Cookie Consent byPrivacyPolicies.comCamera camrex - Eugenol
200106 10150128247663588 709988587 6466236 5598391 n d7mksb - Eugenol
hallboy

28/02/2007 à 17h05

je viens de l'installer et aparement tres bien: freez , conservation des photos, bonne couleur sur l'ordi apres regges ( aller ddns l'aide ) en pal et contraste. mettren 32 bits
1750 euros. elle etait eun peu moins cher au moment de l'adf


Logo vuaztn - Eugenol
mac

28/02/2007 à 17h51

fais péter les photos.


Utilisateur banni

28/02/2007 à 17h54

j'aimerai voir aussi...


200106 10150128247663588 709988587 6466236 5598391 n d7mksb - Eugenol
hallboy

28/02/2007 à 18h17

Z'avezz pas confiance???!!!!!


Logo vuaztn - Eugenol
mac

28/02/2007 à 18h27

NON!!!


200106 10150128247663588 709988587 6466236 5598391 n d7mksb - Eugenol
hallboy

28/02/2007 à 21h16

au moins , c'est franc.

la il est 8 heures, je me casse, mais demain j'en envoie si j'ai un peu de temps.


Utilisateur banni

28/02/2007 à 21h33

Moi si je fais confiance, mais c'est pour voir la différence avec celle de mon associé...


200106 10150128247663588 709988587 6466236 5598391 n d7mksb - Eugenol
hallboy

28/02/2007 à 23h30

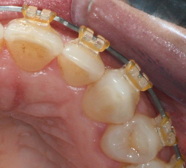
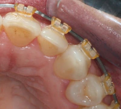
le plus compliqué c'est de bien prendre l'image: il faut etre stable, pas trop pres et pas trop loin, et gerer les deplacements de la camera. du coup c'est pas encore top sur la mise au point .
Sinon, un simple clic pour mettre la photo memoire et apres la ressortir sur ordi. j'avais vu une demo de la sans fil qui est autour de 2500 euros. l'image est un tout petit peu moins bonne , mais la je peut la mettre sur tout l'ecran alors qu'apparement ce n'etait pas possible avec l'autre. En tout cas tres facile a installer . une petite trouille sur les premieres images avant de basculer sur PAL à la place de NTSC.Amelioration considerable instantanée. j'ai egalement gagné en reglant contraste couleur etcetc , mais je n'ai pas encore joué sur les reglages ecrans ( Moniteur 17 pouces classique ,pas plat ).


200106 10150128247663588 709988587 6466236 5598391 n d7mksb - Eugenol
hallboy

01/03/2007 à 10h43

secher les surfaces pou eviter la brillance de l'humidité ça doit etre mieux aussi

Test1 s41ekn - Eugenol

Utilisateur banni

01/03/2007 à 11h20

Tu peux pas avoir mieux? Ca parrait quand même un peu flou non?


200106 10150128247663588 709988587 6466236 5598391 n d7mksb - Eugenol
hallboy

01/03/2007 à 11h23

je pense que j'ai bougé. c'est juste a la volée pour monter que c'est utilisable. Si j'arrive a ameliorer un peu l'image , fauta pas aller chercher plus loin: facile a installer, legere et direct sur l'ordi, pas besoi, d'un ecran supplementare


Logo vuaztn - Eugenol
mac

01/03/2007 à 11h38

bof

Pourhallboy i8xlxs - Eugenol

Dr - Eugenol
JeRis

01/03/2007 à 11h50

... ce n'est pas un peu cher pour 300/400 000 pixels?

Je pense que ce prix est lié au "spécifiquement dentaire", mais dans l'absolu ...

Bon, moi j'en rêve, mais je n'en ai pas.


Dr - Eugenol
JeRis

01/03/2007 à 11h53

mac Ecrivait:
-------------------------------------------------------
> bof

... oui, mais celle d'hallboy est réduite à 25K


Logo vuaztn - Eugenol
mac

01/03/2007 à 11h58

JeRis Ecrivait:
-------------------------------------------------------
> mac Ecrivait:
> --------------------------------------------------
> -----
> > bof
>
> ... oui, mais celle d'hallboy est réduite à 25K
>
>


Pourjeris pj7bhv - Eugenol

Dr - Eugenol
JeRis

01/03/2007 à 12h02

... ok. Convaincant. Combien de pixels pour le capteur?

Mais je ne voudrais pas qu'hallboy regrette son achat.


Logo vuaztn - Eugenol
mac

01/03/2007 à 12h05

8 millions mais j'ai triché c'est un APN, pour le prix d'une caméra très moyenne t'as un super reflex donc c'est tout vu.


Dr - Eugenol
JeRis

01/03/2007 à 12h14

... oufff ... je suis content pour hallboy :)


200106 10150128247663588 709988587 6466236 5598391 n d7mksb - Eugenol
hallboy

01/03/2007 à 12h20

le seul interet c'estde l'avoir tout de suite et de le classer en deux clic, pour la qualité d'image, il ya pas photo ;)) donc de toute façon la camera a 5000 euros ça me semble pas la meilleure idée. Là a 1300 - cest ce qu'elle m'a couté - ça me parait le maximum raisonable pour faire de la motivation et que le patient prenne conscience d'un delabrement ou de reste de plaque


Utilisateur banni

01/03/2007 à 12h22

APN?
Y'a pas photo entre les deux...
C'est quoi que tu as mac?


Logo vuaztn - Eugenol
mac

01/03/2007 à 12h27

APN: appareil photo numerique.

canon 350 D + tamron 90mm + flash annulaire sigma.


Utilisateur banni

01/03/2007 à 12h35

Forcément...
Je pensais que c'était une cam...
Trés belle photo en tout cas...


Logo vuaztn - Eugenol
mac

01/03/2007 à 12h46

narik Ecrivait:
-------------------------------------------------------
> Forcément...
> Je pensais que c'était une cam...


annie aussi...


Utilisateur banni

01/03/2007 à 12h54

Touché...


200106 10150128247663588 709988587 6466236 5598391 n d7mksb - Eugenol
hallboy

01/03/2007 à 12h59

;)


12