Cookie Consent byPrivacyPolicies.comsinus lift sur une dent - Eugenol

sinus lift sur une dent

Avatar ow44t3 - Eugenol
Chicot

07/03/2007 à 14h47

Patiente porteuse d'un bridge de + 10 ans réalisé par un confrère. Celui-ci ayant quitté la région, je la suis depuis peu.

Le bridge est pas trop mal, aucune raison de le déposer pour le moment. La patiente ne le souhaite pas pour le moment, malgrès un esthétisme améliorable. Maintenance parodontal bien suivit.

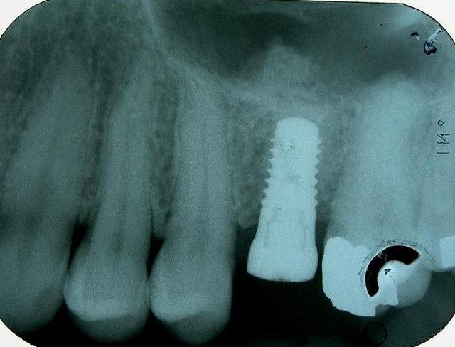
J'ai dût extraire 26 (carie+++ sous une couronne unitaire)
Comment la remplacer ?

A l'OPT j'ai 4 mm
Au scan c'est confirmé

J'ai réalisé une fenêtre aux niveau des "apex" de 26 pour soulever la membrane et mettre du biomat.
Implant et vis de cica dans la foulée (couple >à 50N obtenue sous forant) (Nobel Replace Speedy WP 5*10mm)

c'est une première pour moi....

Question: pourquoi à l'OPT l'implant parait toujours plus mésial ?
Vous auriez fait un summer ou idem ?

ps: le polype à droite (asymptômatique) semble venir de la 18 qui est complétement dans le sinus (au scan) ou de 16 mais les canaux semblent obturés à l'apex

Avant opt muxrmh - Eugenol
Après opt x6yulp - Eugenol
Rétro après e3usyl - Eugenol

2013 03 05 16.04 - Eugenol
styves

07/03/2007 à 18h38

bravo pour ce lift,par facilité j'aurais plutot fait un abord crestal avec osteotomes pour eviter apex de 25 et 27 mais le resultat est comparable


3f3boxni50k58rq7e9ce9ddqrxgk - Eugenol
dentiste57

07/03/2007 à 21h00

As-tu mis une membrane pour fermer ta fenêtre ?


Avatar ow44t3 - Eugenol
Chicot

07/03/2007 à 22h49

dentiste57 Ecrivait:
-------------------------------------------------------
> As-tu mis une membrane pour fermer ta fenêtre ?


Il y a pas de concensus sur l'utilité de mettre une membrane.

J'ai placé du surgicel pour maintenir le biomat et remis le lambeau périosté.

Quand je réalise des résections apicales avec mise en place de biomat, je mets pas de membrane à part le périoste.

Ai-je tord ???


pepe54

08/03/2007 à 11h04

Pas de consensus, mais il y a quand meme l'article de Wallace


gerard

08/03/2007 à 11h07

bonjour et hélas oui Chicot...
en effet les études de NYU(conf AO 2003) {wallace,froum,etc...) ont montré une différence très significative sur les gains osseux ,le volume VL et le taux de succès des implants avec et sans membrane donc membrane type résorbable collagene ou autre.
ensuite, -c'est un forum donc critique constructive-, éviter le surgicel qui n'est pas résorbable aussi bien que son fabricant le dit et laisse des zones fibreuses et inflammatoires dixit l'équipe de la sapo.
en revanche ton choix de volet lat est excellent et permet de mettre en place ton implant dans de bonnes conditions donc bravo!!!
amicalement ,gégé



Avatar ow44t3 - Eugenol
Chicot

08/03/2007 à 17h02

gerard Ecrivait:
-------------------------------------------------------
> éviter le surgicel qui n'est pas
> résorbable aussi bien que son fabricant le dit et
> laisse des zones fibreuses et inflammatoires dixit
> l'équipe de la sapo.
> en revanche ton choix de volet lat est excellent
> et permet de mettre en place ton implant dans de
> bonnes conditions donc bravo!!!
> amicalement ,gégé
>
>
>


Merci gégé, je mettrais donc une membrane la prochaine fois pour fermer le volet mais à + de 150€ la membrane j'ai hésité (surtout que je n'ai facturé l'intervention que 300€ de plus qu'une pose d'implant classique...).

