Cookie Consent byPrivacyPolicies.comles piliers procera..combien ça coute? - Eugenol

les piliers procera..combien ça coute?

alhoun

10/12/2004 à 21h51

il me semblait bien que tu disais des bêtises, Carole. toujours faire gaffe à l'accastillage en implanto.


carole

11/12/2004 à 01h19

oups...ben oui, mais je suis blonde ;))

en attendant, j' ai corrigé! pas belle la vie!

pour ce qui est de la fausse gencive, c' est la "chose rose" que met le prothé au niv des elem prothétiques "utiles" pour pouvoir voir à postériori l' esthétique gingivale (détourage+gencive qui reste positionnable)
...en gros, c' est de la fausse gencive sur le positif...tu l' enlèves pour voir l' adaptation, et tu la remets pour voir où ce situe la jonction or/ceram par rapport au sulcus...(je suis pas très claire, mais après du champagne et une dure journée...enfin bon, à minuit passé...bon, je m' enfonce!!!bonne nuit!)


Amibien

11/12/2004 à 02h25

Carole, il faudrait qu'on sorte ensemble un de ces soirs ! j'ai comme l'ipression que tu es une bombe...


alhoun

11/12/2004 à 10h38

carole, à peine arrivée, déjà tacquine, et déjà emballée par l'amibien. attention aux amibes.


alhoun

11/12/2004 à 13h11

allez, encore un petit cas , de A à Z. à tous les omni réfractaires aux implants: sur un cas comme celui là, vous encaissez le prix d'une céram pour 15 min de travail.


alhoun

11/12/2004 à 13h13

et la suite


alhoun

11/12/2004 à 13h15

et encore


alhoun

11/12/2004 à 13h18

et le cas terminé. le praticien référent a une empreinte primaire à faire avant la chirurgie (10 min) et le scellement de la procera ( 15 min, si bon prothésiste).


Amibien

11/12/2004 à 14h21

C'est du bon travail...

Un traitement ortho préalable aurait pu être envisagé, non ?


alhoun

11/12/2004 à 14h40

oui, mais patiente 60 ans, n'a pas voulu en entendre parler. et comme ça ne compromet pas le reste...


Amibien

11/12/2004 à 18h47

Il est toujours difficile de trancher dans un plan de traitement et de savoir jusqu'où on peut aller, effectivement...

Une dame de 67 ans, je lui ai fait son traitement ortho en préparation à l'implantation de six racines artificielles, son traitement paro, ses endos, ses reconstitutions sur ancrages, tout est de niveau et puis... plus rien !

Elle se tate et reste là à me dire bonjour quand je la croise mais elle ne se décide pas à aller plus loin !

Je vais encore manger en famille dans son restaurant mais curieusement on n'aborde pas le sujet...

Je ne suis pas du genre à "courir" après le patient aussi je laisse la bride sur le cou mais j'en suis toujours à me demander ce qui se passe...

Il est vrai que ce sont des implantations intercalaires et que la denture est bien équilibrée malgré les espaces...

Nous verrons bien !

Par contre si j'avais implanté directement le jeu serait différent...

Mardi prochain, je te posterai un cas en cours avec ortho toujours en cours et huit implants que je commence à charger et sur lesquels je vais m'appuyer pour terminer l'ortho...

Pour mettre l'eau à la bouche, la pano du tout début, et si tu as deux minutes, dis-moi ce que tu aurais fait

Pour information, 45 ans, motivée, poches paro de 12 mm entre 33 et 32, de 6 mm autour 15, 35 mobile avec poche purulente, j'ai viré la 38.




