Cookie Consent byPrivacyPolicies.comTraitement (réussi) via l'Occlusodontologie - Eugenol

Traitement (réussi) via l'Occlusodontologie

occlusion

18/03/2007 à 10h36

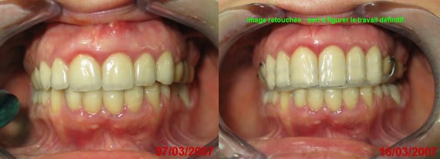
Pour les novices : les clichés ne présentant pas d'appuis postérieurs (= « béances PM & M », gauche et droite) coïncident avec la période des REGLAGES du PMRI, s’étalant entre le 7 mars et le 16 mars 2007.

Durée effective du traitement = « REGLAGES du PMRI » = pour pouvoir « éteindre » toutes ses douleurs, le patient a passé QUATRE HEURES au fauteuil dans le cas présenté ici.
Difficile de faire plus vite, mais quand on compare au NOMBRE d’ANNEES de GALERE…

Les REGLAGES du PMRI précèdent la fin du traitement avec la mise en place des patins postérieurs sur les PM & M : le PMRI est alors devenu une « Prothèse Occlusale » (« PO »), « patron » - comme en couture – de la future réhabilitation asymptomatique (métal et/ou porcelaine).

Donc : le traitement par PMRI-PO NE permet AUCUNE EGRESSION DENTAIRE POSTERIEURE, comme j'ai déjà pu le lire / entendre dans des articles / conférences "scientifiques" de très "hauts" niveaux.

Comme il faut bien critiquer aussi son travail : il est vrai que les six dents antéro-supérieures paraîtront « longues » à certains d’entre nous, mais remarquez aussi : UNIQUEMENT en PRESENCE des ECARTEURS des LEVRES.

Or, le patient ne se ballade jamais en rue avec nos écarteurs des lèvres « in situ ».

D’autre part, lors des tests phonétiques, soigneusement étudiés à 16 images/seconde (vidéo numérique), la HAUTEUR APPARENTE de ces six dents supérieures est tout à fait courante, normale et ordinaire.

Au stade de la PO, le Patient n'est plus perturbé dans ses relations sociales, il n’a quasi plus de douleurs symptomatiques, l’esthétique du visage est améliorée et il ne prend plus AUCUN MEDICAMENTS ! ! !
- Que faudrait-il de plus au Patient ?
- Que faudrait-il de plus au Praticien ?

Donc : si des objections, objectives et scientifiques, existeraient encore, qu'elles s'annoncent maintenant.

« SINON, QU'ELLES SE TAISENT A JAMAIS ! »

Occlusodontologie 01 f6qcwc - Eugenol
Occlusodontologie 01bis ieps9h - Eugenol
Occlusodontologie 02 jx3m8l - Eugenol
Occlusodontologie 03 wglkbk - Eugenol

occlusion

18/03/2007 à 10h38

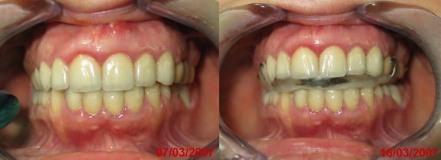
Suite des images.

Occlusodontologie 04 b1yjs6 - Eugenol
Occlusodontologie 05 zsigtd - Eugenol

occlusion

18/03/2007 à 11h45

Ce message répond aussi à Rick : "Qu'as tu fait occlusion pour ce cas ? " [12/03/2007 13:53:39]


Cuisinier2 vnbbxx - Eugenol
jeff2

18/03/2007 à 12h52

il aurait été interessant d'avoir les photos de debut avec les arcades marques au papier d'occlusion et aussi dans une autre couleur les marquages de glissemet lateraux et propulsifs, car on pourrait croire que c'est une analyse que tu ne fais pas en premiere intention et vu comment tu documentes ce cas..


Amibien

18/03/2007 à 14h10

...et de la tester avec les couleurs pour savoir dans lesquelles elle ne basculait pas !


