Tous les forums
le fibroblaste est il radio opaque
03/01/2007 à 15h34
ce cas me remet en mémoire un article de charon: "le fibroblaste est- il radio opaque?"
03/01/2007 à 18h19
C'est bien joli mais entre les 2 radios, que s'est-il passé?
On aimerait savoir, histoire d'avoir les mêmes résultats.
Un petit topo, avant, diag, traitement, suivi, du concret quoi!!!
03/01/2007 à 20h22
steph Ecrivait:
-------------------------------------------------------
> C'est bien joli mais entre les 2 radios, que
> s'est-il passé?
> On aimerait savoir, histoire d'avoir les mêmes
> résultats.
> Un petit topo, avant, diag, traitement, suivi, du
> concret quoi!!!
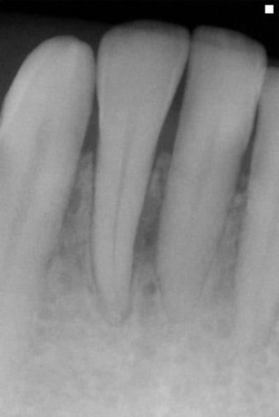
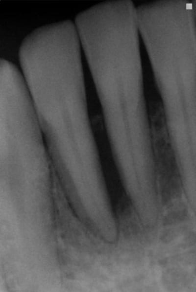
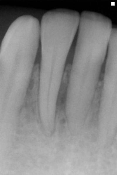
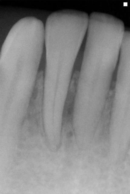
pca patient 45 ans
flore incompatible, batonnet et spirochètes
abcès vestibulaire 42
birodogyl et séances de lithotritie+ soins locaux désinfection de juin à novembre avec irrigation bétadine
zône non sondées jusqu'à guérison radio
il y a encore un an , j'aurais été très dubitatif sur l'avenir de cette dent. Maintenant, j'y regarderai à deux fois avant de porter un jugement hatif........car les fibroblastes ne sont pas radio opaques!
pour narik; oui , la rvg n'était sans doute pas sur le même réglage
03/01/2007 à 20h33
Juste une question ;
pourquoi des séances de litho sur une paro chronique?
De simples soins locaux auraient suffi, d'après ma courte expérience en tout cas.
03/01/2007 à 21h33
steph Ecrivait:
-------------------------------------------------------
> Juste une question ;
> pourquoi des séances de litho sur une paro
> chronique?
> De simples soins locaux auraient suffi, d'après ma
> courte expérience en tout cas.
appelle cela comme tu veux, il s'agissait d'obtenir une surface radiculaire permettant une guérison et une cicatrisation, de simples soins locaux n'auraient pas suffi. Parod chronique ne signifie pas qu'on n'ait pas localement des zônes plus atteintes comme c'éatit le cas chez ce patient en pal des dents max( port d'une PAP)
03/01/2007 à 21h44
hallboy Ecrivait:
-------------------------------------------------------
> pourquoi biro et betadine? ( ça fait deux reponses
> donc ).
j'envisageais un test PCR mais j'ai dû réaliser une alvéolectomie sur une molaire infectée, d'où le birodogyl
la bétadine complète le spectre des H202 et paroex des soins locaux du patient à domicile
mais je tenais juste à montrer une guérison qui me paraissait intéressante et démonstratrice
sans doute n'y aurait il pas eu la même guérison s'il y avait eu sondage initial de cette zône ou chirurgie à 4 mois (la guérison a pris 6-7mois)comme il est quelquefois recommandé en cas de persistance de lésion
03/01/2007 à 22h52
lapadoué Ecrivait:
mais PRATIQUEMENT le bon protocole qui
> tient compte "des données actuelles de la science
> "(et non des données commerciales les plus
> courantes) , c'est quoi ???
pratiquant un peu la paromed façon charon depuis un an, je ne suis pas le mieux placé ni pour te dire du quoi , du comment de cette technique ni pour donner des leçons de paro en général, je m'en garderai bien et ce n'était pas le but!
ces radio se voulaient juste une interpéllation sur des résultats spectaculaires.
Personnellement, j'ai trouvé un résultat au delà de mes attentes alors qu'une régénération osseuse au niveau d'une lésion endo ne me surprend pas ou bcp moins.
On supprime les irritants ds les deux cas, pourtant. Alors pourquoi cet étonnement?
