Cookie Consent byPrivacyPolicies.comPourquoi ça n'a pas marché?? - Eugenol

Pourquoi ça n'a pas marché??

Pébé.

08/01/2007 à 21h07

Patiente de 47 ans
La racine de 22 est fracturée verticalement
Extraction de cette dent début avril 2006
Mise en place d’un implant (Seven de MIS) début juillet :
Longueur 13mm x 3,75. Couple de serrage 45N/cm
En raison de la déhiscence osseuse vestibulaire consécutive à la fracture et à l’étroitesse de la crête, l’implant est exposé vestibulairement sur environ 7mm.
Je mets en place du Bio-oss + membrane (Ossix) recouvrant largement le matériau et l’implant. Tout se passe comme dans les livres !
Suites opératoires sans problèmes. Pas d’exposition de la membrane. Tout roule !!

Je revois la patiente aujourd’hui (donc 6 mois après) pour mettre en place le pilier de cicatrisation. J’ouvre….et oh !! stupeur !! les spires sont toujours exposées, recouvertes par une fine épaisseur de tissu de granulation : le bio-oss et la membrane se sont totalement résorbés, mais pas d’os néoformé. Comme si je n’avais rien fait !

Que s’est-il passé ?? Je ne comprends pas !! Si quelqu’un a une explication.
C’est le premier cas avec bio-oss et membrane que je traite, mais j’ai pourtant l’impression d’avoir tout fait dans les règles.
J’ai des inquiétudes pour les prochains cas à venir. Et surtout que faut-il faire maintenant.

Et surtout quelle déception!!



Blason dql7mj - Eugenol
growler

08/01/2007 à 21h42

peut être que ton matériau n'a pas trouvé de stabilité et/ou a été solicité mécaniquement (pression ou mouvement de la membrane). tu parles d'une crête mince, dans ce cas il est préférable de greffer en onlay.Il est souhaitable que le bio-oss soit déposé dans une zone physiquement limitée par des parois aussi petites soient elles pour limiter les contraintes sur le matériau.
Des membranes armées ou en titane et fixées par des pins permettent de stabiliser le matériau de greffe pour avoir des chances de regonfler une crête sans passer par de la greffe en onlay.
As tu une photo de la zone le jour de l'implantation et avant mise en place du bio-oss?

@+


Pébé.

08/01/2007 à 21h51

Non, malheureusement, je n'ai pas de photos.


carole

08/01/2007 à 22h32

des idées en plus....la vie vient du sang...avais tu fait des micro perf de la corticale latéralement à la dehissance?

si non, c' est sur que si le patient a dormi dessu... :(

si zettes sages, j' ai un cas iconographié fait en juillet, avec la photo de ctrl de fin decembre...


dr.demolay

09/01/2007 à 18h41

un petit cas ou par chance il y a eu un scan après la pose d'un implant avec bio-oss + mb résorbable juste coincée dans la vis de l'implant avec un point en bretelle, on voit bien le remaniement osseux et l'os néoformé avec un aspect différent au scan

Dscn3667 ifmnld - Eugenol
Dscn3900 fziuj3 - Eugenol
Dscn3901 ivr3bv - Eugenol
Dscn3902 duzcjw - Eugenol

dr.demolay

09/01/2007 à 18h44

il faut effectivement qu'il y ait un apport trophique, comme il est abscent en vestibulaire à cause de la mb, une cavité où coincer le bio-oss est necessaire avec des parois osseuses et non cementaires

Dscn3904 m21yjv - Eugenol

carole

09/01/2007 à 21h24

dr demolay...j'adore ce que vous faites ;)


carole

09/01/2007 à 21h27

voici la photo des micro perf de l' os nourricier, avant applic du bio oss et bio gide... (l' implant avait été posé par un confrère...ap levée du lambeau, il y a eu ttt de la surf implantaire à l' aeropo, puis réalisation des microperforation corticales, puis mise en place de la xenoG ).

Rogimplant drudln - Eugenol

Img 1744 z0evts - Eugenol
dumaille

10/01/2007 à 21h38

carole Ecrivait:
-------------------------------------------------------
> dr demolay...j'adore ce que vous faites ;)


dis donc! tu sais qu'il est marié quand meme!
non mais carole.
fais nous passer ton cas iconographie plus tot.


carole

11/01/2007 à 14h01

dumaille Ecrivait:
-------------------------------------------------------
> carole Ecrivait:
> --------------------------------------------------
> -----
> > dr demolay...j'adore ce que vous faites ;)
>
>
> dis donc! tu sais qu'il est marié quand meme!
> non mais carole.
> fais nous passer ton cas iconographie plus tot.


ben vouiii..je sais...il y a meme une descendance!!! bref...le cas icono..c'était stt pour la photo sus postée, avec mes micro perf..bon, j' envoie le reste...


carole

11/01/2007 à 14h06

LE VOIL00000UUUUUU ;)

1 hliswb - Eugenol
2 d4jvje - Eugenol
3 a1qr7o - Eugenol
4 aew4ea - Eugenol

carole

11/01/2007 à 14h07

et...

