Cookie Consent byPrivacyPolicies.com10€ - Eugenol

10€

sylver

01/03/2007 à 16h21

ccm avec ou sans joint céramique?


Dr - Eugenol
JeRis

01/03/2007 à 17h23

... avec ... toujours.
Envoie le chèque de 10€!

S - Eugenol
S - Eugenol

sylver

01/03/2007 à 17h49

bien tres bien


024 vownvo - Eugenol
annie

01/03/2007 à 20h49

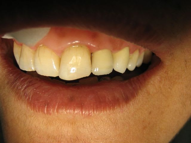
Je ne comprends pas Je Ris,ta taille est parfaite,pourquoi l'épaulement n'est pas complétement recouvert? artefact?


Dr - Eugenol
JeRis

01/03/2007 à 21h04

... le congé est localement légèrement sus-gingival.
On ne gagne rien à être juxta ou sous gingival au niveau de la légère récession; au contraire, moins on y touche, mieux ça vaut.
Bon, je ne fais pas toujours comme ça.

Pas beaucoup d'amateurs de joint céram sur le forum :((( ... ils font tous des Procéra ou quoi?

B - Eugenol
B - Eugenol
B - Eugenol
B - Eugenol

Squash u44zd8 - Eugenol
steph

01/03/2007 à 22h19

Sympas les photos.
J'aime beaucoup les joints céram, la diffusion de la lumière est bien meilleure et donc un rendu amélioré.
Je trouve en plus que le comportement de la gencive est plus stable sur ce genre de couronnes, sans doute parce que t'as pas besoin d'enfouir profondément la limite.


Dr - Eugenol
JeRis

01/03/2007 à 22h26

... je suis ravi de ne plus être seul :)

A la sécu, on est 1 sur 13 à faire un joint céram ... au vu des réponses, le % est encore moins bon sur eugenol!

Bon d'accord, c'est de la provoc ;)


024 vownvo - Eugenol
annie

01/03/2007 à 23h24

moi si je n'en fais pas plus,c'est parce que je ne sais pas s'il n' y a pas d'inconvénient à sceller avec un ciment oxyphosphate ( que j'aime employer),j'ai posé ici la question,personne n'a répondu
ou alors est il impératif de coller?


Squash u44zd8 - Eugenol
steph

01/03/2007 à 23h41

Aucun intérêt, justement le joint céram permet une diffusion accrue de la lumière au travers de la couronne, utiliser un oxyphosphate revient à annuler cet avantage.


024 vownvo - Eugenol
annie

02/03/2007 à 00h08

steph Ecrivait:
-------------------------------------------------------
> Aucun intérêt, justement le joint céram permet une
> diffusion accrue de la lumière au travers de la
> couronne, utiliser un oxyphosphate revient à
> annuler cet avantage.


j'aimerais savoir si ce ciment est compatible dent ceram,la lumière je m'en charge!
j'ai déja fait ,et scellé a l'oxyphosphate,mais n'étant plus convaincue,pas de l'esthétique mais de l'herméticité du joint,j'hésite,car je n'ai pas eu l'occasion de revoir ces cas pour en juger


Squash u44zd8 - Eugenol
steph

02/03/2007 à 00h21

"La solidité d'une couronne céramo-céramique est moindre avec un ciment de scellement à l'oxyphosphate qui n'assure pas le soutien nécessaire de la couronne sollicitée par les forces de mastication.La meilleure résistance des ciments composites et leur possibilité d'adhésion à la céramique et à la substance dentaire améliore théoriquement le lien à la céramique à ces niveaux."

Esthétique et restaurations des dents antérieures.
Chiche G., Pinault A.

Quand on cherche on trouve!!!!


024 vownvo - Eugenol
annie

02/03/2007 à 00h30

merci Steph,mais je ne parle pas de ceramo ceramique,,je sais que dans ce cas ce n'est pas souhaité,mais les forces de mastication,au niveau du collet alors que la couronne céramo-Metal est scellée?
remarque s'ils disent moindre cela ne veut pas dire prohibée,surtout en ce qui concerne le cas du seul joint céramique


Blue eye thumb medium dx1i0w - Eugenol
bill

02/03/2007 à 00h46

JeRis Ecrivait:
-------------------------------------------------------
>
>
> Pas beaucoup d'amateurs de joint céram sur le
> forum :(((


J'aurai été preneur de la photo du joint mais je pense que là c'est trop tard. ;-)
Car il y a joint céram et joint céram...


Dr - Eugenol
JeRis

02/03/2007 à 07h43

bill Ecrivait:
-------------------------------------------------------
J'aurai été preneur de la photo du joint mais je
> pense que là c'est trop tard. ;-)
> Car il y a joint céram et joint céram...

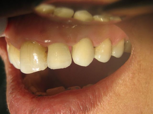
... un autre cas, mais ça ressemble toujours à ça >


M - Eugenol

Dr - Eugenol
JeRis

02/03/2007 à 08h28

annie Ecrivait:
-------------------------------------------------------
> moi si je n'en fais pas plus,c'est parce que je ne
> sais pas s'il n' y a pas d'inconvénient à sceller
> avec un ciment oxyphosphate ( que j'aime
> employer),j'ai posé ici la question,personne n'a
> répondu
> ou alors est il impératif de coller?

... scellement avec CVI translucide.
Je ne vois pas pourquoi tu t'obstines avec l'oxy. surtout que toi, en libéral, tu achètes ce que tu veux alors que moi je dois faire avec ce que j'ai.

