Tous les forums
parodonte réduit... Et alors?
18/01/2007 à 23h56
La pensée du jour.
Ce n'est un secret pour personne la paro me branche.
Au début de mon exercice, je me voyais bien m'orienter vers une activité centrée sur les parodontes réduits et les moyens d'y remédier (paro pure, prothèse, ODF).
Je trouvais l'effort intellectuel du plan de traitement et la technique plutôt stimulant.
Mais tu sors de la fac, tu te prends de plein fouet des conf avec des thèmes volontairement provoc (extraire ou conserver, la paro est morte, paro ou implanto,...), bref tu découvres que les implants ça existe!!!
Mais ce n'est plus tellement le médical qui dicte sa loi mais la biomécanique.
Et là, tu remets tout en question.
En est-on effectivement "réduit" à faire du préventif avec l'ODF ou du curatif avec l'implanto.
C'est volontairement simpliste aussi.
La paro, je pense à la muco-gingivale, est-elle un faire-valoir de la prothèse?
La paro est-elle encore une discipline à part entière? (10% de parodontites agressives dans la population)
La paro est-elle encore attractive?
19/01/2007 à 21h06
puisque tu tentes les questions provocatrices allons y?
plutôt que de motiver les patienst à une hygiène et à des soins locaux ne vaut il pas mieux extraire et poser des implants bcp plus rémunérateurs???????
les cardios doivent ils laisser leurs patienst ds des habitudes néfastes et attendre pour les traiter qu'ils en soient aus stade de chirurgie ou prothèses cardiaques sous prétexte que ceux ci sont satisfaisant techniquement et plus rémunérateurs steph Ecrivait:
-------------------------------------------------------
> La pensée du jour.
>
> Ce n'est un secret pour personne la paro me
> branche.
> Au début de mon exercice, je me voyais bien
> m'orienter vers une activité centrée sur les
> parodontes réduits et les moyens d'y remédier
> (paro pure, prothèse, ODF).
> Je trouvais l'effort intellectuel du plan de
> traitement et la technique plutôt stimulant.
>
> Mais tu sors de la fac, tu te prends de plein
> fouet des conf avec des thèmes volontairement
> provoc (extraire ou conserver, la paro est morte,
> paro ou implanto,...), bref tu découvres que les
> implants ça existe!!!
> Mais ce n'est plus tellement le médical qui dicte
> sa loi mais la biomécanique.
>
> Et là, tu remets tout en question.
> En est-on effectivement "réduit" à faire du
> préventif avec l'ODF ou du curatif avec
> l'implanto.
> C'est volontairement simpliste aussi.
> La paro, je pense à la muco-gingivale, est-elle un
> faire-valoir de la prothèse?
> La paro est-elle encore une discipline à part
> entière? (10% de parodontites agressives dans la
> population)
> La paro est-elle encore attractive?
19/01/2007 à 21h33
Merci de ne pas répondre à une question par une autre question, ça n'avance pas.
Dis-moi ce que tu penses ou fais chez toi.
Mais le peu de réactions est déjà une réponse en soi.
19/01/2007 à 23h47
steph Ecrivait:
-------------------------------------------------------
> Merci de ne pas répondre à une question par une
> autre question, ça n'avance pas.
> Dis-moi ce que tu penses ou fais chez toi.
> Mais le peu de réactions est déjà une réponse en
> soi.
j'essaye de rendre service à des patients, qui ne seraient pas forcément allés voir un paro
20/01/2007 à 00h09
Steph ....la parodontie interesse peu de praticiens surtout la paromed .. il n’y a qu’à voir le nombre d’intervenants et le nombre de post laissés dans cette rubrique .......depuis 2 mois ou le nombre de personnes qui ont vu ton post .....quelques passionnés ou égarés ...