5 ro2vxw - Eugenol
6 qvjrcv - Eugenol

Img 1744 z0evts - Eugenol
dumaille

11/01/2007 à 14h20

merci Carole mais comment es tu sur que tu as bien de l'os ou du tissu granuleux comme notre ami PéBé.
et d'ailleurs penses tu que cela change grand chose?


carole

11/01/2007 à 19h37

dumaille Ecrivait:
-------------------------------------------------------
> merci Carole mais comment es tu sur que tu as bien
> de l'os ou du tissu granuleux comme notre ami
> PéBé.
> et d'ailleurs penses tu que cela change grand
> chose?


Je vais demander la prochaine fois au patient s'il veut bien une biosie ;)

en attendant, hier, j' ai réouvert jusqu'à la fenetre du sinus avant de poser des implants dans un lift que j'ai fait il y a 9 mois...et c' était de l' os très compact, avec des belles particules de bio oss qu'on pouvait legerement gratter en surface...j'ai eu un blocage à 15 newton dans l' implant médian du sinus ou il restait un tout petit mm d' os en crestal...bref, c'est pas nouveau, et bcp + simple et predictible que dans le cas présenté par Dr Demolay...je dirais que c' est un cicatriciel de bio oss et coagulum sanguin de type osseux vascularisé...un presque os dur, qui saigne au forage...mais sans histo de chaque cas...
alors, dans cette apposition...que dire...je ne sais pas ce que j' ai ..Certes, et dans tous les cas, l' interet est d'avoir un meilleur aspect des tissus mous, ce qui est indégnable, et qui signe, au moins, une bonne santé de ce qu'il y a dessous...et meme le scan, il veut pas dire grand chose car, j' ai notemment un cas magnifique en photo et scan, et qui est bcp moins valorisant si on plante la sonde dedans...

ces ttt permettent de rester humble à vie, car on a régulièrement des surprises...enfin...ça reste à mon sens un ttt génial, mais non préductible à 95% ...


carole

11/01/2007 à 19h52

dumaille Ecrivait:
-------------------------------------------------------
>
> et d'ailleurs penses tu que cela change grand
> chose?


oui, ça change grand chose quand meme s'il n' y a pas bcp d'ancrage osseux apical ou latéral de l' implant ;)
ici, l' implant avait été posé il y a 9 mois par un confrère, qui avait ensuite mis un pil def avec la prov visible sur la première photo 4 mois avant mon ttt, et radiologiquement et cliniquement, ça se passait bien, hormis ce pb vestibulaire...
il me semble que le top eu été une mbrane Ti le jour J avec du 2 tps chir, ou au moins du bio oss biogide le jour J...ou encore mieux, un bone spleeting en piezzo, mais je ne sais pas faire...et il semble que le chir qui a posé non plus ;)


carole

11/01/2007 à 20h00

Voici l' autre cas dont je parlais...où scan et aspect sont top,mais où la sonde montre que ça reste un matériau cicatriciel non réellement ossifié, peu dense...par contre,c'est vrai qu' il maintient le volume, reste parfaitement intégré, et joue son role esthétique...
quid dans 15 ans?

1 crurnp - Eugenol
2 ndxx5v - Eugenol
3 ghbc8z - Eugenol

Bouddha 2 wmj1zk - Eugenol
HAIG

13/01/2007 à 16h46

Regardes ds le livre de Franck RENOURD , le premier il y a un cas de deux implants en place de 11 et 21 avec fracture du rempart alveolaire . Le cas est un peu dispersse ds le livre mais tu verras le resultat il est assez joli . Et je pense que cela repondra a tes questions .

Bye


pascalux

13/01/2007 à 17h04


Dans un cas comme ça, je préfère maintenant prendre un peu d'os au foret broyeur n'importe où selon le scan et le déposer sur le filetage sans mettre de membrane!

Quelqu'un a t il du recul et de l'expérience sur cette façon de faire?


gerard

15/01/2007 à 08h03

ton protocole est excellent et évite tous les biomat qui ne sont que ostéoconducteurs; donc os autogène + périoste, pourquoi s'emm... la vie?
maintenant le cas de Pébé nous est tous arrivés a des degrés divers; je pense qu'un certain nombre de facteurs de risques doivent nous rendre prudents pour les pronostics de rog: ici présence d'une fracture verticale donc infection osseuse probable, délai court entre exo et implantation avec un os surement peu réactif, présence d'une crete mince , ce qui implique une vascularisation pas forcément suffisante pour le défaut, un défaut important, donc capacité de l'os a coloniser le biomat insuffisante,et déja cité une possible mobilisation du greffon sous la membrane.
malgré les qualités indéniables des membranes résorbables actuelles , ce qui semble émerger des publications est
on a beaucoup d'os a remplacer = os auto+++ et biomat--
on a peu d'os a refaire= os auto + et biomat+++ ;
pour avoir eu plein d'emm... avec les biomat en ROG j'utilise aujourd hui le maxi d'os autogène et le minimum de poudre machin truc qui ne sera jamais qu'ostéoconducteur a la limite.

qui ne tente rien n'a rien, alors Pébé bravo de parler de tes cas qui n'ont pas marché et continue sans te prendre trop la tete avec cet incident de parcours.
amicalement


carole

15/01/2007 à 09h37

100% ...et merci de nous faire partager tes questions..et de presenter ce cas qui a du éveiller bcp t'attention, stt chez ceux qui lisent, mais n'ecrivent pas tjrs...


