Cookie Consent byPrivacyPolicies.comspatule fil rétracteur - Eugenol

spatule fil rétracteur

024 vownvo - Eugenol
annie

23/02/2007 à 22h13

mes patients n'ont pas apprecié,je reviens au fil
je ne sais ou j'ai lu que pour les saignements,on pouvait mettre quelques minutes un peu d'alginate autour de la dent
je n'ai essayé qu'une fois cela a l'air pas mal


ben

23/02/2007 à 22h49

C'est marrant, les miens apprécient.
Ils sont comment les tiens ?
Les miens sont de toutes tailles, et la couleur de leurs cheveux varie beaucoup. Sinon ils sont sympa dans l'ensemble.
Et les tiens ???


024 vownvo - Eugenol
annie

23/02/2007 à 23h33

sans expasyl,ça va ils sont très contents!


Dr - Eugenol
JeRis

10/03/2007 à 12h11

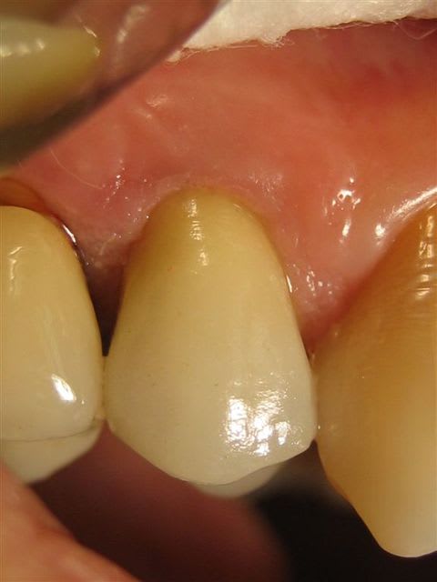
... et posée >

Img 1522 rvt4js - Eugenol

024 vownvo - Eugenol
annie

10/03/2007 à 19h05

beau travail et belle adaptation,quel est ton produit d'empreinte jaune?


Dr - Eugenol
JeRis

10/03/2007 à 19h37

... Aquasil


024 vownvo - Eugenol
annie

10/03/2007 à 19h38

merci


12