Ce sont les IC que je scelle à l'oxy. (parfois au Fudji+ si le tenon est court)



sylver

02/03/2007 à 10h12

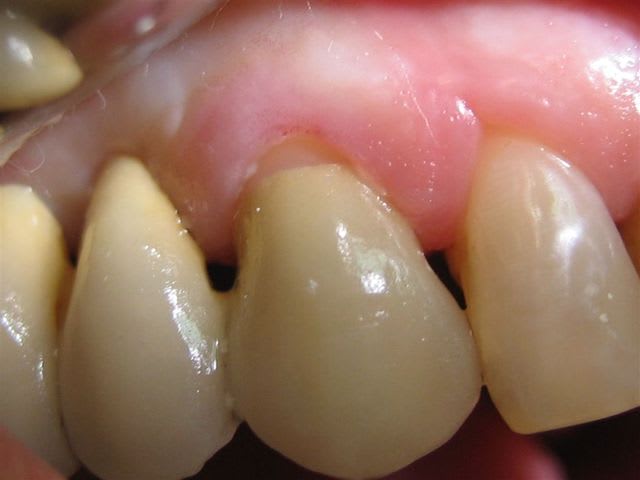
vive les joints ceram ,j'adore ça ,merci jeris pour tes photos!

Joint rdgvcf - Eugenol
Photo 049 q0i40c - Eugenol
Photo 049 xzwk1d - Eugenol
Photo 049 vchnu4 - Eugenol
Photo 049 zso7nu - Eugenol
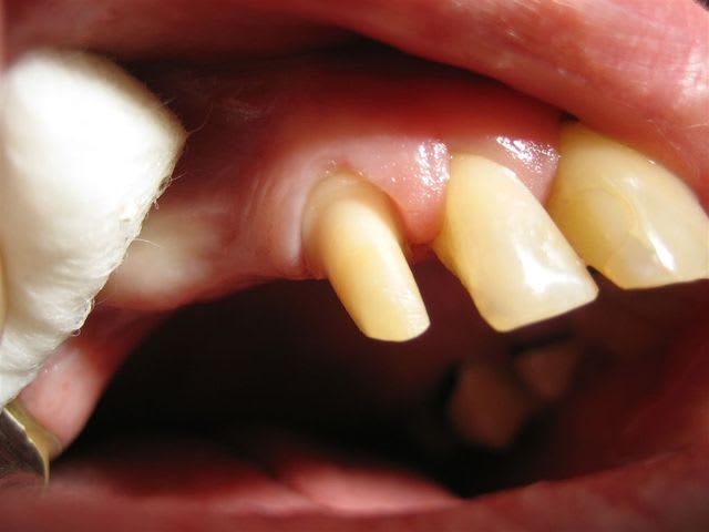
Joint n5xrq1 - Eugenol

sylver

02/03/2007 à 10h28

sur modéle!

Photo 049 zc8kkv - Eugenol

Dr - Eugenol
JeRis

02/03/2007 à 12h01

... joli, très joli!

Il m'arrive aussi parfois de délaisser le bandeau métallique palatin au profit de la petite tige en disto-palatin ... je devrais le faire plus souvent.

Il y a longtemps j'ai essayé un autre type de limite; congé large en V,M,D (pour la masse d'épaulement) et congé étroit en DP, P, MP avec un chanfrein (biseau pour le métal) venant rejoindre le congé large ... assez compliqué à réussir en bouche.


sylver

02/03/2007 à 12h25

oui j'imagine ,mais bien pour le resultat.En tous cas si tes empreintes sont la réplique exact de tes tailles ce dont je ne doutes pas alors ,ton prothésiste doit se faire plaisir!
tu voudrais pas t'installer en liberal !!!!!!!!


Dr - Eugenol
JeRis

02/03/2007 à 12h35

... pas de pb avec les empreintes; il y des posts avec photos.

Le libéral? ... là ou je suis, je suis libre de travailler comme je l'entends. Bon, faut parfois pousser une gueulante pour remettre les pendules à l'heure :)

Je n'ai pas le choix du labo, mais nos deux céramistes n'ont pas quatre mains gauches ... la preuve, il y en a un qui est parti hier pour le libéral! ... bonne route Fred ;)


Squash u44zd8 - Eugenol
steph

02/03/2007 à 12h41

Très joli boulot.
Tout est en harmonie avec l'âge du patient, les embrasures, les surfaces de contact, le plan incisif.
Vraiment très réussi.
Si tu as le résultat en bouche, je suis preneur.


sylver

02/03/2007 à 12h45

merci,je n'ai pas de photo en bouche , mais le prochain je le prend , maintenant le cd me fait confiance ,donc bon rapports bonne photos!!


sylver

02/03/2007 à 12h47

tu me diras il a peut etre des photos c'est son pére!je lui demanderais quand il sera revenu de vacances!!!


Blue eye thumb medium dx1i0w - Eugenol
bill

03/03/2007 à 00h59

JeRis Ecrivait:
-------------------------------------------------------

>
> ... un autre cas, mais ça ressemble toujours à ça
> >
>
>
>


merci.
Dans des teintes assez soutenues et peu translucides je trouve que la ccm avec ce type de joint rivalise bien avec les techniques plus "modernes"...


024 vownvo - Eugenol
annie

03/03/2007 à 01h08

Je Ris écrivait

... scellement avec CVI translucide.
Je ne vois pas pourquoi tu t'obstines avec l'oxy. surtout que toi, en libéral, tu achètes ce que tu veux alors que moi je dois faire avec ce que j'ai.

Ce sont les IC que je scelle à l'oxy. (parfois au Fudji+ si le tenon est court)

peut être de mauvais souvenirs avec ces scellement au CIV,alors que l'oxyphosphate jamais
ça tient super,ca ne s'infiltre pas,tu peux paradoxalement desceller très facilement,sous gencive c'est le meilleur,que des qualités!

pour Bill,d'accord avec toi,on peut faire de très jolies ccm ,et en plus dormir tranquille!


12