Un beau cas upiivz - Eugenol

carole

11/12/2004 à 19h13

c' est sympa de se charier, j' M bien!
pour ne rien gacher, en vrai, je suis une grosse vache avec des boutons, j' aime bien qu' on m' imagine autrement sur le web ;)) oups! j' aurais pas du le dire?!

joli cas, perso, j' aurais pas fait d' ortho non plus car des dents un peu différentes de celles de Belmondo ne sont pas forcément de mauvais gout! Bref, si le patient aime son alignement qui le caractérise et qui type son sourire, pourquoi le changer?

c' est fun, 'j ai un cas un peu dans ce style...je vous le posterai pour avoir votre avis!


alhoun

11/12/2004 à 19h41

waou, même ps besoin de greffe, y a qu'au luxembourg qu'on trouve ça. je t'avoue que pour moi, c'est un cas à onze implants, mais c'est toi qui as vu le patient. 3 et 3 en haut, 4 en bas à droite et 1 en bas gauche. à +


Amibien

11/12/2004 à 23h22

Carole, oh Carole et l'occlusion ? et le plan occlusal, et l'encombrement antérieur ? ça se corrige...mardi les photos avant et après...


max

12/12/2004 à 03h53

das faux-beaux cas d'implant chez des patients dont la bouche est plein de tartre...bravo...


carole

12/12/2004 à 13h17

alhoum, c' est vrai que ta poubelle de bouche ne vaut rien...oser présenter un alcolo-tabagique comme un joli cas....on aura tout vu!!! hé, max, tu étais énervé quand tu as vu les photos???
ne confonds pas aeropolissage et détartrage....et on n' a presque rien vu du cas...

...et d' après ma modeste expérience, c' est rare qu' après une pose d' implant, il n' y ait pas plein de colorations sur les dens bordant le site opéré...et oui, un brossage à la 7/100 pendant 15j finit souvent par laisser ce genre d' aspect non? sur le cas dont j' ai un peu parlé (que je vous enverrai), j' ai eu exactement la meme chose, pourtant, la patiente a été motivée et aeropolie juste avant....mais j' ai du recommencer à la pose....

ami amibe, c' est vrai qu' un encombrement se corrige, mais pas forcément lorsqu' il est leger...et l' occlusion peut etre selon moi compatible avec de légères malpositions...of course, j' insiste sur "légères"...(j' aimerai bien voir des stat sur le nbre d' implants posés après ortho versus sans ortho dans des cas d' encombrement leger)...mais le fait que je sois une bille en ortho (j' adresse meme pour les quad helix!) doit faire de moi un praticien qui sous-motive pour ces pré-traitements..."mea-culpa"...et je vais essayer, via des presentation de cas iconographiees, de motiver un peu plus mes patients adultes à l' ortho pré-implantaire...


Amibien

12/12/2004 à 21h58

Eh max la menace, de faux beaux cas ???

plein de tartre !!!

tu n'as encore rien vu, il y avait du pus partout et les dents étaient mobiles...

mais le génial amibien passait par là et ....

les photos mardi... pas avant !!!


alhoun

13/12/2004 à 12h32

alors les petits clous, ce site devient de plus en plus poilant. passe encore les jeunes idéalistes qui croient qu'ils ont une mission de santé publique sur les bras, c'est faux, et c'est impossible . passe encore ces même jeunes cons, avec six mois de bouteille, et qui d'un ton peremptoire et insultant te donnent des leçons teintées de mépris et de frustration. c'est la règle du jeu, et on a toujours commencé par prendre les ainés pour des crétins. passe encore les vieux cons, qui sans connaître leur interlocuteur, par définition, se permettent l'insulte facile pour faire un bon mot. ( je parle de toi, limlim, tu as vexé alhoun, mais pas le bonhomme derrière). seulement à un moment, quand on commence à parler technique, patients etc, la franchement ça devient de la franche rigolade. je n'inclue pas dans ce coup de gueule un grand nombre d'intervenants de qualité, ni ceux qui sur ce site font preuve d'une gentillesse et d'une courtoisie exemplaire( adhoc, athos etc).
alors c'est un cas d'implant dans une bouche dégueulasse??? mais mon pauvre con, tu ne sais pas ce qu'est un implant, et tu ne sais même pas ce qu'est un patient visiblement. lorsqu'on remplace une dent par un implant, comme dans ce cas, pour des raisons parodontales, nous avons affaire à des gens porteurs d'une pathologie dont les causes ne disparaissent pas du jour au lendemain, ça c'est la dentisterie de tout les jours, c'est un cas de tous les jours, et tu veux peut-être un coup de karcher juste avant pour que ça brille?? pour épater la galerie?? est-ce que tu sais simplement comment réagit un implant dans un contexte parodontal?? regarde bien la radio de l'implant le jour de sa pose, et regarde ensuite la radio 3 ans après, en sachant que la patiente ne s'est pas pliée aux éxigences de la maintenance, tu vois quoi, gros con? un implant explosé? perdu? ne me réponds pas, tu le fera quand tu auras fait ton premier cas d'implants.

