Cookie Consent byPrivacyPolicies.combesoin d'aide - Eugenol

besoin d'aide

vador

08/02/2007 à 10h28

Bonjour, voila ce que j'ai récupérer. Et vraiment j'ai du mal à voir dans quel sens le traiter.

Cette patiente vient de déménager dans la région et son ancien orthodontiste lui a dit que le traitement se ferai sans extractions, et le nouveau lui a certifié que rien ne se règlera sans extraction de 2 pm du haut.
La maman vient me voir ( je ne suis qu'un petit dentiste, et pas seulement par la taille) pour savoir s'il faut extraire ou pas.
Elle est en déocclusion jusqu'aux 1er molaire, en classe 2 molaire, et un exces de recouvrement qui me ferai penser aussi aux extractions mais le profil ne risque-t-il pas d'être altéré?

Pourriez-vous m'expliquer les séquences de traitement pour pouvoir renseigner la maman, svp?

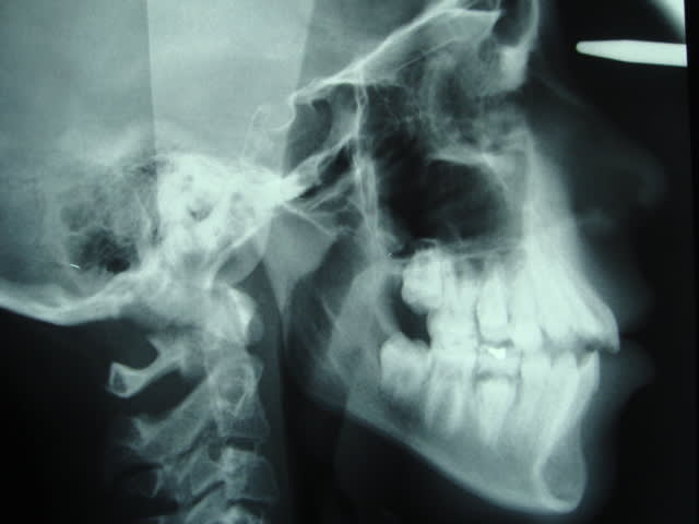
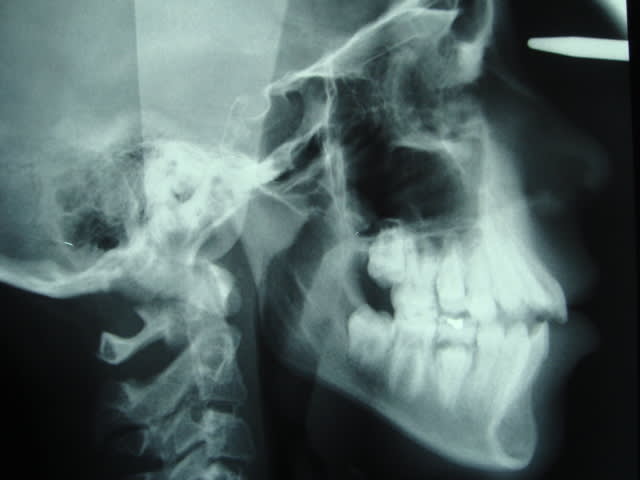
Dsc00431 x9ib1f - Eugenol
Dsc00434 qzx4te - Eugenol
Dsc00435 s4smq1 - Eugenol

Avatar transparent iqadnc - Eugenol
adhoc

08/02/2007 à 12h20

C'est curieux ( mais ca arrive), d'apres le profil ostéo -dentaire, on ne serait pas attendu a un tel profil cutanné!!! Je reconnais ici que des extractions pM peuvent présenter un préjudice esthétique dabns e cas particulier
Je comprends fort bien ta perplexité.
Peut on encore attendre avec ports d'elastics cl II et/ou FEO?
ANB est de combien , Go-GM francfort?
Malléabilité osseuse?
Ces cas limites sont les plus terribles.


Picture1111 zburnd - Eugenol
saidkholoki

08/02/2007 à 16h02

Vador ecrit: "Elle est en déocclusion jusqu'aux 1er molaire, en classe 2 molaire, et un exces de recouvrement qui me ferai penser aussi aux extractions mais le profil ne risque-t-il pas d'être altéré?"
Je crois que tu voulais plutot dire une manque de recouvrement ou une beance..
De toute facon il est claire que ce cas presente une dysfonction linguale et je ne sais pas si cela etait pris en charge par l'orthodontiste precedent ou pas, c'est un probleme qu'il faut regle. La chainette est dramatique pour l'hygiene et cela aussi doit etre pris en consideration. Un point tres important c'est de savoir si cette beance etait la avant de commencer ou s'est cree pendant le traitement et a quel moment. Personellement je trouve aussi que la solution proposee par le nouvel orthodontiste n'est pas la meilleure, je serai tente par une FEO occipitale ( appui vertical ) afin de reduire la classe II, redresser le plan occlusal et provoquer une autorotation de la mandibule ce qui va reduire la hauteure verticale anterieure et ameliore la musculature labiale et peri orale car sur la photo il y a une tension quand meme.. Ceci est mon avis a premier vu mais les radios peuvent confirmer ceci ou pas. Bon courage


Théus

08/02/2007 à 20h45

Effectivement, les extractions, c'est n'importe quoi.
L'arcade est belle, pas de problème d'alignement.
Ce n'est certainement pas en extrayant qu'on va réduire la béance.
Récidive assurée! Et le profil…

Éduquer la langue en priorité. Au fait, quel âge a la patiente?

