Cookie Consent byPrivacyPolicies.comcomment demonter? - Eugenol

comment demonter?

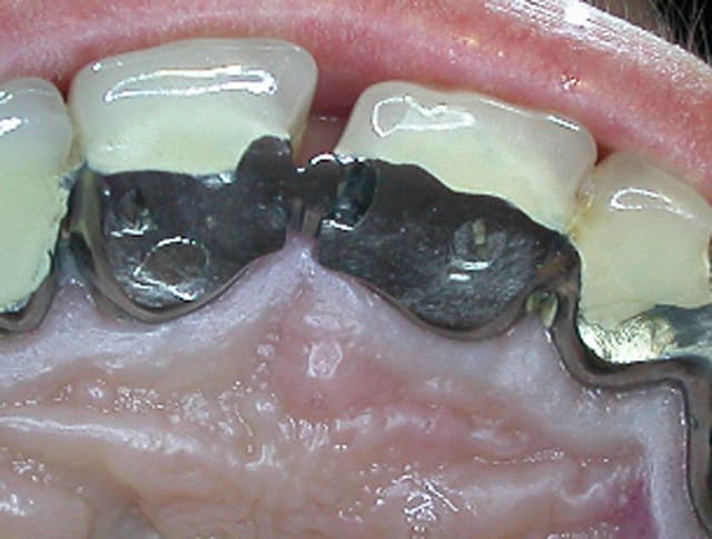
Img 1744 z0evts - Eugenol
dumaille

03/02/2007 à 10h34

patiente ayant fracturé la cerame sur 23 et22.
le bridge presente des vis de serrage palatin ( à la mode allemande).
pensez vous que l'on puisse deposer le bridge en devissant ces vis.
Et si j'y arrive est il possible de remettre de la ceramique par la suite?

Dscn0770 lmjbil - Eugenol
Dscn0771 jg7kjm - Eugenol

Marco3 qiimkr - Eugenol
Marcoledentisto

03/02/2007 à 11h08

Personnellement, je ferais des couronnes téléscopes en retaillant l'armature de 22 et 23.
Non seulement le démontage est risqué pour les piliers et pour le bridge, maisla cuisson de céramique sur ce bridge existant risque de faire péter tout le reste........


tatoo

03/02/2007 à 11h31

comment sont les piliers ?
pour la recuisson marco a raison


Bouddha 2 wmj1zk - Eugenol
HAIG

03/02/2007 à 12h31

" Personnellement, je ferais des couronnes téléscopes en retaillant l'armature de 22 et 23.
Non seulement le démontage est risqué pour les piliers et pour le bridge, maisla cuisson de céramique sur ce bridge existant risque de faire péter tout le reste........ "

Je suis entierement de son avis , trop de risque .


Bouddha 2 wmj1zk - Eugenol
HAIG

03/02/2007 à 12h49

Sinon pour demonter , comme tu veux sauver les piliers , il n' y pas de miracle tu coupes tout , le moins risque dent par dent.
Tu vires la ceram a la fraise diamantee puis tu coupes le metal en cherchant a voir apparaitre le joint de ciment , tu passes sous les faces occlusales en faisant un trou , ultrason et avec un instrument casse ( genre manche de sonde ) tu passes sous la face occlusale et tu souleves . Avec des fraises neuves ça le fait et apres il te faut refaire un provisoire. Je l'ai fait la semaine derniere , je m'etais bloque toute l'ap-m pour etre cool et faire des pauses pour le patient et pour moi. Un conseil met des lunettes de protection au patient , les eclats de ceram ds les yeux c'est pas bon.

bon courrage mais mon avis reste qd meme de faire des telescopes .


Flaschcode adresse site cabinet  bsizag - Eugenol
dentissimo

03/02/2007 à 14h40

avant de démonter, je pense qu'il faut bien analyser d'où vient le problème.... à priori le diastème présent est nouveau entre 21 et 11 les fraisages devaient d'emboiter...;
face palatine de la 24à aussi souffert...
faire bien attention au relations interarcade. voir si en refaisant simplement les couronnes 12 13 tu ne fais pas que repousser le problème, mais en y mettant cette fois ci une part de ta responsabilité....
bonne analyse....


024 vownvo - Eugenol
annie

03/02/2007 à 15h43

a mon avis,soit patiente ayant fait fortune entre temps,et si tu veux refaire un bridge complet tu défais tout et refais,risqué,bien voir ce qu'il reste et l'état des piliers,sinon soit cr télescopiques,ou pourquoi pas des facettes en ceram ou compo?


billi

03/02/2007 à 20h58

question dévissage n'est 'il pas possible de contacter le praticien qui a fait le travail qui pourrait t'éclairer sur la faisabilité de la dépose;pour ce qui est de la reintervention de cuisson il m'est arrivé à quelques reprises de faire boucher des trous que j'avais faits pour deposer des coiffes ceramo métal avec la wamkey; un prothésiste m'avait dit que cette opération pouvait se faire sans faire exploser les porcelaines à condition de laisser "sécher" la prothèse qqs jours avant de recuire...jusqu'à présent ça marche.je n'en ai pas fait des tonnes pour pouvoir généraliser;dans la mesure ou ce n'est pas toi qui a fait la prothèse,tu avertis le patient que tu fais ce que tu peux . billi


jean Plâtre

04/02/2007 à 10h58

A priori, PB occlusal grave ( ayant entrainé fracture de 12, 13 malgré le stop métal, 24 ne va pas tarder car cuspide palatine en occlusion), latéralités non reglées au départ.
Le dévissage HUM HUM, un coup sur deux ça casse entre la tête de vis et le corps et pour aller chercher la vis de 25, Bonjour l'angoisse!
Le contre fraisage entre 11 et 21 n'a servi à rien, dixit le diastème néoformé...
L'aspect du métal exposé me fait penser à une rupture du film d'oxyde devant assurer l'accrochage du cosmétique. Indice de confiance = 0 pour une éventuelle céramisation.
Prévoir hélas une bonne vingtaine de fraises transmétal, une grosse dose de patience et de zénitude pour toi Dumaille.
JP


sylver

05/02/2007 à 16h27

le proto dois connaitre la marque de la ceram pour la reparer, sinon il n a aucune idée de la temperature de cuisson et risque de tout fondre


sylver

05/02/2007 à 16h29

le proto doit (ca va!!!!!!!)


Img 1744 z0evts - Eugenol
dumaille

05/02/2007 à 21h05

ok merci les gas pour vos reponses franches et sinceres.
je vous tiens au courant pour la suite.