Cookie Consent byPrivacyPolicies.comsystème M two - Eugenol

système M two

S8ysxdzhdqgw00w4q6m07a5d47q2 - Eugenol
gai-luron

13/01/2007 à 13h26

qui utilise?

Avantages? inconvénients?

merci.

Oui, je sais, c'est concis, mais bon, que mettre de plus?
Ah oui... bon week-end.


Squash u44zd8 - Eugenol
steph

13/01/2007 à 13h31

Feignant, fais qq recherches sur ton moteur préféré.
Ou demande direct à Mark.
Bon WE aussi.


S8ysxdzhdqgw00w4q6m07a5d47q2 - Eugenol
gai-luron

13/01/2007 à 13h41

Suis pas feignant, j'ai pas trouvé...

bon, MARK, steplait....
pis tonio aussi si il veut bien...

J'ai trouvé sur le moteur de recherche...

mais bon, des trucs ou astuces, des erreurs à ne pas commettre...


Utilisateur banni

13/01/2007 à 14h57

J'utilise...
Méthode du Crown down, trés performant, élimine bien les débris, un peu bizare au début, j'utilisais le sytéme "642" avant. Plus rapide que l'ancien systéme.
Il y a un article qui résume parfaitement ça dans le Clinic de Janvier 2007, par Anne Claisse, qui bien évidemment est de ch'nord...


Pa050055 igyagy - Eugenol
mark

13/01/2007 à 19h56

L'article cité, qui m'a été recommandé par Tonio (je n'avais pas encore ouvert le Clinic de janvier...) décrit parfaitement le matériel et le protocole.

De nombreuses études citées, par ailleurs.

Je n'entrerai pas dans le ton dithyrambique de l'auteur, bien que je partage son enthousiasme mal contenu.

J'ai découvert le matériel dans Dental Products Report Europe, et l'ai commandé dès que possible en Allemagne ou il avait été présenté à cette grand'messe du matos dentaire en 2005.

Il est depuis distribué par Dentsply.

Je l'ai adopté en raison de la simplicité d'utilisation et la rapidité de mise en forme qui évite de sur-dimensionner les préparations, tout en facilitant le dégagement du tiers caméral.

Il suffit de "tracer la route" avec des limes manuelles de iso 06 à 15, selon la difficulté, puis d'"enquiller" la série en brossant les parois.

Je suis souvent surpris de la rapidité avec laquelle j'atteinds la longueur de travail dès le premier instrument (iso 10), le principe étant de travailler en élargissement et mise en forme sur toute la longueur de travail dès le début.

Pour plus de détail, lire l'article de Claisse.

Enfin, les instruments, dans les cas limites reprises de trt, butée sur insrument cassé) arrivent à se vriller à la pointe sans que celle-ci ne casse.

Pour les reprises de traitement il faut commencer avec le iso 25 en 7%, en méthode crown-down traditionnelle , en s'adaptant à la résistance du matériau et à la complexité des trajets canalaires.
Dans la gutta ça va tout seul!

Mon seul problème: il me faut finir mon stock de Flexmaster en 25mm avant de passer en M TWO que je pratique en 21MM.

Pardon pour le côté VRP, plusieurs longueurs de travail disponibles, les plus courtes étant très pratiques sur lactéales, vu que le mandrin lui aussi est très court!


Utilisateur banni

13/01/2007 à 20h13

Comme quoi ça sert d'en avoir une grande...
Tout pareil que mark donc...
C'est un peu fin au bout, et si vous avez une mauvaise assistante qui nettoye vos instruments, y faut en virer quelques une... Mais bon tout le monde n'a pas la chance d'avoir Françoise Pignon comme assistante.


Pa050055 igyagy - Eugenol
mark

13/01/2007 à 20h36

Je souscris à ta remarque, concernant la mise en forme apicale.
C'est la raison pour laquelle j'ai décidé, dans le cas des reprises de traitement et sur dents nécrosées de peaufiner l'instrumentation apicale par un passage de S3. à suivre...


