Cookie Consent byPrivacyPolicies.comPetit plaisir prothètique... - Eugenol

Petit plaisir prothètique...

Grueavatar nptrc9 - Eugenol
Le Choixpeau magique

15/04/2007 à 17h49

Super boulot et super reportage, bravo !
Je n'ai jamais fait de facettes, et je me pose des questions au niveau de l'occlusion. Au niveau des préparations tu n'as pas touché au bord incisif en palatin, c'est celà ? Quand tu as besoin de modifier ce même bord, comment faut-il faire ? Est-ce possible de finir les trajectoires de propulsion sur la facette ? Faut-il faire un retour palatin ou peut-on se contenter d'uniquement remplacer la substance manquante ?
Connaissez vous un bon ouvrage sur le sujet ?


Logo vuaztn - Eugenol
mac

15/04/2007 à 21h54

pour des facettes si tu veux avoir un bon rendu esthètique il faut que tu vires le bord incisif (2mm).

restaurations adhésives en céramique sur dents antérieures.
Magne/Belser.




Logo vuaztn - Eugenol
mac

15/04/2007 à 22h02

.


003 penrd2 - Eugenol
Cingulum

15/04/2007 à 22h13

Oui, un livre :
http://www.unitheque.com/medecine/Restaurations_adhésives_en_céramique_sur_dents_antérieures_Approche_biomimétique-3041.html?&rubrique=ABDB


Sinon pour répondre à tes questions:

1. Si la dent présente une indication de facette. C'est à dire que la face palatin est intacte. Alors je fais une prep vestibulaire, je marque les points d'occlusions en Palatin et je n'y touche pas. Je réduis le bord libre d'environ 1,5mm pour avoir de la place pour la céram, et je fais un tout petit retour palatin, pour assurer le positionnement de la facette.

2. Si la perte de substance interesse aussi la face palatine , alors ce n'est plus vraiment une facette. Plutot une couronne, 3/4, 5/6 ce que vous voulez mais la prep est périphérique. Je reste cependant supra gingival en palatin, pas la peine de se compliquer la vie.
Avec l'empress qui permet d'avoir un noyau résistant dont l'épaisseur peut varier, combler les pertes de substance avec un compo, n'a pas beaucoup d'intéret. Cela rajoute une interface, avec des coefficients de dilatation différent en plus.

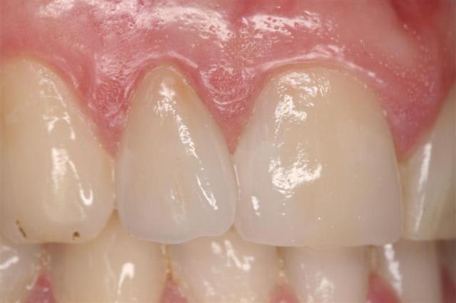
En image une prep pour facette:

Facette  1   medium  nphhui - Eugenol
Facette  3   medium  chfety - Eugenol
Facette  4   medium  k09rcv - Eugenol
Facette  5   medium  ip5lvl - Eugenol

003 penrd2 - Eugenol
Cingulum

15/04/2007 à 22h16

et la fin...

PS: la patiente est CMU...pour les sceptiques sur le panier de soin

Facette  medium  d4womo - Eugenol
Facette  6   medium  o9q5pd - Eugenol
Facette  7   medium  n9mtqu - Eugenol
Facette  8   medium  an54t4 - Eugenol

Logo vuaztn - Eugenol
mac

15/04/2007 à 22h23

merci cingulum je suis ridicule maintenant;)

qu'est ce qui ne va pas pour toi dans le cas que j'ai posté?


