc - Eugenol

Picture1111 zburnd - Eugenol
saidkholoki

24/12/2006 à 09h56

suite de documents

5 lcsrqk - Eugenol
6 dc3afv - Eugenol
8 kwjafi - Eugenol
9 udm1qj - Eugenol

Picture1111 zburnd - Eugenol
saidkholoki

24/12/2006 à 09h58

suite et fin, comment faire?

7 gzdhay - Eugenol
10 wfgd1x - Eugenol

bjc

24/12/2006 à 11h31

Salut,

Super cas pour discuter.
Et surtout pour voir ta façon de répondre à la demande qui est esthétique.

A toi la donne !


Picture1111 zburnd - Eugenol
saidkholoki

24/12/2006 à 12h05

Plutot je prefere que tu me dise comment tu pense aborder ce cas, meme si le cas est finit depuis longtemps mais si je montre le resultat cela n'a plus beaucoup d'interet. A suivre...


bjc

24/12/2006 à 12h16

Les autres n’ont pas le droit ?

O.K.
Age ?

P.S. : Tu ne me le fais pas dans le style : 48 épisodes des rois maudit !
S’il te plait.


Picture1111 zburnd - Eugenol
saidkholoki

24/12/2006 à 12h52

tout le monde a le droit bien sure, ce qu'il m'interesse c'est la facon d'aborder le cas sans rentrer dans les details mecaniques. Quel objectif, quel moyen, quel controle et comment imaginer la fin. A propos de l'age revient 2 messages plus haut tu le trouves!!! Tu n'es pas encore bien reveille on dirait!


bjc

24/12/2006 à 13h12

O.K. pour l'age. Merveilleux!
P.S.: Décalage horaire


bjc

24/12/2006 à 13h37

Quel objectif ?

Esthétique. Sourire resplendissant de face, menton un peu fuyant,
incisives en avant dues à l’Endo. de l’arcade Sup.

Quel moyen,
Q.H. (dérotation,) ( Cl. 1,5). Système avec friction quasiment nulle, forces faibles.

Quel controle
Aucun !, si ce n’est l’enveloppe des forces musculaires internes et externes.
Couloir physiologique.

Et comment imaginer la fin.
Beau mariage !


Picture1111 zburnd - Eugenol
saidkholoki

24/12/2006 à 17h00

Et la classe II tu la corriges comment?


bjc

24/12/2006 à 17h33

La Cl. 1,5 tu veux dire?


mraniaz

24/12/2006 à 17h51

bonjour tout le monde et particulierement à Said que je n'ai pas revue depuis les seminaires de Guggino et mon DUO à Nantes ,15ans.......
Pour participer à votre discussion , je pense que le cas une fois deverouillé , soit la mandibule avance spontanement(type facial, heredité ,age .)soit il faut l'aider par n'importe quel système qui la met en propulsion tout en nous permettant de garder les controls dans les sens vertical et sagittal: herbstou mieux Lautrou si la patiente est cooperente, SUS (Dentaurum) ou similaire si la patiente l'est moins

amicalement


bjc

24/12/2006 à 17h53

Cette Cl. 1,5 est un Pb. occlusal du à la différence de forme d’arcade entre le haut et le bas.
On reforme le haut, et on revient en Cl. I.
Tu le sais aussi bien que moi.
Tu as dit qu’on ne rentrait pas dans les détails mécaniques !
On va lasser à jouer au chat et à la souris.
Moi en tout cas.


catrose

24/12/2006 à 18h03




pour ce cas:
classe II squelettique(responsabilite mandibulaire),cl II dentaire,petite ddm,constriction de arc sup,flaring des incisives sup,face moyenne etroite,mesiodivergent
legere deviation des milieux
demande esthetique

comme je me suis damnee il y a plus d' un an, j'aurais donc traite :
premiere phase Herbst avec arc sectionnel sur sup anterieures(prescription torque maximum )
on regle la classe II et on se retrouve dans un cas simple de petite ddm
full bonding :expansion et progression d'arc classique
pas d'extraction


Picture1111 zburnd - Eugenol
saidkholoki

25/12/2006 à 08h01

Merci pour tous ces messages qui montrent que vous estes tous sensibles a cette retrogenie, et surtout votre concepte anti-extraction. Figurez vous et c'etait exactement mon point de vu de depart car j'ai pris ce cas comme un type caucasien, europeen et j'ai fait le deverrouillage necessaire sous toutes ses formes mais la mandibule n'a pas voulu avancer du tout, meme pas un mm!! Je crois que la typologie ethnique, sagittal et vertical, de cette patiente ne permettait pas l'avancement mandibulaire par contre l'avancement alveolaire, bonjour les degats!!!!! Une autre difference, dans un pays chaud une fille de 12 ans c'est comme une fille de 14 ans dans un pays froid, il ne faut pas fantasmer sur ce que je dits mais c'est la verite?!!
Voici les photos intermediaire apres: un QH, reeducation,propuleur Balters simple, multi-bague avec el II ancrage maxi bas, mini haut avec le trace. La maman et la patiente n'etaient pas d'accord du tout! Je comprends tout a fait leur point de vue... A suivre

Picture1 pvviml - Eugenol
Picture2 ghm9hp - Eugenol
Picture3 yvnauf - Eugenol
Picture4 pk0wos - Eugenol

Picture1111 zburnd - Eugenol
saidkholoki

25/12/2006 à 08h19

Pour finir j'etaits oblige de changer mon plan de traitement et accepter la solution par extraction de 4X4 et finir en classe I dentaire et legere tendance de classe II squelletique. L'ensemble du cas est tres acceptable, la patiente est tres contente, son sourir pas mal du tout, meme si ce n'est vraiment mon point de vu!!! Mais voila un cas ou j'etaits oblige d'extraire pour des raisons multiples, morphologie ethnique, maturation precoce, demande esthetique de la part de la patiente, des erreurs mecaniques de ma part? peut etre bien mais ca s'est passe comme ca... voici les photos

13 ipxuzs - Eugenol
14 f0gqim - Eugenol
15 myewxj - Eugenol
16 d66e2q - Eugenol

Picture1111 zburnd - Eugenol
saidkholoki

25/12/2006 à 08h25

Suite et fin.
Il faut preciser une chose: Suivre un cas sur le forum ce n'est pas pareil comme vivre ce cas pendant le traitement. Le sourir fige sur photoo n'est pas aussi expressif et reel comme en clinic. La pression mise par les parents parfois est tellemnt forte qu'on finit par ceder.
Voila la fin de l'histoire...

17 hfdocf - Eugenol
18 aotm1c - Eugenol

12