Cookie Consent byPrivacyPolicies.comkékala ma gueule - Eugenol

kékala ma gueule

fluornet

02/03/2007 à 20h25

Noel avant l’heure
Bon petite synthèse :
- patiente qui se plaint de douleurs mol inf et pb articulaires : cf empreintes et pano
- extraction 47/37 avec entre temps foyer infectieux sur 26 qui se manifeste : dépose cc et tentative RTE : très mauvais pronostic car résine phénoplaste qui au premier abord ne se laisse pas faire.
- patiente qui veut le trt le plus simple qui soit, en évitant toute forme de chirurgie sauf si vraiment indispensable, critère esthétique non retenu avec une bonne tolérance pour prothèse amovible.
D’où ma question que feriez-vous en restant le plus basique possible tout en soulageant ses problèmes articulaires au plus rapidement ?
Je penche quand même pour une PAP inf le temps de retrouver un pseudo équilibre et de remanier le haut. (nb : partiel 4 dents au max actuellement)et on remet un coup d'adjointe dans un troisième temps en coodonnant au mieux HT et Bas.

Panobrut o82d0l - Eugenol
Pano qtoirt - Eugenol

fluornet

02/03/2007 à 20h27

Moulages avant extractions

Mod droit ibjmij - Eugenol
Mod face ronpwd - Eugenol
Mod gauche rhjhfd - Eugenol
Vue sup kfqfli - Eugenol

fluornet

02/03/2007 à 20h28

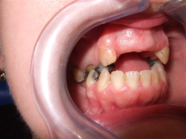
Cheese

Droite hi6b7z - Eugenol
Fermé zuqaio - Eugenol
Ouvert tedtod - Eugenol
Gauche avacge - Eugenol

024 vownvo - Eugenol
annie

02/03/2007 à 21h29

pourquoi as tu extrait 37 et 47,les seules dents ou il y avait un peu d'os autour,qui auraient pu servir traitées,IC pour redresser l'axe et cr,a stabiliser une plaque du bas?
Pour ces douleurs,retrouver un articulé plus favorable avec eventuellement des plaques,pour surélever un peu
pas joli,joli! bon courage!


fluornet

02/03/2007 à 22h01

37/47 non traitées car bio non souhaitées par patiente..... et oui des patients qui veulent du radical ça existe malheureusement même en leur expliquant qu'ils ne savent pas ce qu'ils perdent.....
A sa décharge.... moyen financier au plus bas, et luxation ATM spontannée au bout de 15min d'ouverture.....YES......


024 vownvo - Eugenol
annie

02/03/2007 à 22h10

bin,deux plaques et basta! essaye de trouver les dents qui pourront supporter les crochets sans rester dans l'appareil,mais le plus important retrouver une occlusion plus adaptée


Image odged8 - Eugenol
ploc

02/03/2007 à 23h46

2 complets: simple,radical et plus de pb de suivi,contrôle etc..;
adhésion de ta patiente assurée


zno

02/03/2007 à 23h55

apparement les problemes s'accumulent depuis des annees et le dernier qui marque il a pas gagnè


024 vownvo - Eugenol
annie

03/03/2007 à 00h17

ploc Ecrivait:
-------------------------------------------------------
> 2 complets: simple,radical et plus de pb de
> suivi,contrôle etc..;
> adhésion de ta patiente assurée
>
en bas c'est dommage de lui extraire ses belles incisives,mais en haut pas grand chose à garder mises à part les canines!




Images eb1m5g - Eugenol
tonio

03/03/2007 à 01h58

ploc Ecrivait:
-------------------------------------------------------
> 2 complets: simple,radical et plus de pb de
> suivi,contrôle etc..;
> adhésion de ta patiente assurée


mouais, dommage de virer les 9 dents antérieures mandibulaires (inc + PM) quand même. Elle semble avoir un paro en béton avec des dents encore bien implantées.

A première vue et de façon subjective, j'aurais tendance à virer toutes les dents maxillaires + régularisation osseuse des secteurs post. En bas, je virerais les molaires.

Puis complet haut et stellite bas tout simplement. Au mieux, on peut espérer mettre les dents en bout à bout dans le secteur antérieur.

Ce qui me chagrine le plus est comment gérer la DV très faible dans la zone postérieure. La hauteur des dents prothétiques risque d'être assez réduite à ce niveau s'il l'on ne veut pas surélever exagérement la DV.
En faisant une régularisation de la crête + avec la résorption physiologique post-extractionnelle, on gagnera quelques millimétres salvateurs mais pas suffisamment.