L’implantologie géré en grande partie par les paro depuis 20 ans qui avaient peurs qu’on leur piétine dans leur plate bande a pris le pas .c’est un comble pour eux qui voulait garder les dents au départ. ils sont plus implanto que paro pour moi maintenant mais ils ont vendu leur ame quelque part ....
les praticiens sont beaucoup plus branchés vis boulons clés à cliqué etc que cellules et microbiologie mondes beaucoup plus complexes , trop complexes pour de modestes dentistes sans doute ( c’est dur le fondamental !) et surtout moins rentables et moins valorisant......et pourtant car je connais le monde des sports mécaniques Tous les mécano seraient capables de faire de l’implantologie ...et mieux que beaucoup d’implantologistes ( j’en connais qui travaillent en permanence dans le micron sur marbre dans les athmosphère hypercontrôlées alors... )
la parodontie ne doit et ne devrait pas etre rattachée à l’implantologie puisque parodonte suppose la présence de dents !
on ne doit pas parler de paro implantologie mais de parodontie et d’implantologie .Il faut differentier totalement les deux ......sachant que l’implantologie n’a pas d’avenir possible car la vraie finalité est soit de refaire le parodonte soit d’implanter une vraie dent ...si au moins les implanto savaient recréer un parodonte ...déjà ce serait bien
je suis sur que depuis 15 ans on enlève globalement plus de dents depuis qu’il y a les implants qu’avant et le pire c’est que beaucoup d’implantologistes manquent certainement de rigueur et d’approche globale et qu’il y a un décalage entre ce que font ceux qui sont des habitués des plans de traitements complexes et tout le toutim de ceux qui pratiquent l’implanto de façon occasionnelle sans tout maitriser . Combien d’implants en france sont posés sans que le contrôle de plaque soit parfaitement maitrisé , sans même que les gingivites ou les parodontites soient maitrisées avec le recul nécessaire et en tenant compte des facteurs de risques .
on nous parle de microdentisterie et de conservation de l’organe dentaire en grande pompe et avec beaucoup de frime et a coté dès qu’une dent a perdu un peu trop de son parodonte .. pfffft on enlève et on met un implant alors que l’on devrait le plus possible etre conservateur car le meilleur des implants reste pour moi la dent .Il est préférable de mutiler un sourire parfois pour seulement des raisons esthétiques car même beau sans dent le sourire n’est qu’artifice. Bon il est vrai que le paraitre prévaut sur le reste dans nos monde dits civilisés .
je suis sur que le budget recherche est plus important pour l’implantologie que pour les recherches sur les facteurs de croissance cellulaire et la recherche pour régénérer le parodonte ....parce que le marché est beaucoup plus porteur .Depuis 17 ans je suis capable de guerir parfois de façon spectaculaire les pires infections ( je n’y arrive pas toujours helas ) et depuis 17 ans j’attend que l’on me donne une solution pour régénerer ad integrum ensuite le parodonte perdu .... cela serait tellement plus noble et plus valorisant à mes yeux que d’avoir dans la machoire des vis une véritable quinquallerie métallique que certains patients refusent d’ailleurs car à bien y penser sur le long terme ces corps etrangers .....moi cela me fait peur !
J’ai eu honte longtemps de ne pas m’interesser aux implants ( je délègue ) simplement parce que le concept ne me plaisait pas même s’il rend service ...car initialement je me suis interressé à la paro pour ses aspects biologiques et non mécaniques ma formation étant plus du domaine normalement du biologique que du boulon ...
alors ensuite que l’on me parle de chirurgie plastique parodontale ( terme gonflant au possible ! ) cela interesse d’avantage de praticiens toujours par l’aspect technique ....c’est vrai moi j’aime bien c’est sympa à faire et je pratique parce que je restaure le parodonte et c’est beaucoup plus dans mes concepts mais bon faire une greffe conjonctive enfouie c’est pas si compliqué que cela .
