Cookie Consent byPrivacyPolicies.comA votre avis ? - Eugenol

A votre avis ?

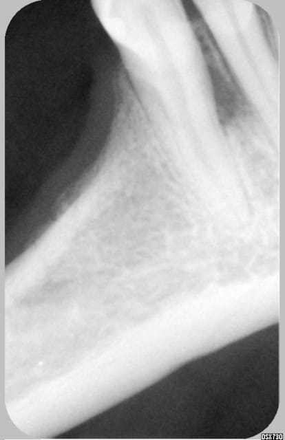
Img 1392 s73srk - Eugenol
Guttaman

01/12/2004 à 09h38

Bonjour,
Patiente la cinquantaine, venue avec abcès en vestibulaire entre 33 et 32.
Stellite de 37 à 34 et de 47 à 45.
Lors du 2° rdv, plus de douleur, test au froid positif sur 33, 32, 31. Pas de réaction exploitable au chaud. Percution à peine plus sensible sur 32. Sondage normal autour des dents.

L'image montre une raréfaction osseuse entre 33 et 32.

j'ai plusieurs idées, mais j'aimerai votre (vos) avis. Merci

01 erhied - Eugenol

BX

01/12/2004 à 11h17

Un couple de spirochètes qui flambe à cause d'un stress passager ?


Avatar transparent iqadnc - Eugenol
adhoc

01/12/2004 à 12h57

Si on arrive a éliminer le diag. de fracture, félure (petite diagonale radio+ sur 32 , artefact?), je rejoins BX pour poche paro entre 33 et 32.


Ylfwcw979cz1jnx9gfqeaxndiuzk - Eugenol
Algi

01/12/2004 à 13h09

Ou alors le béte truc qui s'était coincé entre les dents et planté dans la gencive genre poil ou ongle ou arrete d'anchois.... une fois abcés percé et corps étranger évacué c'est rentré dans l'ordre... à surveiller et entreprendre motivation/initiation au brossage, ça fera pas de mal de toutes façons.


Image19 iebot6 - Eugenol
athos

01/12/2004 à 13h42


comme Alge, genre bout de cure dent ou autre,
sinon peut etre des jumelles?


phil

01/12/2004 à 14h09

t'as pas une radio plus precise de l'espace interdentaire ,une photo de bouche? les sepas des autres dents me paraissent un peu douteux tout de même .
Ton stellite il passe comment en lingual ? n'y a t il pas un rapport ?


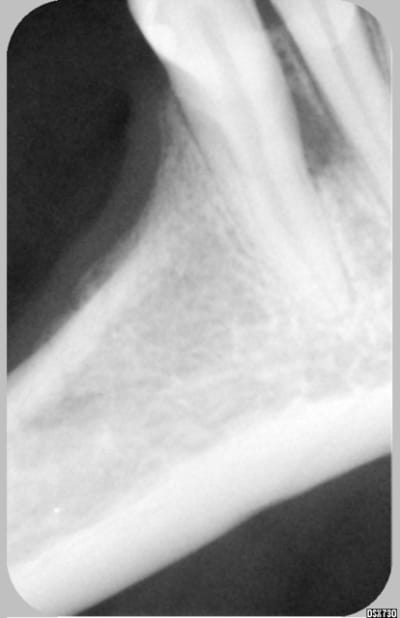
Img 1392 s73srk - Eugenol
Guttaman

01/12/2004 à 17h30

Merci pour vos réponses...voici une deuxième radio du même cas...

Untitled rr2sdk - Eugenol

Ylfwcw979cz1jnx9gfqeaxndiuzk - Eugenol
Algi

01/12/2004 à 18h20

Algi y sais pas et oilà....


Avatar transparent iqadnc - Eugenol
adhoc

01/12/2004 à 18h28

Livres nous tes pensées, guttaman!


alhoun

01/12/2004 à 18h34

il me semble que cette image est typique d'une fêlure. il faut combler le sinus mandibulaire.(demandez à amibien)


colza

01/12/2004 à 18h48

piercing labial heurtant la 33 354 fois par jour?,,


phil

01/12/2004 à 20h39

ce n'est pas un vrai problème paro car le septum n'est pas touché au collet . les félures donnent il me semble une image différente.
Y a t il seulement un problème infectieux ?
Comment est la muqueuse ?
sur une radio seulement difficile de donner une reponse

Ton avis puisque tu as une idée et connais ton patient ca aide .