Images eb1m5g - Eugenol
tonio

13/01/2007 à 20h43

gai-luron Ecrivait:
-------------------------------------------------------
> Suis pas feignant, j'ai pas trouvé...
>
> bon, MARK, steplait....
> pis tonio aussi si il veut bien...
>
>

bah, je veux bien te donner mon avis mais je ne l'ai essayé que sur 3-4 cas en rempla.

L'article d'Anne Claisse est je trouve tout de même assez objectif. Bien sûr, elle démontre une légère supériorité du M2 concernant le respect du trajet canalaire. Je pense que c'est surtout valable pour les fortes courbures, le M2 étant probablement plus flexible. Il y aurait une meilleure évacuation des débris du fait de l'espacement assez important des spires (qui contribue aussi à la fléxibilité).
Néanmoins, je pense que le protaper est encore supérieur en efficacité de coupe. Les deux systèmes étant apparemment assez proches en terme de qualité de mise en forme même s'ils ont une conception totalement différente en terme de conicité.

Le mélange des conicités du M2 fait un peu perdre son latin et n'est pas forcément logique dans sa chronologie. Le nombre de limes à passer pour arriver à une conicité apicale de 6% minimum ne va pas dans le sens d'une simplification de l'ergonomie.
Il le semble qu'il faille passer une lime de plus que le protaper (qui donne une conicité de 7% mini).
Avantage au protaper en ce qui concerne la conicité apicale donc en partie la capacité de renouvellement du désinfectant dans le tiers apical où il est facile d'arriver à 7 ou 8 voire 9%.
Dernière chose, je n'ai pas trop aimé les vibrations assez désagréables que génère le M2 lors de la descente de la lime en raison de son profil qui fait que seuls 2 points de la lime touchent le canal. Le protaper a un contact tripodique qui comme chacun le sait est toujours stable (comme un tabouret à 3 pieds), ce qui favorise le centrage de la lime dans le canal.

faudrait que je réessaye pour affiner ma "critique"... ;-)))


Utilisateur banni

13/01/2007 à 20h52

C'est sur que critiquer un systéme (critiquer dans le bon sens du terme bien entendu...)quand on a que 3-4 cas, ça fait un peu je la raméne mais bon, puisqu'il faudrait que tu réessayes...
;)

J'voudrai bien l'avis de Bjorn sur ce coup là...
;) ;)


S8ysxdzhdqgw00w4q6m07a5d47q2 - Eugenol
gai-luron

13/01/2007 à 21h13

le 25/06 est-il utile pour les endos? ou uniquement pour les RTE?

on a eu le contre-angle à 605,63 € TTC
Prix "normal"?


024 vownvo - Eugenol
annie

13/01/2007 à 22h02

narik Ecrivait:
------------------------------------------------
>
> J'voudrai bien l'avis de Bjorn sur ce coup là...
> ;) ;)
>
Ah,non tu ne vas pas nous le réveiller,laisse le dormir on a la paix!


Images eb1m5g - Eugenol
tonio

13/01/2007 à 22h24

narik Ecrivait:
-------------------------------------------------------
> C'est sur que critiquer un systéme (critiquer dans
> le bon sens du terme bien entendu...)quand on a
> que 3-4 cas, ça fait un peu je la raméne mais bon,
> puisqu'il faudrait que tu réessayes...
> ;)
>

je pense que tu as bien compris que cette "critique" correspond à mes première impressions sur le système. ;-)

Tu remarqueras que je ne fais pas que "casser" le produit, étant pourtant convaincu POUR LE MOMENT que protaper a une longueur d'avance sur les autres en ayant adapté la conicité variable. Ceci réellement remis en cause quand d'autres systèmes auront adopté ce type de conicité.

M2 possède une conicité constante avec les inconvénients que cela engendre comme le phénomène de vissage. L'espacement des spires du M2 contribue à limiter ce phénomène.

Faudrait aussi que je relise avec plus d'attention l'article pour être aussi plus "pertinent".

Mais c'est sûr que de passer du 642 au M2, ça doit te changer la vie!


Images eb1m5g - Eugenol
tonio

13/01/2007 à 23h23

tonio Ecrivait:
-------------------------------------------------------
> > Mais c'est sûr que de passer du 642 au M2, ça doit
> te changer la vie!


