Cookie Consent byPrivacyPolicies.comPetit plaisir prothètique... - Eugenol

Petit plaisir prothètique...

003 penrd2 - Eugenol
Cingulum

04/04/2007 à 14h35

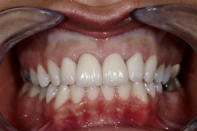
Quattres Empress 2...

Img 4652  custom  jwwuzf - Eugenol
Img 4754  custom  bcscco - Eugenol
Img 4849  medium  wydb2a - Eugenol
Img 4853  medium  nlud4w - Eugenol

003 penrd2 - Eugenol
Cingulum

04/04/2007 à 14h37

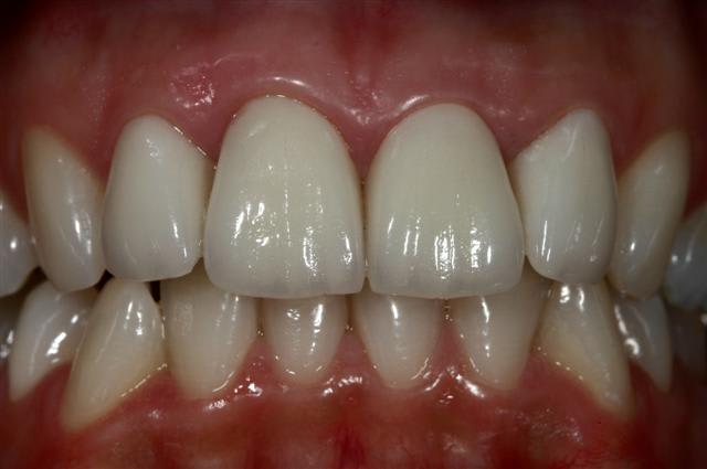
et collées ...

Img 4863  medium  bduy79 - Eugenol
Img 4860  medium  tx5gf8 - Eugenol
Img 4858  medium  fceckl - Eugenol

003 penrd2 - Eugenol
Cingulum

04/04/2007 à 14h39

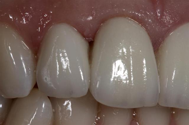
Reste un peu de colle :)
Il y a eu blanchiment

Pour info les compo avaient des vis intra dentinaire.. Encore un qui croyait pas dans le collage..


Marque a3 orange fyvhyq - Eugenol
Marc Apap

04/04/2007 à 16h03

Question résultat, ça ne se discute pas.
Mais ce que j'aimerais, ce serait prendre des cours de photo chez toi !


003 penrd2 - Eugenol
Cingulum

04/04/2007 à 16h28

pour les photos :

1. etre bien equipé, reflex num + objo digne de ce nom + Flash qui assure...

2. J'ai eu la grande chance de croiser sur ma route Monique Brion, chef de service de Creteil PARIS V... Une pro de la photo en bouche... Et j'ai bcp appris.... aprés faut de l'entrainement. ;)


Logo vuaztn - Eugenol
mac

04/04/2007 à 16h54

pourquoi des empress et pas des E-max?

sinon good job.


003 penrd2 - Eugenol
Cingulum

04/04/2007 à 17h00

J'ai mis Empress par habitude... ce sont des Emax.

Laboratoire Allegre, Lyon


Logo vuaztn - Eugenol
mac

04/04/2007 à 17h03

ok.

les photos sont tops aussi.


pour la 4858 quels sont tes réglages?


olivier

04/04/2007 à 17h05

Cingulum Ecrivait:
-------------------------------------------------------
> et collées ...
>
>


Ceux sont les tailles définitives?
Je suppose qu'elles sont vivantes. Et une derniere pour la fin: quel marque de collage?

Sinon superbe résultat.


003 penrd2 - Eugenol
Cingulum

04/04/2007 à 17h17

oui taille définitive, vivante, collée au RelyX Transp

Réglage pour la 58, de souvenir, 1/100, f5.7 iso 100


003 penrd2 - Eugenol
Cingulum

04/04/2007 à 22h11

bien sur que non.... ;)
mais la matinée la plus sympa c'est le jour de la pose


Marque a3 orange fyvhyq - Eugenol
Marc Apap

05/04/2007 à 00h36

Cingulum Ecrivait:
-------------------------------------------------------
> pour les photos :
>
> 1. etre bien equipé, reflex num + objo digne de ce
> nom + Flash qui assure...
>
> 2. J'ai eu la grande chance de croiser sur ma
> route Monique Brion, chef de service de Creteil
> PARIS V... Une pro de la photo en bouche... Et
> j'ai bcp appris.... aprés faut de l'entrainement.
> ;)
>
>
L'équipement, je l'ai
Brion, je ne l'ai fréquentée que de loin. Je ne savais pas qu'elle excellait dans cet art.
Comme tu sais, ce n'est pas le matos qui fait le cador (même si ça y contribue)


Logo vuaztn - Eugenol
mac

08/04/2007 à 19h29

encore une question, tu fais les empreintes le jour de la taille?