Et qui a dit que les orthos faisaient extraire de moins en moins?


bjc

09/02/2007 à 03h45

La langue est vraisemblablement en position basse.
Elle se met là ou il y a de la place, la pauvre !
La chaînette élastique a lingualé les Inc. Inf. et le profil reste tendance prognathe.
Une extraction des P.M. sup semble donc contre indiqué.
Cette Cl.II. semble être une Cl. 1.5

Il faudrait plutôt un reformage et une avancée du Max. Sup. pour faire la place à la langue.
Pendant ce reformage, on pourra alors faire, avec des chances de succès, une rééducation de langue à laquelle on proposera une nouvelle enveloppe.

Voilà ce que je dirais aux parents


Picture1111 zburnd - Eugenol
saidkholoki

09/02/2007 à 05h48

bjc ecrit "Il faudrait plutôt un reformage et une avancée du Max. Sup. pour faire la place à la langue.
Pendant ce reformage, on pourra alors faire, avec des chances de succès, une rééducation de langue à laquelle on proposera une nouvelle enveloppe."
Tu veux avancer le maxillaire alors tu es en classe II ???? Tu dis que la langue est en position basse tandis que la beance totale est generalement signe d'une interposition laterale et anterieure moyenne de la langue.
Je trouve ton raisonnement ni coherent ni logique, expliques-toi s'il te plait...


bjc

09/02/2007 à 11h56

Elle est en Cl.II.
Regardez son profil.
Regardez l’inclinaison des Inc. Inf.
Imaginez la en Cl.I .
S’il vous plait
S’il vous plait
S’il vous plait


Picture1111 zburnd - Eugenol
saidkholoki

09/02/2007 à 12h02

Explique moi techniquement, mecaniquement, therapeutiquement comment tu va proceder et d'une maniere pratique, s'il te plait...
Quelles sont tes sequences, tes objectifs et tes moyens. C'est bien de baratiner mais il faut pouvoir le faire aussi..


bjc

09/02/2007 à 12h36

C’est un cas merdique,
Cl.III. cachée ?
Je comprends que tu lui souhaites bonne chance


bjc

09/02/2007 à 12h43

Pour le baratin, j’ai des leçons à prendre.
Il veut que moi, petit dentiste, je lui explique !
Avec autant de s’il te plait, je te propose de réfléchir à ce qu’elle sera à 20 ans
Ca, c’est mon objectif thérapeutique !
Les moyens ? Tiens, il y a un cours de Roncone en Juin à Nice !

Au bout de 20 ans, il faut se recycler !


1 eugenol dmj5np - Eugenol
Dancha

09/02/2007 à 14h58

saidkholoki Ecrivait:
-------------------------------------------------------
> Explique moi techniquement, mecaniquement,
> therapeutiquement comment tu va proceder et d'une
> maniere pratique, s'il te plait...
> Quelles sont tes sequences, tes objectifs et tes
> moyens. C'est bien de baratiner mais il faut
> pouvoir le faire aussi..

bjc Ecrivait:
-------------------------------------------------------
> …
> Avec autant de s’il te plait, je te propose de
> réfléchir à ce qu’elle sera à 20 ans
> Ca, c’est mon objectif thérapeutique !
> Les moyens ? Tiens, il y a un cours de Roncone en
> Juin à Nice !
>
> Au bout de 20 ans, il faut se recycler !
>

Toujours ce flou artistique chez l’ami bjc.
Il est comme cela !
Quand il dit une bêtise et qu’on le lui fait remarquer en lui demandant des explications, il devient agressif.
Il est incorrigible !

Reste à voir les résultats à terme de ses traitements à lui.
Mais là, malheureusement, c’est une autre histoire…

Daniel


bjc

09/02/2007 à 15h08

Apres les tiens, je n’ose pas


1 eugenol dmj5np - Eugenol
Dancha

09/02/2007 à 15h10

bjc Ecrivait:
-------------------------------------------------------
> Elle est en Cl.II.
> Regardez son profil.
> Regardez l’inclinaison des Inc. Inf.
> Imaginez la en Cl.I .
> S’il vous plait
> S’il vous plait
> S’il vous plait
>

Eureka !

Je crois bien que j’ai compris !
En fait, bjc veut nous dire qu’il suffit de vestibuloverser les incisives inférieures en avançant l’arcade inférieure. Le fait que la lèvre inférieure soit déjà un peu proéminente n’a pas d’importance, puisque dans le même temps on va avancer l’arcade supérieure ce qui donnera du volume à la lèvre correspondante. C’est logique, non ?