Cuisinier2 vnbbxx - Eugenol
jeff2

18/03/2007 à 14h18

ne provoque pas Occlusion, Amibien.
l'idée est surtout de comprendre pourquoi cette patiente est arrivée chez Occlusion. ON peut soupconner que son parcours de diffrents praticien s l'ont conduites chez occlusion qui a le droit de faire de la pub sur inyternet, sauf que nous en France cela nous est interdit.
Occlusion n'a qu'une idée c'est daugmenter la dvo, c'est son choix, mais d'apres toute ses lectures, c'est le eul choix qu'il offre a ses patients en benificiant d'une vente d'une douzaine de ceramique, c'est le cote rentable qui prime.
L'idée , c'est d'avoir les photos d'occlusion (pas de lui, je les ai) mais des points de contact de cette patiente


isaïe

18/03/2007 à 14h47

Dans le cycle de déglutition que nous avons évoqué hier, le plan rétroincisif aura le même effet au niveau molaire et prémolaire qu'une interposition linguale. Ceci ne dure que quelques jours heureusement.
D'autre part, l'objet, quel qu'il soit, placé entre les arcades supprime le schéma occlusal existant pour en installer un autre.
Je pense qu'Hallboy comprendra ceci : il est dès lors abusif de prétendre que l'augmentation de DV est responsable du changement éventuel observé.
Tout comme il est abusif d'affirmer que dans le passage de l'amalgame au composite, c'est la différence de matériau qui a amené un changement positif éventuel chez le patient. On ne peut pas ignorer d'autres paramètres, comme l'inévitable modification occlusale en l'occurrence.
Et dans le cas proposé, étant donné ce qu'on peut apprécier de son état dentaire, il est à mon avis difficilement justifiable de proposer à cette patiente une reconstruction prothétique complète alors que la résolution de sa problématique peut être obtenue par une voie nettement moins agressive, biologiquement et financièrement.


200106 10150128247663588 709988587 6466236 5598391 n d7mksb - Eugenol
hallboy

18/03/2007 à 19h20

Pas mieux ;)


Cuisinier2 vnbbxx - Eugenol
jeff2

18/03/2007 à 19h41

ca serait bien que la patiente concernée lise eugenol, de toute façon comme ila été obligé de lui demander l'autorisation , il y a des forte chance pour qu'elle lise ce post. Je doute qu'elle apprecie de soupconner qu'il puisse y avoir une technique plus rapide et moins couteuse que ce qu'a proposé Occlusion, mais si c'est l'expert officiel en belgique


damdam

18/03/2007 à 20h37

pas beaucoup de conversation cette patiente : filature et mississipi....
surtout que mississipi la bouche fermée çà doit etre balaise!!!


Humb

18/03/2007 à 22h34

La présentation n'est pas assez documentée pour constituer un élément de preuve,preuve de quoi?

Tout le monde peut décrire plusieurs cas présentés de cette façon sans pour cela impressionner l'auditoire averti,qui je pense ne sera pas dupe.


200106 10150128247663588 709988587 6466236 5598391 n d7mksb - Eugenol
hallboy

19/03/2007 à 00h23

> Donc : si des objections, objectives et
> scientifiques, existeraient encore, qu'elles
> s'annoncent maintenant.
>
> « SINON, QU'ELLES SE TAISENT A JAMAIS ! »

Laskin et Green. fausses plaques ( mais modifiant l'espace de Donders ) faux meulages a la gomme caoutchouc, faux myorelaxants surpositivés par le prescripteur: resultat à 1 an

40% d'ameliorations significatives.

Bcp plus interessant: 11% d'agravation allant jusqu'aux nausées et vomissements des l'entame du
pseudo traitement.

en premier ne pas nuire.
en 2 les cerams vont vraiment etre moches.
en 3 tes certitudes sont le premier danger que tu fais courir à ton patient. Ce qui n'exclue pas que tu ais raison (encore que dans le cas presenté où il ne semble pas avoir de perte de DVO prealable...) Mais cet aveuglement et ce systematisme me font mal au ventre.