alors moi je rejoins Pierre ( coucou et excuses moi pour ne pas avoir repondu à ton mail privé car je suis devenu le vieux dinosaure de la paro et j’en ai assez ) il est tellement plus important surtout pour les jeunes de les former aux bases de prévention et d’action visant à mieux prendre en charge et à aider les patients que de leur apprendre à détartrer en fac comme on le fait encore je suppose comme il y a 20 ans ...et c’est vrai qu’il y a un décalage entre la fac et les cours privés chers et payant
il y a surtout beaucoup d’hypocrisie derrière tout cela entre le prof qui ne veut pas tout dire ( et il n’a pas forcemment tord car il faut avoir acquis certaines choses aussi ) et le grand communiquant qui vous prend 2 à 3000 euros pour faire le complément .... ( et casse le prof de fac ) finalement chacun s’y retrouve le prof de fac par son aura auprès des étudiants et un salaire confortable et stable et le conférencier par son ego et l’argent qu’il peut faire ( beaucoup je pense ) avec son savoir faire qu’il donne parfois avec beaucoup d’honneteté (si si ) mais qu’il fait payer ....en rappelant aussi parfois tout simplement les plus élémentaires règles de bon sens .
je crois que chacun doit mettre sur la table son ou ses concepts thérapeutiques qu’il doit ensuite développer en accord avec ses concepts son activité professionnelle .....l’essentiel étant ensuite d’arriver à avoir un exercice en accord avec ce que l’on est ce que l’onveut ou voulait initialement avoir dans un environnement qui soit propice à cette pratique .
Faire de l’implanto moi cela me gene mais tant mieux si mon voisin qui aime la quinquaillerie et la prothèse le fait avec amour et efficacité ....soyons complémentaires...tu peux faire de l’ODF sur parodonte reduit si cela t’attire et si tu maitrise la technique .. ensuite le pied c’est de partager et de former d’autres praticiens à cette technique si elle marche et rend service à la profession
attention toutefois aux sirènes de la modernité et du tout dernier cri ..je m’étais battu il y a 1 an à propos du laser simplement parce que constatais que de nombreux praticiens utilisaient ce matériel sans même s’être interessé aux travaux scientifiques en comparant avec ou sans etc...le plus élementaire des scientifiques commence par cela pourtant il me semble. la il y a de vrais dangers et je trouve que mon métier sur ce plan est moins rigoureux .. nouvelles approches pas toujours bien maitrisées sur le plan scientifique car le marketing et l’argent prédominent et y arrivent parfaitement chez les praticiens sensibles au paraitre ou aux modes comme les patient parfois aussi ......laser mais aussi naturopathie par exemple ...avec un grand cours de communication derrière et hop on fait passer le tout ......attention notre patient , nos patients pourraient être nos parents nos amis ......moi je donne ce qui est fiable et a du recul
alors la prodontie ne sera attractive que si elle s’est refaire le parodonte et que si cela est un minimum technique ( ben ouais quand même nous sommes des docteurs en plus chirurgiens vous comprenez ! ) .......je rêve de pouvoir refaire un sourire avec de vraies dents un vrai parodonte sur une bouche préalablement édentée car je m’y retrouverai beaucoup plus en terme de fonction et d’esthétique et je l’espère pour quelque chose de plus durable ....Il faut aussi pour cela passer peut être par l’implantologie préalablement ...
je crois que ce rêve est possible mais il est temps que les labos de recherche prennent de vrais communiquants pour valoriser leur travaux car la clé dans tout cela est bien la communication et le savoir communiquer .....
rassures-toi la parodontie est une discipline à part entière mais elle s’est un peu égarée ou plutôt ses limites sont plus floues...
il faut la défendre et se battre pour recentrer ses objectifs qui sont de préserver l'organe dentaire dans son environnement original ........
20/01/2007 à 01h14
Je ne doutais pas réussir à te faire sortir du bois!!!
Mon post est volontairement provoc, réducteur et orienté ; le but étant de connaître les motivations et les intérêts des intervenants du forum.
Pourquoi plutôt l'implanto que la paro?
Qu'est-ce qui attire?
Et pourtant rien n'est totalement indissociable ; éliminer l'infection gingivale, puis stabiliser (contention après ODF), remplacer (implants), améliorer le sourire (muco-gingivale).
D'un côté j'aimerais maîtriser tous les aspects de la paro mais d'un autre tu tombes vite dans l'excès à vouloir tout recréer ; je viendrais sans doute à l'ODF très bientôt, mais les implants attendront et peut-être encore longtemps que je les pose.
Je suis par contre plus modéré que toi sur l'implantologie.
Je crois sincèrement que c'est ce qui nous fera avancer rapidement ; sinus lift, substituts osseux, membranes, PRF....
