Cookie Consent byPrivacyPolicies.comPetit souci sous compo - Eugenol

Petit souci sous compo

olivier

26/01/2007 à 16h26

j'ai refait un ag en compo et la patiente se plaint de vive douleur nocturnes et d'une extreme sensbilité au froid alors que je suis trés trés loin de la pulpe. J'ai démonté le compo et refait avec un fond de cavité photo (Calcimol) et rien n'y fait... Une petite radio (bon une RVG du capteur visiodent....Gad si tu nous écoutes ;-)))
Qu'en pensez vous et que faire en évitant de dévitaliser (et évidemment sans laser....)

Farh vhlnky - Eugenol

olivier

26/01/2007 à 16h27

Au fait il s'agit de la 26 et oui j'ai traité la reprise de carie en mésial (et malgré tout je reste loin de la pulpe)


Squash u44zd8 - Eugenol
steph

26/01/2007 à 16h43

La même chose m'était arrivé chez mon assistante, bien sûr.
Je peux pas t'aider puisque j'ai dévitalisé la dent.


Images eb1m5g - Eugenol
tonio

26/01/2007 à 18h23

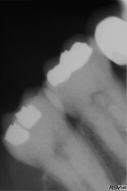
Malgré que ce soit flou, il semble qu'un pulpolithe soit présent dans la chambre pulpaire de la 26, signe d'une souffrance pulpaire chronique.

Le potentiel d' auto-réparation pulpaire arrive certainement à ses limites...

donc comme dit steph...

pas de signe fêlure MD?


Image odged8 - Eugenol
ploc

26/01/2007 à 19h14

redémontage,IRM
soit les douleurs diminuent puis disparaissent, et au bout de 4 à 6 semaines(c'est du moins le temps que je laisse),je refais le compo en laissant un fond
soit cela ne marche pas et ttt


poulet

26/01/2007 à 19h17

ploc Ecrivait:
-------------------------------------------------------
> redémontage,IRM
> soit les douleurs diminuent puis disparaissent, et
> au bout de 4 à 6 semaines(c'est du moins le temps
> que je laisse),je refais le compo en laissant un
> fond
> soit cela ne marche pas et ttt

c'est le temps de laisser se nécroser la dent (!!!!)


Logo vuaztn - Eugenol
mac

26/01/2007 à 20h18

et mon cul c'est du poulet?


canin2

26/01/2007 à 20h19

il faut faire l'endo


S8ysxdzhdqgw00w4q6m07a5d47q2 - Eugenol
gai-luron

26/01/2007 à 21h09

olivier Ecrivait:
-------------------------------------------------------
> j'ai refait un ag en compo et la patiente se
> plaint de vive douleur nocturnes et d'une extreme
> sensbilité au froid alors que je suis trés trés
> loin de la pulpe. J'ai démonté le compo et refait
> avec un fond de cavité photo (Calcimol) et rien
> n'y fait... Une petite radio (bon une RVG du
> capteur visiodent....Gad si tu nous écoutes ;-)))
> Qu'en pensez vous et que faire en évitant de
> dévitaliser (et évidemment sans laser....)


Comme chez pal...


poulet

26/01/2007 à 21h10

mac Ecrivait:
-------------------------------------------------------
> et mon cul c'est du poulet?


que c'est courtois et urbain Monsieur!!!


Image odged8 - Eugenol
ploc

27/01/2007 à 00h48

poulet Ecrivait:
-------------------------------------------------------
>
> c'est le temps de laisser se nécroser la dent
> (!!!!)

et alors? au moins tu l'as ton diag:)
>



024 vownvo - Eugenol
annie

27/01/2007 à 01h07

ploc Ecrivait:
-------------------------------------------------------
> redémontage,IRM
> soit les douleurs diminuent puis disparaissent, et
> au bout de 4 à 6 semaines(c'est du moins le temps
> que je laisse),je refais le compo en laissant un
> fond
> soit cela ne marche pas et ttt


en laissant un fond de quoi? compo sur IRM ?


Blue eye thumb medium dx1i0w - Eugenol
bill

27/01/2007 à 01h36

Les douleurs après compo sont souvent un signe de mauvaise étanchéité ou parfois etching trop long. Quel type d'adhésif utilises-tu ?


