Tous les forums
2 kystes rigolo
24/02/2007 à 23h37
J'ai opéré une patiente pour 2 kystes l'un résiduel en position de 22 et l'autre naso-palatin.
Plutot rigolo d'avoir si proche 2 kystes si différents.
Pour le nasopalatin ce que l'on voit sur la photo c'est la muqueuse du plancher des fosses nasale.
Durée 1h00-1h15 mais faut dire que c'était sous AG.
25/02/2007 à 13h43
Pour le kyste naso-palatin c'est un kyste dysembryoplasique des maxillaires (avec le globulomaxillaire par ex.)
Sinon l'hypothèse diagnostic fut radiologique étant donné la localisation et la confirmation revenant à l'anapath.
Mais attention le radiologue n'avait pas su lire le scanner et avait parlé d'un seul kyste bilobé... je ne lui jette aucunement la pierre, ils n'ont jamais appris la sphère buccale. Je dis juste cela pour rappeler à mon goût l'importance de sa propre analyse des RX en préop
25/02/2007 à 19h01
ça c'est clair, j'adore les radiologues qui font un compte-rendu type du style aucun anomalies de la structure osseuse alors que tu as 2-3 pêches sur des molaires.
je dis cela mais en même temps je ne leurs jètes pas la pierre non plus.
25/02/2007 à 21h59
canin2 Ecrivait:
-------------------------------------------------------
> ça c'est clair, j'adore les radiologues qui font
> un compte-rendu type du style aucun anomalies de
> la structure osseuse alors que tu as 2-3 pêches
> sur des molaires.
> je dis cela mais en même temps je ne leurs jètes
> pas la pierre non plus.
... si ce n'est pas: " vous trouverez ci-joint les clichés demandés, en espérant qu'il vous conviennent" ... véridique!
02/03/2007 à 20h56
dudule Ecrivait:
-------------------------------------------------------
> J'ai opéré une patiente pour 2 kystes l'un
> résiduel en position de 22 et l'autre
> naso-palatin.
> Plutot rigolo d'avoir si proche 2 kystes si
> différents.
> Pour le nasopalatin ce que l'on voit sur la photo
> c'est la muqueuse du plancher des fosses nasale.
> Durée 1h00-1h15 mais faut dire que c'était sous
> AG.
>
PUTAIN dudule! c'etait pas un kyste naso palatin c'etait le paquet vasculo nerveux du canal incisif.
Oh la boulette!
07/03/2007 à 19h14
je me permets modestement et pour sourire dans ce monde de brutes de vous envoyer une ou deux photos de kystes odontogéniques opérés:
-sur un boxer :distal de la canine maxil.
-sur un cocker : branche horiz. de la mandibule
07/03/2007 à 19h51
:) ... le boulot dont je rêve!
Malheureusement il faut être véto pour faire ça.
Un CD peut soigner des humains ... pas les nanimos.
09/03/2007 à 19h40
lapadoué Ecrivait:
-------------------------------------------------------
> Vous travaillez sans gants ?
photo,avant l'intervention,pas trop grave,il n'y a pas de photo pendant,mais la question des risques croisés demeure; que peut transmettre le chien comme maladie à part la rage? et vice versa?
12/04/2007 à 05h01
canin2 Ecrivait:
-------------------------------------------------------
> ça c'est clair, j'adore les radiologues qui font
> un compte-rendu type du style aucun anomalies de
> la structure osseuse alors que tu as 2-3 pêches
> sur des molaires.
> je dis cela mais en même temps je ne leurs jètes
> pas la pierre non plus.
>
Mon préféré: "A confronter avec les données cliniques."
Il n'empêche que les honoraires du radiologue comprennet le cliché ET le compte rendu...
21/04/2007 à 22h03
dudule Ecrivait:
-------------------------------------------------------
> J'ai opéré une patiente pour 2 kystes l'un
> résiduel en position de 22 et l'autre
> naso-palatin.
Comment as tu fait pour suspecter la présence d'un deuxième kiste en palatin ?
Le rendu pano ne permet pas de le situer en palatin.
Tu n'as pas pu faire un cliché pendant l'intervention, pusiqu'il n'y a pas de générateur dans les blocs.
Ou alors tu a attaqué la muqueuse palatine sur une simple suspicion ?
Bien amicalement.
30/04/2007 à 13h14
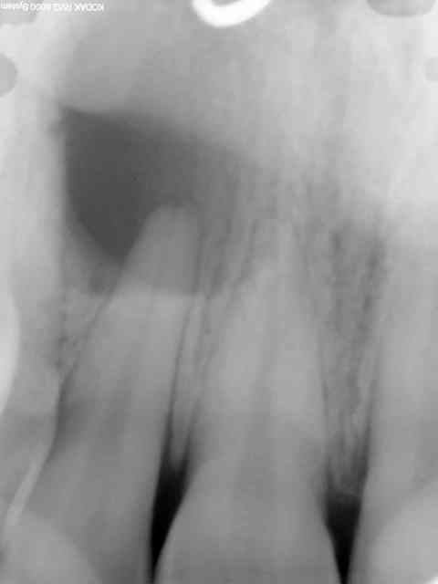
si la dent au milieu est une 12 et que toutes les dents autour sont vivantes, cette localisation ne correspond pas à un kyste dysembryoplasique.
fait faire un scannner
06/05/2007 à 09h20
la dent est une 12 le kyste se manifeste en vest haut et en voussure palatine toutes les dents ont un test de vitalite au froid positif de pm a pm poutant l apex de la &é semble bien ouvert pour une patiente de 30 ans ?????
06/05/2007 à 13h42
on attend le scanner
faut voir l'aspect radio à l'OTP
faudra probablement dévitaliser au moins la 12 avant d'énucléer la lésion.
06/05/2007 à 16h23
j envoie a un ami specialisé qui a de meilleures conditions operatoires je vous tiens informé
22/06/2007 à 03h14
jeanphy Ecrivait:
-------------------------------------------------------
> dudule Ecrivait:
> --------------------------------------------------
> -----
> > J'ai opéré une patiente pour 2 kystes l'un
> > résiduel en position de 22 et l'autre
> > naso-palatin.
>
> Comment as tu fait pour suspecter la présence d'un
> deuxième kiste en palatin ?
> Le rendu pano ne permet pas de le situer en
> palatin.
> Tu n'as pas pu faire un cliché pendant
> l'intervention, pusiqu'il n'y a pas de générateur
> dans les blocs.
> Ou alors tu a attaqué la muqueuse palatine sur une
> simple suspicion ?
>
> Bien amicalement.
>
Excuse pour le retard de ma réponse...
J'ai reçu cette patiente adressée par son généraliste avec OPT car son dentiste traitant refusait de prescrire un OPT malgré la voussure douloureuse à la palpation.
D'autre part la patiente m'a apporté des anciens scanners des maxillaires pour des problèmes de sinusites maxillaires où l'on voyait déjà apparaître ces kystes mais non apparent dans le compte rendu (les kystes et la polypose sinusienne n'avait d'ailleurs rien à voir).
J'ai donc finalement demandé un dentascan en préopératoire...
Un peu compliquée comme histoire mais finalement très classique