ZORBECA

01/12/2004 à 21h12

Attente insoutenable!!!

A+


JAY

01/12/2004 à 23h41

c dingue, on dirait vraiment une lésion d'origine endo.....mais le test au froid est positif.....ceci dit le test au froid est il fiable à 100% ?? je ne crois pas.....il faudrait confirmer la vitalité pulpaire par un test électrique, voir un test du fraisage....


Amibien

02/12/2004 à 00h42

phil a écrit:
-------------------------------------------------------
> ce n'est pas un vrai problème paro car le septum
> n'est pas touché au collet


c'est un problème paro à point de départ lingual avec formation d'une poche serpengineuse

j'ai déjà connu ça, une poche de 12 mm qui guérit très bien avec traitement laser...


phil

02/12/2004 à 02h02


C'est vrai qu'il y a atteinte du parodonte c'est evident mais ici il semble qu'il n'y ait pas de poches ( c'est ce que dit le roi de la gutta donc cela n'est pas comme ton cas. quelle est la cause? Le stellite comme je le pensais ?
Il semble me rappeler qu'il existe des kystes parodontogènes mais j'avoue que je n'en suis pas sur . Il faut de toute façon à mon avis aller voir .


Father ted 280 422484a zg0rur - Eugenol
Oméga

02/12/2004 à 02h51

Mon dieux, il est si tard et je poste, mais je devrais dormir depuis longtemps.
Une idée bête : 33 faussement réactive au test au froid, en fait nécrosée ou pulpe partiellement nécrosée (je n'ai connu cela que sur les pluriradiculées mais bon) avec lésion apicale (mouais) remontant en mésial ?
33 biradiculée (j'ai l'impression de voir quelque chose superposé à la racine, mais ce doit être la fatigue) avec 1 canal nécrosé ?

Pfff, je vais me coucher. La réponse, guttaman !!


Image19 iebot6 - Eugenol
athos

02/12/2004 à 09h54


Omega a peut etre vu juste s'il y a 2 canaux, c'est vrai que la radio donne cette impression,mais la regression spontanée?


phil

02/12/2004 à 10h02

guttaman il faut donner des precisions car les idees c'est bien beau mais cela part dans tous les sens sans apporter grand chose finalement.........


Avatar transparent iqadnc - Eugenol
adhoc

02/12/2004 à 10h09

Guttaman, on fait un sitting, on boude et on t'attend.


Amibien

02/12/2004 à 10h58

cher adhoc, guttaman ne s'en sort pas avec la partie d'échecs... il faut lui donner plus de temps pour répondre...


Father ted 280 422484a zg0rur - Eugenol
Oméga

02/12/2004 à 11h11

Et n'oublie pas de nous envoyer des chèques de 20€ à chacun, on t'envoie la feuille par mail ;).

Sinon pour la régression spontanée et l'absence de douleur à a percussion, je persiste dans l'atypique. Puis d'une manière générale, les abcès qui parviennent à se frayer un chemin vers l'extérieur ont des signes cliniques atténués voire absents.

Maintenant cela reste des supputations.


Amibien

02/12/2004 à 11h38

Je maintiens, poche serpengineuse à point de départ lingual, d'autant plus que la connection métallique passe en face et appuye sur la gencive oedématiée à cet endroit avec effet de pompe pendant les fonctions,...

Allez Guttaman, accouche...

Amicalement...


Father ted 280 422484a zg0rur - Eugenol
Oméga

02/12/2004 à 11h44

Mais cher amibien s'il s'agit d'une poche, même à départ lingual, il devrait y avoir un sondage positif au moins en un point, non ?


phil

02/12/2004 à 11h56

c'est ce que je lui ais fait remarquer ......


12...