Humator t9r5wy - Eugenol
humator

27/01/2007 à 09h17

comme tonio l'a évoqué, je rechercherais une felure. Souvant dans de tel cas où je n'ai rien trouvé, j'ai attendu, sans trop savoir que faire et une fracture s'est produite. Maintenant, quand j'ai: dent hypersensible+ pas de carie+ obturation ok, je déclanche la recherche felure.


t45

27/01/2007 à 09h48

bonjour,

e, vous pouvez répaiter ça en frençé

au revoir


3f3boxni50k58rq7e9ce9ddqrxgk - Eugenol
dentiste57

27/01/2007 à 19h09

IRM

voilà le secret.

ploc a raison , si au bout d'une semaine pas de disparition alors c'est parti pour l'endo.


Marque a3 orange fyvhyq - Eugenol
Marc Apap

27/01/2007 à 20h00

Les cavités larges et peu profondes comme celle que l'on semble voir sont les formes qui provoquent le plus de problèmes en l'absence de précautions lors de la pose d'un composite.
Les douleurs peuvent être dues aux tensions dans la dent. Si les couches ont été faites horizontalement (parallèles au fond de la cavité), la contraction de prise du composite rapproche les parois vest et palat (par exemple) ce qui peut provoquer des douleurs. Il faut au contraire faire des couches obliques ou verticales, qui ne vont pas d'une paroi à l'autre, de façon à limiter les effets de la contraction de prise. Vous trouverez ces explications sur le site de Dentaltown et la conférence de Leinfelder sur les adhésifs dans la rubrique Continuing Education (évoquée dans un autre de mes messages)
D'autre part, c'est une absurdité d'utiliser des fonds de cavité photopolymérisables qui sont non seulement inutiles, mais non adhésifs. C'est une invention dérivée des visions passéistes de l'époque des amalgames et mal transposées au problème des composites. Soit on fait un fond de cavité en verre ionomère, soit on utilise un bon adhésif dans les bonnes conditions. Evidemment, ceux de 4ème génération (M&R3) sont les plus sûrs. Lire le numéro spécial Collage de l'ID qui vient de sortir, ou attendre mon article sur le même thème dans le numéro de février de l'Indépendentaire (nous ne nous sommes pas concertés pour écrire à peu près au même moment sur les mêmes sujets).
Enfin, évidemment, je rejoins Ploc et ceux qui estiment qu'un IRM en remplacement permettra de mieux voir ce qu'il en est. Cependant, une semaine est largement suffisant pour évaluer le changement s'il doit se produire, car s'il est bien dû à ces tensions mécaniques, tout doit rentrer dans l'ordre après la dépose du composite.
Référez vous d'autre part aux messages concernant les tests de vitalité (forum des idées) et à ce que j'ai également évoqué en citant le livre "The dental pulp" : le vrai test pour savoir s'il faut ou non dépulper, c'est si oui ou non, la douleur persiste ou disparaît après l'application du stimulus qui la provoque.


Pa050055 igyagy - Eugenol
mark

27/01/2007 à 20h31

C'est risquer de finir à l'IRM, mais je tenterais de refaire le composite avant d'en arriver là.
Bien sûr en l'absence de signes de pulpite:
- déposer tout le matériau
- revoir le parage cavitaire en éliminant l'éventuelle dentine pathogène ou contaminée par un toujours probable hiatus du à une photopolymérisation trop violente sur une épaisseuer trop importante de composite
- décontamination à la chlorhexidine en tamponnement durant 1 à 2 mn
- mordançage acide de l'émail
- primer dentinaire
- adhésif
-couche de flow en fond et contre-dépouilles
- apports latéraux de composite
- photo-polymérisations d'abord latérales à travers l'émail des versant internes des cuspides
- photopol. progressives centrifuges.

Je crois à un problème d'étanchéité ou de contamination résiduelle, ou acquise à la rétraction de polymérisation.

On ne peut pas exclure, sauf le respect, le cas d' un excès non éliminé d'agent de mordançage ou de primer.

Tout ça pour dire que l'IRM, c'est plus prudent, mais bonjour pour la dépose et repréparer la cavité sans reprendre la taille de tissu sain en présence de traces d'eugenol...