Avatar ow44t3 - Eugenol
Chicot

08/04/2007 à 20h50

Expérience perso pour les photos:
Je me se mets en mode manuel pour le flash car le TTL n'est pas adapté au prise de photos en bouche.
Je choisit une vitesse supérieure à la focale pour éviter les bougés (j'ai un 110mm donc 1/250°)
je ferme le diaphragme au maxi pour une bonne profondeur de champ (32)
Je teste à différente distante lentille frontale-sujet
et j'affine en modifiant l'exposition (le plus souvent -2)

Une fois le bon réglage obtenue, ça roule pour toute les photos

Comme je suis sur mac, j'utilise iPhoto qui permet de modifier assez rapidement le cliché : centrage, luminosité, contaste, saturation, température, teinte, netteté, exposition et même redresser l'image si t'es un peu de travers.

Sinon pour ton cas, bravo. Espérons que la papille de 21-22 vienne fermer le triangle noir disgracieux assez rapidement.


Squash u44zd8 - Eugenol
steph

08/04/2007 à 23h07

mac Ecrivait:
-------------------------------------------------------
> encore une question, tu fais les empreintes le
> jour de la taille?


Très bonne question.
Avec le temps c'est le parodonte qui dicte l'empreinte, pour moi.
Là je vois un paro épais, semble être fumeuse ce qui réduit les signes d'inflammation, dents vivantes.
Je dirais empreinte dans la séance.


ariel

08/04/2007 à 23h20

Chicot Ecrivait:
-------------------------------------------------------
> je ferme le diaphragme au maxi pour une bonne
> profondeur de champ (32)

si j'ai un petit conseil à donner, évite f:32, c'est à ce diaph qu'on a le maximum d'aberrations chromatiques liées à la diffraction. f:22 max is better. c'est entre f:11 et f:22 que se situe le max des performances des objectifs.

d'autant que la profondeur de champs est un problème moins pointu en numérique qu'en argentique, pour des simples raisons de taille de capteur. si tu veux t'en convaincre tu prends une règle graduée, tu mets au point sur une graduation de ta règle et tu shootes à différents diaphs. tu verras qu'entre f:22 et f:32 la différence n'est pas significative pour qu'il y ait répercussion pour les photos en bouche...


Avatar ow44t3 - Eugenol
Chicot

08/04/2007 à 23h40

ariel Ecrivait:
------------------------------------------------------> si j'ai un petit conseil à donner, évite f:32,
> c'est à ce diaph qu'on a le maximum d'aberrations
> chromatiques liées à la diffraction. f:22 max is
> better. c'est entre f:11 et f:22 que se situe le
> max des performances des objectifs.

Je testerai pour voir la différence au niveau chromatique et profondeur de champ.
Merci pour cette précision


003 penrd2 - Eugenol
Cingulum

09/04/2007 à 11h16

mac Ecrivait:
-------------------------------------------------------
> encore une question, tu fais les empreintes le
> jour de la taille?


non, en plus là j'ai fait un petit alignement des collets des centrales... donc différé de 15 jours...

La patiente n'est pas fumeuse...la gencive est parfaitement saine. L'empreinte est un jeu d'enfant.

Pour les cas esthétique comme cela il vaut mieux prendre son temps...


003 penrd2 - Eugenol
Cingulum

12/04/2007 à 11h06

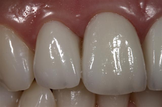
Controle à 1 semaine, patiente ravi et tout sourire... moi aussi :)

Img 4886  small  htoput - Eugenol
Img 4881  small  kkdsbl - Eugenol
Img 4878  small  kbucww - Eugenol
Img 4867  small  xiisdm - Eugenol

liofix

12/04/2007 à 17h52

Bravo
Digne des Leibovich,Knellesen,Touati

Un ancien élève de Leibo et Knellesen.


003 penrd2 - Eugenol
Cingulum

12/04/2007 à 18h08

Knellesen je l'ai croisé..ton compliment me va droit au coeur...

Ce sont des grands nom de la dentisterie...
J'ai encore bcp de progrés a faire...


Blue eye thumb medium dx1i0w - Eugenol
bill

13/04/2007 à 01h22

Juste une petite question: tu ne mets rien sur la dentine profonde, pas de sensibilité après collage? et avec quoi le collage ?
En tous cas,très joli résultat, la patiente ne peut qu'être satisfaite... et toi aussi.


Images eb1m5g - Eugenol
tonio

13/04/2007 à 01h40

sublime!

ta patiente est bien plus jolie comme cela! :-)

Qu'utilises-tu pour coller tes facettes en résine provisoire?


alhoun

13/04/2007 à 10h27

j'avais zappé ce fil!
joli travail, olive........


003 penrd2 - Eugenol
Cingulum

13/04/2007 à 11h03

Je fais un bonding le jour des preps. Je mets deux couches. Cela limite bcp le risque de sensibilité, et permet bien souvent de faire l'empreinte sans anésthésie. Mais pas toujours. Mais attention, bonding aprés avoir rebasé les provisoires, sinon aie aie aïe !!!. Pour faire tenir les provisoires, le mieux c'est:

Si on a fait un bonding : Dical
Si pas de bonding: Composite fluide sans mordançage et adhésif bien sur.

Le collage j'ai fait au relyx Transparent. C'est la première fois que je l'utilise pour un cas en empress...

;)


12