Cookie Consent byPrivacyPolicies.comsystème M two - Eugenol

système M two

Bjorn

15/01/2007 à 14h44

J'ajoute qu'utiliser le F2 systématiquement à l'apex alors que le F1 suffit, c'est prendre un risque de fracture d'instrument supplémentaire (je fais le step back à LT-1 avec F2 et LT-2 avec F3, c'est peut-être aussi prendre un petit risque...)

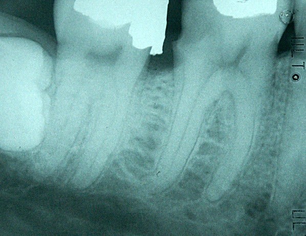
Ton endo est superbe radiologiquement Tonio.


Images eb1m5g - Eugenol
tonio

15/01/2007 à 15h02

Bjorn Ecrivait:
-------------------------------------------------------
> J'ajoute qu'utiliser le F2 systématiquement à
> l'apex alors que le F1 suffit, c'est prendre un
> risque de fracture d'instrument supplémentaire (je
> fais le step back à LT-1 avec F2 et LT-2 avec F3,
> c'est peut-être aussi prendre un petit risque...)
>

je procède également de la sorte très souvent. Le risque est certainement minimisé lorsque la lime est en mouvement perpétuel dans le canal. Le risque est augmenté si l'on reste en position stationnaire.

> Ton endo est superbe radiologiquement Tonio.

merci.


Bjorn

15/01/2007 à 15h29

Le F2 subit aussi moins de contraintes à LT-1 qu'à LT il me semble.


Images eb1m5g - Eugenol
tonio

15/01/2007 à 16h43

oui, logique.


Images eb1m5g - Eugenol
tonio

15/01/2007 à 18h52

Bjorn Ecrivait:
-------------------------------------------------------
> Le F2 subit aussi moins de contraintes à LT-1 qu'à
> LT il me semble.


En parlant de F2, c'est le dernier instrument que j'ai cassé (en avril). Deux en toute cette année.

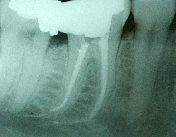
Endo sur un patient bruxomane avec une rétraction pulpaire bien marquée et des triangles dentinaires fortement prononcés.
Le F2 cassé est situé dans le canal DL de la 36 dans le crochet apical.
L'AD m'avait collé en plus une urgence qui n'en n'était pas une (patient casse pied). De ce fait, je me suis retrouvé à la bourre et un temps raccourci d'1/4h pour faire l'endo. Je speedais à mort et paf...! C'est de ma faute, trop de pression apicale + pour gagner du temps j'ai regardé la radio à la lumière du scialytique (où on ne devinait pas le crochet) au lieu du négato.

J'ai fusillé du regard l'AD car je ne souhaitais pas voir cette urgence. Avec ce 1/4 H de plus, je suppose que j'aurai évité la casse.

Si on en croit l'avis de stéphane, le pronostic d'une endo avec un instrument fracturé en fin de préparation + bonne désinfection préalable + champ op + pas de LPA préexistante + obturation étanche dans la foulée, n'est pas si mauvais, voire presque équivalent à un traitement sans instrument fracturé.

Dommage car il n'était pas moche ce traitement... (4 canaux).

On a tous ses mer...!

P.S: aucune suite post op.

Pict0151 ekzc5y - Eugenol
Pict0153 wdde8f - Eugenol

Bjorn

15/01/2007 à 19h26

tonio Ecrivait:
-------------------------------------------------------

>
> Si on en croit l'avis de stéphane, le pronostic
> d'une endo avec un instrument fracturé en fin de
> préparation + bonne désinfection préalable + champ
> op + pas de LPA préexistante + obturation étanche
> dans la foulée, n'est pas si mauvais, voire
> presque équivalent à un traitement sans instrument
> fracturé.
>

Si on suit la mouvance actuelle, il est certain que si on a déjà passé le F1 et bien irrigué avant de passer le F2 ça ne devrait pas trop poser de problèmes, assez logiquement.
En revanche, si c'est un F1 qu'on casse, d'après les concepts en vogue, le pronostic sera plus réservé (pas de conicité apicale suffisante pour bien désinfecter avec l'hypochlorite).


Images eb1m5g - Eugenol
tonio

15/01/2007 à 19h47

j'avais irrigué +++ car canaux assez calcifiés donc normalement...

bon, ce n'est pas une raison pour en casser tous les jours non plus... ;-)


WillyPertot

18/01/2007 à 15h12

Salut Tonio. J'espère que tout va bien. Super endo. Bravo.


canard59

18/01/2007 à 19h21

tonio Ecrivait:
-------------------------------------------------------
> > L'AD m'avait collé en plus une urgence qui n'en
> n'était pas une (patient casse pied). De ce fait,
> je me suis retrouvé à la bourre et un temps
> raccourci d'1/4h pour faire l'endo.


T'as pas enlevé la DDS incluse pendant que t'étais chaud-bouillant :)-:)

Pour l'endo, comme d'hab Tonio, respects ...


LACAND

18/01/2007 à 23h44

Steph, c'est quoi le step- back.


Squash u44zd8 - Eugenol
steph

19/01/2007 à 00h03

C'est la technique de préparation qui permet d'évaser ton canal de façon optimale pour obtenir le frein à la compression de gutta à l'apex.
Concrètement pour une LT préparée à 25/100è, tu utilises un n°30 à LT-1mm, puis un n°35 à LT-2mm, un 40 à LT-3mm, etc...