Au delà de l'aspect histologique, y a t il une vision, une réflexion différente à avoir vis à vis de la paro?
je parle là bien sûr pour des omnipraticiens de base comme moi et pas des paros qui ont l'habitude de ces résultats
03/01/2007 à 23h50
Deuxedefrdd ( ça s'est quand le chat passes sur le clavier ;)
Donc, 2 choses:dans quels cas decides tu de rincer a la betadine, quelle concentration, avec quelles seringues? plusieurs irigants successifs?( betadine puis H2o2o puis paroex?? )
est ce que tu as des radios intermediaires? si la radio de depart et celle d'arrivée n'ont pas la meme expo ...Comme d'autre part on ne fait pas de sondage, c'est un peu difficile d'evaluer vraiment le point de depart: quand tu dis un abcés, il y avait une fistule externe? petit oedeme en goutte sur la paroi Vest? la dent etait mobile ? ne l'est elle plus+
et que se passe t il si au milieu de l'irrigation aux antiseptiques on fait glisser un cone de gutta prealablement trempé dans la javel pour mesurer la profondeur ? il peut pas y avoir de dissemination dans ce cas?
04/01/2007 à 00h04
Mettons un peu d'ordre.
Je ne crois pas que le laser ou la litho(inserts paro sur détartreurs soniques ou ultrasoniques)soient pour grand-chose dans le résultat présent : aucune spicule de tartre visible.
Si les abcès signent une activité de la lésion, la rapidité des pertes d'attache peut être qqfois impressionnante mais les gains d'attache le sont tout autant si les gestes sont adaptés.
Sur la première radio il semble bien qu'il reste une partie du septum, donc tu donnes des AB pour éviter une perte osseuse supplémentaire mais les soins locaux prennent le relais.
Mais merci à pierres de nous poster des radios.
04/01/2007 à 00h05
comme je l'ai déjà dit, loin de moi l'idée de donner des leçons en paro
je voulais juste témoigner de ce que la paro peut apporter à un omnipraticien paroconscient qui devient un peu et humblement acteur
je pense que c'est une part de notre activité délaissée où nous pouvons apporter bcp à des patients qui n'iraient pas forcément voir des exclusifs.
pour ce qui est de la technique, sans doute est ce possible autrement ( le laser sans doute), du classique ou conventionnel oui, aussi. L'important c'est que c'est possible et que nous ne devons pas nous jeter sur les daviers ou nous voiler la face et ne pas parler aux patients de leurs problèmes. on voit encore bcp trop de patients arriver avec les lésions paro terminales qui auraient pu(dû) être traitées avec succès bien avant.
pour la théorie sinon j'ai bcp appris à la lecture de "parodontie médicale" au delà même de l'image iconoclaste de Charon, c'est une mine sur les théories et tt paro en général
hallboy Ecrivait:
-------------------------------------------------------
> Deuxedefrdd ( ça s'est quand le chat passes sur le
> clavier ;)
>
> Donc, 2 choses:dans quels cas decides tu de rincer
> a la betadine, quelle concentration, avec quelles
> seringues? plusieurs irigants successifs?(
> betadine puis H2o2o puis paroex?? )
>
> est ce que tu as des radios intermediaires? si la
> radio de depart et celle d'arrivée n'ont pas la
> meme expo ...Comme d'autre part on ne fait pas de
> sondage, c'est un peu difficile d'evaluer vraiment
> le point de depart: quand tu dis un abcés, il y
> avait une fistule externe? petit oedeme en goutte
> sur la paroi Vest? la dent etait mobile ? ne l'est
> elle plus+
>
> et que se passe t il si au milieu de l'irrigation
> aux antiseptiques on fait glisser un cone de gutta
> prealablement trempé dans la javel pour mesurer la
> profondeur ? il peut pas y avoir de dissemination
> dans ce cas?
>
>
04/01/2007 à 00h22
J'étais plus intervenu depuis longtemps parcequ'on m'avait dans les hautes sphères d'eugénol,demandé de me calmer,mais je peux pas laisser passer ça.On est dans un cas typique de guérison à la Sainte Carole, priez pour nous.La radio de départ elle est pourrie de chez pourrie.Comment on peut faire un diagnostic dans ces conditions?Comment on peut affirmer qu'il y a eu guérison, s'il n'y avait pas de lésion au départ.C'est absolument n'importe quoi.Il suffit de passer ces deux images à photoshop pour se rendre compte que les niveaux ne correspondent pas,et que sur la première image on est surexposé,ce qui brûle obligatoirement certaines zones de l'image,et que sur la deuxième on est sous exposé.Dans ces conditions,c'est ni six mois,ni trois,ni un jour,c'est en une seconde que je vous obtiens autant de guérisons miraculeuses que vous voulez.Y a vraiment personne qui réfléchit ici avec sa tête au lieu de s'extasier sur rien?pierres,va faire un stage de prise de radio avant de penser que tu es devenu un parodontiste émerite.
04/01/2007 à 00h36
hahaha tu me fais toujours aussi rigoler quand t interviens benzo .
Meme si tu n y met pas les formes ta raison, sur la premiere radio on voit un defaut oseux evident masi on remarque aussi le sommet du septum interdentaire ... La preuve que la radio a été sur exposée
04/01/2007 à 00h39
et au fait , comment on peut parler de litho de spiro et de betadine Vs H2o2 avant de parler de sondage ?
