Cookie Consent byPrivacyPolicies.comA votre avis ? - Eugenol

A votre avis ?

Father ted 280 422484a zg0rur - Eugenol
Oméga

02/12/2004 à 12h51

Exact phil, j'avais ommis de le mentionner. Pour moi, bètement certainement, pas de lésion sulculaire, pas de problème paro. Ou alors un problème externe, fenestration and co. J'avoue que je patauge.

Guttaman, c'est un dossier traité, en cours, fini, savoir si nous piaffons d'impatiente pour rien parce que pour toi aussi le brouillard est bien épais.


Amibien

02/12/2004 à 13h12

phil a écrit:
-------------------------------------------------------
> c'est ce que je lui ai(s) fait remarquer ......


dîtes les gars, c'est pas sûr votre truc qu'on devrait arriver nécessairement à sonder...

il se pourrait que le trajet fistuleux tourne autour de la dent et prenne son origine à distance... ça s'est déjà vu...

ce que je voudrais que guttaman me dise c'est si la palpation en regard de la "lésion" radiologiquement visible est douloureuse...



JAY

02/12/2004 à 13h20

abces vestibulaire + image radioclaire sur 33 + absence de poche au sondage.....il est clair que tout ca semble confirmer le diagnostic de necrose et de lésion d'origine endo....

Si tu as obtenu un drainage de l'abces lors de la premiere seance, il est normal que la patiente n'aie plus de douleurs à la deuxieme seance...

En ce qui concerne le test au froid, il n'est pas fiable à 100% il peut y avoir des faux positifs.....

Qu'en pensez vous ?


bjc

02/12/2004 à 13h32

Bonjour Guttaman,

J'étais passé à coté de ton post pendant que j'étais à Paris.

Ou tu as une félure, et c'est compromis. MTA?

Ou tu as une mortification patielle avec un canal abérrant, non visible à la Rx. car perpandiculaire au plan de Rx.
Absces=Pb. l'image d'absces en forme allongée est signe de fracture, mais si elle revient en V. elle peut etre arrondie, et ne présenter qu'une image ovoïde sur la Rx.

Je ferai un lambeau d'éxploration avant de décider d'un traitement.

@+


isaïe

02/12/2004 à 13h34

Parfois intéressant: un cône de gutta 20 ou 25 dans un trajet fistuleux et rx, ou même dans une poche paro.


Father ted 280 422484a zg0rur - Eugenol
Oméga

02/12/2004 à 13h48

Mais à priori là, point de fistule ou de poche. Et une petite autopsie, non ?
S'il faut ce cher guttaman est parti en congés pour 15 jours en nous laissant plancher sur ce cas. Sa boite au lettre électronique va exploser.


phil

02/12/2004 à 14h05

la pointe de gutta pour guttaman oh oh oh comme dirait amibien

Ou est tu g.............n on en veut encore.............si si

L'autopsie OUIIIIIIIIIIIIIIIIIIIIII ! j'adore les cadavres . Nous n'avons jamais de problèmes relationnels ............


alhoun

02/12/2004 à 14h43

et on peut tranquillement cloper après l'amour..


Father ted 280 422484a zg0rur - Eugenol
Oméga

02/12/2004 à 15h13

Déjà que je trouvais ma remarque de mauvais gout, je suis dépassé par les évènements. Black, réveille toi, ils sont devenus fous !


phil

02/12/2004 à 15h21

alhoun a écrit:
-------------------------------------------------------
> et on peut tranquillement cloper après l'amour..

le seul problème c'est que les femmes sont un peu frigides


alhoun

02/12/2004 à 15h37

question de timing.


Father ted 280 422484a zg0rur - Eugenol
Oméga

02/12/2004 à 15h46

Mais en continuant par là, je dirais que l'on peut même cloper pendant l'amour.


alhoun

02/12/2004 à 15h56

ce ne serait pas convenable.


Father ted 280 422484a zg0rur - Eugenol
Oméga

02/12/2004 à 16h07

Si elle se plaint, on peut toujours arrêter. Sinon on peut toujours arriver à coincer un cendrier dans la bouche. Il ne faudrait quand même pas faire tomber des cendres.


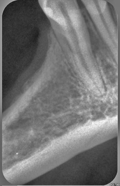
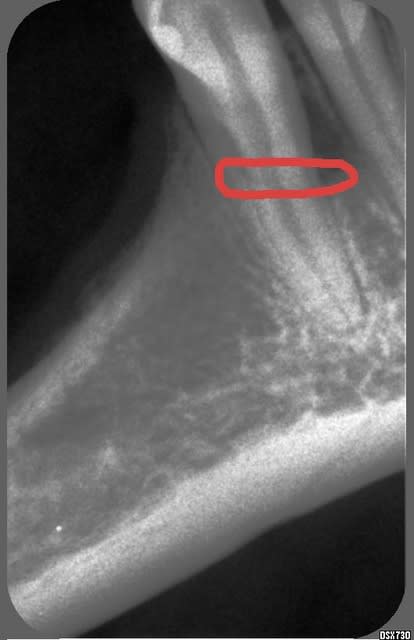
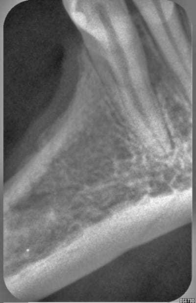
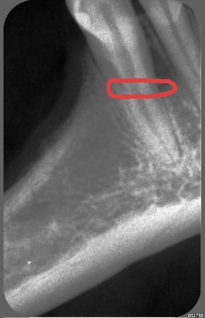
Img 1392 s73srk - Eugenol
Guttaman

02/12/2004 à 18h24

Alors, alors...on s'impatiente ? :-)

Tout d'abord, ceci est un cas en cours...
Pour répondre à Amibien, la palpation vestibulaire était douloureuse (et reste encore sensible).