L'arsenal déjà présent pour la paro n'a fait que se développer avec les implants, on en arrive aux facteurs de croissance, à l'ingénierie tissulaire grâce aux labos de nos mécanos.
On implantera sans doute bientôt des clones de dents perdues, par simples cultures cellulaires avec une toute nouvelle attache.
Et même arrivés à ce stade, la paro restera une discipline à part entière ; le patient n'est pas responsable de l'apparition de sa maladie mais seulement du succès de son traitement.
20/01/2007 à 01h24
steph Ecrivait:
-------------------------------------------------------
> Merci de ne pas répondre à une question par une
> autre question, ça n'avance pas.
d'accord avec toi steph. Pour que ça avance, faut bouffer de la théorie et des cas cliniques. ça te dit si on avance ensemble?
> Dis-moi ce que tu penses ou fais chez toi.
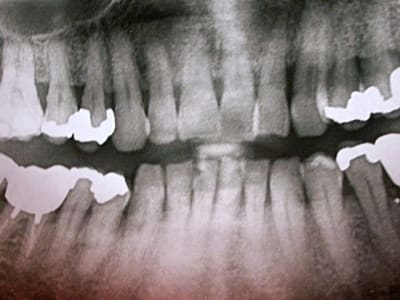
ben moi, j'aimerai bien savoir ce que tu penses de ce cas clinique tout fraichement arrivé.
patient, 65 ans, ami proche de la famille, pére d'un très bon ami d'enfance.
douleurs récurrentes au maxillaire droit à la mastication.
sensations de dents + ou - mobiles au max D et mand G.
Habitudes: visite annuelle chez son CD. a effectué les soins et prothèses conseillés. Pas de gros travaux entrepris depuis 20 ans. utilise un hydropulseur en plus du brossage (mais ne sait surement pas que son efficacité sur la PD est nulle).
Dernière visite chez son CD: 3 mois... pour la même raison. RAS tout va bien (???) + un ATB et roule ma poule... (???).
n'a plus trop confiance dans son CD...
motivation: ok. prêt à faire des kms pour venir me voir. prêt à faire de gros rdv (2H).
Je l'ai envoyé faire une pano en attendant de le voir en consultation. Bigre!!!!
premières impressions?
par quoi commencerais-tu?
plan de traitement? préférence du patient pour une solution "conservatrice".
les avis de philou, pierres et des autres seront bien acceptés de bon coeur! merci!
20/01/2007 à 01h47
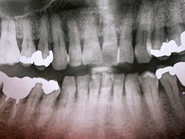
Voilà justement le genre de cas pour lequel j'aimerais savoir si l'ODF peut qqchose.
Manifestement alvéolyse horizontale généralisée, 25% de perte d'attache à 65 ans : je penche pour une parodontite chronique de l'adulte.
Traitement banal, hygiène, détartrage et qq litho.
Suffisant s'il n'y avaient pas ces facteurs aggravants que sont les pulpectomies déficientes, couronnes débordantes et mal ajustées.
Je soupçonne aussi un trauma occlusal.
Je ne doute pas que tes talents en endo permettront de sauver ce qui l'est (bonne chance pour 36).
Mais 47 est HS.
Une fois extraite que faire?
Implant?
Bridge?
ODF pour mésialiser 48? Je doute que ce soit possible.
En l'état actuel de mes compétences, connaissances c'est sûr que l'implant l'emporte.
20/01/2007 à 01h52
Ouais, l'usure occlusale est quand même flagrante.
Implant sur 47 et je crois que je me séparerais des sagesses, z'ont pas l'air catholiques.