Y a t il au moins une phase sans le PRI et avant prothese pour voir si la disparition des symptomes perdure? Car une fois sur 3, en partant avec son objet fetiche dans une boite le boulot est fait, pour peu que tu prennes une petite demi heure pour l'ecouter.



occlusion

19/03/2007 à 00h24

Vos commentaires sont très « amusants », sans plus :

- La patiente vient de l'étranger.
- La patiente est suivie par deux Confrères dans son pays d'origine. Le premier est endodontiste exclusif et le second s’occupe de la réhabilitation orale par prothèses, fixe ou amovible : si vous savez lire les dates sur les images, rien n’a pu être décidé ce week-end.
- La disparition des douleurs chez cette patiente devrait également pouvoir susciter l’intérêt des professionnels passionnés par eugenol.com/occlusodontie - Ceci ne semble pas encore être le cas.
- « car on pourrait croire » [Jeff2] : j’ai autre chose à faire que de jouer dans un bac à sable.
- « Les photos de début avec les arcades marques au papier d'occlusion » [Jeff2] sont totalement inexploitables dans le cadre d’une déglutition salivaire atypique : je ne m’occupe que de l’occlusion REFLEXE et non des occlusions VOLONTAIRES, toutes enfantées par la Gnathologie. Pour mémoire, j’ai cité l’examen vidéo à 16 images/seconde. Ce dernier met en évidence les interpositions linguales réflexes, tout comme les images qui sont présentées ici.
- « ...et de la tester avec les couleurs » [Amibien] : cfr supra pourquoi il ne sert à rien de jouer avec tes crayons de couleurs lorsqu’il n’existe aucune occlusion REFLEXE.
- « l'idée est surtout de comprendre pourquoi cette patiente est arrivée chez Occlusion » [Jeff2] : elle aurait pu arriver chez toi aussi ! Seules les DOULEURS CHRONIQUES la guidaient.
- « Occlusion n'a qu'une idée c'est daugmenter la dvo, c'est son choix, mais d'apres toute ses lectures » [Jeff2] : va revoir tes définitions et étiologie de la SUROCCLUSION et SUS-OCCLUSION sur lesquels c’est un DEVOIR PROFESSIONNEL de réduire la DVO, et tu diras peut-être un peu moins de bêtises à l’avenir.
- « c'est le eul choix qu'il offre a ses patients en benificiant d'une vente d'une douzaine de ceramique, c'est le cote rentable qui prime » [Jeff2] : comme dit plus haut, je ne m’occupe par de la REHABILITATION DEFINITIVE et, malgré tes « conseils » ou tes « idées », la « Science de l’occlusion » te fait surtout cruellement défaut. C’est pour cette raison que tu cherches encore ta voie « occlusale », et même jusqu’au travers de tout discours des rebouteux de ton Club.
- « L'idée , c'est d'avoir les photos d'occlusion (pas de lui, je les ai) mais des points de contact de cette patiente » [Jeff2] : hormis tes « contacts occlusaux », auxquels tu trouveras les réponses ci-dessus, je me doutais bien que tu avais un « drôle » de comportement confraternel. Merci de m’avoir donné aujourd’hui raison…
- « Dans le cycle de déglutition que nous avons évoqué hier, le plan rétroincisif aura le même effet au niveau molaire et prémolaire qu'une interposition linguale. Ceci ne dure que quelques jours heureusement » [isaïe] : Monsieur le Gourou Brasophile, merci de confirmer, une fois de plus, que tu n’as encore rien compris à l’occlusion REFLEXE (« inné »). Et ce qui suit le démontre aussi :
- « il est dès lors abusif de prétendre que l'augmentation de DV est responsable du changement éventuel observé » [isaïe] : toute modification de la hauteur dentaire induit des conséquences REFLEXES au niveau des muscles manducateurs, ou MUSCLES POSTURAUX de la MANDIBULE (mâchoire inférieure). A défaut de comprendre ce qui précède : pourquoi NE réalises-tu, Ô Gourou Brasophilicus, QUE des « meulages sélectifs » sur les dents de TOUS tes patients ?
- « Et dans le cas proposé, étant donné ce qu'on peut apprécier de son état dentaire » [isaïe] : J’ESPERAIS AU MOINS que tu aurais remarqué que toutes les surfaces triturantes (occlusales) NATURELLES des dents ont disparu ? MEME PAS !
- « la résolution de sa problématique peut être obtenue par une voie nettement moins agressive, biologiquement et financièrement » [isaïe] : si le patient se moque complètement de l’esthétique, je peux aussi me contenter de remplacer la résine du PMRI-PO par du métal. « Un fer à cheval amovible » : je n’avais pas encore osé y penser, mais si tu insistes… D’autre part, vous sembleriez ignorer que le bridge total n’est pas l’unique solution thérapeutique après un PMRI-PO…
- « une technique plus rapide et moins couteuse que ce qu'a proposé Occlusion » [jeff2] : en tous cas, vous semblez être les seuls dentistes à travailler le WE, mais seulement du chapeau. Bientôt les vacances de Pâques : patience donc, jeff2, elles arrivent !
- « surtout que mississipi la bouche fermée çà doit etre balaise!!! » [damdam] : quand tu prononces un « p » explosif, tu coinces les lèvres ou tu écartes les jambes ?
- « La présentation n'est pas assez documentée pour constituer un élément de preuve,preuve de quoi? » [Humb] : tes preuves, grosses comme un éléphant, sont sous ton nez, mais tu n’es même pas foutu de les voir.