Marque a3 orange fyvhyq - Eugenol
Marc Apap

27/01/2007 à 20h48

Vrai pour la dépose de l'IRM, ça oblige à réaviver les parois. Mieux vaut un CVI
Attention Mark : tu dis mordançage émail et primer dentine. Pas assez clair.
La meilleure méthode est le mordançage total émail + dentine et un M&R3 ou bien si je te suis, mordançage émail exclusivement et automordançant partout (n'oublie pas que tout le monde n'utilise pas comme toi le Clearfil SE Bond)


Pa050055 igyagy - Eugenol
mark

27/01/2007 à 21h47

Marc Apap Ecrivait:
-------------------------------------------------------
> Vrai pour la dépose de l'IRM, ça oblige à réaviver
> les parois. Mieux vaut un CVI
> Attention Mark : tu dis mordançage émail et primer
> dentine. Pas assez clair.
> La meilleure méthode est le mordançage total émail
> + dentine et un M&R3 ou bien si je te suis,
> mordançage émail exclusivement et automordançant
> partout (n'oublie pas que tout le monde n'utilise
> pas comme toi le Clearfil SE Bond)


oui Maître, je reprends:
- acide sur l'émail, pour améliorer adhésion et qualité du joint
- primer-mordançant sur la dentine (falcon A de primer de mon SE Bond, mais il y en a plein d'autres) bien qu'indiqué aussi pour l'émail.
- adhésif amélodentinaire (falcon B de mon SE Bond)

Vu la qualité et la satisfacion que me procure le produit, notament au niveau de l'absence de sensibilités opératoires, j'estime pouvoir me dispenser du modançage à l'acide orthophosphorique de la dentine.

Je pourrais tout aussi bien, comme la plupart du tems en postérieur, me dispenser de l'acide ortho et m'en tenir au protocole du SE Bond. Mais dans le cas présent c'était utile de vouloir assurer sur la jonction compo-émail.


Marque a3 orange fyvhyq - Eugenol
Marc Apap

27/01/2007 à 22h31

Excuse moi de pinailler pour les autres :
l'automordançant n'étant pas très efficace sur l'émail non fraisé, on peut mordancer cet émail pour améliorer le joint. Mais il ne faut surtout pas mordancer la dentine car c'est incompatible avec les automordançants.
Donc :
1/ mordançage précautionneux de l'émail exclusivement, rinçage, séchage
2/ application du primer automordançant partout, séchage
3/ application du bonding partout, séchage, photopolymérisation


panicard3

27/01/2007 à 22h35

d' accord, vu la qualité de l'image rvg,on ne peut pas etre sur... mais n'y a t il pas une carie disto gingivale?
sinon,retirer comp et le remplacer par technique sandwich avec fuji II en fond de cavité et comp par dessus puisque la patiente semble avoir une demande esthétique(méthode empirique qui donne dans mon cas d'assez bon résultats)


Image odged8 - Eugenol
ploc

29/01/2007 à 08h40

Marc Apap Ecrivait:
-------------------------------------------------------
> Vrai pour la dépose de l'IRM, ça oblige à réaviver
> les parois.

qd il reste une couche mince d'IRM su les parois,terminer aux US,cela evite de les retailler et sur le fd finir en fraise boule sur CA pr laisser apparaitre l'email pr le collage

un peu plus long que tout fraise mais plus sûr


olivier

29/01/2007 à 11h43

bill Ecrivait:
-------------------------------------------------------
> Les douleurs après compo sont souvent un signe de
> mauvaise étanchéité ou parfois etching trop long.
> Quel type d'adhésif utilises-tu ?


Excite de vivadent.....Etching total 15 S puis 2 couches d'Excite , ensuite compo fluides dans contre dépouilles ou fond de la box puis montage par cuspide (quand je peux car quand la cavité est larg et peu profonde ....)
J'ai donc mis sous IRM.
La patiente me decrivait des douleurs nocturnes et de tres vives douleurs au froid (latence 3-4 sec).Tout me dit de la devitaliser ....sauf la patiente qui ne comprend pas pourquoi l'ag legerement infiltré qui le lui faisait pas mal devrait se transformer en endo puis en couronne.....Steichen au secours :-)))))


Blue eye thumb medium dx1i0w - Eugenol
bill

30/01/2007 à 00h59

Entièrement d'accord avec ce que disent les deux mar(k)(c) plus haut.
C'est vrai qu'avec le SE bond peu de sensibilités après.


12