Cookie Consent byPrivacyPolicies.comPourquoi ça n'a pas marché?? - Eugenol

Pourquoi ça n'a pas marché??

024 vownvo - Eugenol
annie

02/02/2007 à 00h44

tu es content que l'os se soit reformé,et je te comprends,mais pour developper ce cas,que comptes tu faire pour les antagonistes,sans être rabat-joie,crois tu que la 37 va tenir longtemps le "choc" implantaire?


Avatar ow44t3 - Eugenol
Chicot

02/02/2007 à 09h02

annie Ecrivait:
-------------------------------------------------------
> tu es content que l'os se soit reformé,et je te
> comprends,mais pour developper ce cas,que comptes
> tu faire pour les antagonistes,sans être
> rabat-joie,crois tu que la 37 va tenir longtemps
> le "choc" implantaire?


et que dire du secteur molaire inf droit .......


Nimeno

02/02/2007 à 19h26

Il faut faire attention de ne pas tomber dans la pano..........
Désolé la fin de semaine me monte à la téte....
A+


carole

02/02/2007 à 20h58

pourrais-tu poster la rx actuelle...pour voir la globalité?


Pébé.

03/02/2007 à 12h59

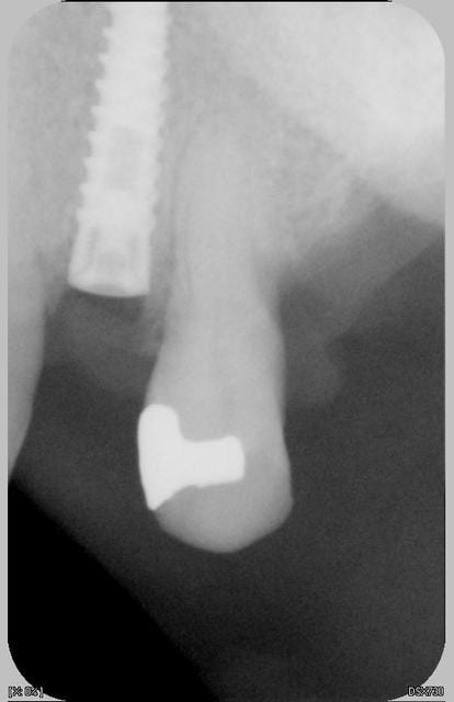
Non Annie, l'implant ne rentre pas dans la racine de 25. L'espace est étroit, mais l'implant est bien centré (voir Rx jointe).
En ce qui concerne les antagonistes, la 37 est + solide qu'il n'y parait à la Rx malgré une petite perte osseuse mésiale. J'ai réalisé un bridge 35/36/37 pendant l'ostéointégration. (l'effondrement de la crête ne permettant pas la pose d’un implant/36).

Oui Chicot, je pense que tu as raison, ce sont les circonstances particulières qui ont permis à ce cas d’évoluer favorablement, malgré une mise en œuvre + que fantaisiste. Mais je trouve que c’est assez déroutant et incohérent.

Ben, ça alors, j’avais pas remarqué le gros problème en bas à droite !!

Bien sûr Marc, tu as raison, il vaut mieux assainir la bouche avant de mettre en place des implants. Mais le patient souhaitait avoir la possibilité de mastiquer du coté droit pendant l’ostéointégration à gauche. Le RV est déjà programmé pour l’extraction de ces dents juste après la pose de la prothèse sur les implants.
En ce qui concerne le cas qui n'a pas marché, l'état buccal était parfaitement sain par ailleurs, pas de problème paro!

Carole, je prendrai un pano que je posterai le jour du retrait des points. Mais je ne pense pas que ça t’informe plus par rapport à la 1ère Rx.

016 bis anbtxs - Eugenol

alhoun

03/02/2007 à 17h11

Marc Apap Ecrivait:
-------------------------------------------------------
> Je suis comme annie, pas un spécialiste des
> implants. Mais j'ai lu le livre "réussir le
> traitement de parodontites sévères" dans lequel il
> est dit que les périimplantites peuvent se
> produire autour d'implants dans des bouches
> présentant de sérieux problèmes paro (et pas chez
> les édentés totaux qui n'ont plus les bactéries
> pour cela). Or, je constate sur ce cas, de
> magnifiques lésions de l'autre côté en bas. Il me
> semble que ce traitement, quoique réussi, est un
> peu hasardeux étant donné l'état général de la
> bouche. N'aurait il pas fallu l'assainir avant de
> poser les implants en supprimant les autres foyers
> ?
> Je n'ai pas suivi toute la discussion, mais si le
> cas foiré précédemment l'a été, n'y avait il pas
> un pb de ce genre ?


tiens marco, je vous parle d'un temps, que les moins etc....

http://www.eugenol.com/eugenol/read.php?3,41182,41300#msg-41300


carole

03/02/2007 à 19h08

c'était juste pour montrer l' evolution ;)


alhoun

07/02/2007 à 16h27

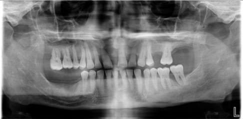
encore un cas pour illustrer qu'il ne faut pas automatiquement associer paro, et péri-implantite future.

la pano numéro un est la radio initiale.
sur la pano 2, on voit le patient après traitement paro par ma consoeur, et la pose par votre serviteur de deux implants. le résultat du traitement paro est particulièrement visible sur la dent 37.

ensuite, on perd le patient de vue un certain temps.
on le revoit aujourd'hui. progression des lésions parodontales.
quant aux implants, je vous laisse juge.


alhoun

07/02/2007 à 16h43

les panos...

Pano1 icglba - Eugenol
Pano2 olky9m - Eugenol
Pano3 zf7ba6 - Eugenol

carole

07/02/2007 à 16h55

:( la 37 ...pas glop...


024 vownvo - Eugenol
annie

07/02/2007 à 16h57

futur implant!


Avatar ow44t3 - Eugenol
Chicot

07/02/2007 à 23h23

dommage pour la 37....

pourquoi ne pas avoir mis 3 implants en 46_47 ou les avoir plus écarté pour éviter le porte à faux distal engendrant un risque biomécanique ? crête trop étroite ?


12