Bonne continuation dans le genre : c’est trop marrant !


occlusion

19/03/2007 à 00h35

- « encore que dans le cas presenté où il ne semble pas avoir de perte de DVO prealable » [hallboy].
Nos posts se sont croisés, mais je ne voudrais pas que tu sois déçu ce dimanche soir : quelle est la marque de ta boule de cristal pour pouvoir estimer une DVO sur des images fixes (photos) comme les radiographies ?

GFSS, pour « Gnatho Flash Solo Show » ?


200106 10150128247663588 709988587 6466236 5598391 n d7mksb - Eugenol
hallboy

19/03/2007 à 01h20

Ma confiance en toi: si il lui reste 1 mm et demi de hauteur sur les posterieures, on est plus dans de l'esoterique. On fait tous ça depuis des lustres: la seule question, c'est, quand on rehabilite, de combien remonter la DVo. On aurait tous gagné du temps si tu avais correctement presenté le cas( empreintes photos rx et de quoi se plaint exactement la patiente. )


isaïe

19/03/2007 à 07h28

On peut donner le même cas à Clauzade, les taux de réussite sont aussi impressionnants que ceux d'Occlusion et sans plan rétroincisif.
Mais réussite de quoi finalement ?
Demandez à un "déglutisseur dents serrées" d'avaler sa salive volontairement ou laissez le faire spontanément. Quand il a parlé un peu et que la quantité est insuffisante, la grimace faciale est toujours au rendez-vous.
J'ai eu l"occasion d'observer Algi dont la DV n'est plus ce qu'elle était, aucune grimace à la déglutition.
Chacun ses critères dans sa petite cuisine. Pour moi, ceci est insuffisant.


occlusion

19/03/2007 à 10h44

isaïe Ecrivait: "Pour moi, ceci est insuffisant".
>
Je ne cherche jamais à satisfaire les praticiens éternels "insatisfaits", mais bien les patients.
Cela me semble le plus important dans notre très belle Profession.