Il faudra alors augmenter la DV. Dans ce cas, je pense que je le ferais avec beaucoup de prudence et très modérement (2-3 mm en ant). Si on augmente plus, on risque de rompre un équilibre fragile et difficile à maitriser au niveau des ATM.

Augmenter de façon importante une DV ne me pose pas trop de soucis en général mais dans ce cas précis, je serais très prudent...


Grueavatar nptrc9 - Eugenol
Le Choixpeau magique

03/03/2007 à 10h54

Tu n'as pas forcémment besoin d'augmenter à proprement parler la dv, juste de la retrouver ! Vu que toutes les dents en occlusion se sont cassées la gueule, ça fait longtemps qu'elle a été perdue.
Si tu fais une PAC, tu ne vas de toute façon pas te baser sur la dvo actuelle qui ne correspond plus à rien.


ben

03/03/2007 à 11h17

Heureusement que ce patient ne t'a pas demandé de lui couper un bras.


ben

03/03/2007 à 11h53

Chacun sa façon de voir les choses ma grande.
Perso je n'ai jamais estropié un patient parce que l'Etat ne me permet pas de le soigner.
JE DECIDE du plan de traitement, même si ça peut paraitre dingue à certains, et ce parce que je m'y connait en général mieux que mes patients.


ben

03/03/2007 à 12h35

Continue de subir ma grande puisque c'est ton choix.


ben

03/03/2007 à 13h30

ça n'est pas à nous, dentistes libéraux, d'extraire des dents saines du fait du désengagement de l'Etat.
Je n'ai rien dit de plus.


fluornet

03/03/2007 à 15h23

"lapadoué
Dans ce cas, la patiente semble encore jeune et on comprend qu'elle soit découragée vue la dose de soins qu'elle a déjà subis pour quasiment aucun bénéfice... Certainement une classe 3 squelettique avec béance antérieure au début , des soins a minima quand ça fait mal etc...un lourd fardeau pour la patiente!
Et un vrai casse tête pour qui veut bien lui rendre service!"

C'est très bien résumé, lapadoué tu m'enlèves les mots de la bouche et j'ajouterai qu'il est d'autant plus difficile de faire accepter un plan de traitement lourd que le praticien sort juste de fac...."zavez jamais entendu dire : oh là le pti jeune il vient de s'installer et il veut se faire des couilles en or avec ces plans de traitement à 3000 euros..... bah oui ici c'est pas le bassin minier mais presque.... alors quand 90% de tes patients te font une Gueule à faire pleurer un chiwawa lorsqu'il leur reste 200 euros de leur poche après mutuelle il faut bien s'adapter.... ça me fait enrager car c'est un combat perpétuel et fatiguant rendu encore plus compliqué par quelques Prat peu regardant à la qualité et qui font douter les patients..... et contre ça j'ai du mal.... j'essaye de faire au mieux, je me dis que dans quelques années les patients qui viendront auront certainement davantage confiance en moi et en mes plans de traitement mais il faut laisser du temps au temps....

Pour en revenir à ma patiente je lui ai déjà exposé différentes solutions similaires à vos propositions. Pour le bas le problème ne se posait pas : pth résine en conservant tout ce qui reste car stellite pas possible cause money of course (et même en lui faisant crédit... ;-)), c'est plus le haut qui m'embêtait, nous avons évoqué l'extraction totale mais c'est la régularisation qui ne me semble pas forcément évidente.....et la gestion en parallèle de ses douleurs articulaires qui ont un peu diminué depuis extraction (léger recentrage)..... opinion?


024 vownvo - Eugenol
annie

03/03/2007 à 16h17

Et bien tu vois,stellite du bas impossible cause money comme tu dis,et bien une indication de stellite chez labocast,ne te coutera pas bcp plus cher que ton appareil résine et sera plus confortable pour la patiente
Ceci dit,il ne faut pas se plier systématiquement aux désirs du patient,lorque ces désirs ne sont pas en rapport avec tes convictions,il faut apprendre à les imposer
Si elle est tellement fauchée,ne beneficie t-elle pas de la cmu?
Endos,IC+cr sur 37 et 47 tarifs cmu,pour une meilleure stabilité de l'appareil,patiente satisfaite,c'est le but,non?
pour être bénéficiaire c'est un autre problème,mais si tu débutes,essaie de mettre en priorité la satisfaction des patients avant les
sous,c'est la meilleure des pubs,le reste suivra
ou alors refuse de prendre en charge si le cas ne te convient pas,