04/01/2007 à 08h09
steph Ecrivait:
> Je ne crois pas que le laser ou la litho(inserts
> paro sur détartreurs soniques ou
> ultrasoniques)soient pour grand-chose dans le
> résultat présent : aucune spicule de tartre
> visible.
pour autant l'infection était bien présente et a disparu
> Si les abcès signent une activité de la lésion, la
> rapidité des pertes d'attache peut être qqfois
> impressionnante mais les gains d'attache le sont
> tout autant si les gestes sont adaptés.
>
> Sur la première radio il semble bien qu'il reste
> une partie du septum, donc tu donnes des AB pour
> éviter une perte osseuse supplémentaire mais les
> soins locaux prennent le relais.
oui bien sûr
la différence d'exposition entre les deux clichés est évidente aussi, et c'est un défaut de la présentation.
Ceci dit , cela rend intéressant à postériori l'usage des réglages contrastes pour visualiser l'os à perdre ou à regagner. Le numérique nous le permet. La question étant y a t il encore une trame ou plus rien.
Quant à certains, qu'ils soignent leurs radios avec photoshop s'ils le veulent, pour les patients cela marche bcp moins bien.
en fait sur ce cas, ce qui m'a inquiété c'est ce que je ne voyais plus sur la radio
alors que ce qui aurait dû me rassurer c'est ce qu'on y voyait encore
car même si le titre de l'article de charon est provocateur, il voulait, je pense, attirer l'attention sur cette réflexion.
C'est tout, pas plus!
04/01/2007 à 08h25
benzona Ecrivait:
-------------------------------------------------------
> J'étais plus intervenu depuis longtemps parcequ'on
> m'avait dans les hautes sphères d'eugénol,demandé
> de me calmer,mais je peux pas laisser passer ça.
tu me vois très honoré de savoir que ce petit post et ma petite personne t'ont amené à reconsidérer tes bonnes résolutions mais je m'en veux un peu tout de même de t'avoir mis ds cet état, ce n'est absolument pas voulu
pour te rassurer, je ne me sens pas parodontiste émérite. Je suis un petit dentiste de base qui commence à s'intéresser à la paro!
Je regrette juste de ne pas m'y être intéressé plus tôt car je pense que nous pouvons rendre de grand service à nos patients les moins touchés, bien sûr, il faudra tj des paros émérites pour les cas complexes et les chir de haut vol.
bonne année benzona
04/01/2007 à 10h00
benzona Ecrivait:
-------------------------------------------------------
> J'étais plus intervenu depuis longtemps
Depuis pas assez longtemps tu veux dire...
05/01/2007 à 09h58
pour ce qui est bu bouquin de CHARON" la paro med" je suis totalemnt admiratif du travail mais rendons ce qui est à CESAR, je pense que MOUTON sur la partie théorie à bien assuré...
CEPENDANT sur la couverture les deux radios ne sont pas prises avec la meme angulation!!! donc certainement pas comparables ( il n'y a qu'à regarder la projection de l'amalgame au collet de 36. certes il ya eu une amélioration mais je ne pense pas aussi impressionnante que ces images le laisse espérer.
Pour repondre à celui qui disait qu'il n'y avait pas de spicules de tartre visible sur la radio je lui rappelle qu'il existe essentiellemnt d'un point de vue histo 2 formes de tartre dont un tres peu radioopaque donc pas visible avec des générateurs classiques...
La PARO c'est facile... c'est souvent avec les cas désepérés que l'on obtient les meilleurs résultats et méfiance quand ça parait facile..
05/01/2007 à 10h19
benzona ta mauvaise foi est desespérante et en plus tu t'attaques à carole!!!! pas croyable!!!!
Bref on a une nouvelle polemique sur la qualité des radios..... si on revoient au post de depart y'avait suppuration et pi sans doute mobilités....il en est où le patient maintenant? à priori il va mieux et ça, sans radios, cest déjà un signe de guerison.
pour ce qui est de ces cas j'en ai eu aussi des qui ont bien fonctionné et j'en ai eu aussi qui n'ont pas marché.... dur dur la paro med mais toujours moins galere que d'avoir ouvert, cureté et/ou greffé et de voir tout se barrer ensuite....
06/01/2007 à 11h51
Algi Ecrivait:
>
> pour ce qui est de ces cas j'en ai eu aussi des
> qui ont bien fonctionné et j'en ai eu aussi qui
> n'ont pas marché.... dur dur la paro med mais
> toujours moins galere que d'avoir ouvert, cureté
> et/ou greffé et de voir tout se barrer ensuite....
pour montre tes dents et algi
vous venez de résumer ce que je pense de la paro depuis que je m'y suis mis
et vous remercie de me conforter dnas cette vision
plus je fouille le sujet, plus de nouvelles portes sur de nouveaux questionnements s'ouvrent,
c'est déstabilisant mais c'est tellement bon de rendre service à des patients et de refaire fonctionner ses neurones
non rien de rien, non....je.........