Implant 1 cy8pwg - Eugenol
Implant 2 uxyeux - Eugenol

Amibien

13/12/2004 à 14h26

Carole, c'est sûr que t'es une bille en ortho...tu juges de la palposition sur une pano !? apparemment beaucoup de choses t'échappent...

Mais comme dis Alhoun : "passe encore les jeunes connes idéalistes..."


carole

13/12/2004 à 20h57

amibien, c' est quoi cette réaction????????????????????????????????????????????????????????????????????????????????????????????????????????

moi pas comprendre toi agressif aïe aïe?!!

moi modeste et moi essayer humour sur post précedent, mais si toi mal prendre, alors moi me taire à tout jamais et m' enterrer vivante avec des serpents et le maxillo de l' autre fil (MEY...)

si non, moi etre reelement une magnifique bille en ortho, et moi assumer la chose, je suis donc une mine en or pour celle avec qui je travaille qui est une bombe dans cette discipline. Alors oui, meme sur un moulage, j' aurais meme pas donné mon avis....


Blue eye thumb medium dx1i0w - Eugenol
bill

14/12/2004 à 00h00

Ola, cool les gars, vous avez passé un mauvais week-end ou quoi ?
Alhoun, c'est la règle du jeu d'internet, tout le monde dit n'importe quoi à tout le monde, je pense que tu as assez de "bouteille "pour relativiser non ?
En parlant de bouteille, tu as virtuellement une bouteille de champagne qui t'attend et si le sieur aldo ne veut pas passer pour une bille, il te demandera ton adresse en privé pour concrétiser...ou alors c'est vraiment un jeune c... qui a une petite b... ;-))
Cordialement.


bjc"

14/12/2004 à 00h02

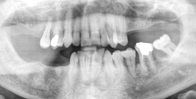
Bonjour alhoun,

Comment éxplique tu une telle rétraction de la chambre pulpaire de 33 en 3 ans ?

@+


steph.

14/12/2004 à 00h19

Laisse je vais le faire, t'es déjà suffisamment énervé....
Sur les 2 radios l'incidence n'est pas la même, la cavité pulpaire est plus volumineuse en vestibulo-lingual d'où l'image de la 1è radio, alors que sur la 2è la 33 est centrée d'où une cavité pulpaire effilée mais NORMALE!!!!
D'ailleurs je sais pas pourquoi je me fait c..., bjc ne cherche qu'à te faire monter en t°.


diastème

14/12/2004 à 09h01

HOULA!!!!!! elle dérape cette discution! vrai ou faux cas.....où serait l'intérêt de la discution avec des faux cas ? Alhoun, continues donc à présenter tes cas .La confiance est là!!
Ceci dit mon prothésiste (avec qui je m'entends très bien) a accepté de revoir son tarif Procera... D'après lui et les infos qu'il a récupéré chez Nobel , il se fait peu de cas de piliers Procera...ce serait une technique appelée à disparaitre lentement!!! à suivre ....


Amibien

14/12/2004 à 10h27

Chère Carole,

Il est vrai que tu avais exagéré dans ton post...

J'ai aussi fait de même histoire de rigoler...

Tu l'as bien pris...

A la prochaine...et sans rancune...