fluornet

03/03/2007 à 17h33

Trop riche pour avoir la CMU si tu vois ce que je veux dire, et à causer vrai, je n'ai pas songé à travailler avec labo made in chine mais pourquoi pas si cela ne comporte pas trop d'aléas.
Petite remarque quand même on fait tous des erreurs mais je ne sais pas si l'erreur en débutant ne serait pas plus grande de dire "non franchement je ne peux rien pour vous" que d'essayer de faire un compromis quitte à se plier un peu trop aux souhaits du patient.... et parce que tu insistes : je ne suis vraiment pas convaincu que la bio et ic/CC de 37/27 dans ce cas précis soit une aide précieuse pour résoudre ces problèmes inter-max, mais je peux me tromper et dans ce cas Mea Culpa... promis je ne recommencerai plus....mais qui n'a jamais fait d'erreur en pensant bien faire me jette la première pierre.....


024 vownvo - Eugenol
annie

03/03/2007 à 19h14

je ne te parle éventuellement que de la plaque du bas,car pour l'instant si tu ne regles pas le problème au maxillaire ,pour un premier essai tu risquerais d'être déçu .
Je t'ai posé la question pour 37,47,si j'ai insisté,ce n'est pas tant les raisons de les garder( quoiqu'il est préférable de garder tout ce qui peut être gardé en vue d'une stabilisation,surtout à la mandibule,les complets du haut sont plus stables!!) mais les raisons données pour les extraire
En général,si tu trouves les bons arguments,les patients approuveront ton plan de traitement,à
condition de l'evaluer en fonction de leurs possibilités financières
Mais il ne faut jamais se plier à leurs exigences si elles ne répondent pas à tes critères,ils pourraient te le reprocher par la suite
j'ai un petit article à ce sujet,je vais essayer de le retrouver et de le poster


Avatar ow44t3 - Eugenol
Chicot

03/03/2007 à 20h00

Si les douleurs ATM ont diminué, c'est que tu as levé des interférence en exo 37 et 47
Maintenant, si elle a plus mal et n'a pas de quoi se payer un traitement adapté, laisse tomber, ben a raison. Car si les douleurs reviennent ensuite avec le plan de traitement qu'elle t'as imposé, tu seras tenu pour responsable d'avoir réalisé un traitement non conforme. Et oui, c'est toi "l'homme de l'art".

Un prat. de ma région a été condamné par le tribunal pour avoir traité une patiente qui voulait pas sortir un sous en faisant une PAP résine sur les 4 dents antérieurs. La patiente a porté plainte en se plaignant de l'inconfort de la PAP. Parceque l'expert à estimé qu'il aurait fallu posé des implants et que la PAP ne correspond plus aux données acquises, le juge a tranché ! Le problème financier n'avait pas à entrer en ligne de compte, il fallait proposer le traitement implantaire...


024 vownvo - Eugenol
annie

03/03/2007 à 20h46

Proposer d'accord,mais si elle ne voulait pas débourser un sou,les implants étaient éliminés d'office!ça devient n'importe quoi!


alhoun

03/03/2007 à 20h54

ben Ecrivait:
-------------------------------------------------------
> Heureusement que ce patient ne t'a pas demandé de
> lui couper un bras.


manche longue ou manche courte?


Squash u44zd8 - Eugenol
steph

03/03/2007 à 21h08

annie Ecrivait:
-------------------------------------------------------
> j'ai un petit article à ce sujet,je vais essayer
> de le retrouver et de le poster

J'ai bien lu?????


024 vownvo - Eugenol
annie

03/03/2007 à 21h14

steph Ecrivait:
-------------------------------------------------------
> annie Ecrivait:
> --------------------------------------------------
> -----
> > j'ai un petit article à ce sujet,je vais
> essayer
> > de le retrouver et de le poster
>
> J'ai bien lu?????
>
>
oui pourquoi?


024 vownvo - Eugenol
annie

03/03/2007 à 21h28

En gros il indiquait ceci
Il ne faut pas toujours faire plaisir ou écouter ses patients
Suivait l'exemple d'un dentiste qui a la demande de sa patiente avait exécuté un travail,puis problèmes,et plainte et condamnation


12