Moi, c'est protaper qui m'a changé la vie! ;-)))

En tout cas, c'est le système qui pour l'instant m'aide le mieux à remplir les objectifs que je me suis assigné et qui sont ceux de Schilder en terme de mise en forme canalaire.

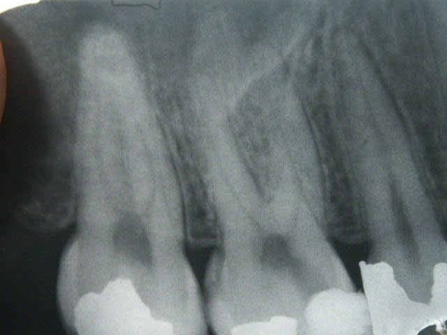
Petit endo du jour (16, 4 canaux) sur une jeune patiente (17 ans) souffrant de polycaries. J'ai entrepris un questionnaire alimentaire et une correction des mauvaises habitudes avant de me lancer dans les soins. Tout est à faire ou à refaire. Il y a une bonne quinzaine de dents à soigner, le reste est à surveiller avec beaucoup d'attention! Elle se goinfre de cochonneries avec ses copines à l'internat...
Sur un(e) patient(e) de cet âge, les 4 canaux, c'est presque bingo dans 100% des cas même si le MV2 est toujours plus difficile à trouver.

Sur la racine palatine, la fusée de ciment me fait repenser un peu au sapin de noël... :-)))

Pict0343 bvwpu4 - Eugenol
Pict0337 jyumuf - Eugenol

Utilisateur banni

13/01/2007 à 23h39

tonio Ecrivait:
-------------------------------------------------------

> je ne l'ai essayé que sur 3-4 cas en rempla.
>
> faudrait que je réessaye pour affiner ma
> "critique"... ;-)))


Je suis monté 3-4 fois dans une BMW en vacance et dans le coffre, ben je trouve qu'on est mieux dans une R5

faudrait que je réessaye pour affiner ma "critique"... ;-)))


Utilisateur banni

14/01/2007 à 12h30

tonio Ecrivait:
-------------------------------------------------------
> Mais c'est sûr que de passer du 642 au M2, ça doit te changer la vie!

J'étais passé au Protaper pendant 6 mois (soit quelques dizaines de traitements...)et je suis retourné au Hero 642 qui me convenait mieux... Maintenant j'ai adopté le M two...



Pa050055 igyagy - Eugenol
mark

14/01/2007 à 15h12

gai-luron Ecrivait:
-------------------------------------------------------
> le 25/06 est-il utile pour les endos? ou
> uniquement pour les RTE?
>
> on a eu le contre-angle à 605,63 € TTC
> Prix "normal"?
>


Le 25 à 6% est le dernier de la série pour cas simple.
Dans la plupart des cas de biopulpectomie, après catéthérisme et débridement manuel, tu utilises la série de 4 instruments:
iso 10
iso 15
iso 20
iso 25 6%

Sur des racines plus larges, tourmentées, infectées, tu poursuivras
iso 26 7%
iso 30
iso 35
iso 40

Je n'ai pas le contre-angle VDW.


Grueavatar nptrc9 - Eugenol
Le Choixpeau magique

14/01/2007 à 15h20

tonio Ecrivait:
-------------------------------------------------------

> Sur un(e) patient(e) de cet âge, les 4 canaux,
> c'est presque bingo dans 100% des cas même si le
> MV2 est toujours plus difficile à trouver.
>
> Sur la racine palatine, la fusée de ciment me fait
> repenser un peu au sapin de noël... :-)))

Superbe endo !
Comment fais-tu pour obtenir une telle préparation ? Protaper uniquement où ajoutes-tu d'autres instruments dans la séquence (gates ?) ?
Perso quand j'arrive à la LT avec ma séquence, j'ai beau brosser tout ce que je peux, j'ai l'impression que ça polie plus que ça ne prépare.