Pour protéger la membrane de schneider et assurer l'hémostase, j'ai placé aussi du surgicel avant le phosphate tricalcique. Faut-il également éviter le surgicel et mettre du Pangen écrasé pour le rendre plus plat et plus manipulable comme j'ai déjà vu faire ?

amicalement


2013 03 05 16.04 - Eugenol
styves

08/03/2007 à 19h27

pour l'hemostase une compresse impregnee de chlorhydrate d'adrenaline(contenu ds une carpule d'anesthesie) laissée en place 5 minutes assure un champ operatoire net et maintien la membrane de schneider en position si il y a eu lésion membrane mettre eventuellement epiguide ou biomend qui st resorbables ou s'abtenir et refermer pour laisser la membrane cicatriser si pas de lesions pas la peine de mettre quoique ce soit pour proteger la membrane


killer

08/03/2007 à 19h49

tu peux utiliser PRF aussi car il peut y avoir des microperforations que tu ne vois pas


damdam

08/03/2007 à 21h32

killer Ecrivait:
-------------------------------------------------------
> tu peux utiliser PRF aussi car il peut y avoir des
> microperforations que tu ne vois pas

t'arrêtes jamais???


Avatar ow44t3 - Eugenol
Chicot

08/03/2007 à 22h34

lu sur le net:

Elévation de la membrane sinusienne
Lorsque le patient a eu une parodontite une reconstruction verticale peut–être nécessaire ou encore une construction interne : une régénération osseuse dans le sinus. Pour Xuh et al. (2004), le Bio-oss® n’empêche pas la reformation osseuse. On a besoin d’un biomatériau pour maintenir la membrane élevée. C’est une régénération osseuse guidée. On a simplement besoin d’un matériau qui résiste à la ré-expansion sinusienne et qui ne se résorbe pas rapidement. Hallman et al. (2002) ont comparé les taux de succès implantaires dans des sinus greffés en fonction du matériau utilisé. Os autogène : 82,4%. Bio-oss® + 20% d’os autogène : 94,4%. Bio-oss® : 96%.
Il n’y a aucune raison de faire un forage ailleurs pour récupérer de l’os en plus du Bio-oss®. Aucun facteur de croissance disponible actuellement n’améliore les choses.
Le secret est de bien décoller les parois et de réaliser une fenêtre la plus petite possible et la plus apicale possible.

********
Une membrane Bioguide® peut être posée sur le matériau de comblement pour éviter des invaginations de fibrose.
********

Le Bio-oss® peut être mélangé aux tétracyclines pour améliorer sa réhydratation. L’emploi d’une grosse granulométrie permet de voir au scanner de contrôle les endroits où de l’os s’est reformé ou pas.
Si la hauteur sous sinusale est égale à 8 mm on peut poser des implants courts. En deçà l’élévation de la membrane sinusale est nécessaire. Lorsque la hauteur est égale à 3-5 mm on fait du 1 temps chirurgical : sinus lift + implants en trans-muqueux. Lorsque la hauteur est < 3 mm : 2 temps chirurgicaux.
En moyenne, on obtient 98,75% de succès en 2 temps et 98,2 % en 1 temps.

alors une membrane est-ce réélement indispensable ????


Blason dql7mj - Eugenol
growler

09/03/2007 à 02h44

"Le secret est de bien décoller les parois et de réaliser une fenêtre la plus petite possible et la plus apicale possible. "

Peut être que l'importance de mettre en place une membrane bioguide sur la fenêtre de tatum serait proportionnelle à la taille de cette fenêtre et à l'intégrité du périoste? eh Wallace, t'aurais pas une petite étude la dessus?

@+


alhoun

09/03/2007 à 09h08

en fait, sur les membranes, wallace s'appuie sur le papier de mon pote Tawil...
quant au un temps ou deux temps, chicot, c'est un peu dépassé.


Avatar ow44t3 - Eugenol
Chicot

09/03/2007 à 14h16

alhoun Ecrivait:
-------------------------------------------------------
> en fait, sur les membranes, wallace s'appuie sur
> le papier de mon pote Tawil...

et ?

membrane ou pas ?

Et pour protéger la membrane de schneider tout en assurant l'hémostase, on place quoi ?

> quant au un temps ou deux temps, chicot, c'est un
> peu dépassé.

je suis d'accord avec toi, je n'ai fait que citer un article


alhoun

09/03/2007 à 14h46

Chicot Ecrivait:

>
> membrane ou pas ?

oui, c'est mieux....
>
> Et pour protéger la membrane de schneider tout en
> assurant l'hémostase, on place quoi ?


la protéger de quoi? il faut que l'intervention soit la plus simple possible.


