Cookie Consent byPrivacyPolicies.comEn cas de beance! - Eugenol

En cas de beance!

Picture1111 zburnd - Eugenol
saidkholoki

25/12/2006 à 19h43

Bonjour a tous ,
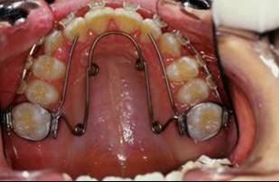
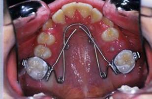
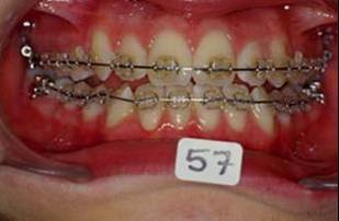
En fouillant dans mes cas j'ai trouve celui ci qui presente une beance assez importante. Je me suis rappele qu'un certain message etait lance il y a qq temps a propos d'un enfant qui presente une beance et de savoire comment faire dans ce cas. Je pense qu'il est interessant de voir comment les uns et les autres prennent en charge ce type de cas. Il s'agit d'un fille de 12 ans, succion de pouce, interposition linguale totale, beance de molaire a molaire, respiration mixte, incompetence labiale au repos, fonction labiale serree. Le total quoi!!! Voici la premiere serie de photos

Picture1 ppdqbd - Eugenol
Picture2 f5d9pu - Eugenol

Picture1111 zburnd - Eugenol
saidkholoki

25/12/2006 à 19h45

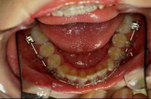
la suite de documents, comme vous allez le voir le premier moyen est un qh, mais quelle sera la suite?

Picture5 ioz6uj - Eugenol
Picture6 wo7mu3 - Eugenol
Picture7 w40jk2 - Eugenol
Picture8 g62tlj - Eugenol

Picture1111 zburnd - Eugenol
saidkholoki

27/12/2006 à 06h44

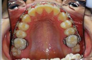
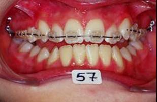
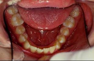
Puisque pesonne ne veut donner son avis, je vais vous montrer ce que j'ai fait.
1- RDV 1: QH
2- RDV 2 : Commencer avec ecran buccal + exercice de respiration
3- Quant elle est capable de garder oral screen toute la nuit je considere que la batail est gagnee
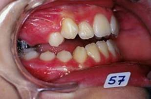
4- Collage de l'arcade sup, presque 6 mois apres et voici le photo apres seance de college

Picture9 lvo5uh - Eugenol
Picture10 bt1tw2 - Eugenol
Picture12 ywqavc - Eugenol
Picture11 uvzxqv - Eugenol

Picture1111 zburnd - Eugenol
saidkholoki

27/12/2006 à 06h52

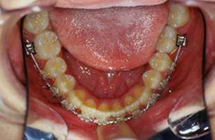
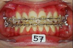
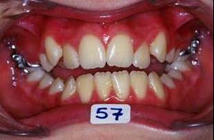
Suite de cas:
J'ai oublie de signaler que depuis RDV 4 une reeducation linguale, au cabinet faite par moi-meme, a commence.
Collage bas fait presque 3 mois apres le haut, avec des elastiques verticaux pendant 3 semaines seulement. Et voici les photos, la suite je vous en passe car il s'agit de simple finition.
Les ponits forts dans cette reeducation sont: maitriser la respiration, reformer le maxillaire, une cooperation extra et une simplicite du system utilise. Merci pour votre attention et a la prochaine... Bonne annee 2007 a tous
P.S. photos au moment du collage bas

Picture13 yhisl7 - Eugenol
Picture14 lixvff - Eugenol
Picture15 r9m4jw - Eugenol
Picture16 qvcxzf - Eugenol

Picture1111 zburnd - Eugenol
saidkholoki

27/12/2006 à 06h54

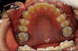
suite et fin c'est promis!

Picture17 pgxtoc - Eugenol
Picture18 hrkekd - Eugenol
Picture19 jv2ac9 - Eugenol
Picture20 gykaqx - Eugenol

limlim

27/12/2006 à 13h34

C'est juste le commencement de l'histoire surement pas la fin.

C'est dangereux de croire au pére noel en orthodontie.


Avatar transparent iqadnc - Eugenol
adhoc

27/12/2006 à 14h19

Beavo, said_,c'est tres beau; 3 semaines seulement d'élastics verticaux,n'est ce pas un peu léger dans la durée? (Une hypercorrection n'est elle pas nécesssaire?)
Belle iconographie, félicitations.


dento sofiene

28/12/2006 à 16h58

est-ce que les elastiques verticaux dans ce cas ne vont pas augmenter d'avantage la DV?