024 vownvo - Eugenol
annie

15/04/2007 à 22h27

critiques bienvenues?
alors allons y, ce n'est pas flagrant mais pourrait mieux faire sur:
-alignement des collets
-axe des deux dents( les deux verticales entre le milieu du collet et le milieu du bord occlusal devraient être parallèles)
-rapport esthétique entre la longueur et la largeur des dents,il existe un coefficient défini.
des détails,mais qui ont leur importance


ariel

15/04/2007 à 22h30

mac Ecrivait:
-------------------------------------------------------
> les critiques sont bienvenues.

tes centrales sont pas symétriques. là à mon humble avis à la fois problème de forme globale et problème de niveau gingival...


Logo vuaztn - Eugenol
mac

15/04/2007 à 22h33

oui j'ai pas anticipé, j'aurais du faire une petite gingivectomie.


024 vownvo - Eugenol
annie

15/04/2007 à 22h38

si ça peut te consoler,celles de Cingulum,non plus ne sont pas de la même longueur!la 21 plus courte que la 11


003 penrd2 - Eugenol
Cingulum

15/04/2007 à 22h40

vi je l'avoue... c'est vrai qu'en regardant la photo ça saute au yeux...le bord libre est un chouillat long.

Mac c'est vrai l'élongation ça mange pas de pain, (il y en a eu une sur les deux cas présenté ici...)

Gingiv rxs0vr - Eugenol
Axe px06qo - Eugenol

Logo vuaztn - Eugenol
mac

15/04/2007 à 22h43

c'est pas une question de consoler annie, si j'ai posté ce cas c'est justement qu'il y avait des choses qui me plaisaient pas, pour essayer de voir où étaient les erreurs, pour éviter des les reproduire.


Logo vuaztn - Eugenol
mac

15/04/2007 à 22h44

Cingulum Ecrivait:
-------------------------------------------------------

>
> Mac c'est vrai l'élongation ça mange pas de pain,
> (il y en a eu une sur les deux cas présenté
> ici...)


je sais bien mais j'y ai pas pensé sur le coup:(


003 penrd2 - Eugenol
Cingulum

15/04/2007 à 22h46

Mac, je trouve les ceramiques un peu globuleuse... tes pros et le wax up avaient une morpho plus sympa. Notament au niveau des lignes de transitions, et des surfaces planes.
Les cerams manquent de vie.

Un autre prothèsiste ?
Sinon effectivement, elongation, 15 j de temporisations et ça change tout...


Logo vuaztn - Eugenol
mac

15/04/2007 à 22h50

non le même prothésiste, en fait on a changé par rapport au wax parce que la patiente préférait comme ça.


024 vownvo - Eugenol
annie

15/04/2007 à 23h06

Cingulum Ecrivait:
-------------------------------------------------------
> vi je l'avoue... c'est vrai qu'en regardant la
> photo ça saute au yeux...le bord libre est un
> chouillat long.
>
je dirais plutot que l'autre est un chouillat plus court,(toujours ce rapport entre la longueur et la largeur) mais bon,tres joli travail ,et belle coordination,praticien-prothèsiste



003 penrd2 - Eugenol
Cingulum

15/04/2007 à 23h41

jour de la taille, lame froide...


024 vownvo - Eugenol
annie

16/04/2007 à 05h23

une dernière question,photo 5 je crois,ta latérale
avec quoi l'as tu obturé?


003 penrd2 - Eugenol
Cingulum

16/04/2007 à 09h43

tenon titane sablé, et paracore de chez colténe.
En général j'utilise un tenon fibré.


Grueavatar nptrc9 - Eugenol
Le Choixpeau magique

16/04/2007 à 12h42

Merci à tous pour la réference du bouquin, je vais voir ça.


pepito

17/04/2007 à 13h56

pas mal aussi le petit diams sur la latérale, cingulum (twinkle ??).
avec quoi tu l'as collé ?
et ça tient combien de temps ?
bon après, c'est sûr que ça ne va pas à tout le monde...


003 penrd2 - Eugenol
Cingulum

17/04/2007 à 14h02

le diams il etait déjà la...

sinon ça se colle avec n'importe quel adhésif...
Mais attention: NE PAS LE SABLER... sinon désintégration du Zirkon... ;)


12