20/01/2007 à 02h10
personnellement je tenterais une hemi section de la 47,gardant la racine mésiale,l'extraction de la racine distale devrait diminuer les problèmes paro de la 48, qui,si pas trop mobile,garderais
en attendant l'evolution,puis devitalisée et bridge provisoire 46 racine 47 reconstituée,et 48
si bonne évolution bridge définitif
Puis Tonio va se régaler à refaire les endos,
Pour le coté droit,reprise des tt de canaux et
solidarisation provisoire en attendant les éventuelles réparations osseuses
revoir articulé de tres pres,et en fonction de l'evolution des dents retraitées,revoir le plan de traitement
20/01/2007 à 02h12
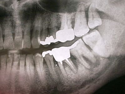
moi, c'est la 17 qui me chagrine le plus.
la racine distale de 47 est morte. Première impression: la virer, garder la racine M, petit bridge pro en résine renforcée en attente de stabilisation du pb paro et assurer calage de 48. Voir par la suite pour implant ou bridge.
37: même pas sûr qu'elle soit nécrosée. Si oui, endo assez rapidement (avant soins paro).
36, lésion interradiculaire + distale: hummm...
Déjà on commencera par la base: Bilan général + dentaire + retroalvéolaires au moins sur toutes les postérieures + OHM + modéles d'étude pour analyse occlusale.
Virer et/ou corriger en attente les soins iatrogénes.
soins conservateurs pour les récidives.
litho quand OHM sera bien maitrisée et que la gencive aura un peu récupérée.
Probléme + paro que endo. Par certain sur ce coup que l'endo apporte un gros plus même si les RTE ne feront pas de mal.
Réévaluation paro du cas après les soins conservateurs. Le temps de tout reprendre, ça va prendre un peu de temps... chir paro?
Cas typique (enfin je crois) où il est urgent de ne pas extraire, ni de se jeter sur le bistouri si on se met dans un "esprit paro" et que la compliance du patient est ok, sauf 18 (dent courte + carie M) et 17??? mais risque de déporter toutes les forces de mastication à G et c'est la 37 qui va devenir douloureuse.
T'en penses quoi?
20/01/2007 à 02h30
il a tout usé a plat? avc juste le pano, j'ai un peu de mal à juger de l'occlusion en dynamique. Il peut se mettre ne pr ou en lateralité juste sur les molaires qui ont le plus dérouillé? IL bruxe? ou plus exactement, il " Clinche" ?
20/01/2007 à 02h37
Je ne pense pas,au vu de l'état osseux pas catastrophique ,en fonction de son age ( voir secteur antérieur)qu'il y ait de problème paro généralisé,sauf aux endroits ou
les éléments néfastes ont provoqué les problèmes,donc en réparant ces problèmes et l'occlusion,il devrait y avoir une réponse osseuse favorable
20/01/2007 à 10h22
non steph je ne suis pas contre l'implanto et c'est sur elle permet d'avancer ....par contre elle pollue nos esprits parfois ......ma reponse est provoc bien sûr......
ce cas présenté par tonio est un classique .....parodontite de l'adulte surement plus facteur occlusal ( cette patiente est en béance incisvo canine surement )
il faudrait cerner un peu plus la parodontite ( facteurs de risque etc...)
toutes les solutions données sont cohérentes sauf pour 47 ...pour lequel perso l'implant n'est forcemment justifié ( pollution qui disait ) ..je suis totalement en accord avec annie garder racine mesiale et faire prothèses jumelées avec 46
pour moi 17 18 28 perdues
48 pas très interessante si 18 pas conservée en plus elle est extrusée.....faire de l'odf alourdira je pense beaucoup pour un résultat pas forcemment supérieur tout en tenant compte de l'age
tenir compte de l'occlusion
20/01/2007 à 11h04
J'éliminerais les sagesses pour les mêmes raisons, mais aux vues des pressions exercées sur les molaires restantes l'implant me semble plus apte à les supporter.
20/01/2007 à 13h03
moi j'ai des doutes ...et si tu penses implant tu dois être au plus fiable dans le secteur donc moi non je ne la garderai pas ..par contre si en face tu conserve la racine mésiale de 47 peut être alors tu peux tenter car la prise de risque est pour moi moindre...
mais alors compte tenu de l'age n'est ce pas un peu lourd .....
ensuite il faut analyser l'origine des problèmes initiaux ......qui sont locaux avec accumulation de plaque ( défaut de brossage ) plus sans doute légere malposition des dents , tassement alimentaire carie et parodontite locale plus aggravation par occlusion ....
je pense qu'après avoir tout maitrisé le problème de la surcharge fonctionnelle résiduelle me paraitra secondaire et le remplacement des secondes molaires peut être à temporiser car après tout est-ce 100% necessaire de les remplacer ....