>
> > quant au un temps ou deux temps, chicot, c'est
> un
> > peu dépassé.
>
> je suis d'accord avec toi, je n'ai fait que citer
> un article
>
>



piezo1

09/03/2007 à 15h56

Lire Wallace, Tarnow e Tawil: il y a du consensus pour utiliser la membrane.


Avatar ow44t3 - Eugenol
Chicot

11/03/2007 à 22h36

lu et traduit par google: (pas tj facile à comprendre ce google ;o)

Résultats comparables avec l'os autogène particulaire ou le Bio-Oss® /Bio-Gide ®.2
La résistance de Bio-Oss® à la résorption est avantageuse en maintenant les dimensions initiales de la greffe augmentée.
Dans une méta-analyse, la survie d'implant évalue dans le sinus maxillaire accru en couvrant la fenêtre latérale de membrane.3
taux de survie de *93.6% avec la membrane
survie de *88.7% sans membrane.

*p < 0.05
L'utilisation d'une membrane a une influence positive sur la formation d'os et la survie essentielles d'implant

L'efficacité du placement de membrane au-dessus de la fenêtre latérale a été rapportée comme une augmentation de formation essentielle d'os et comme augmentation résultante de survie d'implant. Trois ont commandé une survie plus élevée d'implant d'exposition d'épreuves (Tarnow, Tawil, Froum) quand une membrane est utilisée. Deux de ces épreuves montrent également la plus grande formation d'os de 60-100% avec une membrane. Une étude de comparaison (Wallace) (Bio-Gide®) des membranes non-absorbables (ePTFE) et absorbables a montré les taux semblables histomorphometric et d'implant de survie.

Ce qui me gêne un peu c'est que ce genre d'étude semble sponsorisé par Bio-Gide et Bio-oss. Est-ce vraiment fiable ?


Logo vuaztn - Eugenol
mac

11/03/2007 à 22h59

ce qui est certain c'est que si tu veux faire une étude biblio il vaut mieux chercher sur medline que google.


piezo1

13/03/2007 à 13h01

Chicot Ecrivait:
-------------------------------------------------------
> lu et traduit par google: (pas tj facile à
> comprendre ce google ;o)
>
> Résultats comparables avec l'os autogène
> particulaire ou le Bio-Oss® /Bio-Gide ®.2
> La résistance de Bio-Oss® à la résorption est
> avantageuse en maintenant les dimensions initiales
> de la greffe augmentée.
> Dans une méta-analyse, la survie d'implant évalue
> dans le sinus maxillaire accru en couvrant la
> fenêtre latérale de membrane.3
> taux de survie de *93.6% avec la membrane
> survie de *88.7% sans membrane.
>
> *p < 0.05
> L'utilisation d'une membrane a une influence
> positive sur la formation d'os et la survie
> essentielles d'implant
>
> L'efficacité du placement de membrane au-dessus de
> la fenêtre latérale a été rapportée comme une
> augmentation de formation essentielle d'os et
> comme augmentation résultante de survie d'implant.
> Trois ont commandé une survie plus élevée
> d'implant d'exposition d'épreuves (Tarnow, Tawil,
> Froum) quand une membrane est utilisée. Deux de
> ces épreuves montrent également la plus grande
> formation d'os de 60-100% avec une membrane. Une
> étude de comparaison (Wallace) (Bio-Gide®) des
> membranes non-absorbables (ePTFE) et absorbables a
> montré les taux semblables histomorphometric et
> d'implant de survie.
>
> Ce qui me gêne un peu c'est que ce genre d'étude
> semble sponsorisé par Bio-Gide et Bio-oss. Est-ce
> vraiment fiable ?

Oui, il est fiable. Et d' ailleurs, tout le monde utilise une membrane adsorbable sur le volet.



Tenax

12/05/2007 à 23h36

désolé , j'essai juste de voir si j'arrive à poster une image.......

Soulevé de sinus xsjh2j - Eugenol

Tenax

12/05/2007 à 23h38

c'est réussi, je suis très heureux pour une m...
en info, je vous embeterais plus pour rien, promis.....


Blason dql7mj - Eugenol
growler

13/05/2007 à 01h30

image très bien postée tenax, net malgré l'agrandissement mais assez cocasse :-)


Amibien

15/05/2007 à 02h49

Je ne suis donc pas le seul ?


alhoun

15/05/2007 à 10h24

je remarque que ton implant est entièrement dans de l'os natif.
alors pourquoi la greffe, ou pourquoi pas un implant plus long?


Logo vuaztn - Eugenol
mac

15/05/2007 à 10h48

alhoun Ecrivait:
-------------------------------------------------------

> alors pourquoi la greffe


à mon avis il a du avoir entre 1000 et 2000 bonnes raisons de faire cette greffe.


12