Images eb1m5g - Eugenol
tonio

19/01/2007 à 02h19

steph Ecrivait:
-------------------------------------------------------

> Concrètement pour une LT préparée à 25/100è, tu
> utilises un n°30 à LT-1mm, puis un n°35 à LT-2mm,
> un 40 à LT-3mm, etc...


en faisant cela, tu obtiens une conicité de 5%.

en procédant tous les 0,5 mm, tu arivves à 10% (plus difficile à réaliser bien évidemment) et là, c'est le top en terme de concité apicale!


Images eb1m5g - Eugenol
tonio

19/01/2007 à 02h21

WillyPertot Ecrivait:
-------------------------------------------------------
> Salut Tonio. J'espère que tout va bien. Super
> endo. Bravo.


Salut willy. Tout va bien, et toi?. super endo grâce à toi aussi. merci... ;-)


Images eb1m5g - Eugenol
tonio

19/01/2007 à 02h34

canard59 Ecrivait:
-------------------------------------------------------
>
>
> T'as pas enlevé la DDS incluse pendant que t'étais
> chaud-bouillant :)-:)

cela aurait pu se faire avec un peu plus de temps et d'organisation mais en rempla...

Sinon, on aurait pu faire:

séance 1 : 46 endo + RCR Cp tenon + taille + prov + polissage Ag débordant sur 47 + 48 ext DDS incluse + aménagement tissulaire entre 46 et 47.

attendre délai de cicat de 4 à 6 semaines pour bonne stabilité gingivale.

séance 2 : 47 dépose Ag + emp 47 inlay et 46 CCM.

séance 3 : 46 pose CCM + 47 pose inlay Cp.


Mais faut être chaud-chaud bouillant!!! ;-) et avoir un protho tip top et un bon champ op!

>
> Pour l'endo, comme d'hab Tonio, respects ...

ci-mer!


WillyPertot

19/01/2007 à 13h20

steph Ecrivait:
-------------------------------------------------------
> C'est la technique de préparation qui permet
> d'évaser ton canal de façon optimale pour obtenir
> le frein à la compression de gutta à l'apex.
> Concrètement pour une LT préparée à 25/100è, tu
> utilises un n°30 à LT-1mm, puis un n°35 à LT-2mm,
> un 40 à LT-3mm, etc...

Juste une petite précision concernant le Step-Back. Techniquement, c'est comme tu décris (et comme le décrit Tonio plus loin) mais le but ultime n'est pas de compacter la gutta, c'est plutot une conséquence. Le but est d'obtenir, grace à la progression des diamètres de pointe des instruments, une conicité apicale qui permettra un bon nettoyage par un renouvellement de l'irrigant. C'est le but principal de l'endo. Au moment de l'obturation, cette conicité aura pour conséquence la possibilité d'une compaction de la gutta, et la transformation des pressions verticales en composantes latérales qui permettent une bonne obturation tridimensionnelle et étanche.


024 vownvo - Eugenol
annie

19/01/2007 à 16h31

l'accès étant de longueur différente selon que la dent est intacte ou diminuée pour préparation coronaire , ,ou réduite à sa plus simple expression,pour IC ou richmond,
des différences de calibrage?


canard59

19/01/2007 à 22h01

tonio Ecrivait:
> ci-mer!

Pasqua !
>



LACAND

20/01/2007 à 00h59

Merci steph j'ai appris quelque chose.


ben

20/01/2007 à 12h11

Et un grand merci à annie pour sa précieuse question. J'attend la réponse avec une grande impatience.


Grueavatar nptrc9 - Eugenol
Le Choixpeau magique

20/01/2007 à 19h45

Annie pour les incisives il faut prendre les limes vertes, pour les prémolaires les roses, pour les molaires les noires... Si le patient est un homme, tu utiliseras une couleur plus foncée, si c'est une jeune fille tu privilégieras les roses.
Attention, si tu utilises une lime noire sur canine où le stop s'arrête en juxta-gingival, tu as un risque de percer le globe oculaire, c'est très dangereux !
Pour éviter cela certains spécialistes vont jusqu'à mesurer la longueur de leurs limes: 1, 2 ou 3 cm.... Là aussi, jeune fille plutôt 1cm, grand gaillard où animal, plutôt 3.


Bjorn

20/01/2007 à 19h48

mdr


024 vownvo - Eugenol
annie

20/01/2007 à 21h05

Choixpeau,c'est très drole mais je pense que tu n'as pas compris ma question
j'attends une réponse de celui ou celle qui la comprendra,plus envie de tout développer
PS: et si elle est idiote n'en parlons plus!
il est évident que je ne parlais pas de la longueur ,mais de l'abord de l'évasement,c'est peut être également idiot,mais un peu moins que de tes insinuations sur les longueurs d'obturation,merci pour le cours!


Grueavatar nptrc9 - Eugenol
Le Choixpeau magique

21/01/2007 à 19h14

Annie, ne le prend pas mal c'était juste pour le fun. Par contre j'avoue ne toujours pas avoir compris ta question.


024 vownvo - Eugenol
annie

21/01/2007 à 19h45

non,reflexion faite,pour le step -back en tout cas,ma question doit être idiote,puisque de l'apex vers la couronne quelle soit la longueur de la dent la conicité dans la racine est la même


Utilisateur banni

21/01/2007 à 20h58

annie Ecrivait:
-------------------------------------------------------

de l'apex vers la couronne quelle soit la longueur de la dent la conicité dans la racine est la même

Moi non plus je ne parle pas le "annie"...