Daniel


bjc

09/02/2007 à 15h20

Encore un croyant !!! !!! !!!

Dieu nous garde de ses bonnes intentions.


bjc

09/02/2007 à 15h31

Ceci dit, je soupçonne un piège de Cl. III.


Picture1111 zburnd - Eugenol
saidkholoki

09/02/2007 à 15h38

Cher ami bjc,
J'avais deja decide de ne plus dialoguer avec toi mais ton conseil completement a cote de la plaque m'a interpele et je n'ai pas pu me taire. Ceci etant, je te dis de nouveau a bientot dans 20 ans peut etre quand tu aura fini ton recyclage orthoodntique si tu n'est pas encore a la retraite...
A dieu bjc


bjc

09/02/2007 à 15h44

Cher Caïd,

C’est mon Pb. je n’arrête pas de me recycler.
Chacun son truc.

P.S. : Encore Dieu. Les oreilles doivent lui siffler.


bjc

09/02/2007 à 16h49

Cher vador,

tu pourrais produire une Télé de profil de ta patiente pour montrer que je me trompe.


ELN

09/02/2007 à 17h16

Ca bache dur, ce jour; et vive l'ile aux enfants, avec ce Bon Joyeux Casimir..


vador

09/02/2007 à 19h05

Voici la tele que j'ai recupéré, la patiente a maintenant 14,5 ans. le traitement a commencé alors qu'elle avait 13 ans mais elle n'a pas suivi ces rendez-vous régulièrement.

Ne vous énervez pas, chacun peut avoir son point de vue et l'expliquer. C'est un forum.

Pour l'instant, une feo avec traction verticale pour avoir comme effet une bascule du maxillaire vers le bas serait souhaitable d'après vos réponses. Et pourquoi pas des élastiques d'intercuspidation et mécanique de classe 2 et pendant combien de temps?

C'est juste une idée ne pas se facher, votre avis ?

Dsc00442 ozcvps - Eugenol

Avatar transparent iqadnc - Eugenol
adhoc

09/02/2007 à 19h26

J'aime bien les elastics de cl II, bigrement efficaces, mais dans ce cas particulier, ne risquent ils pas d'accentuer l'hyperdivergence???
J'ai bien peur qu'en plus de la FEO qui vont en effet induire une rotation mandibulaire favorable , il faille mettre des elastics verticaux.
Bref, un peu la totale; plus dur a cet age pour une jeune fille, mais bon.....


catrose

09/02/2007 à 19h29


saidkholoki ecrivait:
----------------------------------------------

je
> serai tente par une FEO occipitale ( appui
> vertical ) afin de reduire la classe II


said,je n'ai pas compris "occipitale",tu veux plutot parler du head-gear high-pull(appui vertical)?

pour moi aussi ,evidence de l'interposition linguale
mais vador,sans connaitre le depart,ou l'age,ou une teleradio,je ne m'aventurerais pas a conseiller les parents qui prendront tes paroles pour evangile

recu exactement le meme cas hier,sans traitement prealable:12 ans,succion du pouce



bjc

09/02/2007 à 21h17

Cher vador,
Dans un cas comme celui là, la TéléRx. datant de 2 ans, je referai une nouvelle Rx. avant de prendre une décision.

Dsc00442 xfdvor - Eugenol

kri

09/02/2007 à 21h54

Franchement qui va oser lui proposer de porter une FEO alors qu'elle a commencé a 13 a et qu'elle n'a pas ete serieuse..
Ca sens la reeducation qui ne sera pas possible car pas de cooperation , faut aller au plus simple...


Picture1111 zburnd - Eugenol
saidkholoki

09/02/2007 à 22h08

Quand on me demande conseil alors soit je donne qqchose reelement efficace et pratique pour aider soit je me tais si je connais pas. On se fache, et on est plusieurs a reagir de la meme facon, car certain se permet de se prononcer et donner un conseil qui n'a rien de logique avec une grande betise comme celle de notre ami bjc qui veut avancer le maxillaire alors on est en classe II!!!
Bref revenons au cas, d'apres la radio je trouve que la beance etait la avant de commencer et cela n'a pas ete pris en charge pendant la premiere partie du traitement!!! Donc il faut le faire maintenat au plus vite. La FEO a traction verticale c'etait mon idee et je la maintiens pour basculer le plan bispinal et favoriser une rotation anterieure de la mandibule ce qui corrige la classe II et reduit la beance. C'est une FEO de controle vertical du plan occlusal et non pas une force orthopedique. Il faut prendre les 7 aussi si cela n'a pas ete fait. Les elastiques de classe II dans une typologie aussi defavorable risque d'aggraver la tendance verticale et ce qu'on peut gagner sagittalement on le perd verticalement. A mon avis cela peut etre necessaire a la fin pour parfaire la classe I.
Peut on avoir une photo profil au repos avec les levres entre ouvertes si il ya une incompetence labiale, et merci en avance. La position proeminente da le levre inf pourrait etre due a une fermeture forcee des levres, a verifier..