occlusion

19/03/2007 à 10h47

hallboy écrivait : « si il lui reste 1 mm et demi de hauteur sur les posterieures, on est plus dans de l'esoterique »
>
Et si ne lui restait pas au moins 1,5 mm d’Espace libre entre les postérieures, la symptomatologie musculaire (myalgies) se serait rapidement déclarée, au début de la semaine dernière, au niveau des m. masticateurs et des m. hyoïdiens,

hallboy écrivait : « On fait tous ça depuis des lustres »
>
J’ai signalé la perte des références naturelles : en d’autres termes, ce sont les artifices de Dentisterie opératoire et d’anciennes prothèses qui ont déclenché in illo tempore, puis accentué la symptomatologie actuelle, le patient étant en phase de dépassement de ses capacités adaptatives « aux cailloux placés dans ses souliers ». Donc, ta phrase m’étonne un tantinet.

hallboy écrivait : « la seule question, c'est, quand on rehabilite, de combien remonter la DVo »
>
Ta seule réponse est dans la Prothèse Occlusale, issue des réglages du PMRI et « patron » - comme en couture – de la réhabilitation définitive.

hallboy écrivait : « On aurait tous gagné du temps si tu avais correctement presenté le cas( empreintes photos rx et de quoi se plaint exactement la patiente.) »
>
Ces attentes ne sont pas celles des « réflexes innés » :
- Etant à Bruxelles, je n’ai pas la pano sous la main, mais sache aussi que la pano ne me sert jamais dans le diagnostic occlusal réflexe : « occlusion volontaire » dictée par le radiologue au patient. La seule chose utile sur la pano est la modification de quasi toutes les surfaces triturantes naturelles = « perte des références naturelles du patient ».
- Quant aux empreintes : tu voudrais dire « modèles d’étude », je présume ? Pour la même raison, ils ne me sont d’aucune utilité non plus, pas plus que les contacts volontaires inter arcades de la Gnathologie.
- Quant aux plaintes : en général, les douleurs varient de localisations d’un patient à l’autre et concernent, le plus souvent, la musculature posturale des mandibule / tête / ceinture scapulaire / tronc. D’une manière globale, un versant, gauche ou droit, est plus prédominant que l’autre.
- La documentation algique est surtout documentaire pour l’établissement du diagnostic initial et la symptomatologie antérieure dans le dossier du patient.
- Après 24 ou 48 heures de PMRI, les douleurs se réduisent très vite si le diagnostic est correct et si le praticien peut compter sur une excellente collaboration du patient : vous trouverez bientôt un cas très bien documenté sur mon site et avec l’accord à deux mains d’un autre patient.
- Ce n’était pas le cas de ce patient-ci : mon analyse a été coincée par un patient plus soucieux de son esthétique et des tics de son visage que des douleurs : il m’a fallu attendre que les douleurs disparaissent quasi totalement pour que le patient m’informe seulement jeudi dernier de la suppression spontanée de toutes les médications.
- Donc, très mauvaise collaboration du patient et j’ai même cru qu’il allait me conduire dans un cul-de-sac, ce qui n’est pas nécessairement un « échec » pour ses praticiens. Même si le patient accepte d’emblée tous les types de traitements définitifs, il nous reste encore tout le travail sur l’intellectuel du patient et, aujourd’hui, ce n’est pas encore gagné.
- Et donc : les copains d’Eugénol qui ont déjà avancé le prix hypothétique d’une réhabilitation totale se sont carrément plantés et ce n’est pas la première fois… Quand je rencontre un nouveau patient, je suis plus attiré par l’idée de pouvoir l’aider, que son par son portefeuille.
« Et Toc ! » pour la pomme de ces Confrères !
- Quant aux autres qui parlent de « pub », il leur manque toujours la définition, au moins du type « juridique », de celle-ci avant de pouvoir parler d’une éventuelle « faute » JAMAIS démontrée :

« Quant on ne sait pas, on se tait ! »


Amibien

19/03/2007 à 12h18

occlusion Ecrivait:
-------------------------------------------------------
>
> « Quant on ne sait pas, on se tait ! »


Et comme tu ignores tout des dernières avancées concernant l'impact de l'occlusion sur la physiologie, sur la biochimie, sur la psychologie, etc... tu devrait suivre ton conseil, du moins dans cette rubrique "occlusodontie" !