Picture1111 zburnd - Eugenol
saidkholoki

28/12/2006 à 17h16

En realite les choses etaint deja dans le bon sens des le RDV du collage mandibulaire, si vous regarder les photos 13 et 14, la beance etait deja presque fermee, les elastiques etaient pour eviter que cela ne recidive. Donc le but n'etait pas d'egresser les dents pour fermer la beance mais plutot empecher les deux arcs de s'eloigner.
Comme je l'ai dit, je les ai utilise pendant 3 semaines seulement au moment du collage du bas, apres rien. Les dernieres photos sont presque 3 mois apres le collage du bas et l'arret des elastiques et la beance n'a pas recidive.
Oui dans certain cas je crois au pere Noel quand je trouve cliniquement que les choses marchent dans le bon sens et le sixieme sens clinique que nous avons tous peut indiquer que le cas est sous controle ou pas. Merci pour la question et bonne annee.


Ylfwcw979cz1jnx9gfqeaxndiuzk - Eugenol
Algi

17/01/2007 à 11h36

Said, tu peux nous montere une photo de ton ecran à langue?

Sinon, tu fais concretement quoi pour reeduquer la langue?

J'ai un cas en belle evolution depuis 6 mois, traité en SB seul, mais faudra attendre les photos.


Picture1111 zburnd - Eugenol
saidkholoki

17/01/2007 à 22h03

Salut Algi,
En effet je utilise plutot l'ecran buccal " oral screen " et je n'ai pas dit ecran lingual.il est vendu chez rmo, et j'utilise l'ecran simple dur actuellement je n'ai pas de photo mais j'en fairrai c'est promis. Quant a la langue je prefere la methode active et inter active. C'est a dire l'enfant doit apprendre a gerrer cette langue " mal eduquee " pun eln ou la langue se remet en place tant que l'eln est en place, et apres??? Je travaille avec la methode evolutive:
1- apprendre a connaitre la bonne position de la langue sans rien ou a l'aide des pastilles en choco "smarties" ou des elastiques inter maxillaires a coincer entre la langue et le palais
2- Quand la posture est plus ou moins ressentie, reconnue et controlee par le patient je commence la fonction c'est a dire la deglutition
3- pour les cas tres dificils j'utilise le eln ou j'envoie chez un kine pour amener l'enfant a un stade ou je peux continuer sans perdre trop mon temps.
Concretement c'est ce que je fais. Mais je mets la responsabilite sur le dos de tout le monde et surtout la maman.


drjeanpierre

12/03/2007 à 22h09

C un bo cas :

C une béance d'origine fonctionnelle

Comment peut on faire le diagnostic différentiel avec une béance basale héréditaire non fonctionnelle?

Comment tu fais ta réeducation linguale au cabinet est ce possible avec un qh en bouche

merci


kri

13/03/2007 à 18h54

une beance basale hereditaire non fonctionnelle, tu as des cas a nous montrer ?


drjeanpierre

14/03/2007 à 12h11

Malheuresement des cas non documentés,

En génaral ce sont des cas chirurgicaux avec ostéotomies mono ou bimaxillaire .


corinne

21/03/2007 à 23h28

desolee je dois etre moins douee que toi mais j'ai aussi eu des cas de fermeture de beance spectaculaires avec reeduaction et elastiques et eln de contention ect...
Mais 1 a 2 ans apres la fin de la contention quelle deception...je dirai que la beance reaparait au moins dans 50 % des cas
Quels sont vos avis sur la question?


tourteau

23/03/2007 à 22h04

Voici une jeune patiente envoyée à l'age de 9 ans en 2000 chez l'ortho pour agénésie de 35.45 .Celui ci diagnostique une classe 2, une proalveolie .Le traitement commence en 2001.En 2002 demande d'extraction de 15.25.75.
85.Je revois la patiente en 2004 : photos b1.b2
Puis en 2006 après une chirurgie dont je n'ai pas été informé.
A ce jour le maxillo veut réopérer : quel avis pourriez vous me donner ?

B1 gjnrxq - Eugenol
B2 2004 g7xw3n - Eugenol
B3 apres chir bjfiae - Eugenol
B4 apres chir sqhcr9 - Eugenol

bjc

24/03/2007 à 01h49

Corinne,

Je ne crois pas que
-une rééducation puisse se faire sans reformage préalable de l’enveloppe de langue, ou au minimum en meme temps
-le résulatats des élastiques soit stable, sans association à une technique de reformage, car on diminue la place de la langue
-l’ELN soit un appareil de contention

je crois donc que la 1° des choses est de faire de la place à la langue

amicalement
Bjc.


corinne

25/03/2007 à 00h36

reformage préalable de l’enveloppe de langue????
c'est travailler en brakets autoligaturant sans force de friction et cela suffit???Je n'ai pas assez de recul dans cette technique [que je pratique depuis 18 mois)pour me rendre compte si cette technique regle aussi les pbs de beance


bjc

25/03/2007 à 11h41

Bonjour,

L'age est plus important que la technique
c'est la technique qui doit s'adapter à l'age
avec préference à la simplicité

je prefere Q.H. aux techniques à friction faibles en denture mixte.

@+ Bjc.