En fait, voici mes idées :
1°) comme le pensent certains d'entre vous, fêlure. (Dans ce cas, j'aurrai mal sondé, ce qui peut toujours arrivé...je vais revérifier à fond).

Il n'y a pas de fistule. (c'est sûr).

2°) Canine à deux canaux dont un nécrosé, avec canal latéral (on peut réver ! ;-) )...si c'est le cas, je vous mettrai le cas terminé en ligne.

3°) Ce que vous ne voyez pas, c'est une image en "cacaouète", bref en forme de 8 sur l'OPT se superposant sur la 33-32-31. (c'est pour ça que j'ai répété les tests jusque sur la 31). Mais cette image est très légère, et il faut vraiment scruter la radio panoramique.

Maintenant, j'ai pensé à un moment donné à un kyste non odontogène.

Enfin, l'idée la plus dingue...résorption iatrogène secondairement abcédée par application d'une force disto-mésiale trop importante par le stellite...mais là, c'est vraiment pour trouver une explication... ;-)


Father ted 280 422484a zg0rur - Eugenol
Oméga

02/12/2004 à 18h57

Tiens, tu es revenu des caraïbes ?
Tu sais, juste pour trouver une explication, c'est un petit peu ce que l'on a fait jusqu'à maintenant, façon blind test dans une agence de com.
Je suis bien curieux de voir le résultat tout de même.


Amibien

02/12/2004 à 19h33

bjc a écrit:
-------------------------------------------------------
> Bonjour Guttaman,
>
> J'étais passé à coté de ton post pendant que
> j'étais à Paris.
>
> Ou tu as une félure, et c'est compromis. MTA?
>
> Ou tu as une mortification patielle avec un canal
> abérrant, non visible à la Rx. car perpandiculaire
> au plan de Rx.
> Absces=Pb. l'image d'absces en forme allongée est
> signe de fracture, mais si elle revient en V. elle
> peut etre arrondie, et ne présenter qu'une image
> ovoïde sur la Rx.
>
> Je ferai un lambeau d'éxploration avant de décider
> d'un traitement.
>
> @+
>
>

sept fautes d'orthographe pour un redresseur de torts et un donneur de conseils, c'est beaucoup...

un lambeau d'exploration ???? quel exploit !!!!!
c'est ça qu'on enseigne à Paris ?

isaïe a répondu plus juste que toi et j'irai plutôt dans son sens... c'est ce qu'aurait aussi conseillé W.J. PERTOT

eh bjc, à Paris tu as été voir les filles et tu n'es pas rentré de la luit pour sortir des vannes pareilles ?

je persiste, une poche parodontale serpengineuse, tout à fait plausible car le port de l'appareil amovible peut par un effet de pompe ou de massage faire filer l'infection assez loin, mais je n'ai pas vu la patiente...




Amibien

02/12/2004 à 19h36

phil a écrit:
-------------------------------------------------------
> alhoun a écrit:
> --------------------------------------------------
> -----
> > et on peut tranquillement cloper après
> l'amour..
>
> le seul problème c'est que les femmes sont un peu
> frigides
>

qui te dit qu'il fait ça avec les femmes ? oh oh oh oh !!!!



Amibien

02/12/2004 à 19h43

Guttaman, c'est une poche serpengineuse et il y a abcès parodontal, tu devrais trouver un accès à point de départ lingual, elle s'est fiché un truc pointu et dur et fin perpendiculairement dans la gencive

va voir avec un instrument à Dycal, tu vas trouver qqch c'est sûr

eh, b5 merci pour le pion...


diplodocusmaximus

02/12/2004 à 20h08

Et ça à votre avis c'est un artefact ?

Enigme d6tran - Eugenol

Father ted 280 422484a zg0rur - Eugenol
Oméga

02/12/2004 à 20h29

Et il ne devrait pas y avoir de douleurs face à une félure / fracture ? C'est vrai que ça y ressemble.
Je me méfie malgré tout des signes évidents, quand on cherche quelque chose, on finit par le voir.
Et est ce mes yeux ou est ce que j'ai l'impression d'imaginer supposément voir une 2 eme racine superposée, ou alors c'est une racine en huit en effet.
Mes lunettes doivent être sales, je regarde ça après.


diplodocusmaximus

02/12/2004 à 20h37

Une un peu plus claire

Enigme2 edbyto - Eugenol

isaïe

02/12/2004 à 21h01

Es-tu sûr que ce n'est pas la limite supérieure de l'os alvéolaire en lingual?


Images eb1m5g - Eugenol
tonio

02/12/2004 à 21h12

j'ai eu un cas avec une lésion très très similaire sur une 45 mais qui était support de bridge fait par une consoeur.
Malgré la reprise de traitement, l'abcès a récidivé. Il se fistulisait pile au milieu de la papille interdentaire. On s'est orienté vers une félure horizontale car absence de sondage positif.
Il ne faut pas oublier que la fracture est une étiologie possible dans les cas de descellement prothétique.
Je pencherais donc pour cette hypothése. D'autant plus que cette dent amortit des contraintes occlusales majorées par l'édentement dital.
Je m'orienterai vers un lambeau d'exploration avant de faire quelque chose.


17082007 synnio - Eugenol
kalif

02/12/2004 à 22h40

une deuxieme racine?


123...