Squash u44zd8 - Eugenol
steph

14/01/2007 à 15h51

J'ai la même sensation que Chap, et mes préparations apicales ne donnent pas l'image de la radio de tonio.
J'alèse à LT jusqu'au F2.


Bjorn

14/01/2007 à 20h58

Pourquoi aller systématiquement jusqu'au F2 steph?


Squash u44zd8 - Eugenol
steph

14/01/2007 à 21h34

Réflexe acquis par l'utilisation intensive des Profile en association avec les thermafil 30/100è.

Les meilleurs résultats, à la radio, me faisaient utiliser le 25/100è à LT puis un step-back jusqu'au 40/100è (on peut être jeune et rester marqué par la préparation manuelle).

Le passage au protaper, essentiellement pour des raisons de gain de temps, ne m'a pas fait changer cette habitude d'autant que les protaper que je casse sont les F3 ; je le sutilise donc avec encore plus de prudence dorénavant.


Bjorn

15/01/2007 à 13h31

Je voulais dire pourquoi ne pas s'arrêter au F1 lorsque la lime de 20 ne dépasse pas la LT?


Utilisateur banni

15/01/2007 à 14h13

Moi, à F1 j'arréte...


S8ysxdzhdqgw00w4q6m07a5d47q2 - Eugenol
gai-luron

15/01/2007 à 14h21

t'as vu la nouvelle F2007 ?


Pa050055 igyagy - Eugenol
mark

15/01/2007 à 14h23

... il n'aurait peut-être pas du faire reprendre sa Xsara.
En rallye, j'aime tout! (pour rester dans le sujet...)


Images eb1m5g - Eugenol
tonio

15/01/2007 à 14h35

Le Choixpeau magique Ecrivait:
-------------------------------------------------------
>
> Comment fais-tu pour obtenir une telle préparation
> ?

je n'hésite pas à imprimer franchement un mouvement d'appui pariétal en retrait avec le S1 qui me fait 80% du job.

Protaper uniquement où ajoutes-tu d'autres
> instruments dans la séquence (gates ?) ?

gates n°3 uniquement dans ce cas précis pour diminuer un peu les contraintes puis SX après de S1. Les autres canaux SX uniquement en complément du S1.
Quand je sens que les contraintes génèrent plus de stress sur les limes, je passe le SX après le S2 pour plus de sécurité. Là, c'est le feeling qui rentre un peu en ligne de compte. Un gates peut aussi être associé en complément du S1 et du S2 mais pareil , c'est au cas par cas.

> Perso quand j'arrive à la LT avec ma séquence,
> j'ai beau brosser tout ce que je peux, j'ai
> l'impression que ça polie plus que ça ne
> prépare.
>
je change très souvent mes limes et je n'hésite surtout pas à balancer les shaping files. Ils contribuent à 90% du travail (S1,S2,SX). Pour les finishers, 2-3 A/R renouvellés une fois suffisent à préparer le 1/3 apical. Si on le fait plus, on risque de surpréparer inutilement le canal.

Je n'hésite pas non plus à bien irriguer entre chaque passage de lime. On n'irrigue jamais assez, je dois passer 3 à 4 seringues d'hypo pour une molaire. Entre chaque lime rotative, je récapitule souvent avec une lime manuelle pour assurer la bonne vacuité dans le canal tout simplement.

Dans ce cas, le MV1 a été préparé à la LT au F2, le MV2 au F1, le DV au F3, le P au diamètre 40 (finition manuelle car pas encore de F4 ni de F5 au cabinet).
Je ne me fixe jamais de diamètre minimum de préparation puisque ce qui compte c'est la conicité apicale (qui assure la circulation de l'irrigation) qui est doit être au minimum de 6% pour être suffisante. Avec le F1, on est déjà à 7%.
Donc comme le dit très justement (pour une fois... ;-) ) Bjorn, si la LT nous indique de préparer à 20, on prépare à 20. Garder un foramen étroit est aussi un des objectifs à remplir. Cela n'empèche pas d'obtenir une perméabilité apicale salvatrice (cf. micro-puffs sur la racine MV).

Merci pour ton compliment. Ma réponse te convient-elle?