Cookie Consent byPrivacyPolicies.comMatériau pour pulpectomie - Eugenol

Matériau pour pulpectomie

delmo

27/02/2007 à 15h20

merci
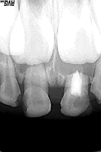
le soucis etant de decider ou non la conservation de vitalité. Dans ce cas là, l'image radio de la corne pulpaire distale n'augurait plus d'un potentiel de reparation rassurant d'autant qu'il est probable que la dent entame son processus de fonte


delmo

27/02/2007 à 16h20

c'était justement l'objet du débat: ce qu'on met dans les canaux lacteaux.
et la grande différence est la reponse da la dent de lait, qui va etre bougrement différente selon le stade ou elle en est

pour ce cas précis qui est limite, quel etait le choix?

le coiffage dentinaire: deja sur une dent de lait c'est hasardeux a tout stade, et là, a mon sens, la dent est orientée vers la rhyzalyse, quoiqu'on fasse

la pulpo; on sait que les rapport pulpo parodontaux d'une lacteale sont ingérables quasiment, sur ce cas, comment savoir le comportement de ce que tu vas laisser dans les canaux? car il en restera pas mal et la dent doit rester encore quelques temps

la pulpec: c'est le plus delicat techniquement,meme quand on pense l'avoir bien réalisée, et dans ce cas de ce matin, j'attendrais avec un peu d'angoisse

pourtant, il m'a semblé que c'était le plus sur


maintenant pour en revenir au sujet du fil: quoi mettre d'autre dans les canaux? ton tempophore est tres actif, tres resorbable rapidement aussi, et il ne serait pas bon d'y revenir régulièrement, sauf justement a le charger d'oxyde de zinc pour le rendre moins résorbable, mais quel intéret? ( c'est le meme probleme avec la pate de Walkhoff)

alors en conclusion: l'eugenate, c'est quand meme pas mal


Image odged8 - Eugenol
ploc

27/02/2007 à 16h23

lapadoué Ecrivait:
-------------------------------------------------------
> Pourquoi pas une pulpo plutôt que cette très belle
> pulpec ?

question de stade,je pense
à priori on est en stade 2 limite début 3
pas d'atteinte de la furcation et pathologie pulpaire avec nécrose

c'est tout bon?



delmo

27/02/2007 à 16h28

oui, c'était bien le stade le plus delicat a determiner, encore que meme en phase terminale de stabilité, le pronostic reste le meme

atteinte pulpaire, sans necrose cependant (heu...pour l'instant...je verrai apres mon passage!)


catrose

27/02/2007 à 23h00

tres joli delmo!
et l'eugenate c'est tres tres bien

effectivement a la radio,cas limite pulpo-pulpec
signes cliniques qui ont fait pencher la balance pour le traitement canalaire?

cpp pour la suite?
sealant pour la 6?(on aime les "traitements globaux" sur eugenol)


delmo

28/02/2007 à 09h01

oui, mais apres avoir re equilibré parfaitement le risque carieux,en pedo, je m'applique a globaliser le patient pas les seances


024 vownvo - Eugenol
annie

28/02/2007 à 14h28

une petite question,"de mon temps" on recommandait de n'obturer que l'entrée ou le 1/3 des canaux sur les dents temporaires, je vois tout le canal obturé,quelle est la tendance aujourd'hui?


delmo

28/02/2007 à 15h31

? bah, j'ai 50 ans.
mais c'est justement parceque je n'étais pas foutu de poser avec certitude l'indication, pulpotomie, "pulpotomie haute comme annie,ou pulpec) que je trouvais que l'eugenate etait le materiau de choix

pour coller au fil simplement


jazz

28/02/2007 à 23h52

Bonsoir à toutes et à tous

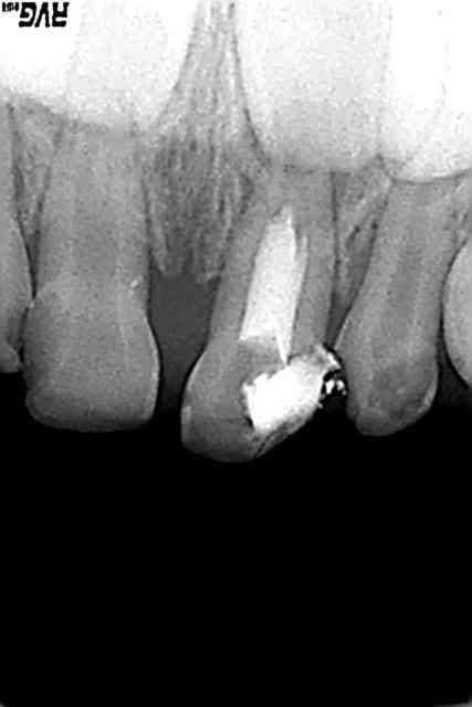
Tout d'abord bravo à Delmo pour cette excellente pulpectomie à l'eugénate.
Le problème sur cette dent était si j'ai bien compris de savoir quel était le traitement approprié?
Cliniquement il n' y a pas de signes de fistules , pas de douleurs à la percussion je pense.
Radiologiquement pas de signes de foyer infectieux.
Alors de 2 choses l'une :
Ou bien la dent est vitale et j'opte pour la pulpotomie à l'eugénate sans fixer la pulpe , ou bien la pulpe est nécrosée et j'essaie de faire une aussi belle pulpectomie que celle réalisée par Delmo.
A bientôt
JAZZ


Image odged8 - Eugenol
ploc

27/08/2007 à 16h44

obturation IRM:ça se resorbe...
patiente 6 ans 3mois,evolution normale si on compare à 51 non traitée

Ttt 61 ukgnki - Eugenol
61 suite re4pqt - Eugenol

12