Pébé.

01/02/2007 à 19h44

J’Y COMPRENDS PLUS RIEN !!!
J'avais lancé cette discussion parce que j'avais été déçu par un cas que j'avais réalisé dans les règles et qui n'a pas marché.
Et voilà qu'aujourd'hui, je vois un patient sur lequel j'ai fait une intervention qui était vouée à l'échec et qui a donné un résultat inespéré.
Patient 63 ans, 26 - 27 absentes et 24 à ext.
Mise en place de 3 implants Seven (MIS) en juillet 2006.
Au niveau de 27, je n'ai que 8mm sous le sinus, je fais donc un Summers avec de l'os autogène et du bio-oss.
Au niveau de 24, ext et mise en place immédiate de l'implant. La dent extraite étant en position très lingualée, la table osseuse vestibulaire présente une dépression assez marquée, surtout par rapport à la bosse canine voisine, ce qui risque peut-être de donner un aspect inesthétique au final , mais bon! tant pis! je suture le tout.
Et puis, je m'aperçois qu'il me reste pas mal de bio-oss non utilisé. Je me dis qu'au prix que ça coûte, ce serait idiot de le gâcher. Alors, je me suis dit qu'on allait donner un peu de volume en vestibulaire de 24. J'ai trouvé un passage latéralement entre 2 points de suture et j'ai littéralement "fourré" tout le bio-oss restant en regard de 24, mais sans aucune conviction.

Et aujourd’hui, j’ouvre pour mettre les piliers de cicatrisation, et je découvre sur la 24 une épaisseur de 4mm d’os superbe(du vrai os, pas un tissu néoformé quelconque) sur la table osseuse vestibulaire qui ne faisait que 2mm au départ, comme si on avait fait une greffe en onlay. Et en plus la vis de couverture était partiellement recouverte d’os.

Tout ça invite tout de même à la réflexion !
- Tout d’abord pourquoi ça a marché, surtout avec une technique aussi nulle, sans membrane et sans perforation de la corticale?
- Qu’est-ce qu’une membrane aurait apporté de plus ?
- Est-ce que ça marcherait une autre fois dans un cas similaire ?

Je n'ai malheureusement pas de photos, mais vous pouvez me croire sur parole.
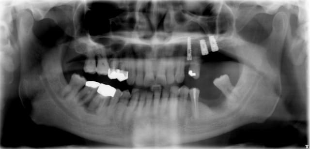
J'ai une pano après pose des implants. Ca n’illustre rien, mais c’est juste pour présenter le cas.
M... J'arrive pas à joindre la pano!



Pébé.

01/02/2007 à 19h57

voilà la pano

024 bis bgfobr - Eugenol

024 vownvo - Eugenol
annie

01/02/2007 à 21h50

j'y connais pas grand chose,mais as tu la place de mettre un implant sur 24,vu le peu de place entre 23 et 25 ? on a l'impression que l'implant 24 rentre presque dans la racine de 25,ce doit être la radio alors!


Avatar ow44t3 - Eugenol
Chicot

01/02/2007 à 22h10

Comme quoi rien n'est simple !

Ton bio oss "fourré" tu l'as mis sous le périoste qui est une membrane naturelle, dans la dépression que tu décris, il a du se sentir en sécurité, non mobilisé lors des mouvements naturelles de la cavité buccale et suffisement "nourrit" pour donner du bon nonos.

Pour ton implant dans le site de 8 mm, un summers juste avec l'os gratté, la corticale fracturé et le sang coagulé par le passage de ton ostéotome aurait suffit à mon avis.
J'en connais qui perforent sans se soucier de rien et qui mettent l'implant direct même en le laissant dépasser dans le sinus de 1 ou 2 mm, d'autre aurait mis un implant court sans pénétrer le sinus.


Marque a3 orange fyvhyq - Eugenol
Marc Apap

02/02/2007 à 00h14

Je suis comme annie, pas un spécialiste des implants. Mais j'ai lu le livre "réussir le traitement de parodontites sévères" dans lequel il est dit que les périimplantites peuvent se produire autour d'implants dans des bouches présentant de sérieux problèmes paro (et pas chez les édentés totaux qui n'ont plus les bactéries pour cela). Or, je constate sur ce cas, de magnifiques lésions de l'autre côté en bas. Il me semble que ce traitement, quoique réussi, est un peu hasardeux étant donné l'état général de la bouche. N'aurait il pas fallu l'assainir avant de poser les implants en supprimant les autres foyers ?
Je n'ai pas suivi toute la discussion, mais si le cas foiré précédemment l'a été, n'y avait il pas un pb de ce genre ?


12