200106 10150128247663588 709988587 6466236 5598391 n d7mksb - Eugenol
hallboy

19/03/2007 à 13h35

on va pas y passer le reveillon, mais si je dois parler d'un traitement, c'est un peu mieux si j'ai les elements pour avoir une idée du diagnostic. sans savoir de quoi se plaignait ta patiente, sans modeles d'etude, sans rx ( pourquoi pas ) et sans la patiente devant moi, ça devient compliqué.

Une partie des photos etant fournies bouche fermeé..... sur une des photos Bo, effectivement on entraperçoit la 36 et la 37.

Mais à ce stade c'est de la divination. Donc, si quand tu presentes un cas tu pouvais fournir... etcetcetc.


Occlusalement tien.



024 vownvo - Eugenol
annie

19/03/2007 à 16h58

Si ce sont les dents du bas qui sont le plus abrasées,pourquoi rallonger plutot celles du haut que celles du bas ? au risque de ne pas prendre en compte le résultat esthétique?


200106 10150128247663588 709988587 6466236 5598391 n d7mksb - Eugenol
hallboy

19/03/2007 à 17h52

Je trouve tres pertinent ce message d'annie et j'attend la reponse


occlusion

19/03/2007 à 18h11

La systématisation qui "REUSSIT TOUJOURS AUX PATIENTS" ne me pose, mais alors : ABSOLUMENT AUCUN PROBLEME !

A la question de savoir « combien de temps le traitement occlusal des patients porte ses fruits » : j’ai un recul jusqu’à 1984 et je peux vous affirmer qu’après remplacement du PMRI-PO par le métal ou par la porcelaine, RIEN ne bouge au niveau de la symptomatologie quasi absente d'une RMDA.
Mais : à la seule CONDITION que le patient remplisse parfaitement toutes les conditions d’une excellente HYGIENE.

Par contre, ce qui m’étonnera toujours sur ce Forum, principalement occupé par des Confrères belges et français, c’est qu’un cas favorablement traité attire uniquement des considérations négatives sur les praticiens, plutôt que :
(1) sur l’intérêt du patient à voir son calvaire douloureux, souvent de plusieurs années, se terminer.
(2) sur la question « dis : comment çà marche ? » : cette question semble n’intéresser AUCUN praticien sur Eugenol.com/Occlusodontie.

Dès lors, qu’attendez-vous réellement des traitements occlusaux efficaces ?
- Des résolutions définitives pour les Patients ?
- Ou rien du tout, à cause d’une perpétuelle insatisfaction des Professionnels que nous sommes ?

A croire que toute la Profession dentaire ne « croit » religieusement JAMAIS à la réussite de TOUT traitement occlusal qu’elle inflige aux patients : elle préfère toujours les traitements « REVERSIBLES », SAUF quand elle s’accorde quelques MEULAGES, DITS « SELECTIFS », des dents NATURELLES pour justifier quand même une consommation fiscale annuelle raisonnable des fraises dentaires et de la turbine !

Pour le reste, voici la PANO « ETAT ANTERIEUR » du cas. Point essentiel à remarquer : multiples meulages « sélectifs » mettant à plat les cuspides des dents naturelles et/ou restaurations iatrogènes des surfaces triturantes. Ceci signe OBJECTIVEMENT une perte de la DVO ORIGINELLE, à laquelle s’ajoute le MANQUE d’ERUPTION des dents définitives, lié à la persistance, chez l’adulte, de la Déglutition Salivaire Infantile ou DS Atypique ou DS Dysfonctionnelle (voir "REIOR & GAL").

Occlusodontologie 06 xonc9a - Eugenol

Amibien

19/03/2007 à 18h29

oui, et dans ce cas qu'as-tu fait ?

montre-nous la pano APRES traitement qu'on rigole...

je me réjouis de voir ton plan de traitement...


200106 10150128247663588 709988587 6466236 5598391 n d7mksb - Eugenol
hallboy

19/03/2007 à 18h38

et tu n'as pas repondu à la question d' Annie.


12