Cookie Consent byPrivacyPolicies.comcarie proximale - Eugenol

carie proximale

hmg

03/01/2007 à 01h31

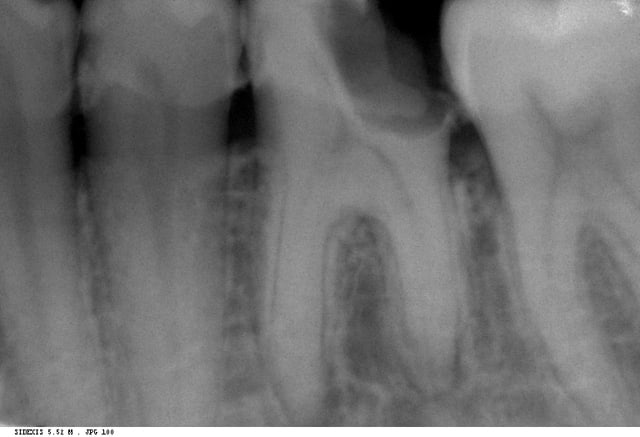
je vous envoie cette radio qui n'est pas la plus explicite des cas qui me tracassent, mais si on a une carie distale trés délabrante et que la dent avoisinante se verse mésialement de façon a combler la cavité de carie, il faut extraire ou traiter ? et dans ce cas comment se fait l'obturation coronaire convenable et la bonne restitution du point de contact ?

Carie prox fo6yrw - Eugenol

024 vownvo - Eugenol
annie

03/01/2007 à 04h36

L'extraction me semble une option bien prématurée
tu dois pouvoir la conserver cette dent,le problème n'est pas tellement le point de contact,que cette carie trop profonde pour espérer raisonnablement ne pas dévitaliser,et l'etat de calcification apparente des canaux qui laisse presager quelques difficultés de traitement
C'est mon avis,on en attend d'autres!


Squash u44zd8 - Eugenol
steph

03/01/2007 à 10h27

Le plus simple (après dévitalisation) c'est de reconstituer la dent avec un matériau comme le cvi en faisant un point de contact aussi correct que possible.

Puis tu insères entre ces 2 molaires un anneau plastique que les ODF utilisent pour ouvrir le contact avant de poser leur bague, tu laisses en place 48h.

Tu refais ton CVI, je serais tenté de faire carrément une large zone de contact pour éviter toute migration des dents.

Quand c'est stabilisé (parce que y a pas qu'une carie apparemment), tu passes à la couronne.


Grueavatar nptrc9 - Eugenol
Le Choixpeau magique

03/01/2007 à 12h41

Tu peux aussi mettre une provisoire avec un point de contact fort, ce qui te permet de te rendre compte de ton espace prothétique.


024 vownvo - Eugenol
annie

03/01/2007 à 12h43

j'allais le dire donc d'accord avec toi Choixpeau


Ylfwcw979cz1jnx9gfqeaxndiuzk - Eugenol
Algi

04/01/2007 à 14h48

S'il est aussi sensible (case couille diront certains) que moi le patient supportera pas de forcer un pojnt de contact par la methode suggérée par steph.

Donc traite la dent d'abord. Ici une reconstitution directe semble difficile et donc je ferais une coiffe (si elle est bien vivante et ne preésente pas trop de signes tu peux même tenter de coiffer en l'état, sans depulper s'entend, pas sans nettoyer la dentine ramollie). Dans ton etape " coiffe" tu te laisses au moins 2 mois de provisoire pour voir comment le pâtient gére le nettoyage proximal et pour voir comment evolue la vitalité. le provi te permettra aussi de visualiser la place dont tu disposes pour te coiffe definitive.

Si la dent doit être dépulpée c'est quasi pareil sauf que tu peux peut être mieux gérer la place disponible en distal lors de la realisation de l'inlay core et eviter ortho ou retouche de la 7.

Si la coiffe provisoire est manifestement ingérable faudra alors envisager ortho ou une coronoplastie de la dent mesialée pour recreer un espace suffisant.


Images eb1m5g - Eugenol
tonio

05/01/2007 à 00h01

heu... vu le délabrement conséquent + le potentiel de vitalité pulpaire résiduel qui doit être au ras des paquerettes, je ne me risquerai pas à tenter de garder la vitalité pulpaire.

La pulpe doit certainement souffrir un max. L'élargissement ligamentaire ne laisse rien présager de bon.

Donc bio + reonstitution à tenon de type IC (because délabrement +++ et profond) + coiffe.

Je ne vois pas comment faire autrement dans ce cas.

algi, grand fou, va! :-)


docdent

06/01/2007 à 14h21

En apical de la racine distale je me demande même si l'élargissement ligamnentaire ne serait pas un début de pathologie péri apicale non?...

Garder "vivante" cette dent me parait plus que risqué...Et je pense même qu'on a peut être une nécrose partielle. Que donne le test de vitalité?