20/01/2007 à 14h48
En dehors des secteurs postérieur, la paro semble maitrisable sans trop de probleme sur le long terme.
Le long terme, voila ce qui doit primer pour un patient auquel on a dit "tout va bien", alors que c'est la cata. ( faut pas s'étonner apres de se faire traiter de cochon de dentiste ! ).
Donc, je me poserais vraiment la question de recontruire du fiable jusqu'au 6 ( donc, ext les 7 et les 8 ), avec un éventuel implant 36 si pas possible de stabiliser la lésion inter-radiculaire.
21/01/2007 à 09h21
je suis assez d'accord avec cette vision de traitement: Rétablir la santé sur des arcades qui s'arrètent aux 6 permettrait:
d'éliminer des problèmes compliqués à résoudre.
de simplifier la maintenance et l'hygiène.
de simplifier le plan de ttt et son cout.
d'éliminer des foyers infectieux chroniques.
seul bemol: eventuelle surcharge occ sur les 6, mais avec un parodonte assaini, ça devrait fonctionner.
J'ai toujours peur de la conservation des sagesses dans les cas paro. Les soins locaux autour de ces dents sont plus qu'acrobatiques...
21/01/2007 à 11h12
Pour moi : vu que la 17 est nase, j'éliminerai 18/17/ et comme la 47 n'est pas brillante, 47 et 48 aussi, sans remplacer aucune de ces dents : 1 molaire en haut et une en bas, c'est bon.
A gauche, c'est plus délicat : extraction des dents de sagesse, et reprise de tr canalaire de 26, 36 et 37 après, bien sûr, dépose des couronnes mal adaptées, et det et préparation initiale standard.
Couronnes prov bien ajustées sur 26/36, peut être 37 mais ça ne semble pas indispensable. Et après qq mois, réévaluation pour voir où on en est.
Suivi continu tous les 4 ou 6 mois.
L'examen radio étant insuffisant en soi, on ne peut proposer plus à partir des élements fournis.
21/01/2007 à 11h16
Evidemment la solution avantageuse pour le dentiste, c'est : extraction de 17/18/47/48/36/37/ 38 et implants à la place des deuxièmes molaires + 36
Il doit bien y en avoir qui proposeraient en plus l'extraction des molaires sup avec implants à la place, après relevée de sinus.
On peut aussi imaginer la même chose, mais remplacement pas des stellites.
21/01/2007 à 12h08
la plus avantageuse, financièrement peut-etre, par s'em...der a poser derniere des six en haut, avec le manque de visibilité, le controle de plaque difficile...
Pour le mieux, c'est le plus fiable pour le patient, le plus serein pour le praticien.
21/01/2007 à 12h49
jeff Ecrivait:
-------------------------------------------------------
> la plus avantageuse, financièrement peut-etre, par
> s'em...der a poser derniere des six en haut, avec
> le manque de visibilité, le controle de plaque
> difficile...
> Pour le mieux, c'est le plus fiable pour le
> patient, le plus serein pour le praticien.
100% d'accord avec cette vision.....
22/01/2007 à 14h37
merci à tous pour vos avis et vos conseils.
Mon plus gros doute concerne la 17: si je la vire, je vais entraîner une cascade d'extractions et répercuter toutes les forces de mastication à gauche. Mais bon... elle est douloureuse (impossibilité de mastiquer + mobilité) et l'alvéolyse semble totale. Je ne crois pas que l'on pourra la récupérer. Et en laissant un tel foyer infectieux, je risque d'entraîner la perte de la 16 aussi.
Ok pour virer 18 et 28. moins chaud pour virer 38 et 48 seulement si on garde la 17.
Je pense garder la racine M de 47 car encore bien accrochée et je ne sais pas s'il voudra faire des implants.
Bien que souhaitant pratiquer plus une paroméd, je me demande si une chir paro sur la 36 ne serait pas nécessaire. un avis?
A combien de temps évaluez-vous la période de soins locaux acant litho?